مرض كف القدم الخشبية
ديستمبر الكلاب (يُطلق عليه أحيانًا مرض كف القدم الخشبية) هو مرض فيروسي يصيب مجموعة كبيرة من الثدييات [1] ، بما في ذلك الأنواع المهجنة والبرية من الكلاب، والقيوط، والثعالب، والباندا، والذئاب، والقوارض، والظربان، والراكون، والقطط الكبيرة، بالإضافة إلى زعنفيات الاقدام، وبعض الرئيسيات، ومجموعة متنوعة من الأنواع الأخرى. كان يُعتقد لفترة طويلة أن الحيوانات في عائلة السنوريات Felidae ، بما في ذلك العديد من أنواع السنوريات الكبيرة وكذلك القطط المنزلية، تقاوم ديستمبر الكلاب، إلى أن وجد بعض الباحثين عن انتشار عدوى فيروس ديستمبر الكلاب (CDV) في السنوريات الكبيرة.[2] من المعروف الآن أن كل ومن السنوريات الكبيرة والقطط المنزلية معرضة لالإصابة، عادةً من خلال الاختلاط المباشر مع الكلاب [3] أو ربما نقل الدم من حيوانات مصابة، ولكن يبدو أن مثل هذه العدوى ذاتية الإستطابة وبلا أعراض.
في الكلبيات، يؤثر الديستمبر على العديد من أجهزة الجسم، بما في ذلك الجهاز الهضمي والتنفسي والحبل الشوكي والدماغ، مع أعراض شائعة كارتفاع درجة الحرارة والتهاب العين وإفرازات مخاطية من العين / الأنف وصعوبة التنفس والسعال والقيء والإسهال وفقدان الشهية والخمول وتصلب الأنف ووسادات الكف. ويمكن أن تظهر أعراضًا عصبية خطيرة في نهاية المطاف. يمكن أن تصاحب العدوى الفيروسية عدوى بكتيرية ثانوية ز
ينتج مرض ديستمبر الكلاب عن فيروس RNA أحادي الشريطة من عائلة Paramyxoviridae (نفس عائلة الفيروسات التي تسبب الحصبة والنكاف والتهاب القصيبات عند البشر). هذا المرض شديد العدوى عن طريق الاستنشاق.[4] قد تختلف معدلات الاعتلال والوفيات اختلافًا كبيرًا بين أنواع الحيوانات، حيث يصل معدل الوفيات إلى 100٪ في تجمعات ابن عرس غير المحصنة. في الكلاب الأليفة، في حين أن الشكل الحاد العام من الديستمبر له معدل وفيات مرتفع، فإن مدة المرض وشدته تعتمد بشكل أساسي على عمر الحيوان والحالة المناعية وضراوة السلالة المعدية للفيروس.[5] على الرغم من التطعيم المكثف في العديد من المناطق، إلا أنه لا يزال مرضًا رئيسيًا للكلاب، وكان السبب الرئيسي لموت الكلاب من الأمراض المعدية، قبل أن يصبح اللقاح متاحًا.[6]
أصل كلمة "ديستمبر" هو من الإنجليزية الأوسط distemperen، وهذا يعني أن يخل توازن المزاجات، وهو من الفرنسية القديمة destemprer، وهذا يعني أن تخل، وهو من اللاتينية العامية distemperare: لا اللاتينية وtemperare لاتينية، مما يعني عدم الاختلاط بشكل صحيح.[7][8]
علامات طبيه

في الكلاب، تتفاوت علامات الديستمبر بشكل كبير من عدم وجود علامات، إلى علامات تنفسية خفيفة لا يمكن تمييزها من سعال الكلاب ، إلى الالتهاب الرئوي الحاد مع القيء، والإسهال الدموي، والموت.[9]
