مرض خدش القطة
داء خدش القطة[5] أو داء خرمشة القطة[5] (بالإنجليزية: Cat scratch disease)أو حمى خدش القطة هو غالبا مرض معدي غير خطير، يظهر بالعادة لدى الأطفال 1-2 أسبوع من تعرضهم لخدش القطة.[6][7][8] وُصف للمرة الأولى في العام 1889 من قبل هنيري بارنويد. عُرفت القطة بكونها الناقل للمرض في العام 1931 بواسطة الدكتور روبرت ديبريه.
| مرض خدش القطة | |
|---|---|
| معلومات عامة | |
| الاختصاص | أمراض معدية |
| من أنواع | داء البرتونيلات ، ومرض العقد الليمفية ، وخمج جرثومي ، واضطراب مناعي |
| الموقع التشريحي | عقدة لمفاوية [1] |
| الأسباب | |
| الأسباب | برتونيلة هنسيلية [2][3] |
| المظهر السريري | |
| الأعراض | نفضان [4] |
أعتقد في السابق أن المتعضيَ المسبب للمرض هو Afipia felis, ولكن تم دحض هذا الاعتقاد عن طريق دراسات مناعية أوضحت أن المرضى المصابين بمرض خدش القطة نمَو أجسام مضادة لمتعضييَن آخرين Bartonella henselae و Bartonella clarridgeiae,و هما بكتريا عصوية الشكل سلبية الغْرام.
يُرجح أن صغار القطط (الهررة) تحمل البكتريا في دمها، ولذا يرجح أنها تنقل المرض أكثر من القطط البالغة.
الأعراض والعلامات
مرض خدش القطة يظهر في صورة عقد لمفية موجعة عند اللمس، بثور متقيحة في مكان دخول البكتريا، حرارة معتدلة، صداع, رجفة، ألم في الظهر، ألم في البطن، توعك, تغيير في الحالة الذهنية، وتشنجات. قد يستغرق ظهور الأعراض من 7 إلى 14 يوماً وقد تصل إلى الشهرين. معظم الحالات غير خطيرة ذاتية الشفاء، لكن الغدد اللمفاوية المصابة قد تبقى لعدة أشهر بعد اختفاء الأعراض الأخرى. تطور المرض نحو الشفاء جيد. في المناطق ذات المناخ المعتدل معظم الحالات تظهر في فصلي الخريف والشتاء. المرض يشفى في العادة بشكل تلقائي، مع أو بدون علاج، خلال شهر واحد. قد تظهر في بعض الأحيان مضاعفات خطيرة في المرضى ذوي المناعة الضعيفة.
يمكن أن يتضخّم الطحال ويحدث التهاب في الحلق في حالات نادرة.
في حالات نادرة، يمكن أن تؤدي خربشة القطة إلى تطوير تسلل عصبي خطير أو قلبي مثل التهاب السحايا ، والتهاب الدماغ ، والنوبات ، أو التهاب الشغاف. [9]التهاب الشغاف المصاحب للعدوى بارتونيلا له معدل وفيات مرتفع بشكل خاص. [9] متلازمة بارانود وعائية العين هي أكثر مظاهر لاصابة بالعين شيوعا، [10] وهو التهاب ملتحبي حبيبي مع تورم متزامن في العقدة الليمفاوية بالقرب من الأذن. التهاب العصب البصري أو التهاب العصب النصفي هو واحد من العروض غير النمطية. [11] الأشخاص الذين يعانون من ضعف المناعة عرضة للإصابة بأمراض أخرى مرتبطة بـ B. henselae و B. quintana ، مثل العصيات الوعائية العصوية أو . [9] ورم وعائي وهو في المقام الأول آفة جلدية وعائية قد تمتد إلى العظام أو تكون موجودة في مناطق أخرى من الجسم. في السيناريو النموذجي، يكون المريض مصابًا بفيروس نقص المناعة البشرية أو سبب آخر لضعف الجهاز المناعي الشديد. يتأثر الكبد والطحال بشكل أساسي، مع وجود فضاءات كيسية مملوءة بالدم. [12]
السبب
البارتونيلا هنسيلي هي بكتيريا حساسة، [13] سلبية الغرام.
