متلازمة غودباستشر
متلازمة غودباستشار (بالإنجليزية: Goodpasture syndrome)GPS ويسمى أيضًا "مرض الغشاء القاعدي الكبيبي" . هو مرض نادر ينتمي إلى اضطرابات المناعة الذاتية.[3] يتميز بنزيف متكرر في الرئتين بالإضافة إلى الالتهاب السريع للكلى والتي تترافق بظهور مضادات لأسناخ الرئتين، ولغشاء قاعدة كبيبات الكلى[4] ، والتي تعرف باسم الاضطراب ذاتي المناعة الناجم عن مهاجمة الجهاز المناعي للكولاجين في بطانة الحويصلات الهوائية في الرئتين والكبيبات الكلوية بإنتاجه للأجسام المُضادة للغشاء القاعدي الكُبيبي المسؤول عن ترشيح الماء والسوائل الفائضة في الدم والتسبب بالنزيف الرئوي والتهاب الوحدات الكلوية المرشحة .[5][6]
| متلازمة غودباستشر | |
|---|---|
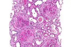
![]() صورة مجهرية من التهاب كبيبات الكلى الهلالي الذي تبين أن المرض مكافحة غشاء الكبيبي الطابق السفلي صورة مجهرية من التهاب كبيبات الكلى الهلالي الذي تبين أن المرض مكافحة غشاء الكبيبي الطابق السفلي | |
| معلومات عامة | |
| الاختصاص | طب الكلى ، وطب الرئة ، وعلم المناعة |
| من أنواع | مرض رئوي ، ومرض مناعي ذاتي ، واعتلال الكلية |
| الموقع التشريحي | كلية [1] |
| المظهر السريري | |
| الأعراض | نزف [2] |
| التاريخ | |
| سُمي باسم | أرنست وليام غودباستير |
الوبائيات
المرض نادر، حيث يصيب حوالي 0.5-1.8 لكل مليون شخص سنويًا في أوروبا وآسيا[7] ، أكثر شيوعًا عند الذكور منه عند الإناث ، كما أنه أقل شيوعًا عند السود منه في البيض ، ولكنه أكثر شيوعًا في شعب الماوري في نيوزيلندا.[7] تتراوح أعمار الذروة لظهور المرض بين 20-30 و 60-70 سنة.[7]
الأعراض
تهاجم الأجسام المضادة الغشاء القاعدي الكُبيبي للكليتين والرئتين بشكل أساسي، على الرغم من أن الأعراض العامة مثل الشعور بالضيق وفقدان الوزن والتعب والحمى والقشعريرة شائعة أيضًا، وكذلك آلام المفاصل.[8]
60إلى 80٪ من المصابين بهذه الحالة يعانون من تأثر في الرئة والكلى؛ 20-40٪ لديهم تأثر بالكلى وحدها، وأقل من 10٪ يعانون من تأثر في الرئة فقط.[8] عادة ما تسبق أعراض الرئة أعراض الكلى و تشمل: سعال مصحوب بالدم وألم في الصدر (في أقل من 50٪ من الحالات بشكل عام) وسعال وضيق في التنفس.[9] أما أعراض الكلى وجود دم في البول، وبروتين في البول، وتورم غير مبرر في الأطراف أو الوجه، وكميات عالية من اليوريا في الدم، وارتفاع ضغط الدم.[8]
الخلاصة: تتميز الأعراض على النحو التالي:
الأسباب