العلامات التي يتم ملاحظتها بشكل شائع هي سيلان الأنف والقيء والإسهال والجفاف وإفراز اللعاب والسعال و / أو صعوبة التنفس وفقدان الشهية وفقدان الوزن. إذا ظهرت علامات عصبية، فقد يحدث سلس البول.[10][11] تشمل علامات الجهاز العصبي المركزي ارتعاشًا موضعيًا لا إراديًا للعضلات أو مجموعات من العضلات، ونوبات تشنجية مع إفراز اللعاب وحركات الفك التي توصف عادةً "بنوبات مضغ العلكة" ، أو بشكل أكثر ملاءمة "انقباض الديستمبر العضلي". مع تقدم الحالة، تزداد التشنجات سوءًا وتتطور إلى تشنجات كبيرة يتبعها موت الحيوان. قد يظهر الحيوان أيضًا علامات الحساسية من الضوء، وعدم التناسق، والدوران، وزيادة الحساسية للمنبهات الحسية مثل الألم أو اللمس، وتدهور القدرات الحركية. أقل شيوعًا، قد تؤدي إلى العمى والشلل. قد تصل مدة المرض العام إلى 10 أيام، أو قد لا تظهر العلامات العصبية إلا بعد عدة أسابيع أو أشهر. وعادة ما يعاني هؤلاء القلائل الذين يبقون على قيد الحياة من تشنج بسيط أو ارتعاش بمستويات متفاوتة من الشدة. مع مرور الوقت، تتضاءل هذه النكزة عادة إلى حد ما في شدتها.[12]
علامات دائمة
يستمر الكلب الذي ينجو من المرض في ظهور علامات غير مهددة للحياة ومهددة للحياة طوال حياته. أكثر الأعراض غير المهددة للحياة انتشارًا هو مرض الكفوف الصلبة. يحدث هذا عندما يعاني الكلب من سماكة الجلد على باطن كفوفه، وكذلك في نهاية أنفه. من الأعراض الدائمة الأخرى الشائعة نقص تنسج المينا . الجراء، على وجه الخصوص، تتضرر مينا الأسنان التي لم تتشكل بشكل كامل أو تلك التي لم تنمو بعد من خلال اللثة. هذا نتيجة لقتل الفيروس الخلايا المسؤولة عن تصنيع مينا الأسنان. تميل هذه الأسنان المصابة إلى التآكل بسرعة.[13]
تشمل العلامات التي تهدد الحياة عادةً تلك الناتجة عن تحلل الجهاز العصبي. تميل الكلاب المصابة بالعدوى إلى التدهور التدريجي في القدرات العقلية والمهارات الحركية. مع مرور الوقت، يمكن أن يصاب الكلب بتشنجات أشد، وشلل، ونقص في الرؤية، وعدم تناسق. عادة ما يتم قتل هذه الكلاب بطريقة إنسانية بسبب الألم الشديد والمعاناة التي يواجهونها.[13]
علم الفيروسات

ينتج مرض الديستمبر عن فيروس RNA أحادي الخيط من عائلة Paramyxoviridae ، وهو قريب من الفيروسات التي تسبب الحصبة في البشر والطاعون البقري في الحيوانات.[12][14]
التنوع الجيني
تتنوع السلالات المتميزة جغرافيًا لفيروس ديستمبر الكلاب جينيًا. ينشأ هذا التنوع من الطفرة ، وعندما يصيب فيروسان مختلفان وراثيًا نفس الخلية، من إعادة التركيب المتماثل [15]
نطاق المضيف
يصيب مرض الديستمبرل أو الكف الصلب، [16] الحيوانات في عائلات الكلبيات (كلب، ثعلب، ذئب، الراكون ) ،فصيلة ابن عرس Mustelidae ( نمس ، منك ، ظربان ، ولفيرين، دلق، غرير، قضاعة) ، [12] الراتونيات Procyonidae (الراكون، coati ) ، Ailuridae (الباندا الحمراء) ، Ursidae (الدب) ، Elephantidae ( الفيل الآسيوي) ، وبعض الرئيسيات (مثل القرد الياباني) ، وكذلك الزباديات Viverridae (الراكون مثل جنوب آسيا بينتورونج، زباد النخيل) ، Hyaenidae (الضبع) ، Pinnipedia (الفقمات، الفظ، أسد البحر، إلخ) ، [10][17] السنوريات الكبيرة (القطط، بإستثناء القطط المنزلية . )
في مجموعة أسيرة من الباندا العملاقة في الصين (مركز شانشي لإنقاذ الحيوانات البرية النادرة ومركز الأبحاث) ، أصيب ستة من 22 من الباندا الأسيرة بفيروس CDV. مات جميع الباندا المصابة باستثناء حيوان واحد. تم تطعيم الناجي سابقًا قبل الإصابة.[18]
آلية المرض

