ناقضة العظم
الخلية ناقضة العظم أو هادمة العظم (بالإنجليزية: Osteoclast) هي إحدى الخلايا الموجودة في العظم، ووظيفتها هضم العظم الزائد وغير المفيد.[1][2][3] كما ويوجد في العظم خلايا بنائة وخلايا برعمية. وهي تعتبر خلية أكولة كبيرة.
| هادمة العظم | |
|---|---|
| الاسم اللاتيني osteoclastus | |
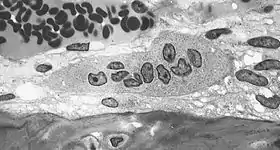
![]() صورة بالمجهر الضوئي تظهر خلية هادمة للعظم ويظهر العظم إلى الأسفل منها وتظهر الصورة الخصائص النموذجية المميزة: خلية كبيرة ذات نوى متعددة وسيتوسول "رغوي". | |
| تفاصيل | |
| نوع من | بلعم |
| ترمينولوجيا هستولوجيكا | H2.00.03.7.00005 |
| FMA | 66781 |
| ن.ف.م.ط. | A11.329.372.700، وA11.627.482.700 |
| ن.ف.م.ط. | D010010 |
روابط خارجية
- MedicineNet
- Osteoclasts في المَكتبة الوَطنية الأمريكية للطب نظام فهرسة المواضيع الطبية (MeSH).
مراجع
- "معلومات عن ناقضة العظم على موقع treccani.it". treccani.it. مؤرشف من الأصل في 28 أغسطس 2013. الوسيط
|CitationClass=تم تجاهله (مساعدة) - "معلومات عن ناقضة العظم على موقع thes.bncf.firenze.sbn.it". thes.bncf.firenze.sbn.it. مؤرشف من الأصل في 29 سبتمبر 2019. الوسيط
|CitationClass=تم تجاهله (مساعدة) - "معلومات عن ناقضة العظم على موقع meshb.nlm.nih.gov". meshb.nlm.nih.gov. مؤرشف من الأصل في 18 سبتمبر 2019. الوسيط
|CitationClass=تم تجاهله (مساعدة)
- بوابة علم الأحياء الخلوي والجزيئي
- بوابة طب
في كومنز صور وملفات عن: ناقضة العظم
This article is issued from Wikipedia. The text is licensed under Creative Commons - Attribution - Sharealike. Additional terms may apply for the media files.