سببها الدقيق غير معروف، ولكن هناك بعض العوامل التي تساعد على ظهور المرض منها: التعرض للمذيبات العضوية(مثل الكلوروفورم) أو الهيدروكربونات، والتعرض لدخان التبغ، وبعض الأليلات(HLA-DR15) والعدوى (مثل الأنفلونزا أ)، واستنشاق الكوكايين، واستنشاق غبار المعادن، وتجرثم الدم، والإنتان، والبيئات عالية الأكسجين، والعلاج بمضادات الخلايا(خاصة الأجسام المضادة وحيدة النسيلة) لكن ربما يعتبر السبب الرئيسي لحدوث هذه المتلازمة هو الإصابة بالعدوى الفيروسية أو استنشاق المُذيبات الهيدروكربونية[10] وقد تكون عوامل الإصابة بالمتلازمة مجهولة كحال باقي الاضطرابات ذاتية المناعة.[11]
الفيزيولوجيا المرضية
ناجم عن إنتاج خلايا البلازما غير الطبيعية للأجسام المضادة للغشاء القاعدي الكبيبي. تهاجم هذه الأجسام الغشاء القاعدي الكبيبي للحويصلات الهوائية والأغشية القاعدية للكبيبات الكلوية.[7] تربط هذه الأجسام المضادة حواتمها التفاعلية بالأغشية القاعدية وتنشط جملة المتممة مما يؤدي إلى موت الخلايا الموسومة. الخلايا التائية متورطة أيضًا.[7]
التشخيص
غالبًا ما يكون التشخيص صعبًا، حيث يمكن أن تسبب العديد من الأمراض نفس الأعراض، والحالة بحد ذاتها نادرة.[12] أدق وسيلة لتحقيق التشخيص هو فحص الأنسجة المصابة عن طريق الخزعة، وخاصة الكلى، حيث أنه العضو المدروس بشكل أفضل للحصول على عينة لوجود الأجسام المضادة لغشاء الكبيبات القاعدي. علاوة على الأجسام المضادة للغشاء القاعدي للكبيبات المتورطة في هذا المرض[12]، فإن واحدًا من كل ثلاثة من المصابين لديه أيضًا الأضداد السيتوبلازمية للخلايا في مجرى الدم، والتي غالبًا ما تسبق الأجسام المضادة للغشاء القاعدي الكبيبي بحوالي بضعة أشهر أو حتى سنوات. وكلما تم تشخيص المرض متأخرًا، كانت النتيجة أسوأ بالنسبة للشخص المصاب.[7]
العلاج
قد يشمل علاج متلازمة غودباستشار التخلص من الأجسام المُضادة من مجرى الدم من خلال فصادة البلازما حيث يتم تبديل البلازما بسوائل وبروتينات للتقليل من أثر الالتهاب في الكليتين والرئتين كما يشمل استخدام العقاقير الدوائية المُثبطة للجهاز المناعي والخافضة لضغط الدم. وقد تعطى بعض الأدوية للعلاج مثل بريدنيسون - سيكلوفسفاميد.[13]
الإنذار
مع العلاج، يكون معدل البقاء على قيد الحياة لمدة خمس سنوات أقل من 80٪ فيما أقل من 30٪ من الأفراد المصابين يحتاجون إلى غسيل كلوي طويل الأمد. أظهرت دراسة أجريت في أستراليا ونيوزيلندا أنه في المرضى الذين يحتاجون إلى علاج استبدال الكلى (بما في ذلك غسيل الكلى)، فإن متوسط مدة البقاء على قيد الحياة هو 5.93 سنة، وبدون العلاج سيموت كل شخص مصاب تقريبًا إما من الفشل الكلوي المتقدم أو نزيف الرئة.[7]
مراجع
- معرف أنطولوجية المرض: http://www.disease-ontology.org/?id=DOID:9808 — تاريخ الاطلاع: 15 مايو 2019 — الرخصة: CC0
- معرف أنطولوجية المرض: http://www.disease-ontology.org/?id=DOID:9808 — تاريخ الاطلاع: 29 نوفمبر 2020 — الرخصة: CC0
- COL4A3 - collagen, type IV, alpha 3 (Goodpasture antigen) - Genetics Home Reference نسخة محفوظة 12 فبراير 2018 على موقع واي باك مشين.