يؤثر فيروس ديستمبر الكلاب على جميع أجهزة الجسم تقريبًا.[19] الجراء من عمر 3-6 أشهر معرضة بشكل خاص.[20] ينتشر CDV من خلال الرذاذ المعلق في الهواء الجوي ومن خلال ملامسة سوائل الجسم المصابة، بما في ذلك إفرازات الأنف والعين والبراز والبول ، بعد 6 إلى 22 يومًا من التعرض. كما يمكن أن ينتشر عن طريق الطعام والماء الملوث بهذه السوائل.[21][22] تتراوح الفترة بين العدوى والمرض من 14 إلى 18 يومًا، على الرغم من أن الحمى يمكن أن تظهر من 3 إلى 6 أيام بعد الإصابة.[23]
فيروس ديستمبر الكلاب يميل إلى إصابة الخلايا اللمفاوية ، الطلائية ، و الأنسجة العصبية . يتكاثر الفيروس في البداية في الأنسجة اللمفاوية في الجهاز التنفسي. ثم يدخل الفيروس مجرى الدم ويصيب الجهاز التنفسي والجهاز الهضمي والجهاز البولي التناسلي و الطلائي والجهاز العصبي المركزي والأعصاب البصرية .[12] لذلك، فإن السمات المرضية النموذجية لديستمبر الكلاب تشمل استنفاد الخلايا اللمفاوية (مما يسبب تثبيط المناعة ويؤدي إلى عدوى ثانوية) ، والالتهاب الرئوي ، والتهاب الدماغ مع إزالة الميالين ، وفرط التقرن في الأنف كفوف الاقدام.
يظهر الفيروس لأول مرة في الغدد الليمفاوية للقصبات الهوائية واللوزتين بعد يومين من التعرض. ثم يدخل الفيروس مجرى الدم في اليوم الثاني أو الثالث.[22] تبدأ الدورة الأولى من الحمى الحادة في حوالي 3-8 أيام بعد الإصابة، والتي غالبًا ما تكون مصحوبة بانخفاض عدد خلايا الدم البيضاء، خاصة الخلايا الليمفاوية ، وكذلك انخفاض عدد الصفائح الدموية قد تكون هذه العلامات مصحوبة أو غير مصحوبة بفقدان الشهية وسيلان الأنف وإفرازات من العين. عادة ما تنحسر هذه الدورة من الحمى بسرعة في غضون 96 ساعة، ثم تبدأ الدورة الثانية من الحمى في حوالي اليوم الحادي عشر أو الثاني عشر وتستمر لمدة أسبوع على الأقل. تميل مشاكل الجهاز الهضمي والجهاز التنفسي إلى الظهور، والتي قد تصبح معقدة مع الالتهابات البكتيرية الثانوية. التهاب الدماغ والحبل الشوكي، المعروف أيضًا باسم التهاب الدماغ والنخاع ، إما مرتبط بهذا، أو يتبعه، أو يأتي مستقلاً تمامًا عن هذه المشاكل. تزداد سماكة وسادات القدم أحيانًا، وعادة ما تتطور إصابات بثرية وحويصلية على البطن. تظهر العلامات العصبية عادةً في الحيوانات ذات وسادات القدم السميكة نتيجة للفيروس.[10][12] يعاني حوالي نصف المصابين بالتهاب السحايا والدماغ , أقل من 50٪ من الكلاب البالغة التي تصاب بالمرض يموت بسببه. غالبًا ما يصل معدل الوفيات بين الجراء إلى 80٪.[24]
التشخيص

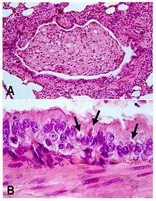
تشير العلامات المذكورة أعلاه، وخاصة الحمى، وعلامات الجهاز التنفسي، والعلامات العصبية، ووسادات القدم السميكة، التي تحدث في الكلاب غير الملقحة، إلى مرض ديستمبر الكلاب. ومع ذلك، فإن العديد من أمراض الحمى تتطابق مع العديد من علامات المرض ولم يكن هناك إمكانية للتمييز بين التهاب الكبد في الكلاب، وفيروس الهربس ، ونظير الإنفلونزا ، وداء البريميات إلا مؤخرًا.[10] وبالتالي، فإن العثور على الفيروس بطرق مختلفة في خلايا ملتحمة الكلب أو وسادات القدم يعطي تشخيصًا نهائيًا. في الكلاب الأكبر سنًا التي تصاب بالتهاب الدماغ والنخاع الشوكي، قد يكون التشخيص أكثر صعوبة، لأن العديد من هذه الكلاب لديها تاريخ تطعيم مناسب.[25]
