نخر دهني
النخر الدهني هو أحد أشكال النخر يتميز بالتأثير على الدهون بواسطة الإنزيمات الهضمية.[1]
| Fat necrosis | |
|---|---|
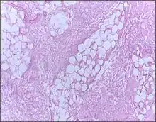
![]() Micrograph of fat necrosis. H&E stain. Micrograph of fat necrosis. H&E stain. | |
| معلومات عامة | |
| من أنواع | نخر |

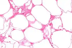
صورة مجهرية لنسيج ثدي مصاب بالنخر الدهني بصبغة الهيماتوكسيلين والأيوزين
في النخر الدهني يطلق الإنزيم ليباز أحماضًا دهنية من ثلاثيات الغليسريد. تتحد بعد ذلك الأحماض الدهنية مع الكالسيوم لتشكل صوابين. وتظهر هذه الصوابين كترسيبات طباشيرية بيضاء.[2]
وعادة ما يرتبط النخر الدهني بـصدمة البنكرياس أو التهاب البنكرياس الحاد.[2][3]
ويمكن أن يحدث في الثدي أيضًا،[4] والغدد اللعابية والأطفال حديثي الولادة بعد الولادة المؤلمة.
انظر أيضًا
- النخر
- النخر التجلطي
- النخر المميع
- النخر الجُبني
- Myospherulosis
المراجع
- "Cell Injury". مؤرشف من الأصل في 6 نوفمبر 2018. الوسيط
|CitationClass=تم تجاهله (مساعدة) - Kumar, Vinay; Abbas, Abul K.; Fausto, Nelson; & Mitchell, Richard N. (2007). Robbins Basic Pathology (8th ed.). Saunders Elsevier. pp. 10-11 ISBN 978-1-4160-2973-1
- "fat necrosis" في معجم دورلاند الطبي
- Lövey K, Fodor J, Major T; et al. (2007). "Fat necrosis after partial-breast irradiation with brachytherapy or electron irradiation versus standard whole-breast radiotherapy--4-year results of a randomized trial". