مليساء معدية
المليساء المعدية أو المليساء الظهارية هي عدوى فيروسية من الجلد أو أحيانا من الأغشية المخاطية.[1][2][3] MC لا تصيب الحيوان، تصيب الإنسان فقط، كما هو الحال في الجدري. ومع ذلك، هناك العديد من الأنواع الأخرى من الفيروس التي تصيب العديد من الثدييات الأخرى. والفيروس الذي يصيب الإنسان هو الحمض النووي فيروسات جدرية يسمى (molluscum contagiosum virus MCV). هناك أربعة أنواع من MCV، MCV - 1إلى -4 ؛ MCV - 1 هو الأكثر انتشارا وMCV - 2 وينظر عادة في البالغين، وغالبا ما تنتقل بالاتصال الجنسي.واحد من كل ستة من الشباب يصابون ب MC. [بحاجة لمصدر] العدوى هي أكثر شيوعا لدى الأطفال الذين تتراوح أعمارهم بين سنة وعشر سنوات من العمر.[4] MC يمكن أن تؤثر في أي منطقة من الجلد لكنها أكثر شيوعا في الجسم، والذراعين والساقين. وهو ينتشر عن طريق الاتصال المباشر أو العناصر المشتركة مثل الملابس أو المناشف. {
| مليساء معدية | |
|---|---|
![]() مليساء معدية | |
| معلومات عامة | |
| الاختصاص | أمراض معدية ، وطب الجلد |
| من أنواع | مرض فيروسي ، ومرض فيروسي جلدي |
| التاريخ | |
| وصفها المصدر | قاموس الموسوعة الحديثة |
اضغط هنا للاطلاع على كيفية قراءة التصنيف Molluscum contagiousm virus | |
|---|---|
![]() EM of Molluscum contagiosum virus | |
| تصنيف الفيروسات | |
| المجموعة: | (dsDNA) I مجموعة |
| الفصيلة: | فيروسات جدرية |
| الجنس: | Molluscipoxvirus |
| النوع: | Molluscum contagiosum virus |
الفيروس ينتشر عادة عن طريق الاتصال من الجلد إلى الجلد. ويشمل هذا الاتصال الجنسي أو لمس أو خدش المطبات ثم لمس الجلد. مناولة الكائنات التي لديها الفيروس (أداة العدوى ق)، مثل منشفة، يمكن أن يؤدي أيضا إلى الإصابة. الفيروس يمكن أن ينتشر من جزء واحد من جسد إلى آخر، أو إلى أشخاص آخرين. الفيروس يمكن ان ينتشر بين الأطفال في الحضانة أو في المدرسة. المليساء المعدية نكون معدية حتى تنتهى البقع الجلدية، والتي، إن لم يعالج، قد تصل إلى 6 أشهر أو أكثر.
الوقت من العدوى إلى ظهور آفات تتراوح من 2 أسابيع [بحاجة لمصدر] إلى 6 أشهر، وتراوح متوسط فترة حضانة المرض من 6 أسابيع.
التشخيص


التشخيص يتم على المظهر السريري ؛ الفيروس لا يمكن ان يكون مثقف بشكل روتيني. ويمكن أن يتم تأكيد التشخيص عن طريق خزعة excisional.
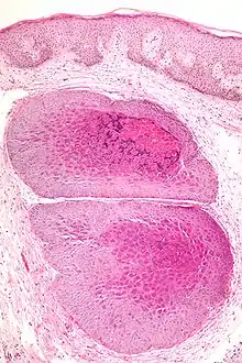
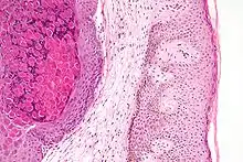
تشريحيا، contagiosum المليساء يتميز الهيئات المليساء في البشرة فوق basale الطبقة، التي تتألف من الخلايا الكبيرة مع :
- وفرة حبيبات السيتوبلازم بالخلايا (virons المتراكمة)، و
- نواة صغيرة هامشية.
