لمفوما هودجكين
لِمْفُومةُ هودجكيِن[2] (بالإنجليزية: Hodgkin's lymphoma)، المعروفة أيضا باسم داءُ هودجكن هو نوع من الأورام اللمفاوية (سرطان ناشئ ضمن نوع من خلايا الدم البيضاء تسمى الخلايا اللمفاوية). أطلقت التسمية على هذا المرض نسبة إلى توماس هودجكن، والذي كان أول من وصف شذوذ النظام الليمفاوي في عام 1832.
| لمفومة هودجكين | |
|---|---|
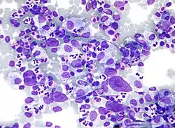
![]() صورة مجهرية لمقطع في عقدة لمفاوية يبين لمفوما هودجكين (صبغة فيلد) صورة مجهرية لمقطع في عقدة لمفاوية يبين لمفوما هودجكين (صبغة فيلد) | |
| تسميات أخرى | Hodgkin lymphoma, Hodgkin's disease[1] |
| معلومات عامة | |
| الاختصاص | علم الدم وعلم الأورام |
| من أنواع | لمفوما |
| الأسباب | |
| الأسباب | عدوى فيروس إبشتاين بار |
| الإدارة | |
| أدوية | |
| التاريخ | |
| سُمي باسم | توماس هودجكن |
| وصفها المصدر | الموسوعة السوفيتية الكبرى |
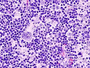
_mixed_cellulary_type.jpg.webp)
يتميز داءُ هودجكن بالانتشار المنظم للمرض من مجموعة عقد لمفية لأخرى وتطور منهجي للأعراض مع تقدم المرض. يتميز هذا المرض بظهور خلايا ريد - ستيرنبرغ ((بالإنجليزية: Reed-Sternberg cells)) عند إجراء فحص مجهري. داءُ هودجكن كان من أوائل أنواع السرطان التي أمكن علاجه باستخدام الإشعاع، وبعد ذلك، كان من أوائل حالات السرطان التي عولجت بمزج العلاج الكيميائي والإشعاع.
لهذا المرض ذروتي إصابة : الأولى في سن البلوغ (سن 15-35)، والثانية في الاعمار الأكثر من 55 عاما. معدل البقاء على قيد الحياة بشكل عام يصل إلى قرابة 90% أو أعلى في حالة اكتشافه في مراحل مبكرة، مما يجعله واحد من أكثر أشكال السرطان شفاء. حتى في مراحله المتقدمة تبقى نسبة الشفاء من داءُ هودجكن عالية جدا.
يمكن لمعظم المرضى الذين أنهوا بنجاح طور المعالجة العيش حياة طويلة وطبيعية، ويرجع ذلك إلى معدل نجاح هَدْأَة (بالإنجليزية: remission) مرتفع يصل إلى نسبة 90% إلى 95 ٪.
الأعراض
قد تتضمن أعراض وعلامات لمفوما هودجكن:
- تورماً غير مؤلم للعقد اللمفية الرقبية أو الإبطية أو المغبنية.
- تعب مستمر
- حمى وعرواءات
- تعرق ليلي
- فقدان وزن غير مفسر بمعدل 10 % أو أكثر من وزن الجسم
- سعال ومشاكل تنفسية وألم صدري
- فقدان الشهية
- حكة
- تزايد تأثيرات الكحول أو الألم في العقد اللمفية بعد شرب الكحول
يمكن أن تنجم هذه الأعراض عن عدد من الحالات الأخرى، ولكن يجب مراجعة الطبيب في حال:
- استمرت الأعراض أكثر من أسبوعين
- تكرر تناوب غياب وظهور الأعراض
الأسباب
لا يعرف السبب الدقيق للمفوما هودجكن التي لها نمطان أساسيان: التقليدي وذو اللمفاويات العقيدية المسيطرة. تكون لمفوما هودجكن لدى معظم المصابين من النمط التقليدي، والذي له 4 أنواع فرعية:
- لمفوما هودجكن المصلبة العقيدية
- لمفوما هودجكن المختلطة الخلايا
- لمفوما هودجكن قليلة اللمفاويات
- لمفوما هودجكن كثيرة اللمفاويات التقليدية
تقع جميع الأنواع الاربعة السابقة ضمن مجموعة السرطانات المسماة اللمفوما ـــ وهي سرطانات الجهاز اللمفي. يتضمن الجهاز اللمفي العقد اللمفية (الغدد اللمفية) المنتشرة في الجسم والمتصلة ببعضها بأوعية صغيرة تسمى الأوعية اللمفية، كما أن الطحال والغدة الصعترية ونقي العظم هم أيضاً جزء من الجهاز اللمفي.