اختبار إضافي لتأكيد ديستمبر الكلاب هو اخذ عينة بطريقة حافة الفرشاة للخلايا الطلائية الانتقالية للمثانة الداخلية ووضعا على شريحة زجاجية، وصبغها بـ Diff-Quik . تحتوي هذه الخلايا المصابة على شوائب تصبغ باللون الأحمر القرمزي، الموجود في السيتوبلازم المجاور للنواة . حوالي 90٪ من خلايا المثانة ستكون موجبة للشوائب في المراحل المبكرة من المرض.[26]
الوقاية
يوجد عدد من اللقاحات ضد مرض ديستمبر الكلاب للكلاب (كود QI07AD05 (WHO) : QI07AD05 (WHO) QI20DD01 (WHO) ) وابن عرس ( QI20DD01 (WHO) ) ، وهي إلزامية للحيوانات الأليفة. يجب عزل الحيوانات المصابة عن الكلاب الأخرى لعدة أشهر بسبب طول الوقت الذي قد ينشر فيه الحيوان من الفيروس.[12] يتم تعقيم الفيروس في البيئة عن طريق التنظيف الروتيني بالمطهرات أو المنظفات أو التجفيف. لا يعيش الفيروس في البيئة لأكثر من بضع ساعات في درجة حرارة الغرفة (20-25 درجة مئوية) ، ولكن يمكنه البقاء لبضعة أسابيع في بيئات مظللة عند درجات حرارة أعلى قليلاً من درجة التجمد.[27] يمكن أن يستمر أيضًا، إلى جانب الفيروسات الأخرى القابلة للشفاء، لفترة أطول في السيروم والبقايا الحيوية.[22]
على الرغم من التطعيم المكثف في العديد من المناطق، إلا أنه لا يزال مرضًا رئيسيًا للكلاب.[28]
لمنع الإصابة بديستمبر الكلاب، يجب أن تبدأ الجراء في التطعيم على عمر 6-8 أسابيع ثم تستمر في الحصول على "اللقاح المعزز" كل 3-4 أسابيع حتى يبلغوا 16 أسبوعًا من العمر. بدون سلسلة الحقن الكاملة، لا يوفر التطعيم الحماية من الفيروس. نظرًا لأنه يتم بيع الجراء عادةً في عمر 8-10 أسابيع، فإنهم يحصلون عادةً على الجرعة الأولى بينما لا يزالون مع مربيهم، لكن المالك الجديد غالبًا لا يكمل السلسلة. هذه الكلاب ليست محمية من الفيروس، لذلك فهي عرضة للإصابة بديستمبر الكلاب، مما يؤدي إلى استمرار الدوامة التي تؤدي إلى تفشي المرض في جميع أنحاء العالم.[29]
العلاج
لا يوجد علاج محدد لديستمبر الكلاب . كما هو الحال مع الحصبة، فإن العلاج يكون للأعراض ولمساعدة الحيوان قدر الإمكان.[12] تتجه الرعاية نحو علاج اختلالات السوائل / الأملاح والأعراض العصبية والوقاية من أي عدوى بكتيرية ثانوية. تشمل الأمثلة إعطاء السوائل ومحاليل الإلكتروليت والمسكنات ومضادات التشنجات والمضادات الحيوية واسعة الطيف ومضادات الحرارة والتغذية بالحقن والرعاية التمريضية بالإضافة للعلاج بالأجسام المناعية.[30][31]
النتيجة
يعتمد معدل وفيات الفيروس بشكل كبير على الحالة المناعية للكلاب المصابة. تعاني الجراء من أعلى معدل وفيات، حيث تكون المضاعفات مثل الالتهاب الرئوي والتهاب الدماغ أكثر شيوعًا.[22] في الكلاب الأكبر سنًا التي تصاب بالديستمبر، قد يكون التهاب الدماغ والنخاع موجودًا.[25] حوالي 15 ٪ من أمراض الجهاز العصبي المركزي الالتهابية للكلاب هي نتيجة CDV.[32]
علم الأوبئة