الأعراض
المليساء contagiosum الآفات هي كائنات حية، على شكل قبة، ولؤلؤي في المظهر. أنها غالبا ما تكون 1-5 ملليمترات في القطر، مع مركز مدمل. وهي عموما ليست مؤلمة، ولكنها قد تصبح حكة أو غضب. قطف أو الخدش المطبات التي قد تؤدي إلى مزيد من العدوى أو تندب. في حوالي 10 ٪ من الحالات ، الأكزيما يتطور حول الآفات. وأحيانا قد يكون معقدا من الإصابات البكتيرية الثانوية. في بعض الحالات القسم مدمل وقد تنزف مرة أو مرتين. [بحاجة لمصدر]
والعدوى الفيروسية يقتصر على منطقة موضعية على أعلى طبقة من البشرة.[5] مرة واحدة تحتوي على الفيروس رئيس الآفة قد دمر، والعدوى هو ذهب. ووسط شمعي الأساسية يحتوي على الفيروس. في عملية تسمى العدوى الذاتية، يمكن أن ينتشر الفيروس إلى مناطق الجلد المجاورة. الأطفال هم عرضة بشكل خاص لصناعة السيارات في التلقيح، وربما كتل واسعة النطاق للآفات.
طرق العلاج
آفات المليساء فردية قد تزول من تلقاء نفسها وترد على النحو دائم عموما من 6 إلى 8 أسابيع، [6] إلى 2 أو 3 أشهر.[7] ومع ذلك عن طريق العدوى الذاتية، قد نشر المرض وحتى اندلاع عموما تستمر لفترة أطول مع فترات مختلفة يعني الإبلاغ عن 8 أشهر، [6] لحوالي 18 شهرا، [8][9] ومع مجموعة من فترات تتراوح بين 6 أشهر إلى 5 سنوات.[7][9]
العلاج هو في كثير من الأحيان لا لزوم لها [10] اعتمادا على موقع وعدد من الآفات، ويوجد نهج واحد تم مقنع يظهر أن تكون فعالة.[11] ومع ذلك، قد تكون تسعى للعلاج بعد ذلك للأسباب التالية :

- المسائل الطبية بما في ذلك :
- النزيف
- انتانات ثانوية
- الحكة وعدم الراحة
- تندب المحتملة
- المزمن التهاب القرنية والملتحمة
- أسباب اجتماعية
- مستحضرات التجميل
- الإحراج
- الخوف من انتقال المرض إلى الآخرين
- الاستبعاد الاجتماعي
يوصي العديد من العاملين في مجال الصحة علاج المطبات الموجودة في منطقة الأعضاء التناسلية لمنعها من الانتشار.[9] الفيروس لا تعيش إلا في الجلد، وبمجرد أن معدلات النمو قد ولت، فإن الفيروس قد ولى، ولا يمكن أن تنتشر إلى الآخرين. المليساء contagiosum ليس مثل الهربس والفيروسات، والتي يمكن أن تظل كامنة في الجسم لفترات طويلة ومن ثم يعاود الظهور. وهكذا، عندما العلاج أدى إلى القضاء على جميع المطبات، والإصابة قد تم علاجها بشكل فعال ولن تعود إلى الظهور الا إذا كان المريض مرة أخرى بالمرض.[12] وفي الممارسة العملية، قد لا يكون من السهل أن نرى كل المطبات وcontagiosum المليساء. على الرغم من أنها تبدو ذهب، قد يكون هناك بعض التي تم تجاهلها. إذا كان هذا هو الحال، يمكن للمرء أن تضع عقبات جديدة عن طريق العدوى الذاتية، على الرغم من غياب واضح.
العلاج بالتبريد
العلاج بالتبريد ينطوي على قتل الخلايا المصابة ب "تجميد" لهم لرش السائل المضغوط، وعادة ما النتروجين السائل أو أكسيد النيتروز. الإجراء هو غير مؤلم نسبيا ويمكن أن يقوم بها أي مجال الصحة المهنية، بما في ذلك الممرضة أو مساعد الطبيب. والخلايا المصابة يمكن التراجع فورا أو تتلاشى على مدى عدة أيام.
