متلازمة ميلاس
متلازمة ميلاس أو MELAS syndrome باللغة الإنجليزية (MELAS) = (Mitochondrial Encephalopathy, Lactic Acidosis, and Stroke-like episodes): و يعرف ميلاس بأنه أحد أمراض الميتوكوندريا الوراثية، التي تشمل أيضا نوعا من الصرع يدعى ميرف (MERRF) = (Myoclonus Epilepsy with Ragged Red Fibers) ، واعتلال الأعصاب البصرية بوراثية ليبر (Leber's hereditary optic atrophy). وقد عرف بهذا الاسم في عام 1984.[2]
| متلازمة ميلاس | |
|---|---|
| معلومات عامة | |
| الاختصاص | جنس |
| الوبائيات | |
| انتشار المرض | 0.000163 [1] |
إحدى سمات هذه الأمراض هو أن سببها عيوب في جينوم الميتوكوندريا الذي يورث غالبا من الأم. ومن المهم لنا معرفة أن الكثير من الحمض النووي في الميتوكوندريا يستخدم لتصنيع البروتينات المشاركة في وظيفة الميتوكوندريا الرئيسية وهي إنتاج الطاقة في أجسامنا. على هذا النحو، يمكن للطفرات في هذه البروتينات أن تؤدي إلى اضطرابات الميتوكوندريا..[3]

معدل الحدوث والنسب
معدل حلات الإصابة بمتلازمة ميلاس غير معروف حتى الآن، ، إلا أن معدل مجموع الأمراض الناجمة عن اضطرابات في الميتوكوندريا يصل إلى شخص واحد لكل 4000 شخص.
الوراثة
هو مرض وراثي يحدث كنتيجة للخلل في المادة الجينية حمض نووي ريبوزي منقوص الأكسجين للميتوكوندريا والتي توجد خارج النواة. بعض الجينات ( MT- ND1 ، MT- ND5 ) المتضررة في ميلاس هي شفرات لتصنيع البروتينات في الميتوكوندريا، التي تساعد على تحويل الأوكسجين والسكريات البسيطة إلى طاقة. و كذلك جينات أخرى (MT -TH ، MT- TL1 ، وMT- TV) هي ترميز الميتوكوندريا لتصنيع الرنا النقال (tRNAs).
تسبب الطفرات في MT- TL1 أكثر من 80 في المئة من جميع حالات ميلاس، ذلك أنها تنال من قدرة الميتوكوندريا في صنع البروتينات، واستخدام الأوكسجين، وإنتاج الطاقة.
حتى الآن لم يحدد الباحثون كيف يمكن للتغييرات في الحمض النووي أن تؤدي إلى أعراض ميلاس بالتحديد. إلا أنهم توصلوا بالتحقيق إلى آثار الطفرات الجينية للميتوكوندريا في الأنسجة المختلفة، وخاصة في المخ. ينتقل غالبًا من الأم إلى الأبناء - قد لا تعانى الأم من أي أعراض - حيث يمكن أن تظهر اضطرابات الميتوكوندريا في كل جيل من العائلة ويمكن أن تؤثر على كل من الذكور والإناث، ولكن الأب لا يمرر صفات الميتوكوندريا لأطفاله.
مما يعنى أنه في معظم الحالات يرث المصابون الطفرات الجينية في الميتوكوندريا من أمهاتهم ولكن في حالات أقل شيوعا تحدث الطفرة في الشخص المصاب نفسه بدون وجود تاريخ مرضى في عائلته من قبل .
الفئة العمرية الأكثر عرضه للإصابة بالمرض
يمكن أن تؤثر - في كلا الجنسين - خلال أعمار مختلفة، بدءاً من سن (4) إلى سن (40) أو أكثر. لكن معظم المرضى هم أصغر من سن العشرين .
أعراض المرض
تؤثر متلازمة ميلاس على العديد من أجهزة الجسم، خصوصا المخ والجهاز العصبي والعضلات. في معظم الحالات، تظهر علامات وأعراض هذا الاضطراب في مرحلة الطفولة.[4] ويمكن أن تشمل الأعراض المبكرة ضعف العضلات والألم والصداع المتكرر، وفقدان الشهية، والقيء ،و التشنجات .
الأفراد المصابون يكونون الأكثر تضرراً من نوبات السكتة الدماغيةإذا بدأت عندهم تلك النوبات قبل سن 40 عام. مثل هذة النوبات غالبا ما تنطوي على ضعف مؤقت في العضلات على جانب واحد من الجسم، وتغيرات الوعي ،و تشوهات الرؤية، والتهابات المخ، وتشنجات، وصداع شديد يشبه كثيراً الصداع النصفي. تكرار نوبات السكتة الدماغية يمكن أن يؤدى إلى تلف تدريجي في المخ، مما يؤدي إلى فقدان الرؤية، ومشاكل في الحركة، وفقدان الوظيفة الفكرية (الخرف) .و قد تشخص نوبات السكتة الدماغية خطأً على أنها حالات صرع إذا كان الطبيب المعالج ليس على دراية كافية بأعراض وتشخيص حالة ميلاس .
كما تؤدى متلازمة ميلاس إلى زيادة مستوى حمض اللاكتيك في الدم مما يؤدى إلى زيادة حموضة الدم الذي يؤدي بدوره إلى التقيؤ، وآلام في البطن، والتعب الشديد، وضعف العضلات، وفقدان السيطرة على الأمعاء، وصعوبة في التنفس .
