متلازمة النسر
متلازمة إيجل أو متلازمة إيغل (بالإنجليزية: Eagle syndrome) هي حالة نادرة يتم التعرف عليها عن طريق ألم مفاجئ وحاد كألم الأعصاب في الفك السفلي و المفصل الصدغي الفكي و الجزء الخلفي من الحلق و قاعدة اللسان، يحدث عند البلع، أو تحريك الفك، أو تغيير اتجاه الرقبة. تمت تسميتها بهذا الاسم نسبةً إلى الطبيب الذي وصفها لأول مرة عام 1937، الحالة تنتج بسبب زائدة إبرية طويلة أو شكلها غير طبيعي، وهو القطعة الضعيفة المشار إليها تحت الأذن مباشرةً، أو بسبب تعظم الرباط الإبري اللامي، و الذي يتداخل مع وظائف المناطق المجاورة في الجسم، مما يجعل الألم أكبر.
| متلازمة النسر | |
|---|---|
| المظهر السريري | |
| الأعراض | ألم الرقبة ، وألم الأذن |

العلامات والأعراض
الأعراض الممكنة تتضمن :
• ألم حاد في الرقبة، و/أو الجزء الخلفي من الحلق، و/أو قاعدة اللسان ، و/أو الأذنين، و/أو الرقبة، و/أو الوجه [1]
• الإحساس بوجود جسم غريب في الحلق[1]
• ألم ناتج عن المضغ، أو البلع، أو تغيير اتجاه الرقبة، أو لمس الجزء الخلفي من الحلق [1]
• صوت رنين أو طنين في الأذنين.
متلازمة إيجل التقليدية تحدث في جانب واحد فقط، ولكن نادراً ما تحدث على كلا الجانبين [1]
في حالة متلازمة إيجل الدموية فإن البروز الإبري الطويل يصل إلى الشريان السباتي الباطني تحت الجمجمة. في تلك الحالات فإن تغير اتجاه الرقبة ممكن أن يسبب ضغط على الشريان أو تمزق في الأوعية الدموية، و بالتالي تحد من تدفق الدم و من الممكن أن تؤدي إلى نوبة نقص تروية عابرة أو إلى سكتة[1]
السبب
السبب في هذه الحالة غير معروف.
التشخيص





عند التشخيص يتم الاشتباه في هذه الحالة عندما تظهر لدى المريض أعراض متلازمة إيجل التقليدية مثل : آلام في جانب واحد من الرقبة، أو التهاب الحلق ، أو طنين في الأذن. في بعض الأحيان يكون قمة الزائدة الإبرية محسوسة في الجزء الخلفي من الحلق.
أما تشخيص متلازمة إيجل الدموية أصعب ويحتاج رأي طبيب خبير.
الأعراض قد تصبح أسوأ عند لمس البروز الإبري باليدين من خلال اللوزتين.
من أجل أن تتعافى الأعراض يتم تسريب أو ترشيح يدوكائين إلى اللوزتين.
يوجد العديد من الأوعية الدموية الكبيرة بالقرب من هذه المنطقة، وبالتالي فإن تلك العملية تتم بحذر تجنباً لأي مخاطر.
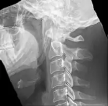
التخيل مهم ويساعد في التشخيص، لذلك يتم تصوير البروز الإبري عن طريق الأشعة المقطعية مع إعادة البناء ثلاثية الأبعاد لأنها التقنية المُثلى في هذا المجال.[2]
البروز الإبري المتضخم يُمكن أن يُري عن طريق صورة بالأشعة السينية لنسيج رخو من الرقبة.
البروز الإبري المتضخم (>30ملم) يحدث في حوالي 4% من التعداد السكاني، و أقل من 4% من التعداد السكاني ذا البروز الإبري المتضخم يظهر لديها تلك الأعراض.
العلاج
في حالة متلازمة إيجل التقليدية أو الدموية فإن العلاج يكون بالتدخل الجراحي [3] عن طريق استئصال جزئي للبروز الإبري لأن ذلك هو الأسلوب المفضل. جدير بالذكر أيضاً أن إصلاح الشريان السباتي التالف مهم لمنع المضاعفات العصبية الأبعد.
و مع ذلك فإن إعادة نمو البروز الإبري وعودة المرض هو شيء شائع الحدوث.[4]
علم الأوبئة
يعاني 4% من إجمالي تعداد البشر من تضخم البروز الإبري، ولا تظهر الأعراض المرضية للمتلازمة إلا لدى نسبة 4% منهم تقريباً . لذلك فإن نسبة ظهور هذه المتلازمة هي 0.16% .
المرضى المصابين بهذه الحالة يتراوحون في الفئة العمرية 30-50 عاماً، ولكنها وُجدت أيضاً عند مراهقين و ناس أكبر من 75 عاماً. و هي شائعة أكثر في النساء عن الرجال بنسبة 2:1.[5][5]
تاريخيـاً
تلك المتلازمة وُصفت لأول مرة بواسطة طبيب الأنف و الأذن و الحنجرة وات ويمز إيجل في عام 1937.[5]
المصادر
- Kamal, A; Nazir, R; Usman, M; Salam, BU; Sana, F (November 2014). "Eagle syndrome; radiological evaluation and management". JPMA. The Journal of the Pakistan Medical Association. 64 (11): 1315–7. PMID 25831655. الوسيط
|CitationClass=تم تجاهله (مساعدة) - Karam C, Koussa S (December 2007). "[Eagle syndrome: the role of CT scan with 3D reconstructions]". J Neuroradiol (باللغة الفرنسية). 34 (5): 344–5. doi:10.1016/j.neurad.2007.08.001. PMID 17997158. مؤرشف من الأصل في 18 نوفمبر 2018. الوسيط
|CitationClass=تم تجاهله (مساعدة) - Orhan KS, Güldiken Y, Ural HI, Cakmak A (April 2005). "[Elongated styloid process (Eagle's syndrome): literature review and a case report]". Agri (باللغة التركية). 17 (2): 23–5. PMID 15977090. الوسيط
|CitationClass=تم تجاهله (مساعدة) - Scully C (21 July 2014). Scully's Medical Problems in Dentistry. Elsevier Health Sciences UK. ISBN 978-0-7020-5963-6. مؤرشف من الأصل في 8 سبتمبر 2017. الوسيط
|CitationClass=تم تجاهله (مساعدة) - Petrović, B; Radak, D; Kostić, V; Covicković-Sternić, N (2008). "[Styloid syndrome: a review of literature]". Srpski arhiv za celokupno lekarstvo. 136 (11–12): 667–74. PMID 19177834. الوسيط
|CitationClass=تم تجاهله (مساعدة)
- بوابة طب