بوفيدون-يود
هناك خيارات العلاج القليلة التي يمكن القيام به في المنزل. يمكن بوفيدون فرك الجراحية تكون نقيت بلطف على المنطقة المصابة لمدة 5 دقائق يوميا لحين حل الآفات (هذا غير مستحسن لتلك الحساسية لاليود أو بتدين). [بحاجة لمصدر] ومع ذلك، فإن قدرة اليود لاختراق الجلد السليم هو الفقراء، ودون وخزة دبوس إبرة أو عصا في كل آفة المليساء هذا الأسلوب لا يعمل بشكل جيد. لا تستخدم على الجلد مكسورة.
العقول
عقولة المواد الكيميائية المطبقة على سطح الآفات المليساء لتدمير طبقات متعاقبة من الجلد وتشمل حمض الخليك ثلاثي الكلور، راتنج راتنج البودوفيلوم، هيدروكسيد البوتاسيوم، والأخيصرمن الحشرات. [13]
الليمون الأسترالي
وأظهرت دراسة أجريت عام 2004 أكثر من 90 ٪ تخفيض في عدد من الآفات في 9 من أصل 16 طفلا تعامل مرة واحدة يوميا لمدة 21 يوما مع 10 ٪ من قوة من الضروري النفط ميرتل الأسترالية الليمون (آس الليمون) المذاب في زيت الزيتون.[14] إلا أن النفط قد تهيج جلد طبيعي عند تركيزات من 1 ٪.[15][16]
البنزويل بيروكسايد
في العشوائية الصغيرة تسيطر المحاكمة مرتين يوميا تطبيق 10 ٪ بنزويل بيروكسيد كريم لمدة 4 أسابيع وقد وجد أن تكون أكثر فعالية من ترتينوين 0.05 ٪ كريم، وبعد 6 أسابيع 92 ٪ من المجموعة البنزويل بيروكسايد كانت خالية من الآفة، مقارنة مع 45 ٪ من المجموعة تريتينوين (ع = 0.02) [17][18]
Cantharidin
Cantharidin هي مادة كيميائية موجودة بشكل طبيعي في العديد من أعضاء الأسرة خنفساء خنافس محرقة الذي يسبب تقرحات جلدية. وافقت إدارة الاغذية والعقاقير ولكن لم تتوفر من خلال اختيار كندا أو الولايات المتحدة يضاعف من الصيدلية. أنها ليست مؤلمة على التطبيق، ولذا قد يكون من المفضل من قبل بعض عند علاج الأطفال الصغار. وينبغي ألا تستخدم على الارجح بالقرب من الأطفال في عينيه أو غير المتعاونة، كما هو الكيميائية الكاوية إذا خدش ويفرك عينيه. فإنه عادة ما يطبق مع قضيب خشبي مثل نهاية حادة من القطن خشبي مهدها. بعض الدعوة على أن يترك unoccluded. بعض الدعوة مع الشريط الذي يغطي الفترة من 1 إلى 8 ساعات.
زيت شجرة الشاى
آخر من الضروري النفط، زيت شجرة الشاي وتفيد التقارير أن ما لا يقل عن الحد من نمو وانتشار الآفات عند استخدامها في شكل مخفف.[19] زيت شجرة الشاي قد تسبب أكزيما تماس لذوي الجلد الحساس، رغم أنه أقل في كثير من الأحيان في شكل مخفف.
Over-the-counter substances
في الحالات الخفيفة، من دون ومكافحة ثؤلول الأدوية، مثل حمض الصفصاف قد تكون أو لا [20] تقصير مدة العدوى. يوميا التطبيق الموضعي للكريم تريتينوين ("ريتين ألف 0.025 ٪") كما قد يؤدي القرار.[21][22] هذه العلاجات تتطلب عدة أشهر للإصابة واضحة، وغالبا ما تترافق مع التهاب شديد وربما عدم الراحة.
