متلازمة أوغيلفي
متلازمة أوغيلفي هي اتساع حاد في القولون في حالة عدم وجود أي عوائق ميكانيكية في المرضى الذين يعانون من آلام مبرحة.[1]
| متلازمة أوغيلفي | |
|---|---|
| معلومات عامة | |
| الاختصاص | طب الجهاز الهضمي |
| من أنواع | انسداد معوي زائف |
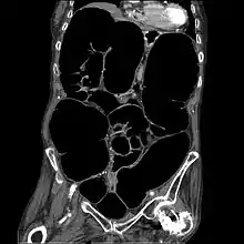
يتميز القولون الزائف بوجود العراقيل التي تؤدي إلى توسع هائل في الأعور (قطر أكبر من 10 سم) والقولون الأيمن على البطن للأشعة السينية.[2][3] هو نوع من تضخم القولون، الذي يشار إليه أحيانا باسم "تضخم القولون الحاد"، لتمييزه عن تضخم القولون السام.
تحمل المتلازمة اسم الجراح البريطاني السير وليام هيناج أوغيلفي (1887-1971) وهو أول من أفاد عنها عام 1948.[4][5][6]
السبب
قد تحدث متلازمة أوغيلفي بعد الجراحة، وخصوصا بعد جراحة فتح مجرى جانبي للشريان التاجي وجراحة استبدال المفصل بمفصل اصطناعي.[7] تساهم الأدوية التي تخل حركية القولون (على سبيل المثال، مضادات الكولين أو مسكن ألم) في تطوير هذه الحالة.[2][8]
فزيولوجيا المرض

الآلية الدقيقة للمتلازمة غير معروفة. التفسير المحتمل هو خلل في تنظيم النشاط الحركي للقولون عن طريق الجهاز العصبي اللاإرادي.[1] تبين أن تنشيط الفيروس النطاقي الحماقي (الذي يسبب جدري الماء والحزام الناري) في الجهاز العصبي المعوي قد يكون سبب متلازمة أوغيلفي.[9]
يتطور تضخم القولون الحاد بسبب حركة الأمعاء الغير طبيعية. حركة القولون العادية تتطلب تكامل المنشأ العضلي، العصبي، والتأثيرات الهرمونية. الجهاز العصبي المعوي مستقل ولكنه مرتبط بالجهاز العصبي المركزي عن طريق الأعصاب المتجانسة والغير متجانسة. أهداف الخلايا العصبية المعوية هي خلايا العضلات، والخلايا الإفرازية، وخلايا الغدد الصماء، والأوعية الدموية الدقيقة، والخلايا الالتهابية. يتم تحفيز الخلايا العصبية في الضفائر المعوية عن طريق البلعة الغذائية، وكلاهما يضخم الأمعاء ويحفز السطح المخاطي، مما يؤدي إلى الإفراج عن العوامل التي تحفز الخلايا التي تستجيب للتحفيز العصبي. هذه الخلايا تحفز نقل الإشارات إلى مثير قريب، مما يسبب تقلص وتثبيط الإشارات بشكل أقصى، وهذا بدوره يسبب الاسترخاء. وتنتقل هذه الإشارات من قبل أستيل الناقلات العصبية والسيروتونين، وغيرها.[10]
يمكن أن يؤدي تضخم القولون الحاد إلى نخر الدماغ في القطاعات المعوية المتوسعة بشكل كبير. يُفسر هذا بقاعدة باسكال ومعادلة ينغ لابلاس. ينص قانون باسكال على أن أي تغيير في الضغط عند أي نقطة في السائل المغلقة في بقية ينتقل غير منقوص لجميع النقاط في السائل. حى يتساوى الضغط في جميع أنحاء التجويف. تنص معادلة لابلاس أن (T = p x r / (2 x t، حيث T = توتر الجدار، p= الضغط، r = نصف قطرها، t = سمك الجدار؛ توتر الجدار متناسبا مع نصف قطر الدائرة. ولذلك، فإن الجزء المعوي المتوسع لديه توتر الجدار أكبر من الجزء المعوي الغير متوسع. إذا كان التوسع والتوتر كبير بما فيه الكفاية، يمكن أن يحث تعرقل تدفق الدم ونقص تروية الأمعاء.[10] متلازمة أوغيلفي قد تسبب التواء الأمعاء وانسدادها.