انخفض انتشار مرض الكلاب في المجتمع بشكل كبير بسبب توفر اللقاحات. ومع ذلك، يستمر المرض في الانتشار بين الحيوانات الغير محصنة، مثل تلك الموجودة في ملاجئ الحيوانات ومتاجر الحيوانات الأليفة. يمثل هذا تهديدًا كبيرًا لكل من المجتمعات الريفية والحضرية ، مما يؤثر على كل من المآوى والكلبيات المنزلية. على الرغم من فعالية التطعيم ، لا يزال تفشي هذا المرض يحدث على الصعيد الوطني.
لا تزال حالات تفشي مرض ديستمبر الكلاب تحدث في جميع أنحاء العالم تقريبا وتنتج عن العديد من العوامل ، بما في ذلك القرب من الحيوانات البرية ونقص الحيوانات الملقحة. هذه المشكلة أكبر داخل مناطق مثل أريزونا ، بسبب المساحة الشاسعة من الأراضي الريفية. ويقيم عدد غير معروف من الحيوانات الغير ملقحة في هذه المناطق ، لذا فهي أكثر عرضة للإصابة بأمراض مثل ديستمبر الكلاب الكلاب. تعمل هذه الحيوانات البرية كمخزن للفيروس ، وتنشره في جميع أنحاء المناطق المحيطة ، بما في ذلك المناطق الحضرية. يمكن بعد ذلك إصابة الجراء والكلاب التي لم تتلقى اللقاحات في أماكن تتفاعل فيه العديد من الكلاب ، مثل حدائق الكلاب.
تاريخيا
في أوروبا ، حدث أول تقرير عن مرض ديستمبر الكلاب في إسبانيا عام 1761. وصف إدوارد جينر المرض في عام 1809 ، لكن الطبيب البيطري الفرنسي هنري كاري قرر أن المرض سببه فيروس في عام 1905.[33] كانت النتائج التي توصل إليها كاري محل خلاف بين الباحثين في إنجلترا حتى عام 1926 ، عندما أكد باتريك ليدلو وجي دبليو دانكن أن المرض ، في الواقع ، ناجم عن فيروس.
تم تطوير أول لقاح ضد مرض الديستمبرمن قبل إيطالي يدعى بونتوني.[34] في عامي 1923 و 1924 ، نشر بونتوني مقالتين أضاف فيهما الفورمالين إلى أنسجة المخ من الكلاب المصابة لإنشاء لقاح نجح في منع المرض في الكلاب السليمة. تم تطوير لقاح تجاري في عام 1950 ، ولكن بسبب الاستخدام المحدود ، لا يزال الفيروس منتشرًا في العديد من المناطق.[35]
الكلاب الاليفة مسؤولة إلى حد كبير عن إدخال الديستمبر إلى الحيوانا االبرية الغير متعرضة للمرض سابقا ، وهو الآن يسبب تهديدًا خطيرًا للحفاظ على العديد من أنواع الحيوانات آكلة اللحوم وبعض أنواع الجرابيات . ساهم الفيروس في الانقراض الوشيك للنمس ذوات الأقدام السوداء . كما قد لعبت دورا كبيرا في انقراض نمر تسماني (نمر تسمانيا) و يعتبر سبب رئيسي للوفيات بين الكلاب البرية الأفريقية .[14] في عام 1991 ، شهد عدد الأسود في سيرينجيتي ، تنزانيا ، انخفاضًا بنسبة 20 ٪ نتيجة لهذا المرض.[36] وقد تحور المرض أيضًا ليشكل فيروس ديستمبرالفوسيد الذي يصيب الفقمة .[10]
المراجع
- "canine distemper - Invasive Species Compendium - CABI". مؤرشف من الأصل في 24 يوليو 2020. الوسيط
|CitationClass=تم تجاهله (مساعدة) - Ikeda, Yasuhiro; Nakamura, Kazuya; Miyazawa, Takayuki; Chen, Ming-Chu; Kuo, Tzong-Fu; Lin, James A; Mikami, Takeshi; Kai, Chieko; Takahashi, Eiji (May 2001). "Seroprevalence of Canine Distemper Virus in Cats". Clin Vaccine Immunol. 8 (3): 641–644. doi:10.1128/CDLI.8.3.641-644.2001. PMID 11329473. الوسيط
|CitationClass=تم تجاهله (مساعدة) - Greene, Craig E; Appel, Max J (2006). "3. Canine distemper". In Greene, Craig E (المحرر). Infectious Diseases of the Dog and Cat (الطبعة 3rd). St Louis, MO: Elsevier. ISBN 978-1-4160-3600-5. الوسيط