Imiquimod
يصف الأطباء أحيانا إميكويمود، والجدول الزمني الأمثل لاستخدامها لم تنشأ بعد.[23] Imiquimod هو شكل من أشكال العلاج المناعي. المناعي يؤدي بك جهاز المناعة لمحاربة الفيروس الذي يسبب نمو الجلد. Imiquimod يطبق 3 مرات اسبوعيا، غادر على الجلد لمدة 6 إلى 10 ساعة، وغسلها. وهناك علاج قد تستمر من 4 إلى 16 أسابيع. وقد بينت الدراسات الصغيرة التي كان ناجحا على نحو 80 ٪ من الوقت. آخر نظام الجرعة : تطبيق imiquimod ثلاث مرات يوميا لمدة 5 أيام متتالية في كل أسبوع [24] ليس هذا وافقت عليها الهيئة لعلاج contagiosum المليساء.
العلاجات الجهازية
السيميتيدين (ومع ذلك، ضعف الدراسات وهمي أعمى يبدو لدحض هذا [25]، جريزوفلافين (حالة واحدة، هناك أدلة غير مؤكدة) و Methisazone شهدنا بعض استخدام.[26]
العلاج الجراحي
العلاجات الجراحية وتشمل انصحوا، الذي النيتروجين السائل يستخدم لتجميد وتدمير الآفة ثانية، فضلا عن إلغاء تشغيلها مع المكحت. تطبيق النيتروجين السائل قد يسبب حرق أو لاذع في موقع المعالجة، والتي قد تستمر لبضع دقائق بعد العلاج. تندب أو فقدان اللون يمكن أن يعقد كل من هذه العلاجات. مع النتروجين السائل، قد شكل بثور في موقع العلاج، لكنه سيبقى في تنصل من أسبوعين إلى أربعة أسابيع. على الرغم من أن استخدام محظور من قبل إدارة الاغذية والعقاقير في الولايات المتحدة في شكله الصافي، ويضعف، ويمكن للعامل موضعي عنيفا الأخيصرمن الحشرات تكون فعالة. [nb 1] وتجدر الإشارة إلى أن إلغاء المكحت وانصحوا ليست إجراءات مؤلمة. كما أنها قد تترك ندوبا و/ أو دائمة البيضاء (ناقصة الصباغ) علامات.
ليزر
نابض صبغة الليزر لعلاج contagiosum المليساء قد يكون الاختيار الأمثل لعلاج آفات متعددة في المريض التعاونية (جراحة الجلد، 1998). واستخدام ليزر نبضية صبغة لعلاج مولودية قد تم توثيقه مع نتائج ممتازة. وكان العلاج جيد التحمل، دون ندوب أو الشذوذ الصباغ. الآفات حلها بدون تندب في 2 أسابيع. تظهر الدراسات 96 ٪ -99 ٪ من الآفات حل واحد مع العلاج.[27][28] ونابض صبغة الليزر هو سريعة وفعالة، ولكن على حساب يجعلها أقل فعالية من حيث التكلفة من الخيارات الأخرى. أيضا، وليس جميع الأمراض الجلدية وهذه المكاتب 585 نانومتر الليزر. ومن المهم أن نتذكر أن إزالة المطبات مرئية لا علاج هذا المرض. الفيروس في الجلد وغالبا ما تظهر عقبات جديدة على مدار عام حتى على جثة يتصاعد استجابة فعالة بمناعة ضد الفيروس. لذا فإن أي علاج جراحي قد يتطلب ذلك أن يتكرر في كل مرة جديدة من المحاصيل تظهر الآفات.
