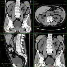
مرض الكلى المتعدد الكيسات
مرض الكلى المتعدد الكيسات[1] أو داء الكلى المتعددة الكيسات[1] أو تكيس الكلى[1] (بالإنجليزية: Polycystic kidney disease) ويُدعى اختصاراً PKD أو PCKD، هوَ مرض وراثي تنمو فيه كيسة غير طبيعية كبيرة في الكلية،[2] ويظهر الاضطراب الكيسي في أي مرحلة من مراحل الرضاعة والطفولة أو في مرحلة البلوغ. [3] يصيب هذا المرض الإنسان وبعض الحيوانات الأخرى. بالإضافة إلى أنه يتصف بوجود تكيسات متعددة فإنهُ عادةً ما يصيب كلا الكليتين؛ وبالرغم من ذلك فإنَّ حوالي 17٪ من الحالات المرضية في البداية يمكن ملاحظتها في كلية واحدة، وفي أغلب الحالات يتطور المرض إلى مرض ثنائي في مرحلة البلوغ.[4] يُعتبر مرض تكيس الكلى من أكثر الأمراض الوراثية شيوعًا في الولايات المتحدة حيثُ يُصيب أكثر من 60 ألف شخص، ويُصيب هذا المرض الرجال والنساء على حدٍ سواء.
| مرض الكلى المتعدد الكيسات Polycystic kidney disease | |
|---|---|
![]() مرض الكلى المتعدد الكيسات | |
| معلومات عامة | |
| الاختصاص | علم الوراثة الطبية |
| من أنواع | مرض وراثي سائد |
الأعراض والعلامات
العلامات والأعراض تشمل، ارتفاع ضغط الدم، الصداع، آلام في البطن، بول دموي، و بوال (تعدد البيلات).[5] وأعراض أخرى تشمل الألم في الظهر والصداع، وتكوّن الكيس ( الكلى، وغيرها من الأعضاء).
الأسباب

مرض الكلية متعدد الكيسات هو مصطلح عام لهذين النوعين من PKD، كل منهما يملك علم أمراض وأسبابه الخاصة به. هذين النوعين من مرض الكلى المتعدد الكيسات PKD هما داء الكلية متعددة الأكياس الصبغي الجسدي السائد. و ( ADPKD ) داء الكلية متعددة الكيسات المتنحي ،وما يختلف هو طريقتهم في الوراثة الجينية.
الجسمي السائد

داء الكلية متعددة الكيسات الجسدي السائد (ADPKD) هو الأكثر شيوعا من بين جميع أمراض الكلى الموروثة
مع حدوث 1:500 من المواليد. وتشير الدراسات إلى أن 10 ٪ من مرض الكلى المزمن في مراحلها النهائية ( ESKD) يبدأ المرضى علاج ديال دموي في أوروبا والولايات المتحدة. حيث تم تشخيصه في البداية ومعالجة ADPKD.
هناك ثلاث طفرات وراثية ( علم الوراثة ) في PKD-1 و PKD2 و PKD3 جين مع عروض شكلية مماثلة. جين PKD1 الموجود على صبغي 16 (إنسان) وقاعدة البروتين المشارك في تنظيم دورة الخلية ونقل الكالسيوم داخل الخلايا في الخلايا الظهارية، وهي المسؤولة عن 85% من حالات ADPKD . يتم ترميز مجموعة من قنوات الكالسيوم المرتبطة بالتيار الكهربائي عن طريق PKD2 على صبغي 4 (إنسان) . PKD3 ظهرت مؤخرا في الورقات البحثية كجين ثالثة كما يفترض. أقل من 10% من حالات ADPKD تظهر في الأسر non-ADPKD -غير المصابين. يبدأ تشكيل الكيس في الرحم من أي نقطة على طول كليون، على الرغم من أنه أقل من 5% من الكليونات، ويعتقد بأنها المشاركة. كما تتراكم السوائل في الكيس، وتكبر وتبدأ بالانفصال تماماً من الكليون، تضغط الأكياس الكلية المجاورة، وتخترق تدريجيا وظائف الكلى معدل الترشيح الكبيبي. [يحتاج تعديل طبي]
الجسمي المتنحي
داء الكلية متعددة الكيسات المتنحي (D) (أوميم #263200) الأقل حدوثا من أنواع PKD، مع اصابة 1:20,000 مولود، عادة ما يتم تحديده في الأسابيع القليلة الأولى بعد الولادة. ولسوء الحظ، غالباً ما تكون الكلى نقص التنسج مما أدى إلى معدل وفيات 30% في الأطفال حديثي الولادة مع ARPKD
آلية