|CitationClass=تم تجاهله (مساعدة) - Deem, Sharon L.; Spelman, Lucy H.; Yates, Rebecca A.; Montali, Richard J. (December 2000). "Canine Distemper in Terrestrial Carnivores: A Review" (PDF). Journal of Zoo and Wildlife Medicine. 31 (4): 441–451. doi:10.1638/1042-7260(2000)031[0441:CDITCA]2.0.CO;2. مؤرشف من الأصل (PDF) في 17 مايو 2017. اطلع عليه بتاريخ 05 ديسمبر 2017. الوسيط
|CitationClass=تم تجاهله (مساعدة) - Andreas, Beineke; Baumgärtner, Wolfgang; Wohlsein, Peter (13 September 2015). "Cross-species transmission of canine distemper virus—an update". One Health. 1: 49–59. doi:10.1016/j.onehlt.2015.09.002. PMID 28616465. الوسيط
|CitationClass=تم تجاهله (مساعدة) - "Animal Health" (PDF). مؤرشف من الأصل (PDF) في 07 نوفمبر 2017. اطلع عليه بتاريخ 30 أكتوبر 2017. الوسيط
|CitationClass=تم تجاهله (مساعدة) - "distemper (definition)". Oxford Living Dictionaries - English. Oxford University Press. مؤرشف من الأصل في 06 ديسمبر 2017. اطلع عليه بتاريخ 06 ديسمبر 2017. الوسيط
|CitationClass=تم تجاهله (مساعدة) - "distemper (definition)". American Heritage Dictionary. Houghton Mifflin Harcourt. مؤرشف من الأصل في 09 مايو 2018. اطلع عليه بتاريخ 06 ديسمبر 2017. الوسيط
|CitationClass=تم تجاهله (مساعدة) - Greene, CE; Vandevelde, M (2012). "Chapter 3: Canine distemper". In Greene, Craig E. (المحرر). Infectious diseases of the dog and cat (الطبعة 4th). St. Louis, Mo.: Elsevier/Saunders. صفحات 25–42. ISBN 978-1-4160-6130-4. الوسيط
|CitationClass=تم تجاهله (مساعدة) - Jones, T.C.; Hunt, R.D.; King, N.W. (1997). Veterinary Pathology. Blackwell Publishing. الوسيط
|CitationClass=تم تجاهله (مساعدة) - Veterinary Microbiology. Blackwell Publishing. 1999. ISBN 978-0-86542-543-9. الوسيط
|CitationClass=تم تجاهله (مساعدة) - Kate E. Creevy, 2013, Overview of Canine Distemper, in The Merck Veterinary Manual (online): Veterinary Professionals: Generalized Conditions: Canine Distemper, see "Canine Distemper Overview - Generalized Conditions". مؤرشف من الأصل في 23 ديسمبر 2014. اطلع عليه بتاريخ 15 ديسمبر 2014. الوسيط
|CitationClass=تم تجاهله (مساعدة), accessed 15 December 2014. - "Canine Distemper: What You Need To Know". Veterinary Insider. 2010-12-06. مؤرشف من الأصل في 02 مايو 2012. اطلع عليه بتاريخ 09 أبريل 2012. الوسيط
|CitationClass=تم تجاهله (مساعدة) - "Pathogen evolution and disease emergence in carnivores". Proc. Biol. Sci. 274 (1629): 3165–74. December 2007. doi:10.1098/rspb.2007.0884. PMID 17956850. الوسيط
|CitationClass=تم تجاهله (مساعدة) - Yuan C, Liu W, Wang Y, Hou J, Zhang L, Wang G. Homologous recombination is a force in the evolution of canine distemper virus. PLoS One. 2017 Apr 10;12(4):e0175416. doi: 10.1371/journal.pone.0175416. ECollection 2017. PMID 28394936