شريط لاصق
تطبيق شريطا لاصقا على الآفات حتى تبدأ في القشرة الأرضية فوق وتضميد هو جيد التحمل، كانت فعالة، [29] ويمكن تنفيذها في المنزل من مواد متوفرة بسهولة. الشريط هو خفض لحجم الآفات وتطبيقها بعد الغسيل أو عند تطبيقها مسبقا يقع قبالة الشريط. هذا العلاج لالمليساء كان الدافع وراء النجاح في علاج الثآليل بالمثل. استنتاجات الدراسة التي كانت تسيطر عليها بشريط لاصق وانسداد العلاج بشكل ملحوظ أكثر فعالية من العلاج بالتبريد لعلاج الثؤلول المشتركة.[30]
الشفائية
معظم حالات المليساء سوف تصل واضحة بشكل طبيعي في غضون سنتين (عادة في غضون تسعة أشهر). طالما أن الجلد النمو موجودة، هناك احتمال لنقل العدوى إلى شخص آخر. عندما تكون معدلات النمو قد ولت، وإمكانية لنشر العدوى انتهت.[12]
خلافا القوباء الفيروسات والتي يمكن أن يظل خاملا في الجسم لمدة شهور أو سنوات قبل أن تعاود الظهور، contagiosum المليساء لا يبقى في الجسم عندما تكون معدلات النمو قد ولت من الجلد ولن تعود إلى الظهور من تلقاء نفسها.[12] ومع ذلك، لا يوجد حصانة دائمة لهذا الفيروس، وأنه من الممكن أن يصاب مرة أخرى عند التعرض لشخص مصاب.
وانظر أيضا
- ثؤلول معنق (وتسمى أيضا علامات الجلد—تشبه في مظهرها وتنمو في المناطق المماثلة)
ملاحظات
- على الرغم من أن الأخيصرمن الحشرات نقية والكولوديون مرنة يمكن شراؤها كبنود مستقلة ومختلطة من جانب الأطباء المعالجين. انظر http://www.cfpc.ca/cfp/2003/Jul/vol49-jul-cme-2.asp نسخة محفوظة 2009-07-02 على موقع واي باك مشين.
المراجع
- "Transmission | Molluscum Contagiosum". www.cdc.gov (باللغة الإنجليزية). 11 May 2015. مؤرشف من الأصل في 10 يونيو 2017. اطلع عليه بتاريخ 10 يونيو 2017. الوسيط
|CitationClass=تم تجاهله (مساعدة) - Griffith, RD; Yazdani Abyaneh, MA; Falto-Aizpurua, L; Nouri, K (November 2014). "Pulsed dye laser therapy for molluscum contagiosum: a systematic review". Journal of Drugs in Dermatology (Review). 13 (11): 1349–52. PMID 25607701. الوسيط
|CitationClass=تم تجاهله (مساعدة) - Schmitt, Jochen; Diepgen, Thomas L. (2008). "Molluscum contagiosum" (PDF). In Berthold Rzany; Williams, Hywel; Bigby, Michael E.; Diepgen, Thomas L.; Herxheimer, Andrew; Luigi Naldi (المحررون). Evidence-Based Dermatology (PDF)
|format=بحاجة لـ|url=(مساعدة). London: BMJ Books. ISBN 1-4051-4518-8. مؤرشف من الأصل (PDF) في 19 فبراير 2009. الوسيط|CitationClass=تم تجاهله (مساعدة) - "Frequently Asked Questions: For Everyone. CDC Molluscum Contagiosum". United States مراكز مكافحة الأمراض واتقائها. مؤرشف من الأصل في 3 يونيو 2015. اطلع عليه بتاريخ 29 يونيو 2008. الوسيط
|CitationClass=تم تجاهله (مساعدة) - "Pamphlets: Molluscum Contagiosum". American Academy of Dermatology. 2006. مؤرشف من الأصل في 29 ديسمبر 2010. اطلع عليه بتاريخ 30 نوفمبر 2008. الوسيط
|CitationClass=تم تجاهله (مساعدة) - Weller R, O'Callaghan CJ, MacSween RM, White MI (1999). "Scarring in Molluscum contagiosum: comparison of physical expression and phenol ablation". BMJ. 319 (7224): 1540. PMID 10591712. مؤرشف من الأصل في 07 ديسمبر 2008. الوسيط
