متلازمة كسارة البندق
متلازمة كسارة البندق (بالإنجليزية: nutcracker syndrome، واختصارها NCS) عي عبارة عن انضغاط الوريد الكلوي الأيسر بين الأبهر البطني والشريان المساريقي العلوي، على الرغم من وجود متغيرات أخرى.[1][2] ويستمد الاسم من حقيقة أنه في المستوى السهمي و/أو المستعرض، يبدو الأبهر البطني والشريان المساريقي العلويأن ككسارة البندق التي تسحق الجوز (الوريد الكلوي). وهناك مجموعة واسعة من الأعراض السريرية والمعايير التشخيصية التي لا تكون محددة جيدا، مما يؤدي في كثير من الأحيان إلى تأخير التشخيص أو التشخيص غير الصحيح،[1] ولا ينبغي الخلط بينهذه الحالة وبين متلازمة الشريان المساريقي العلوي، التي هي عبارة عن ضغط الجزء الثالث من الاثنا عشر بين الأبهر البطني والشريان المساريقي العلوي.
| متلازمة كسارة البندق | |
|---|---|
![]() | |
| تسميات أخرى | ظاهرة كسارة البندق، متلازمة إحصار الوريد الكلوي، ضغط الأبهر المتوسط للوريد الكلوي الأيسر |
| معلومات عامة | |
| من أنواع | تشوه متلازمي كلوي أو في السبيل البولي |
العلامات والأعراض
ترتبط متلازمة كسارة البندق مع وجود دم في البول (الذي يمكن أن يؤدي إلى فقر الدم)[3] وآلام في البطن (ألم في الجانب الأيسر أو ألم في الحوض). [4]
ويمكن أن تؤدي أيضا إلى ألم في الخصية اليسرى؛ بسبب تصريف الوريد التناسلي الأيسر في الرجال عن طريق الوريد الكلوي الأيسر[5] أو ألم في الربع السفلي من البطن في النساء، كما يمكن أن تؤدي إلى الغثيان والقيء؛ بسبب انضغاط الأوردة الحشوية، وتشمل المظاهر غير العادية من متلازمة كسارة البندق تشكيل دوالي الخصية ودوالي الأوردة في الأطراف السفلية.[6] وقد أظهرت دراسة سريرية أخرى أن متلازمة الكسارة هي اكتشاف متكرر في المرضى الذين يعانون من دوالي الخصية، وربما ينبغي استبعادها بشكل روتيني كسبب محتمل لدوالي الخصية واحتقان الحوض.[7]
التشخيص
متلازمة كسارة البندق يمكن تشخيصها باستخدام:
- فينوغرافي الكلى اليسرى - يعتبر الاختبار الرئيسي.
- التصوير المقطعي المحوسب.
- الموجات فوق الصوتية على البطن - ليست نهائية ولكنها تكون مفيدة.[8]
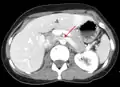
ضغط الوريد الكلوي الأيسر (ملحوظ بالسهم) بين الشريان المساريقي العلوي (أعلاه) والشريان الأورطي (أدناه) بسبب متلازمة كسارة البندق.
تخثر في الوريد الكلوي الأيسر مع توسعه.
كسارة البندق. يمكن أن تمثل أرجل كسارة البندق هذه مع بعض الخيال الشريان المساريقي العلوي والشريان الأورطي البطني في متلازمة كسارة البندق.