- Otto M. Radostits, David A. Ashford, Craig E. Greene, Ian Tizard, et al., 2011, Canine Distemper (Hardpad Disease), in The Merck Manual for Pet Health (online): Pet Owners: Dog Disorders and Diseases: Disorders Affecting Multiple Body Systems of Dogs, see "Canine Distemper (Hardpad Disease) - Dog Owners". مؤرشف من الأصل في 16 ديسمبر 2014. اطلع عليه بتاريخ 15 ديسمبر 2014. الوسيط
|CitationClass=تم تجاهله (مساعدة), accessed 15 December 2014. - Kennedy, Seamus, et al. "Mass die-off of Caspian seals caused by canine distemper virus." Emerging infectious diseases 6.6 (2000): 637. نسخة محفوظة 17 أكتوبر 2020 على موقع واي باك مشين.
- Feng, Na; Yu, Yicong; Wang, Tiecheng; Wilker, Peter; Wang, Jianzhong; Li, Yuanguo; Sun, Zhe; Gao, Yuwei; Xia, Xianzhu (16 June 2016). "Fatal canine distemper virus infection of giant pandas in China". Scientific Reports. 6 (1): 27518. Bibcode:2016NatSR...627518F. doi:10.1038/srep27518. PMID 27310722. الوسيط
|CitationClass=تم تجاهله (مساعدة) - Beineke, A; Baumgärtner, W; Wohlsein, P (December 2015). "Cross-species transmission of canine distemper virus-an update". One Health. 1: 49–59. doi:10.1016/j.onehlt.2015.09.002. PMID 28616465. الوسيط
|CitationClass=تم تجاهله (مساعدة) - "Health Topics: Pet Health: Canine Distemper: Canine Distemper Overview". HealthCommunities.com. 4 Nov 2014 [28 Feb 2001]. مؤرشف من الأصل في 20 ديسمبر 2014. اطلع عليه بتاريخ 15 ديسمبر 2014. الوسيط
|CitationClass=تم تجاهله (مساعدة), accessed 15 December 2014. - Carter, G.R.; Flores, E.F.; Wise, D.J. (2006). "Paramyxoviridae". A Concise Review of Veterinary Virology. مؤرشف من الأصل في 20 أكتوبر 2020. اطلع عليه بتاريخ 24 يونيو 2006. الوسيط
|CitationClass=تم تجاهله (مساعدة) - Hirsch, D.C.; Zee, C.; et al. (1999). Veterinary Microbiology. Blackwell Publishing. الوسيط
|CitationClass=تم تجاهله (مساعدة) - Appel, M.J.G.; Summers, B.A. (1999). "Canine Distemper: Current Status". Recent Advances in Canine Infectious Diseases. مؤرشف من الأصل في 01 سبتمبر 2005. اطلع عليه بتاريخ 24 يونيو 2006. الوسيط
|CitationClass=تم تجاهله (مساعدة) - "Canine Distemper". American Canine Association, Inc. مؤرشف من الأصل في 02 فبراير 2015. اطلع عليه بتاريخ 13 أبريل 2015. الوسيط
|CitationClass=تم تجاهله (مساعدة) - Dewey, C.W. (2003). A Practical Guide to Canine and Feline Neurology. Iowa State Pr. الوسيط
|CitationClass=تم تجاهله (مساعدة) - "NDV-Induced Serum". Kind Hearts in Action. November 5, 2009. مؤرشف من الأصل في 25 يونيو 2012. اطلع عليه بتاريخ 31 أكتوبر 2012. الوسيط