|CitationClass=تم تجاهله (مساعدة)صيانة CS1: أسماء متعددة: قائمة المؤلفون (link) - derm/270 في موقع إي ميديسين
- مدلاين بلس 000826
- Tyring SK (2003). "Molluscum contagiosum: the importance of early diagnosis and treatment". Am. J. Obstet. Gynecol. 189 (3 Suppl): S12–6. doi:10.1067/S0002-9378(03)00793-2. PMID 14532898. الوسيط
|CitationClass=تم تجاهله (مساعدة) - Prodigy knowledgebase (2003). "Molluscum Contagiosum". هيئة الخدمات الصحية الوطنية (المملكة المتحدة). مؤرشف من الأصل في 27 مايو 2009. اطلع عليه بتاريخ 06 يوليو 2006. الوسيط
|CitationClass=تم تجاهله (مساعدة) -- دائرة الصحة الوطنية في المملكة المتحدة المبادئ التوجيهية بشأن المليساء أورام Contagiosum - van der Wouden JC, Menke J, Gajadin S; et al. (2006). "Interventions for cutaneous molluscum contagiosum". Cochrane Database Syst Rev (2): CD004767. doi:10.1002/14651858.CD004767.pub2. PMID 16625612. الوسيط
|CitationClass=تم تجاهله (مساعدة); Explicit use of et al. in:|مؤلف=(مساعدة)صيانة CS1: أسماء متعددة: قائمة المؤلفون (link) - "Frequently Asked Questions: For Everyone. CDC Molluscum Contagiosum". United States مراكز مكافحة الأمراض واتقائها. مؤرشف من الأصل في 3 يونيو 2015. اطلع عليه بتاريخ 08 ديسمبر 2008. الوسيط
|CitationClass=تم تجاهله (مساعدة) - "Molluscum Contagiosum - Treatment Overview". WebMD. يناير 12, 2007. مؤرشف من الأصل في 26 مايو 2011. اطلع عليه بتاريخ 21 أكتوبر 2007. الوسيط
|CitationClass=تم تجاهله (مساعدة) - Burke BE, Baillie JE, Olson RD (2004). "Essential oil of Australian lemon myrtle (Backhousia citriodora) in the treatment of molluscum contagiosum in children". Biomed. Pharmacother. 58 (4): 245–7. doi:10.1016/j.biopha.2003.11.006. PMID 15183850. الوسيط
|CitationClass=تم تجاهله (مساعدة)صيانة CS1: أسماء متعددة: قائمة المؤلفون (link) - Hayes AJ, Markovic B (2002). "Toxicity of Australian essential oil Backhousia citriodora (Lemon myrtle). Part 1. Antimicrobial activity and in vitro cytotoxicity". Food Chem. Toxicol. 40 (4): 535–43. doi:10.1016/S0278-6915(01)00103-X. PMID 11893412. الوسيط
|CitationClass=تم تجاهله (مساعدة) - Hayes AJ, Markovic B (2003). "Toxicity of Australian essential oil Backhousia citriodora (lemon myrtle). Part 2. Absorption and histopathology following application to human skin". Food Chem. Toxicol. 41 (10): 1409–16. doi:10.1016/S0278-6915(03)00159-5. PMID 12909275. الوسيط
|CitationClass=تم تجاهله (مساعدة) - http://cks.library.nhs.uk/molluscum_contagiosum/evidence/supporting_evidence/treatments_used_in_secondary_care_for_molluscum_contagiosum
- ساريازدي، S. (2004) والفاعلية النسبية للالبنزويل بيروكسايد 10 ٪ كريم وترتينوين 0.05 ٪ كريم في معاملة contagiosum المليساء. مجردة 10th المؤتمر العالمي للأمراض الأطفال الجلدية. أمراض الأطفال الجلدية 21 (3)، 399.