الانتقال
تم التعرف على القط كمخزون طبيعي للمرض في عام 1950 من قبل روبرت ديبري. [13] من المرجح أن تحمل القطط البكتيريا في دمها، لذلك من المرجح أن يتنقل المرض أكثر من القطط البالغة. ومع ذلك، البراغيث بمثابة ناقل لنقل هينسيلي بين القطط، [13] و بينز هيالسيلي تفرز في براز برغوث القط. [14] يمكن أن تصاب القطط بـ هينسيلي من خلال التلقيح داخل الجلد باستخدام براز برغوث المحتوي على هينسيلي. [15] ونتيجة لذلك، قد تكون هناك وسيلة محتملة لانتقال العدوى من القطط إلى البشر من خلال براز البرغوث الذي يحتوي على هينسيلي من خلال جرح خدش ملوث بالقطط أو عن طريق لعاب القط الذي ينتقل في لدغة. [13] يمكن أن تعمل القراد أيضًا كعوامل ناقلة كما تنقل البكتيريا في بعض الأحيان إلى البشر. [9] أثبتت الأبحاث السريرية المستندة إلى تفاعل البلمرة المتسلسل PCR أن الكائنات الحية الأخرى يمكنها نقل البارتونيلا، بما في ذلك العناكب. [16][17] قد تكون العدوى الخفية بارتونيلا مشكلة أكبر بكثير مما كان يعتقد سابقا، وتشكل خطرا على الصحة المهنية غير المعترف بها من الأطباء البيطريين. [18]
التشخيص


يمكن أن تكون صبغة وارثن ستاري مفيدة لإظهار وجود هينسلي، ولكن غالباً ما يكون من الصعب تفسيرها. يصعب عمل مزرعة لهينسلي ويمكن أن يستغرق من 2-6 أسابيع لاحتضان. [13] أفضل طريقة للتشخيص المتاحة هي تفاعل البلمرة المتسلسل، الذي لديه حساسية من 43-76 ٪ وخصوصية (في دراسة واحدة) من 100 ٪. [13]
علم الأنسجة
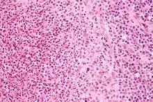
يتميز مرض خدش القطة بالتهاب حبيبي عند الفحص النسيجي للغدد الليمفاوية. تحت المجهر، تُظهر الآفة الجلدية تركيزًا محدودًا للنخر، محاطًا بخلايا نسيجية، غالبًا ما تكون مصحوبة بخلايا عملاقة متعددة الأنوية، وخلايا ليمفاوية، وحمضات. تظهر الغدد الليمفاوية الإقليمية فرط تنسج جرابي مع النخر النجمي المركزي مع العدلات ، محاطة بخلايا المنسجات (أورام حبيبية قيحية) والجيوب المعبأة مع الخلايا البائية أحادية الخلية، عادة بدون خلايا حول حويصلية وداخل حويصلية. هذا النمط، على الرغم من أنه نموذجي، موجود فقط في أقلية من الحالات. [19]
الوقاية
يمكن الوقاية من مرض خدش القطة في المقام الأول من خلال اتخاذ تدابير السيطرة على البراغيث وغسل اليدين بعد التعامل مع براز القطط أو القطط ؛ نظرًا لأن القطط معرضة في الغالب للبراغيث عندما تكون بالخارج، يمكن أن يساعد الحفاظ على القطط في منع الإصابة. [20]
العلاج
معظم الأشخاص الأصحاء يتعافون من العدوى بدون علاج، ولكن في 5 إلى 14٪ من الأفراد، فإن الكائنات الحية تتنشر الجراثيم وتضر بالكبد أو الطحال أو العين أو الجهاز العصبي المركزي. [21] على الرغم من أن بعض الخبراء ينصح بعدم علاج خدش القة نالموذجي في المرضى الذين يعانون من ضعف المناعة مع مرض خفيف إلى معتدل، ويقترح علاج جميع المرضى الذين يعانون من العوامل المضادة للميكروبات (الصف 2B) بسبب احتمال انتشار المرض. المضاد الحيوي المفضل للعلاج هو أزيثرومايسين ، لأن هذا العامل هو الوحيد الذي تمت دراسته في دراسة عشوائية مضبوطة. [22]
يستخدم الأزيثروميسين بشكل تفضيلي في الحمل لتجنب الآثار الجانبية المسخية للدوكسيسيكلين. [23] ومع ذلك، يفضل دوكسيسيكلين لعلاج العدوى ب هينسيلي مع التهاب العصب البصري بسبب قدرته على اختراق الأنسجة في العين والجهاز العصبي المركزي بشكل كاف. [13]
علم الأمراض