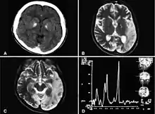
التشخيص
- التاريخ المرضي والفحص الطبي .
- الرنين المغناطيسي على المخ .
- أخذ عينة من العضلات : تظهر ألياف حمراء رقيقة.
- أخذ عينة من المخ : تظهر تبدلات شبيهة بتلك الناجمة عن النشبة (سكتة) .

الوقاية والعلاج
لا توجد طرق للوقاية كما لا يوجد علاج معروف لهذا المرض الذي يتقدم يوما بعد يوم بصورة مخيفة وقاتلة . وحتى الآن تعالج أعراض المرضى فقط وفقا لما تأثر من مناطق الجسم في وقت معين . وقد استخدمت الإنزيمات والأحماض الأمينية ومضادات الأكسدة والفيتامينات ، ولكن لم تُسَجل نجاحات متسقة عنها. قد تستخدم بعض الأدوية لتخفيف الأعراض مثل : فيتامين ب. فيتامين ك. ليفو كرياتينين. الصوديوم دي كلورو أسيتات .
و على الرغم من أنه لم ينتج عن أي محاولات فوائد طويلة الأمد فقد أعطى تغيير الحمية الغذائية الأمل لمرضى متلازمة ميلاس .
وقد وجد أن الـ CoQ10 مفيدة لبعض مرضى الميلاس .[6] وقد استخدم النيكوتيناميد كمعقد يقبل الإلكترونات من NADH وينقل الإلكترونات إلى CoQ10 وفي نهاية المطاف . و تم التوصل إلى أن الريبوفلافين يؤدى إلى تحسين وظيفة المرضى الذين يعانون من نقص L-complex وطفرةالـ 3250T -C.[7] كما أن إعطاء L- أرجينين خلال الفترات الحادة من الأعراض قد يمثل علاجا جديدا محتملا لهذه المتلازمة للحد من تلف في الدماغ نتيجة لقلة توسع الأوعية الدموية الشريانية داخل المخ نتيجة استنفاد أكسيد النيتريك.[8][9] وهناك أيضا تقرير حالة مرضية تم فيها استخدام السكسينات بنجاح لعلاج التشنجات الخارجة عن السيطرة في مرضى ميلاس، على الرغم من أن هذا النمط من المعالجة لا يزال يلزمه تحقيقات شاملة أو توصيات على نطاق واسع .
مراجع
- https://emedicine.medscape.com/article/946864-overview#a6 — تاريخ الاطلاع: 5 مايو 2020
- Pavlakis SG, Phillips PC, DiMauro S, De Vivo DC, Rowland LP (1984). "Mitochondrial myopathy, encephalopathy, lactic acidosis, and strokelike episodes: a distinctive clinical syndrome". Ann Neurol. 16 (4): 481–8. doi:10.1002/ana.410160409. PMID 6093682. الوسيط
|CitationClass=تم تجاهله (مساعدة)صيانة CS1: أسماء متعددة: قائمة المؤلفون (link) - Hirano M, Pavlakis SG (1994). "Mitochondrial myopathy, encephalopathy, lactic acidosis, and strokelike episodes (MELAS): current concepts". J Child Neurol. 9 (1): 4–13. doi:10.1177/088307389400900102. PMID 8151079. الوسيط
|CitationClass=تم تجاهله (مساعدة) - متلازمة ميلاس على مرجع المكتبة الوطنية للطب الرئيسي لعلم الوراثة.
- Hirano M, Ricci E, Koenigsberger MR, Defendini R, Pavlakis SG, DeVivo DC, DiMauro S, Rowland LP (1992). "Melas: an original case and clinical criteria for diagnosis". Neuromuscul Disord. 2 (2): 125–35. doi:10.1016/0960-8966(92)90045-8. PMID 1422200. الوسيط
|CitationClass=تم تجاهله (مساعدة)صيانة CS1: أسماء متعددة: قائمة المؤلفون (link) - Rodriguez MC, MacDonald JR, Mahoney DJ, Parise G, Beal MF, Tarnopolsky MA (2007). "Beneficial effects of creatine, CoQ10, and lipoic acid in mitochondrial disorders". Muscle Nerve. 35 (2): 235–42. doi:10.1002/mus.20688. PMID 17080429. الوسيط
|CitationClass=تم تجاهله (مساعدة)صيانة CS1: أسماء متعددة: قائمة المؤلفون (link) - Ogle RF, Christodoulou J, Fagan E, et al. (1997). "Mitochondrial myopathy with tRNA(Leu(UUR)) mutation and complex I deficiency responsive to riboflavin". J. Pediatr. 130 (1): 138–45. doi:10.1016/S0022-3476(97)70323-8. PMID 9003864. الوسيط
|CitationClass=تم تجاهله (مساعدة) - Koga Y, Akita Y, Nishioka J, et al. (2007). "MELAS and L-arginine therapy". Mitochondrion. 7 (1–2): 133–9. doi:10.1016/j.mito.2006.11.006. PMID 17276739. الوسيط
|CitationClass=تم تجاهله (مساعدة) - Hirata K, Akita Y, Povalko N, et al. (2007). "Effect of l-arginine on synaptosomal mitochondrial function". Brain Dev. 30 (4): 238–45. doi:10.1016/j.braindev.2007.08.007. PMID 17889473. الوسيط
|CitationClass=تم تجاهله (مساعدة)
وصلات خارجية
- بوابة طب
- بوابة علم الأحياء
- بوابة علم الوراثة