- aidsmap.com | المليساء أورام contagiosum [وصلة مكسورة] نسخة محفوظة 26 فبراير 2009 على موقع واي باك مشين.
- المليساء أورام contagiosum يوشن شميت وتوماس ل. Diepgen [وصلة مكسورة] نسخة محفوظة 03 أكتوبر 2012 على موقع واي باك مشين.
- Papa C, Berger R (1976). "Venereal herpes-like molluscum contagiosum: treatment with tretinoin". Cutis. 18 (4): 537–40. PMID 1037097. الوسيط
|CitationClass=تم تجاهله (مساعدة) - "Molluscum Contagiosum". Adolesc Med. 7 (1): 57–62. 1996. PMID 10359957. الوسيط
|CitationClass=تم تجاهله (مساعدة) - Hanna D, Hatami A, Powell J; et al. (2006). "A prospective randomized trial comparing the efficacy and adverse effects of four recognized treatments of molluscum contagiosum in children". Pediatric dermatology. 23 (6): 574–9. doi:10.1111/j.1525-1470.2006.00313.x. PMID 17156002. الوسيط
|CitationClass=تم تجاهله (مساعدة); Explicit use of et al. in:|مؤلف=(مساعدة)صيانة CS1: أسماء متعددة: قائمة المؤلفون (link) - Syed TA, Goswami J, Ahmadpour OA; et al. (1998). "Treatment of molluscum contagiosum in males with an analog of imiquimod 1% in cream". J Dermatol (25): 309–313. الوسيط
|CitationClass=تم تجاهله (مساعدة); Explicit use of et al. in:|مؤلف=(مساعدة)صيانة CS1: أسماء متعددة: قائمة المؤلفون (link) - "Cimetidine: A review of the recent developments and reports in cutaneous medicine". Dermatology Online Journal. 2003. مؤرشف من الأصل في 2 أكتوبر 2012. اطلع عليه بتاريخ 30 نوفمبر 2008. الوسيط
|CitationClass=تم تجاهله (مساعدة) - "Molluscum Contagiosum". eMedicine from WebMD. 2007-05-31. مؤرشف من الأصل في 8 ديسمبر 2008. اطلع عليه بتاريخ 30 نوفمبر 2008. الوسيط
|CitationClass=تم تجاهله (مساعدة) - Hammes S, Greve B, Raulin C (2001). "Molluscum contagiosum: Treatment with pulsed dye laser". Der Hautarzt; Zeitschrift für Dermatologie, Venerologie, und verwandte Gebiete (باللغة الألمانية). 52 (1): 38–42. PMID 11220237. الوسيط
|CitationClass=تم تجاهله (مساعدة)صيانة CS1: أسماء متعددة: قائمة المؤلفون (link) - Hughes P (1998). "Treatment of molluscum contagiosum with the 585-nm pulsed dye laser". Dermatol Surg. 24 (2): 229–30. doi:10.1016/S1076-0512(97)00178-7. PMID 9491117. الوسيط
|CitationClass=تم تجاهله (مساعدة) - Lindau MS, Munar (2004). "Use of duct tape for treatment of recurrent molluscum contagiosum". Pediatric Dermatology (باللغة الإنجليزية). 21 (5): 609. doi:10.1111/j.0736-8046.2004.21519.x. الوسيط
|CitationClass=تم تجاهله (مساعدة) - Focht DR, Spicer C, Fairchok MP (2002). "The Efficacy of Duct Tape vs Cryotherapy in the Treatment of Verruca Vulgaris (the Common Wart)". Archives of Pediatrics and Adolescent Medicine (باللغة الإنجليزية). 156 (10): 971. الوسيط
|CitationClass=تم تجاهله (مساعدة)صيانة CS1: أسماء متعددة: قائمة المؤلفون (link)
الروابط الخارجية
- المليساء مركز السيطرة على الأمراض
- بوابة طب