يمتلك مرض خدش القطة توزيعًا عالميًا، ولكنه مرض لم يتم لإبلاغ عنه في البشر، لذا فإن بيانات الصحة العامة حول هذا المرض غير كافية. [24] الموقع الجغرافي، والموسم الحالي، والمتغيرات المرتبطة بالقطط (مثل درجة الإصابة بالبراغيث) كلها عوامل تلعب دورًا في انتشارالمرض ضمن مجموعة سكانية. [25] في المناخات الأكثر دفئًا، يكون المرض أكثر انتشارًا خلال فصلي الخريف والشتاء ، [25] والذي يمكن أن يعزى إلى موسم التكاثر للقطط البالغة، مما يسمح بميلاد القطط الصغيرة.[25] هينسلي وهي البكتيريا المسؤولة عن التسبب في المرض، أكثر انتشارًا في القطط الأصغر (أقل من عام واحد) مما هو عليه في القطط البالغة. [24]
كان توزيع المرض بين الأطفال الذين تتراوح أعمارهم بين 5-9 سنوات من أعلى معدل في قاعدة البيانات التي تم تحليلها، تليها النساء في سن 60-64. كانت نسبة الإصابة بين المرضى الإناث أعلى من تلك بين المرضى الذكور في جميع الفئات العمرية. [26] ووفقًا للبيانات المتعلقة بالاتجاهات الاجتماعية، فمن المرجح أن تمتلك النساء قطًا فوق الرجال ؛ [26] مما يدعم ارتفاع معدلات الإصابة بهذا المرض لدى النساء. يزيد خطر الإصابة مع زيادة عدد القطط المقيمة في المنزل. [19] يقدر عدد القطط الأليفة في الولايات المتحدة بـ 57 مليون. [26] نظرًا لوجود عدد كبير من القطط المقيمة في الولايات المتحدة، فإن قدرة هذا المرض على الاستمرار في إصابة البشر بالعدوى هائلة. تحسّن التشخيص المختبري للدواء في السنوات الأخيرة، مما قد يدعم زيادة حدوث المرض في السكان المستقبليين. [26]
تاريخ
وقد وصف هنري بارينود لأول مرة أعراض مشابهة للمرض في عام 1889 ، وقد وصف روبرت ديبري في عام 1950 أول هذه الأعراض الإكلينيكية. [27][13] في عام 1983 ، تم استخدام صبغة الفضة Warthin-Starry لاكتشاف عصية سالبة الجرام التي سميت افبيا فيلس ( Afipia felis) في عام 1991 بعد أن تم تثبيتها وعزلها بنجاح. كان يعتقد في الأصل أن الكائن الحي المسبب لـ للمرض هو افبيا فيلس ( Afipia felis) ، ولكن تم دحض ذلك من خلال الدراسات المناعية في تسعينيات القرن العشرين التي أظهرت أن مرضى حمى الخدش طوروا أجسامًا مضادة لكائنين آخرين، هينسلي (المعروف أصلاً باسم Rochalimea henselae قبل جنس بارتونيلا تم الجمع بين Rochalimea و B. clarridgeiae ، وهي جرثومة سلبية الجرام على شكل قضيب. [13]
انظر أيضا
عضة الكلب
مراجع
- معرف أنطولوجية المرض: http://www.disease-ontology.org/?id=DOID:11258 — تاريخ الاطلاع: 15 مايو 2019 — الرخصة: CC0
- معرف أنطولوجية المرض: http://www.disease-ontology.org/?id=DOID:11258
- النص الكامل متوفر في: http://purl.obolibrary.org/obo/doid.owl — الرخصة: CC0
- معرف أنطولوجية المرض: http://www.disease-ontology.org/?id=DOID:11258 — تاريخ الاطلاع: 30 نوفمبر 2020 — الرخصة: CC0
- "Al-Qamoos القاموس - English Arabic dictionary / قاموس إنجليزي عربي". www.alqamoos.org. مؤرشف من الأصل في 31 ديسمبر 2018. اطلع عليه بتاريخ 9 أكتوبر 2017. الوسيط
|CitationClass=تم تجاهله (مساعدة) - Gajula V, Kamepalli R, Kalavakunta JK (2014). "A star in the eye: cat scratch neuroretinitis". Clinical Case Reports. 2 (1): 17. doi:10.1002/ccr3.43. PMC 4184768. PMID 25356231. الوسيط