|CitationClass=تم تجاهله (مساعدة) - "Canine Distemper (CDV)". UC Davis Koret Shelter Medicine Program. 2004. مؤرشف من الأصل في 10 أكتوبر 2015. اطلع عليه بتاريخ 17 أغسطس 2013. الوسيط
|CitationClass=تم تجاهله (مساعدة) - EST 2011, Sun Nov 27 19:17:12. "Canine Distemper". Vetstreet (باللغة الإنجليزية). مؤرشف من الأصل في 17 أكتوبر 2020. اطلع عليه بتاريخ 12 ديسمبر 2019. الوسيط
|CitationClass=تم تجاهله (مساعدة) - "Canine Distemper: Prevention of Infections". MarvistaVet. مؤرشف من الأصل في 21 أبريل 2012. اطلع عليه بتاريخ 09 أبريل 2012. الوسيط
|CitationClass=تم تجاهله (مساعدة) - Immunoglobulin of anti canine distemper in use for dogs, fox, and ermine (باللغة الإنجليزية), مؤرشف من الأصل في 17 أكتوبر 2020, اطلع عليه بتاريخ 17 أكتوبر 2020 الوسيط
|CitationClass=تم تجاهله (مساعدة); الوسيط|separator=تم تجاهله (مساعدة)CS1 maint: ref=harv (link) - "Overview of Canine Distemper: Canine Distemper: Merck Veterinary Manual". www.merckvetmanual.com. Merck Sharp & Dohme Corp. 2009. مؤرشف من الأصل في 05 أكتوبر 2016. اطلع عليه بتاريخ 13 فبراير 2016. الوسيط
|CitationClass=تم تجاهله (مساعدة) - "In vitro efficacy of ribavirin against canine distemper virus". Antiviral Res. 77 (2): 108–13. February 2008. doi:10.1016/j.antiviral.2007.09.004. PMID 17949825. الوسيط
|CitationClass=تم تجاهله (مساعدة) - Appel, MJG; Gillespie, JH (1972). "Canine Distemper Virus". Volume 11 of the series Virology Monographs / Die Virusforschung in Einzeldarstellungen. Vienna: Springer Vienna. صفحات 1–96. ISBN 978-3-7091-8302-1. الوسيط
|CitationClass=تم تجاهله (مساعدة) - Tizard, I (1999). "Grease, anthraxgate, and kennel cough: a revisionist history of early veterinary vaccines". Advances in Veterinary Medicine. 41: 7–24. doi:10.1016/S0065-3519(99)80005-6. ISBN 9780120392421. PMID 9890006. الوسيط
|CitationClass=تم تجاهله (مساعدة) - Pomeroy, Laura W.; Bjørnstad, Ottar N; Holmes, Edward C. (2008). "The Evolutionary and Epidemiological Dynamics of the Paramyxoviridae". Journal of Molecular Evolution. 66 (2): 98–106. Bibcode:2008JMolE..66...98P. doi:10.1007/s00239-007-9040-x. PMID 18217182. الوسيط
|CitationClass=تم تجاهله (مساعدة) - Assessment, M.E. (2005). Ecosystems and human well-being. World Resources Institute. الوسيط
|CitationClass=تم تجاهله (مساعدة)
- Di Sabatino, D; Lorusso, A; Di Francesco, CE; Gentile, L; Di Pirro, V; Bellacicco, AL; Giovannini, A; Di Francesco, G; Marruchella, G (Jan 2014). "Arctic lineage-canine distemper virus as a cause of death in Apennine wolves (Canis lupus) in Italy". PLOS ONE. 9 (1): e82356. Bibcode:2014PLoSO...982356D. doi:10.1371/journal.pone.0082356. PMID 24465373. الوسيط
|CitationClass=تم تجاهله (مساعدة)
صور وملفات صوتية من كومنز
- بوابة ثدييات
- بوابة طب
- بوابة كلبيات