التشخيص التفريقي
- متلازمة احتقان الحوض
- حصاة كلوية
- أورام الجهاز البولي التناسلي
- متلازمة ألم الخصر والبول الدموي[9]
العلاج
يعتمد العلاج على شدة المرض والأعراض. وتشمل العلاجات:
- دعامات داخل الأوعية الدموية.[4]
- إعادة زرع الوريد الكلوي.[10]
- إحداث انسداد في الوريد التناسلي.[10]
مراجع
- Kurklinsky A, Rooke T (June 2010). "Nutcracker Phenomenon and Nutcracker Syndrome". Mayo Clinic Proceedings. 85 (6): 552–559. doi:10.4065/mcp.2009.0586. PMC 2878259. PMID 20511485. الوسيط
|CitationClass=تم تجاهله (مساعدة) - Sugimoto I, Takashi O, Ishibashi H, Takeuchi N, Nagata Y, Honda Y (2001). "Left Renal Vein Entrapment Syndrome (Nutcracker Syndrome) treated with Left Renal Vein Transposition". Jnp J Vasc Surg. 10: 503–7. مؤرشف من الأصل في 13 ديسمبر 2019. الوسيط
|CitationClass=تم تجاهله (مساعدة) - Oteki T, Nagase S, Hirayama A, et al. (July 2004). "Nutcracker syndrome associated with severe anemia and mild proteinuria". Clinical Nephrology. 62 (1): 62–5. doi:10.5414/CNP62062. PMID 15267016. مؤرشف من الأصل في 13 ديسمبر 2019. الوسيط
|CitationClass=تم تجاهله (مساعدة) - Barnes RW, Fleisher HL, Redman JF, Smith JW, Harshfield DL, Ferris EJ (October 1988). "Mesoaortic compression of the left renal vein (the so-called nutcracker syndrome): repair by a new stenting procedure". J. Vasc. Surg. 8 (4): 415–21. doi:10.1067/mva.1988.avs0080415. PMID 3172376. الوسيط
|CitationClass=تم تجاهله (مساعدة) - Hilgard P, Oberholzer K, Meyer zum Büschenfelde KH, Hohenfellner R, Gerken G (July 1998). "[The "nutcracker syndrome" of the renal vein (superior mesenteric artery syndrome) as the cause of gastrointestinal complaints]". Dtsch. Med. Wochenschr. (باللغة الألمانية). 123 (31–32): 936–40. doi:10.1055/s-2007-1024101. PMID 9721569. الوسيط
|CitationClass=تم تجاهله (مساعدة) - Little AF, Lavoipierre AM (June 2002). "Unusual clinical manifestations of the Nutcracker Syndrome". Australas Radiol. 46 (2): 197–200. doi:10.1046/j.1440-1673.2001.01037.x. PMID 12060163. مؤرشف من الأصل في 13 ديسمبر 2019. الوسيط
|CitationClass=تم تجاهله (مساعدة) - Mohamadi A, Ghasemi-Rad M, Mladkova N, Masudi S (August 2010). "Varicocele and nutcracker syndrome: sonographic findings". Journal of Ultrasound in Medicine. 29 (8): 1153–1160. PMID 20660448. مؤرشف من الأصل في 15 مايو 2013. الوسيط
|CitationClass=تم تجاهله (مساعدة) - Takebayashi S, Ueki T, Ikeda N, Fujikawa A (January 1999). "Diagnosis of the nutcracker syndrome with color Doppler sonography: correlation with flow patterns on retrograde left renal venography". American Journal of Roentgenology. 172 (1): 39–43. doi:10.2214/ajr.172.1.9888735. PMID 9888735. مؤرشف من الأصل في 13 ديسمبر 2019. الوسيط
|CitationClass=تم تجاهله (مساعدة) - Ahmed K, Sampath R, Khan MS (April 2006). "Current trends in the diagnosis and management of renal nutcracker syndrome: a review". European Journal of Vascular and Endovascular Surgery. European Society for Vascular Surgery. 31 (4): 410–416. doi:10.1016/j.ejvs.2005.05.045. PMID 16431142. مؤرشف من الأصل في 13 ديسمبر 2019. الوسيط
|CitationClass=تم تجاهله (مساعدة); روابط خارجية في|صحيفة=(مساعدة) - Rudloff U, Holmes RJ, Prem JT, Faust GR, Moldwin R, Siegel D (January 2006). "Mesoaortic compression of the left renal vein (nutcracker syndrome): case reports and review of the literature". Ann Vasc Surg. 20 (1): 120–9. doi:10.1007/s10016-005-5016-8. PMID 16374539. الوسيط
|CitationClass=تم تجاهله (مساعدة)
روابط خارجية
- Kimura K, Araki T (July 1996). "Images in clinical medicine. Nutcracker phenomenon". نيو إنغلاند جورنال أوف ميديسين. 335 (3): 171. doi:10.1056/NEJM199607183350305. PMID 8657215. مؤرشف من الأصل في 13 ديسمبر 2019. الوسيط
|CitationClass=تم تجاهله (مساعدة)
- بوابة تشريح
- بوابة طب
- بوابة علم وظائف الأعضاء
