لمفومة الخلية القشرية
ليمفوما خلايا القشرية (MCL) هي نوع من ليمفوما اللاهودجكينية (NHL)، ويضم حوالي 6% من حالات NHL. [1] [2] يوجد حاليًا حوالي 15000 مريض في الولايات المتحدة بالمفوية الخلية القشرية.
| Mantle cell lymphoma | |
|---|---|
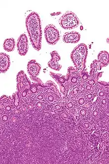
![]() صورة مجهرية تُظهر لمفومة الخلية القشرية(الجزء السفلي من الصورة) من خزعة في اللفائفي الطرفي صبغة الهيماتوكسيلين واليوزين. صورة مجهرية تُظهر لمفومة الخلية القشرية(الجزء السفلي من الصورة) من خزعة في اللفائفي الطرفي صبغة الهيماتوكسيلين واليوزين. | |
| معلومات عامة | |
| الاختصاص | علم الدم وعلم الأورام |
| من أنواع | لمفوما بائية الخلايا |
| الإدارة | |
| أدوية | بينداميوستين ، وليناليدوميد ، وتمسيروليموس ، وسيتارابين ، وإبروتينيب ، وبورتيزوميب ، وديكساميتازون ، وفينيتوسلاكس ، وريتوكسيماب ، ودوكسوروبيسين ، وأوبينوتوزوماب
|
الأعراض والعلامات
عادةً ما يكون مرضى لمفوما الخلية القشرية في الستينيات من عمرهم عند تشخيص المرض لديهم، وتكون اللمفوما ذات مرحلة متقدمة. يعاني نصف المرضى من أعراض من النموذج (ب)، مثل: الحمّى، أو التعرّق الليلي، أو فقدان الوزن غير المفسّر (أكثر من 10% من وزن الجسم). عادةً ما يُلاحَظ تضخّم في الغدد اللمفاوية (على شكل انتباج في منطقة الرقبة، أو تحت الإبط، أو الفخذ) أو تضخّم طحال. يُصاب النخاع الشوكي، والكبد، والجهاز الهضمي خلال مرحلة مبكرة نسبيًّا من مسار المرض. أُبلِغ عن حالات نادرة تترافق فيها لمفوما الخلية القشرية مع ردود فعل تحسّسية شديدة للدغات البعوض، تتراوح ردود الفعل هذه من تضخّم منطقة اللدغة وإيلامها، إلى تنخّر وأعراض جهازية (حمّى، وتضخّم الغدد اللمفية، وألم بطني، وإسهال)، أو في حالات نادرة إلى صدمة تأقية مهدّدة للحياة. تظهر ردود الفعل التحسّسية للدغة البعوض في حالات عديدة قبل تشخيص لمفوما الخلية القشرية، وتعتبر من الأعراض السريرية التي تظهر خلال بداية تطوّر المرض، وتُنذر بالإصابة بلمفوما الخلية القشرية.[3][4]
الإمراض
يعود سبب لمفوما الخلية القشرية (كما باقي السرطانات) إلى اكتساب مجموعة من الطفرات الجينية (غير الموروثة) التي تصيب الخلايا الجسدية، ما يزيد نسائل الخلايا اللمفية البائية الخبيثة. العوامل التي تحرّض التغيّرات الجينية غير معروفة حتى الآن، وغالبًا ما تتطوّر لمفوما الخلية القشرية لدى الأشخاص الذين لا يمتلكون عوامل خطر لتطوّر اللمفوما. لمفوما الخلية القشرية هو اضطراب مورّثي مكتسب، غير معدٍّ وغير وراثي.
السمّة المميزة للمفوما الخلية القشرية هي الطفرة وفرط التعبير اللذان يصيبان المورّثة «سيكلين د-1»، ما يلعب دورًا مهمًّا في الانتشار غير الطبيعي للخلايا الخبيثة. قد تكون خلايا لمفوما الخلية القشرية مقاومة للاستماتة المحرّضة بالأدوية، ما يجعل علاجها الكيميائي أو الشعاعي أكثر صعوبة. تتكاثر الخلايا المصابة وفق نموذج عقدي أو منتشر، وتترافق مع متغيرين خلويين رئيسيين: نموذجي أو أريمي. في الحالات النموذجية تكون الخلايا صغيرة إلى متوسطة الحجم، مع نوى غير منتظمة الشكل. في الشكل الآخر، تكون الخلايا متوسطة إلى كبيرة الحجم، مع كروماتين مشتّت بشكل منظّم، وبشكل عام ذو طبيعة عدوانية أكثر من الشكل الأول. تتراكم الخلايا الشاذّة في الجهاز اللمفاوي (العقد اللمفية، والطحال)، مؤدّيةً إلى سوء وظيفة الجهاز اللمفاوي في النهاية. قد تحل خلايا لمفوما الخلية القشرية محل الخلايا السليمة في نقي العظم، ما يؤثّر سلبًا على إنتاج خلايا الدم الأخرى.[5]
المراجع
- "Mantle Cell Lymphoma Facts" (PDF). lls.org. مؤرشف من الأصل (PDF) في 09 فبراير 2015. اطلع عليه بتاريخ 10 أبريل 2018. الوسيط
|CitationClass=تم تجاهله (مساعدة) - "Mantle cell lymphoma: state of the art". Clin Adv Hematol Oncol. 13 (1): 44–55. January 2015. PMID 25679973. الوسيط
|CitationClass=تم تجاهله (مساعدة) - Tatsuno K, Fujiyama T, Matsuoka H, Shimauchi T, Ito T, Tokura Y (June 2016). "Clinical categories of exaggerated skin reactions to mosquito bites and their pathophysiology". Journal of Dermatological Science. 82 (3): 145–52. doi:10.1016/j.jdermsci.2016.04.010. PMID 27177994. الوسيط
|CitationClass=تم تجاهله (مساعدة) - Kyriakidis I, Vasileiou E, Karastrati S, Tragiannidis A, Gompakis N, Hatzistilianou M (December 2016). "Primary EBV infection and hypersensitivity to mosquito bites: a case report". Virologica Sinica. 31 (6): 517–520. doi:10.1007/s12250-016-3868-4. PMID 27900557. S2CID 7996104. الوسيط
|CitationClass=تم تجاهله (مساعدة) - Goy, Andre. "Mantle Cell Lymphoma: An Update for Clinicians". مدسكيب. مؤرشف من الأصل في 17 ديسمبر 2020. اطلع عليه بتاريخ 18 أكتوبر 2007. الوسيط
|CitationClass=تم تجاهله (مساعدة)
قراءة متعمقة
- "Current Approaches to Mantle Cell Lymphoma: Diagnosis, Prognosis, and Therapies". Am Soc Clin Oncol Educ Book. 37 (37): 512–25. 2017. doi:10.1200/EDBK_175448. PMID 28561694. الوسيط
|CitationClass=تم تجاهله (مساعدة) - "How to manage mantle cell lymphoma". Leukemia. 28 (11): 2117–30. November 2014. doi:10.1038/leu.2014.171. PMID 24854989. الوسيط
|CitationClass=تم تجاهله (مساعدة) - "Current overview and treatment of mantle cell lymphoma". F1000Res. 7: 1136. 2018. doi:10.12688/f1000research.14122.1. PMID 30109020. الوسيط
|CitationClass=تم تجاهله (مساعدة)