- Thibaud, V.; Rioux-Leclercq, N.; Vigneau, C.; Morice, S. (December 2019). "Recurrence of Goodpasture syndrome without circulating anti-glomerular basement membrane antibodies after kidney transplant, a case report". BMC Nephrology (باللغة الإنجليزية). 20 (1): 6. doi:10.1186/s12882-018-1197-6. ISSN 1471-2369. PMC 6323659. PMID 30621605. مؤرشف من الأصل في 6 فبراير 2020. الوسيط
|CitationClass=تم تجاهله (مساعدة) - Goodpasture EW (1919). "The significance of certain pulmonary lesions in relation to the etiology of influenza". Am J Med Sci. 158 (6): 863–870. doi:10.1097/00000441-191911000-00012. الوسيط
|CitationClass=تم تجاهله (مساعدة) - Salama AD, Levy JB, Lightstone L, Pusey CD (سبتمبر 2001). "Goodpasture's disease". Lancet. 358 (9285): 917–920. doi:10.1016/S0140-6736(01)06077-9. PMID 11567730. الوسيط
|CitationClass=تم تجاهله (مساعدة)صيانة CS1: أسماء متعددة: قائمة المؤلفون (link) - Kathuria, P; Sanghera, P; Stevenson, FT; Sharma, S; Lederer, E; Lohr, JW; Talavera, F; Verrelli, M (21 May 2013). Batuman, C (المحرر). "Goodpasture Syndrome". Medscape Reference. WebMD. مؤرشف من الأصل في 20 أبريل 2019. اطلع عليه بتاريخ 14 مارس 2014. الوسيط
|CitationClass=تم تجاهله (مساعدة)صيانة CS1: أسماء متعددة: قائمة المؤلفون (link) - Kathuria, P; Sanghera, P; Stevenson, FT; Sharma, S; Lederer, E; Lohr, JW; Talavera, F; Verrelli, M (21 May 2013). Batuman, C (المحرر). "Goodpasture Syndrome Clinical Presentation". Medscape Reference. WebMD. مؤرشف من الأصل في 4 أكتوبر 2018. اطلع عليه بتاريخ 14 مارس 2014. الوسيط
|CitationClass=تم تجاهله (مساعدة) - Schwarz, MI (November 2013). "Goodpasture Syndrome: Diffuse Alveolar Hemorrhage and Pulmonary-Renal Syndrome". Merck Manual Professional. مؤرشف من الأصل في 27 يونيو 2018. اطلع عليه بتاريخ 14 مارس 2014. الوسيط
|CitationClass=تم تجاهله (مساعدة) - Kathuria, P; Sanghera, P; Stevenson, FT; Sharma, S; Lederer, E; Lohr, JW; Talavera, F; Verrelli, M (21 May 2013). Batuman, C (المحرر). "Goodpasture Syndrome Clinical Presentation". Medscape Reference. WebMD. مؤرشف من الأصل في 4 أكتوبر 2018. اطلع عليه بتاريخ 14 مارس 2014. الوسيط
|CitationClass=تم تجاهله (مساعدة)صيانة CS1: أسماء متعددة: قائمة المؤلفون (link) - Schwarz, MI (نوفمبر 2013). "Goodpasture Syndrome: Diffuse Alveolar Hemorrhage and Pulmonary-Renal Syndrome". Merck Manual Professional. مؤرشف من الأصل في 12 أبريل 2015. اطلع عليه بتاريخ 14 مارس 2014. الوسيط
|CitationClass=تم تجاهله (مساعدة) - Kathuria, P; Sanghera, P; Stevenson, FT; Sharma, S; Lederer, E; Lohr, JW; Talavera, F; Verrelli, M (21 May 2013). Batuman, C (المحرر). "Goodpasture Syndrome Workup". Medscape Reference. WebMD. مؤرشف من الأصل في 09 أبريل 2019. اطلع عليه بتاريخ 14 مارس 2014. الوسيط
|CitationClass=تم تجاهله (مساعدة) - Kathuria, P; Sanghera, P; Stevenson, FT; Sharma, S; Lederer, E; Lohr, JW; Talavera, F; Verrelli, M (21 May 2013). Batuman, C (المحرر). "Goodpasture Syndrome Treatment & Management". Medscape Reference. WebMD. مؤرشف من الأصل في 17 أكتوبر 2018. اطلع عليه بتاريخ 14 مارس 2014. الوسيط
|CitationClass=تم تجاهله (مساعدة)صيانة CS1: أسماء متعددة: قائمة المؤلفون (link)