|CitationClass=تم تجاهله (مساعدة) - Mascarelli PE, Maggi RG, Hopkins S, Mozayeni BR, Trull CL, Bradley JM, Hegarty BC, Breitschwerdt EB (2013). "Bartonella henselae infection in a family experiencing neurological and neurocognitive abnormalities after woodlouse hunter spider bites". Parasites & Vectors. 6: 98. doi:10.1186/1756-3305-6-98. PMC 3639822. PMID 23587343. الوسيط
|CitationClass=تم تجاهله (مساعدة) - Perkocha LA, Geaghan SM, Yen TS, Nishimura SL, Chan SP, Garcia-Kennedy R, Honda G, Stoloff AC, Klein HZ, Goldman RL (1990). "Clinical and pathological features of bacillary peliosis hepatis in association with human immunodeficiency virus infection". The New England Journal of Medicine. 323 (23): 1581–6. doi:10.1056/NEJM199012063232302. PMID 2233946. الوسيط
|CitationClass=تم تجاهله (مساعدة) - Klotz SA, Ianas V, Elliott SP (2011). "Cat-scratch Disease". American Family Physician. 83 (2): 152–5. PMID 21243990. مؤرشف من الأصل في 13 ديسمبر 2019. الوسيط
|CitationClass=تم تجاهله (مساعدة) - Catscratch Disease~clinical في موقع إي ميديسين
- Gajula V, Kamepalli R, Kalavakunta JK (2014). "A star in the eye: cat scratch neuroretinitis". Clinical Case Reports. 2 (1): 17. doi:10.1002/ccr3.43. PMC 4184768. PMID 25356231. الوسيط
|CitationClass=تم تجاهله (مساعدة) - Perkocha LA, Geaghan SM, Yen TS, Nishimura SL, Chan SP, Garcia-Kennedy R, Honda G, Stoloff AC, Klein HZ, Goldman RL (1990). "Clinical and pathological features of bacillary peliosis hepatis in association with human immunodeficiency virus infection". The New England Journal of Medicine. 323 (23): 1581–6. doi:10.1056/NEJM199012063232302. PMID 2233946. الوسيط
|CitationClass=تم تجاهله (مساعدة) - Florin TA, Zaoutis TE, Zaoutis LB (2008). "Beyond cat scratch disease: widening spectrum of Bartonella henselae infection". Pediatrics. 121 (5): e1413–25. doi:10.1542/peds.2007-1897. PMID 18443019. الوسيط
|CitationClass=تم تجاهله (مساعدة) - Higgins JA, Radulovic S, Jaworski DC, Azad AF (1996). "Acquisition of the cat scratch disease agent Bartonella henselae by cat fleas (Siphonaptera:Pulicidae)". Journal of Medical Entomology. 33 (3): 490–5. doi:10.1093/jmedent/33.3.490. PMID 8667399. مؤرشف من الأصل في 18 فبراير 2020. الوسيط
|CitationClass=تم تجاهله (مساعدة) - Foil L, Andress E, Freeland RL, Roy AF, Rutledge R, Triche PC, O'Reilly KL (1998). "Experimental infection of domestic cats with Bartonella henselae by inoculation of Ctenocephalides felis (Siphonaptera: Pulicidae) feces". Journal of Medical Entomology. 35 (5): 625–8. doi:10.1093/jmedent/35.5.625. PMID 9775583. الوسيط
|CitationClass=تم تجاهله (مساعدة) - Copeland, Claudia S. (2015). "Cat Scratch Fever? Really?: Cats, Fleas and the Many Faces of Bartonellosis". Healthcare Journal of Baton Rouge: 28–34. مؤرشف من الأصل في 22 نوفمبر 2015. الوسيط