تبدأ لمفوما هودجكن بشكل شائع في العقد اللمفية الواقعة في الجزء العلوي من الجسم، وتقع بعض العقد اللمفية في أماكن أكثر وضوحاً من غيرها كما في الرقبة أو فوق عظمي الترقوة أو تحت الذراع أو في المنطقة المغبنية، كما أن ضخامة العقد اللمفية في جوف الصدر شائعة أيضاً. أخيراً فإنَّ لمفوما هودجكن قد تنتشر خارج العقد اللمفية إلى أي جزء من الجسم.
خلايا B الشاذة
إن مفتاح تشكل لمفوما هودجكن هو تطوّر خلايا B الشاذة، التي هي نوع من الخلايا اللمفية الهامة في استجابة الجهاز المناعي للأجسام الأجنبية. تعمل خلايا B بشكل طبيعي مع خلايا T، التي تنضج في الغدة الصعترية، لمحاربة الإنتان. عندما تتحول خلايا B إلى خلايا كبيرة شاذة، تسمى عندها هذه الخلايا السرطانية الشاذة بخلايا ريد ستيرنبرغ (Reed-Sternberg)، التي لا تمر بحلقة حياة وموت كما الخلايا الطبيعية، فهذه الخلايا لا تموت، بل تستمر بإنتاج خلايا B الشاذة بطريقة خبيثة. تهاجم هذه الخلايا أيضاً خلايا المناعة الطبيعية مما يُسبب ضخامة العقد اللمفية.
المضاعفات
قد يكون مرضى لمفوما هودجكن معرضين بشكل أكبر للحالات التالية، وذلك بسبب تأثيرات العلاج، ولكن مع تطوّر العلاج انخفض خطر حدوث هذه الاختلاطات:
- الأمراض القلبية الوعائية
- خباثة ثانية كالابيضاض أو لمفوما لا هودجكن أو أورام الرئة أو الثدي أو الجهاز المعدي المعوي
- مرض وعائي بما فيها السكتة الدماغية
- خلل وظيفة الدرق
- عقم
العلاج
إن العامل الأكثر أهمية في علاج لمفوما هودجكن هو مرحلة المرض، كما يؤخذ بعين الاعتبار أيضاً عدد العقد اللمفاوية المصابة ومنطقتها وفيما إذا كانت الإصابة في أحد طرفي الحجاب الحاجز أو كليهما، وتتضمن العوامل الأخرى المؤثرة في قرارات علاج هذا المرض:
- العمر
- الأعراض
- الحمل
- الحالة الصحية العامة
إنَّ هدف العلاج هو تدمير أكبر عدد ممكن من الخلايا الخبيثة وإجبار المرض على الهجوع، وبالعلاج المناسب، يبقى حوالي 95 % من المصابين بلمفوما هودجكن في المرحلة 1 أو 2 على قيد الحياة لخمس سنوات أو أكثر. إنَّ معدل البقيا لمدة خمس سنوات لأولئك المصابين بلمفوما هودجكن المنتشرة هو حوالي 60 – 70 %، لكن هذه الأرقام اعتمدت على المرضى المعالجين قبل 1990، لذا فإن النتيجة قد تكون واعدة أكثر لمن يشخص ويعالج المرض لديهم في هذه الأيام.
تتضمن خيارات العلاج:
- المعالجة الكيميائية
يفضّل استخدام المعالجة الكيميائية عند تطوّر المرض وإصابة عقد لمفية أكثر أو أعضاء أخرى، ويتم استخدام أدوية خاصة بالمشاركة لقتل الخلايا الورمية، تنتقل الأدوية عبر مجرى الدم ويمكن أن تصل تقريباً لكل مناطق الجسم.
تكمن المشكلة الكبرى للعلاج الكيميائي بإمكانية حدوث الآثار الجانبية والاختلاطات طويلة الأمد كأذية القلب والرئة والكبد ومشاكل الخصوبة والسرطانات الثانوية كالابيضاض.