بعض المؤشرات تدل على أن كلا نوعين مرض الكلى المتعدد الكيسات المتنحي والسائد مرتبطة بواسطة هدب مؤذنة بوجود اضطراب ما. علاوة على ذلك، يظهر أن البروتينات بوليسيستين-1 وبوليسيستين-2 معنيان بكلا نوعي مرض الكلى المتعدد الكيسات المتنحي والسائد، نتيجة خلل في في كلا البروتينين.[6] إذ أن كلا البروتينين على اتصال ببروتينات قنوات الكالسيوم مما يؤدي إلى إبقاء الكالسيوم (داخل الخلايا) وتخزينه في شبكة هيولي الباطنية.[7] ويتصف هذا المرض بظاهرة ( second hit ) والتي يحدث فيها تحورات الأليل السائد الموروث من أحد الوالدين، ويحدث التكيس فقط إذا كان في حالة طبيعية. جين بري النمط يحافظ على الجين الثاني " hit ", وينجم عنه تكوّن كيسي في الأنبوب الكلوي، وتطورات في المرض.[8] كما يعتقد بأن PKD وعلى وجه التحديد ناجم عن عيوب في الهدب الأولي، غير المتحرك، مثل عضية الشعر الخلوي، والذي يوجد على سطح معظم خلايا الجسم ويتم تثبيته في جسم الخلية بواسطة الجسم القاعدي. في الكلى، توجد الأهداب الأولية في معظم الخلايا النفرون، وهي تنتج في السطح الخارجي للغشاء الكلوي حتى أنبوب التصفية الداخلي. حيث أن الهدب الأول للاستجابة للسائل المنبعث للغشاء الكلوي، ويؤدي التدفق فوق الغشاء الخلوي إلى انحناء الهدب الأساسي وبالتالي يزداد في الغشاء الداخلي للكالسيوم. إذا حدث خلل في الهدب الأول ولم يعرف سبب ذلك، هذا قد يؤدي إلى تطور الكيس وهو قد يكوّن نتيجة تعطل واحدة من حالة الإشارات المنظمة بواسطة الهدب الأول، تحتوي على الكالسيوم, Hedgehog, Wnt/β-catenin (cAMP
(PCP) تعطلت وظيفة الهدب الأول، نتيجة التعطل في واحدة من إشارات الأغشية الداخلية التي تنتج اختلاف في الغشاء الكيسي، زيادة في انقسام الخلايا، زيادة في موتها، ونقص في قدرة امتصاص البول للكالسيوم.
التشخيص/ توقعات سير المرض.
الأفراد المصابون ADPKD قد يحظون بحياة طبيعية وعلى العكس، ARPKD يمكن أن تتسبب بخلل في الكلى وتؤدي إلى مرض الفشل الكلوي، وهو يصيب من عمر 40-60 سنة. ADPKD1 و ADPKD2 مختلفين تمامًا عن بعضهما، النوع الثاني هو أكثر خطورة. حاليا، لا توجد علاجات أثبتت فعاليتها في منع تطور مرض الكلى المتعدد الكيسات ( الصفة السائدة ) .
البحوث والعلاج
لا يوجد علاج وافقت عليه إدارة الأغذية والأدوية. مع ذلك، فقد تبين ان الحميات الغذائية التي تكون إما معتدلة أو خفيفة جدًا، قد تبطئ من تطور داء الكلية متعددة الأكياس الصبغي الجسدي السائد ( ADPKD ).[9] ويكون ذلك فقط في حال تطور المرض بما يكفي في حالة معينة، في ذلك الحين فإن طب الكلى و المسؤول عن حالة المريض يجب عليه ان يقرر أي شكل من أشكال العلاج بالبدائل الكلوية سيستخدم، للمرحلة العلاجية النهائية في مرض الكلية ( سواء كان قصور كلوي التام أو كان لأصحاب المرحلة الرابعة أو الخامسة من مرض الكلية المزمن ). وذلك سيكون بشكل من أشكال غسيل كلوي والذي يمكن أن يتم بطريقتين مختلفتين على الأقل ( سواء كان ذلك في المنزل أو في عيادة ما، وذلك اعتمادا على الطريقة المستخدمة بالإضافة لكونه اعتماداعلى تدريب واستقرار المريض أيضًا) في النهاية، يجب أن يكون مؤهلا لأحد تلك الطرق، آخذا بالاعتبار طبيعة حالته وخطورتها ويكون من الممكن العثور على تطابق مناسب زراعة الكلى من جانب أو اثنين. دراسة مراجعة كوكرين لمرض الكلى المتعدد الكيسات جعله علما بأنه مهم في جميع الأوقات، مع تجنب مقاومة المضادات الحيوية ، وبطبيعة الحال، للسيطرة على العدوى من التكيسات في الكلى، و إذا تآثرت، الكبد، و عند الحاجة لمدة معينة لمكافحة العدوى، باستخدام، واقتبس: " عامل كابح للبكتيريا ومبيد الجراثيم " وأخيراً، لاحظت الدراسة أيضا أن التجاه البحوث، واقتبس: "ركز على علم الوراثة وفزيولوجيا مرضية ADPKD وعلى العلاجات الواعدة الرامية إلى الشروع في كيسه أو التوسع.".