|CitationClass=تم تجاهله (مساعدة) - Mascarelli PE, Maggi RG, Hopkins S, Mozayeni BR, Trull CL, Bradley JM, Hegarty BC, Breitschwerdt EB (2013). "Bartonella henselae infection in a family experiencing neurological and neurocognitive abnormalities after woodlouse hunter spider bites". Parasites & Vectors. 6: 98. doi:10.1186/1756-3305-6-98. PMC 3639822. PMID 23587343. الوسيط
|CitationClass=تم تجاهله (مساعدة) - Lantos PM, Maggi RG, Ferguson B, Varkey J, Park LP, Breitschwerdt EB, Woods CW (2014). "Detection of Bartonella species in the blood of veterinarians and veterinary technicians: a newly recognized occupational hazard?". Vector Borne and Zoonotic Diseases. 14 (8): 563–70. doi:10.1089/vbz.2013.1512. PMC 4117269. PMID 25072986. الوسيط
|CitationClass=تم تجاهله (مساعدة) - Rosado FG, Stratton CW, Mosse CA (2011). "Clinicopathologic correlation of epidemiologic and histopathologic features of pediatric bacterial lymphadenitis". Archives of Pathology & Laboratory Medicine. 135 (11): 1490–3. doi:10.5858/arpa.2010-0581-OA. PMID 22032579. الوسيط
|CitationClass=تم تجاهله (مساعدة) - Nelson, Christina A.; Saha, Shubhayu; Mead, Paul S. "Cat-Scratch Disease in the United States, 2005–2013". Emerging Infectious Diseases. 22 (10): 1741–1746. doi:10.3201/eid2210.160115. PMC 5038427. PMID 27648778. مؤرشف من الأصل في 17 يونيو 2019. الوسيط
|CitationClass=تم تجاهله (مساعدة) - Carithers, H. A. (1985-11-01). "Cat-scratch disease. An overview based on a study of 1,200 patients". American Journal of Diseases of Children. 139 (11): 1124–1133. doi:10.1001/archpedi.1985.02140130062031. ISSN 0002-922X. PMID 4061408. مؤرشف من الأصل في 24 يوليو 2018. الوسيط
|CitationClass=تم تجاهله (مساعدة) - Rolain, J. M.; Brouqui, P.; Koehler, J. E.; Maguina, C.; Dolan, M. J.; Raoult, D. (2004-06-01). "Recommendations for Treatment of Human Infections Caused by Bartonella Species". Antimicrobial Agents and Chemotherapy. 48 (6): 1921–1933. doi:10.1128/AAC.48.6.1921-1933.2004. ISSN 0066-4804. PMC 415619. PMID 15155180. الوسيط
|CitationClass=تم تجاهله (مساعدة) - Catscratch Disease~treatment في موقع إي ميديسين
- Chomel, Bruno B.; Boulouis, Henri J.; Breitschwerdt, Edward B. (April 15, 2004). "Cat scratch disease and other zoonotic Bartonella infections" (PDF). Vet Med Today: Zoonosis Update. 224: 1270–1279. مؤرشف من الأصل (PDF) في 1 ديسمبر 2017 – عبر JAVMA. الوسيط
|CitationClass=تم تجاهله (مساعدة) - Windsor, Jeffrey J. (2001). "Cat-scratch Disease: Epidemiology, Etiology, and Treatment" (PDF). British Journal of Biomedical Science. 58: 101–110. مؤرشف من الأصل في 7 مارس 2019. الوسيط
|CitationClass=تم تجاهله (مساعدة) - Nelson, C. A., Saha, S., & Mead, P. S. (2016). Cat-Scratch Disease in the United States, 2005-2013. Emerging Infectious Diseases, 22(10), 1741-1746. doi:10.3201/eid2210.160115
- Asano S (2012). "Granulomatous lymphadenitis". Journal of Clinical and Experimental Hematopathology. 52 (1): 1–16. doi:10.3960/jslrt.52.1. PMID 22706525. الوسيط
|CitationClass=تم تجاهله (مساعدة)