رغم أن التأثيرات الشديدة غير شائعة، إلا أن إجراءات حثيثة تتخذ في سبيل إيجاد أنظمة بنفس الفعالية وبسمية أقل، إذ تم تطوير أنظمة دوائية للمفوما هودجكن تنقص بقوة احتمالية الاختلاطات طويلة الأمد المهددة للحياة، مثل الابيضاض الحاد، لدى المرضى الذين تمت معالجتهم بعدة مجموعات من العلاج الكيميائي والشعاعي.
يشار عادة لأنظمة العلاج الكيميائي بالأحرف الأولى مثل:
- أيه بي في دي (علاج): والذي يتألف من دوكسوروبيسين وبليومايسين وفينبلاستين وداكاربزين
- BEACOPP: والذي يتألف من بليومايسين وإيتوبوسيد ودوكسوروبيسين وسيكلوفوسفاميد وفينكريستين وبروكاربازين وبريدنيزون
- Stanford V: والذي يتألف من دوكسوروبيسين وفينبلاستين ومكلورثامين وإيتوبوسيد وفينكريستين وbleomycinand prednisone، ويخضع المرضى المتلقون لهذا النظام العلاجي للعلاج الشعاعي أيضاً.
- COPP/ABVD: يتألف من سيكلوفوسفاميد وفينكريستين وبروكاربازين وبريدنيزون ودوكسوروبيسين وبليومايسين وفينبلاستين وداكاربزين.
- MOPP: يتألف من مكلورثامين وفينكريستين وprocarbazineand prednisone.
- ABVD حالياً هو العلاج الأفضل، يمكن أن يتناول بعض المرضى ذوو الخطورة العالية أكثر من علاج مركز مثل BEACOPP.
الأشعة
عندما يتركز المرض في منطقة محددة، قد يكون الخيار العلاجي الأفضل عندها هو العلاج الشعاعي. إنَّ العلاج الشعاعي هو أشعة X عالية الطاقة تستخدم لقتل الخلايا السرطانية، وعادة ما يتم تشعيع العقد اللمفية المتأثرة والمنطقة التالية من العقد التي يمكن أن يصل المرض إليها. يختلف طول مدة العلاج الشعاعي حسب مرحلة المرض، يمكن استعمال العلاج الشعاعي وحده ولكنه غالباً ما يستعمل مع العلاج الكيميائي. إذا حدث نكس بعد العلاج الشعاعي يصبح من الضروري إجراء العلاج الكيميائي.
يمكن أن تزيد بعض أشكال العلاج الشعاعي خطر الإصابة بأمراض القلب والسكتة الدماغية ومشاكل الدرق والعقم وأشكال أخرى من السرطان مثل سرطان الرئة والثدي، كما قد تؤذي الأشعة النسيج السليم المجاور أيضاً. يُعالج معظم الأطفال المصابين بلمفوما هودجكن بالعلاج الكيميائي، لكن يمكنهم أيضاً تلقي علاج شعاعي منخفض الجرعة.
زرع نخاع العظم أو الخلايا الجذعية
إذا عاد المرض بعد العلاج، قد يحتاج المريض لزرع نقي العظم أو الخلايا الجذعية، حيث يؤخذ نقي عظم المريض أو خلاياه الجذعية (ذاتي المنشأ) ويعالج لقتل الخلايا السرطانية، وبعدها يجمد نقي العظم أو الخلايا الجذعية ويخزن للحماية، ثم يتعرض المريض لجرعة عالية من العلاج الكيميائي لتدمير الخلايا السرطانية في الجسم، وفي نهاية الأمر، يُدفأ نقي العظم أو الخلايا الجذعية المجمدة وتحقن في الجسم عبر الأوردة.
معرض صور
انظر أيضًا
المصادر
- Lozano R, Naghavi M, Foreman K, Lim S, Shibuya K, Aboyans V, et al. (Dec 15, 2012). "Global and regional mortality from 235 causes of death for 20 age groups in 1990 and 2010: a systematic analysis for the Global Burden of Disease Study 2010". Lancet. 380 (9859): 2095–128. doi:10.1016/S0140-6736(12)61728-0. OCLC 23245604. PMID 23245604. الوسيط
|CitationClass=تم تجاهله (مساعدة) - "Al-Qamoos القاموس / English Arabic dictionary / قاموس إنجليزي عربي". مؤرشف من الأصل في 29 فبراير 2020. اطلع عليه بتاريخ 29 فبراير 2020. الوسيط
|CitationClass=تم تجاهله (مساعدة)
- داء هودجكن - موسوعة المورد، منير البعلبكي، 1991
- بوابة طب




