متصورة نشيطة
المتصورة النشيطة (الاسم العلمي: Plasmodium vivax) هي نوع من الأسناخ الصبغية تتبع جنس المتصورة من فصيلة المتصورات.[1] وهي طفيل أولي وممراض بشري. إنها المسبب الأكثر شيوعا لمرض الملاريا من بين خمسة أنواع الطفيليات التي تسبب الملاريا في البشر.[2] إنها أقل حدة من المتصورة المنجلية، أكثرهم فتكا، لكن ملاريا المتصورة النشيط قد تؤدي إلى مرض شديد والموت نتيجة تضخم الطحال.[3][4] تنتقل المتصورة المنجلية بواسطة بعوضة الأنفيل الأنثى.
اضغط هنا للاطلاع على كيفية قراءة التصنيف المتصورة النشيطة | |
|---|---|
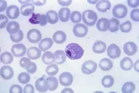
![]() أتروفة متصورة نشيطة ناضجة | |
| المرتبة التصنيفية | نوع |
| التصنيف العلمي | |
| النطاق: | حقيقيات النوى |
| المملكة: | أسناخ صبغية |
| غير مصنف: | الطلائعيات السناخية |
| الشعبة: | الناقصات |
| الشعيبة: | الماصات |
| غير مصنف: | معقدات القمة |
| غير مصنف: | البوائغ |
| الطائفة: | أكريات الشكل |
| غير مصنف: | الدمويات |
| غير مصنف: | البوغيات الدموية وأشباهها |
| الرتبة: | البوغيات الدموية |
| الفصيلة: | المتصورات |
| الجنس: | المتصورة |
| النوع: | متصورة نشيطة |
| الاسم العلمي | |
| Plasmodium vivax Grassi & Feletti، 1890 | |
تكون امبيبة الشكل وغير منتظمة وكبيرة الحجم وتشغل معظم حجم الكرية الحمراء المصابة كما تحوي هيولاها على حبيبات سوداء أو بنية مصفرة تعرف بالاصبغة البردائية، كما تسبب تنكّس خضاب الكريات الحمراء لحبيبات تعرف بحبيبات شوفنر. وتكون الامشاج الأنثوية متجانسة ومائلة للكرية المصابة وتصطبغ باللون الاحمر عند صبغها بصبغة جيمزا اما الامشاج الذكرية فتكون أصغر حجما وحاوية على نواة كبيرة وذات لون ازرق عند الصبغ بالصبغة المذكورة.
انظر أيضًا
مراجع
- متصورة نشيطة تاريخ الولوج 21 نيسان 2018 نسخة محفوظة 18 يونيو 2018 على موقع واي باك مشين.
- White, NJ (Jan 15, 2008). "Plasmodium knowlesi: the sixth human malaria parasite". Clinical Infectious Diseases. 46 (2): 172–3. doi:10.1086/524889. PMID 18171246. الوسيط
|CitationClass=تم تجاهله (مساعدة) - Baird, J. Kevin (1 November 2007). "Neglect of Plasmodium vivax malaria". Trends in Parasitology. 23 (11): 533–539. doi:10.1016/j.pt.2007.08.011. الوسيط
|CitationClass=تم تجاهله (مساعدة) - Anstey, NM; Douglas, NM; Poespoprodjo, JR; Price, RN (2012). "Plasmodium vivax: clinical spectrum, risk factors and pathogenesis". Advances in parasitology. 80: 151–201. doi:10.1016/b978-0-12-397900-1.00003-7. PMID 23199488. الوسيط
|CitationClass=تم تجاهله (مساعدة)
- بوابة علم الأحياء الدقيقة
- بوابة علم الأحياء
- بوابة طب
صور وملفات صوتية من كومنز
أنواع من ويكي أنواع.
