متلازمة فار
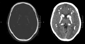
متلازمة فار أو تكلّس العقد القاعدية مجهول السبب هو مرض وراثي عصبي نادر[1] ذو وراثة سائدة يتميّز بترسّبات كلسية غير طبيعية في مناطق بالدماغ تتحكم بالحركة. عن طريق التصوير المقطعي المحوسب، يتم رؤية التكلس أساسًا في منطقة العقد القاعدية وفي مناطق أخرى مثل القشرة المخية.[2]
| متلازمة فار | |
|---|---|
![]() تكلّس العقد القاعدية مجهول السبب تكلّس العقد القاعدية مجهول السبب | |
| معلومات عامة | |
| الاختصاص | طب الجهاز العصبي |
| من أنواع | اعتلالات العقد القاعدية |
أعراض
تشمل أعراض هذه المتلازمة تدهور الوظائف الحركية والكلام، نوبات، وحركات لا إرادية أخرى. أعراض أخرى هي الصداع، الخَرَف، وضعف الرؤية. خصائص مرض الباركينوسون هي مشابهة أيضًا لخصائص متلازمة فار.[3]
تاريخ وتسمية
لاحظ هذا المرض للمرة الأولى طبيب الأعصاب الألماني كارل ثيودور فار في عام 1930.[4][5] اسم أقل شيوعًا للمرض هو متلازمة شافاني-بروني ومتلازمة فريتش، الأول نسبة لجاك بروني وجون ألفرد إميل شافاني، والأخير نسبة لـ ر. فريتش.[6][7]
وقد تم الإبلاغ عن أقل من 20 أسرة في المنشورات العالمية حتى عام 1997.[8]
المراجع
- Genetic and Rare Diseases Information Center (GARD) – an NCATS Program | Providing information about rare or genetic diseases نسخة محفوظة 11 مايو 2009 على موقع واي باك مشين.
- Benke T, Karner E, Seppi K, Delazer M, Marksteiner J, Donnemiller E (August 2004). "Subacute dementia and imaging correlates in a case of Fahr's disease". J. Neurol. Neurosurg. Psychiatr. 75 (8): 1163–5. doi:10.1136/jnnp.2003.019547. PMC 1739167. PMID 15258221. مؤرشف من الأصل في 09 مايو 2009. الوسيط
|CitationClass=تم تجاهله (مساعدة)صيانة CS1: أسماء متعددة: قائمة المؤلفون (link) - "NINDS Fahr's Syndrome Information Page". National Institute of Neurological Disorders and Stroke. مؤرشف من الأصل في 02 ديسمبر 2016. اطلع عليه بتاريخ 13 يناير 2007. الوسيط
|CitationClass=تم تجاهله (مساعدة); تحقق من التاريخ في:|تاريخ أرشيف=(مساعدة) - Fahr, T. (1930–1931). "Idiopathische Verkalkung der Hirngefässe". Zentralblatt für allgemeine Pathologie und pathologische Anatomie. 50: 129–133. الوسيط
|CitationClass=تم تجاهله (مساعدة) - Fahr's disease على قاموس من سمى هذا؟
- Chavany-Brunhes syndrome على قاموس من سمى هذا؟
- https://web.archive.org/web/20191225055659/http://rarediseases.info.nih.gov/GARD/QnA.aspx?PageID=4&CaseID=22373&DiseaseID=8272. مؤرشف من الأصل في 25 ديسمبر 2019. الوسيط
|CitationClass=تم تجاهله (مساعدة); مفقود أو فارغ|title=(مساعدة) - Kobari M, Nogawa S, Sugimoto Y, Fukuuchi Y (March 1997). "Familial idiopathic brain calcification with autosomal dominant inheritance". Neurology. 48 (3): 645–9. doi:10.1212/wnl.48.3.645. PMID 9065541. الوسيط
|CitationClass=تم تجاهله (مساعدة)صيانة CS1: أسماء متعددة: قائمة المؤلفون (link)
روابط خارجية
- صور لمتلازمة فار (MedPix)
- المنظمة الوطنية للأضطرابات العصبية (NORD)
- المعهد الوطنية للشيخوخة (NIA)
- المعهد الوطني للصحة العقلية (NIMH)
- Fahr Syndrome Images (iNeurologist)
- بوابة طب
