متلازمة هرلين-ويرنر-وندرليش
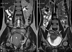
متلازمة هرلين-ويرنر-وندرليش (بالإنجليزية: Herlyn-Werner-Wunderlich syndrome)[1] وتُعرف باسم OHVIRA وهيَ اختصار (Obstructed hemivagina and ipsilateral renal anomaly) وتعني الانسداد النصفي المهبلي مع شذوذ كلوي بنفس الجانب، وهي متلازمة نادرة جدًا، حيثُ يحدث عيب خلقي عند الولادة في أعضاء البطن السفلي والحوض. تعتبر هذه المتلازمة نوعًا من اضطراب قنوات مولر.
| متلازمة هرلين-ويرنر-وندرليش | |
|---|---|
![]() صورة بالموجات فوق الصوتية للمتلازمة صورة بالموجات فوق الصوتية للمتلازمة | |
| معلومات عامة | |
| من أنواع | مرض رحمي ، وغياب الكلية الخلقي ، وتشوه متلازمي في السبيل البولي التناسلي ، وتشوه متلازمي رحمي مهبلي ، وأمراض نسوية وتوليدية جينية نادرة ، وتشوه متلازمي كلوي أو في السبيل البولي |
في مُعظم الحالات، تظهر المُتلازمة على شكل رحمٍ مزدوج مع انسدادٍ مهبلي نصفي وحيد الجانب وغياب خلقي للكلية على نفس الجانب، كما قد تؤثر أيضًا على الإحليل والمصرة الإحليلية والحالب والمثانة والطحال.
على الرغم أنَّ معدل حدوث هذه المُتلازمة غير معروف، إلا أنه قد وثقَ أنهُ بين 0.1% إلى 3%.[2]
الأعراض
على الرغم من عدم وجود أعراض خاصة بهذه المُتلازمة، إلا أنَّ الشكوى الشائعة تتضمن ألم حوضي يزداد تدريجيًا خلال الحيض، مع حدوث تدمي المهبل بسبب تراكم الدم في الجسم. قد تحدث أَعراض أُخرى مثل انتفاخ البطن وغثيان وتقيؤ خلال الحيض، كما أنَّ الخصوية قد تتأثر.
هذه الحالة تؤدي إلى زيادة الحاجة لإجراء ولادة قيصرية نتيجةً لقِصَر الرحم.
التشخيص
عادةً ما تُشخص الحالة عبر التصوير بالرنين المغناطيسي أو الموجات فوق الصوتية. يُوصى باستشارة أخصائي طب نساء في هذه الحالة.
العلاج
على الرغم أنَّ الحالة لا يُمكن علاجها، إلا أنهُ يمكن ضبط الأعراض بالأدوية والجراحة. في مُعظم الحالات، يُفتح المهبل النصفي المسدود ويتم تصريف السائل المتراكم.[3] يُمكن استعمال المضادات الحيوية في حالة الحدوث المُتكرر لعداوى الجهاز البولي، كما يُوصى أحيانًا بزراعة الكلية.
يُصنف حمل المرأة المُصابة بمتلازمة هرلين-ويرنر-وندرليش ضمن الحمل عالي الاختطار؛ بسبب حجم وشكل الرحم وعنق الرحم، بالإضافة إلى انخفاض وظائف الكلية. عادةً ما تعامل الأمهات الحوامل عبر تطويق عنق الرحم والولادة القيصرية لمنع حدوث ضائقة جنينية أثناء المخاض.
المراجع
- Mandava, Anitha; Prabhakar, R. R.; Smitha, S. (2012-04-01). "OHVIRA syndrome (obstructed hemivagina and ipsilateral renal anomaly) with uterus didelphys, an unusual presentation". Journal of Pediatric and Adolescent Gynecology. 25 (2): e23–25. doi:10.1016/j.jpag.2011.11.004. ISSN 1873-4332. PMID 22421561. الوسيط
|CitationClass=تم تجاهله (مساعدة) - Aveiro, Ana Cristina; Miranda, Victor; Cabral, António Jorge; Nunes, Sidónia; Paulo, Filomeno; Freitas, Conceição (2011-07-15). "Herlyn–Werner–Wunderlich syndrome: a rare cause of pelvic pain in adolescent girls". BMJ Case Reports. 2011. doi:10.1136/bcr.04.2011.4147. ISSN 1757-790X. PMC 3139160. PMID 22689557. الوسيط
|CitationClass=تم تجاهله (مساعدة) - Tug, Niyazi; Sargin, Mehmet Akif; Çelik, Ayhan; Alp, Turgut; Yenidede, Ilter (2017-01-07). "Treatment of Virgin OHVIRA Syndrome with Haematometrocolpos by Complete Incision of Vaginal Septum without Hymenotomy". Journal of Clinical and Diagnostic Research : JCDR. 9 (11): QD15–QD16. doi:10.7860/JCDR/2015/15532.6826. ISSN 2249-782X. PMC 4668488. PMID 26676254. الوسيط
|CitationClass=تم تجاهله (مساعدة)
- بوابة طب