مراجع
- "Al-Qamoos القاموس - English Arabic dictionary / قاموس إنجليزي عربي". مؤرشف من الأصل في 25 مارس 2017. اطلع عليه بتاريخ 24 مارس 2017. الوسيط
|CitationClass=تم تجاهله (مساعدة) - "polycystic kidney disease" في معجم دورلاند الطبي
- Cramer, Monica T.; Guay-Woodford – via ScienceDirect (Subscription may be required or content may be available in libraries.), Lisa M. (2015-07-01). "Cystic Kidney Disease: A Primer". Advances in Chronic Kidney Disease. 22 (4): 297–305. doi:10.1053/j.ackd.2015.04.001. ISSN 1548-5609. PMID 26088074. مؤرشف من الأصل في 13 ديسمبر 2019. الوسيط
|CitationClass=تم تجاهله (مساعدة)صيانة CS1: أسماء متعددة: قائمة المؤلفون (link) - Bisceglia M, Galliani CA, Senger C, Stallone C, Sessa A (2006). "Renal cystic diseases: a review". Advanced Anatomic Pathology. 13 (13): 26–56. doi:10.1097/01.pap.0000201831.77472.d3. PMID 16462154. الوسيط
|CitationClass=تم تجاهله (مساعدة)صيانة CS1: يستخدم وسيط المؤلفون (link) - "Polycystic kidney disease". MedlinePlus Medical Encyclopedia. مؤرشف من الأصل في 5 يوليو 2016. اطلع عليه بتاريخ 30 يوليو 2015. الوسيط
|CitationClass=تم تجاهله (مساعدة) - Halvorson, Christian R; Bremmer, Matthew S; Jacobs, Stephen C (2010-06-24). "Polycystic kidney disease: inheritance, pathophysiology, prognosis, and treatment". International Journal of Nephrology and Renovascular Disease. 3: 69–83. ISSN 1178-7058. PMC 3108786. PMID 21694932. مؤرشف من الأصل في 11 يناير 2020. الوسيط
|CitationClass=تم تجاهله (مساعدة) - Johnson, Richard J.; Feehally, John; Floege, Jurgen (2014-09-05). Comprehensive Clinical Nephrology: Expert Consult - Online. Elsevier Health Sciences. ISBN 9780323242875. مؤرشف من الأصل في 29 يناير 2020. الوسيط
|CitationClass=تم تجاهله (مساعدة) - Comprehensive Clinical Nephrology: Polycystic Kidney Disease: Inheritance, pathophysiology, prognosis, and treatment - Online. Int J nephrol Renovasc Dis. 2014-05-24. ISBN 9780323242875. مؤرشف من الأصل في 29 يناير 2020. الوسيط
|CitationClass=تم تجاهله (مساعدة) - Warner, Gina; Hein, Kyaw Zaw; Nin, Veronica; Edwards, Marika; Chini, Claudia C. S.; Hopp, Katharina; Harris, Peter C.; Torres, Vicente E.; Chini, Eduardo N. (2015-11-04). "Food Restriction Ameliorates the Development of Polycystic Kidney Disease". Journal of the American Society of Nephrology: JASN. doi:10.1681/ASN.2015020132. ISSN 1533-3450. PMID 26538633. مؤرشف من الأصل في 5 مايو 2019. الوسيط
|CitationClass=تم تجاهله (مساعدة)
- بوابة طب
