متلازمة راي
متلازمة راي هي مرض عصبي حاد يتطور بشكل أساسي عند الأطفال بعد الإصابة بالإنفلونزا، الجدري أو أي عدوى فيروسية أخرى. يمكن أن يؤدي إلى تجمع الدهون في الكبد وورم في الدماغ. تحدث عن هذا المرض لأول مرة عالم الأمراض الأسترالي راي في 1963. متلازمة راي تحصل عادة خلال فترة الشفاء من مرض فيروسي، ولكن من الممكن أن تحصل أيضا بعد التسمم بالوارفارين أو الأفلاتوكسين. لوحظ أيضا بأنها مرتبطة باستعمال الأسبيرين أو الساليسيلات الأخرى خلال المرض الفيروسي.[1]
| متلازمة راي | |
|---|---|
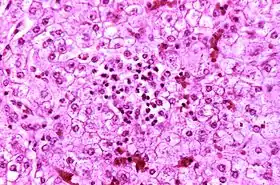
![]() مقطع من كبد طفل توفي بمتلازمة راي. الخلايا الكبدية تظهر باهتة اللون بسبب امتلائها بالقطيرات الشحمية. مقطع من كبد طفل توفي بمتلازمة راي. الخلايا الكبدية تظهر باهتة اللون بسبب امتلائها بالقطيرات الشحمية. | |
| معلومات عامة | |
| الاختصاص | طب الجهاز العصبي |
| من أنواع | متلازمة ، واعتلال دماغي ، ومرض شامل |
| الأسباب | |
| الأسباب | أسبرين |
| الإدارة | |
| أدوية | |
الأعراض الأولية
غثيان، تقيؤ، خمول وقلق. بعد عدة ساعات أو أيام يلاحظ نعاس، تشوش فكري، تقبضات، توقف التنفس ويحدث السبات.
أعراض متقدمة
عد أخذ المصاب الفيروس بأربعة أيام إلى ستة، يبدأ الطفل يعاني من حمى مصحوبة بقئ شديد ثم تظهر عليه تغيرات عقلية وشخصية على هيئة خمول وتشوش في الذهن وبلادة وضعف في الذاكرة وأحيانا هياج وعنف غير معتادين، بالإضافة إلى ذلك ربما يعاني المصاب من ضعف أو شلل في الأذرع أو السيقان، ورؤية مزدوجة مع شعور بخفقان القلب وصعوبة في الكلام، تضعف سلامة ومناعة الجلد، وربما فقدان للسمع، ومن المحتمل ان يتبع ذلك تشنجات وغيبوبة وتدمير للمخ وذلك نتيجة للتورم المائي المعروف بالاستسقاء للمخ أو الفشل التنفسي.
تنصح حالياً لجنة سلامة الأدوية في المملكة المتحدة أن الأسبرين لا ينبغي أن يعطى للذين تقل أعمارهم عن 16 سنة، ما لم يشر بالتحديد إلى ذلك في حال مرض كاواساكي أو في الوقاية من تكوين تجلط الدم.[2]
أسباب
السبب الدقيق لمتلازمة راي غير معروف ولكن يعتقد بأنه يتعلق بالأذى الفيروسي المحدث في الجسيمات الميتوكندرية الدماغية (البنى الخلوية المسؤولة عن استقلاب الطاقة). إن انخفاض استخدام الساليسيلات في معالجة الإصابة الفيروسية عند الأطفال ساهم في انخفاض حصول هذه المتلازمة. على الرغم من أنه لا يوجد علاج محدد لها، لكن تتضمن المعالجة مراقبة الوظائف الحيوية للمريض بعناية ومحاولة تصحيح اضطراب التوازن لديه بالمضادات الحيوية، الانسولين، الستيروئيدات القشرية، الغلوكوز، المدرات، مصل الدم، وعناصر مساعدة أخرى. أكثر من 70% من المرضى تمكنوا من الشفاء; بعضهم بشكل كلي بينما استمرت لدى الآخرين معاناة من درجة من الأذى الدماغي.
لوحظ أيضا بعض الحالات النادرة التي حدثت بسبب إعطاء الاسبرين للاطفال بعد اخذ جرعات التطعيم الاعتيادية، لذلك ينصح بعدم إعطاء الأطفال مادة الاسبرين الا عند استشارة الطبيب.[3]
يسبب المرض الكبد الدهني مع الحدّ الأدنى من الالتهاب واعتلال الدماغ الحاد (مع تورم في الدماغ). قد يتضخم القلب قليلاً ويتغيّر مظهر الكلى. اليرقان غير موجود عادةُ. التشخيص المبكر هو أمر حيوي. في حين أن معظم الأطفال يتعافون من العلاج الداعم. الإصابة الحادة في الدماغ أو الموت هي من المضاعفات المحتملة.
انظر أيضا
المصادر
- الأسبرين يضر الأطفال دون 12 عاما - الجزيرة.نت نسخة محفوظة 02 يناير 2014 على موقع واي باك مشين.
- 2.9 Antiplatelet drugs". British National Formulary for Children. British Medical Association and Royal Pharmaceutical Society of Great Britain. 2007. pp. 151.
- Immunization Reactions | Seattle Children’s Hospital نسخة محفوظة 17 مايو 2018 على موقع واي باك مشين.
- بوابة طب