العلامات والأعراض
عادة ما يعاني المريض من انتفاخ في البطن وألم وحركات أمعاء متغيره.[2][8] قد يكون لديه غثيان وقيء أيضا.[11]
العلاج
عادة ما يزول مع العلاج المحافظ ووقف ابتلاع الطعام عن طريق الفم، حجب الغذاء والسوائل عن طريق الفم وادخالها عن طريق أنبوب أنفي معدي، [2] ولكن قد يتطلب تنظير القولون وهو طريقة ناجحة في 70٪ من الحالات. وأظهرت الدراسة التي نشرت في نيو إنغلاند جورنال أوف ميديسين أن نيوستيغمين هو وسيلة دوائية فعالة لتخفيف ضغط القولون.[1] وفقا للجمعية الأمريكية لمناظير الجهاز الهضمى، وينبغي النظر في ذلك قبل استخدام تنظير القولون. لا يخلو استخدام نيوستيغمين من المخاطر نظرا لأنه يمكن أن يُحدث اضطراب النظم البطئي وتشنج العضلات الملساء إنتاج تضييق الشعب الهوائية (الربو).[8] ولذلك يجب أن يكون الأتروبين في متناول اليد الفوري عند استخدام هذا العلاج.[1][2][3]
تطور المرض
هو اضطراب طبي خطير ويمكن أن تصل معدلات وفياته إلى 30٪.[8] معدل الوفيات المرتفع المحتمل يمكن أن يكون دليل على أن هذه المتلازمة تحث في المرضى ذوي الحالات الحرجة، بدلا من أن تكون هذه المتلازمة في حد ذاتها قاتلة، على الرغم من أنه يمكن أيضا أن تحدث في الأفراد الأصحاء (وخاصة إذا كانت بفعل الفوضى التي سببها الوكلاء الصيادلة). تسبب المخدرات تضخم القولون الناجم من (كلوزابين) مع معدل وفيات عالية مثل 27.5٪.[10]
المصادر
- Ponec RJ, Saunders MD, Kimmey MB (1999). "Neostigmine for the treatment of acute colonic pseudo-obstruction". N. Engl. J. Med. 341 (3): 137–41. doi:10.1056/NEJM199907153410301. PMID 10403850. مؤرشف من الأصل في 25 يوليو 2009. الوسيط
|CitationClass=تم تجاهله (مساعدة)صيانة CS1: أسماء متعددة: قائمة المؤلفون (link) - Feldman, Mark; Friedman, Lawrence S.; Sleisenger, Marvin H. (July 2002). Sleisenger & Fordtran's Gastrointestinal and Liver Disease (الطبعة 7th). Elsevier. ISBN 978-0-7216-8973-9. مؤرشف من الأصل في 26 سبتمبر 2007. الوسيط
|CitationClass=تم تجاهله (مساعدة) - Pratt DS, Epstein SK (2000). "Recent advances in critical care gastroenterology". Am. J. Respir. Crit. Care Med. 161 (5): 1417–20. doi:10.1164/ajrccm.161.5.16159. PMID 10806132. مؤرشف من الأصل في 27 سبتمبر 2011. الوسيط
|CitationClass=تم تجاهله (مساعدة) - Ogilvie H (1948). "Large-intestine Colic due to Sympathetic Deprivation". Br Med J. 2 (4579): 671–673. doi:10.1136/bmj.2.4579.671. PMC 2091708. PMID 18886657. الوسيط
|CitationClass=تم تجاهله (مساعدة) Reproduced in: Ogilvie WH (December 1987). "William Heneage Ogilvie 1887-1971. Large-intestine colic due to sympathetic deprivation. A new clinical syndrome". Dis. Colon Rectum. 30 (12): 984–7. doi:10.1007/BF02554291. PMID 3319452. الوسيط|CitationClass=تم تجاهله (مساعدة) - Sir William Heneage Ogilvie على قاموس من سمى هذا؟
- Haubrich WS (2008). "Ogilvie of the Ogilvie Syndrome". Gastroenterology. 135 (2): 337. doi:10.1053/j.gastro.2008.06.071. الوسيط
|CitationClass=تم تجاهله (مساعدة) - Tenofsky PL, Beamer L, Smith RS (2000). "Ogilvie syndrome as a postoperative complication". Arch Surg. 135 (6): 682–6, discussion 686–7. doi:10.1001/archsurg.135.6.682. PMID 10843364. مؤرشف من الأصل في 13 فبراير 2012. الوسيط
|CitationClass=تم تجاهله (مساعدة)صيانة CS1: أسماء متعددة: قائمة المؤلفون (link) - Irwin, Richard S.; Rippe, James M. (January 2003). Intensive Care Medicine. Lippincott Williams & Wilkins, Philadelphia & London. ISBN 0-7817-3548-3. مؤرشف من الأصل في 28 يونيو 2010. الوسيط
|CitationClass=تم تجاهله (مساعدة) - Gershon, A. A. (2013). "Varicella zoster vaccines and their implications for development of HSV vaccines". Virology. 435 (1): 29–36. doi:10.1016/j.virol.2012.10.006. PMC 3595154. PMID 23217613. الوسيط
|CitationClass=تم تجاهله (مساعدة) - Alam HB, Fricchione GL, Guimaraes AS, Zukerberg LR (October 2009). "Case records of the Massachusetts General Hospital. Case 31-2009. A 26-year-old man with abdominal distention and shock". N. Engl. J. Med. 361 (15): 1487–96. doi:10.1056/NEJMcpc0900643. PMID 19812406. مؤرشف من الأصل في 13 ديسمبر 2019. الوسيط
|CitationClass=تم تجاهله (مساعدة)صيانة CS1: أسماء متعددة: قائمة المؤلفون (link) - Skeik N Jabr FI (2009). "Ogilvie Syndrome". Consultant. 49 (2). مؤرشف من الأصل في 01 يونيو 2009. الوسيط
|CitationClass=تم تجاهله (مساعدة)
- بوابة طب