لانمطية نووية
اللانمطية النووية تشير إلى الظهور غير الطبيعي لـ أنوية الخلايا.[1] وهو مصطلح يُستخدم في علم أمراض الخلايا وعلم أمراض الأنسجة. وغالبًا، تكون الأنوية اللانمطية متعددة الأشكال.

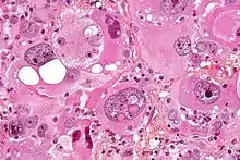
صورة مجهرية توضح اللانمطية النووية القصوى في السرطان (الورم الأرومي الدبقي). خزعة دماغية. ملون هيماتوكسيلين فلوكسين زعفران (HPS stain).
ويمكن رؤية اللانمطية النووية في التغييرات التفاعلية والتغييرات الورمية والخباثة. وتُعتبر اللانمطية النووية القصوى، في معظم الحالات، مؤشرًا للخباثة.
انظر أيضًا
- تعدد الأشكال النووي
- تفاعل أرياسستيلا
- النسبة الهيولية النووية
مراجع
- "معلومات عن لانمطية نووية على موقع academic.microsoft.com". academic.microsoft.com. مؤرشف من الأصل في 7 أبريل 2020. الوسيط
|CitationClass=تم تجاهله (مساعدة)
- بوابة طب
This article is issued from Wikipedia. The text is licensed under Creative Commons - Attribution - Sharealike. Additional terms may apply for the media files.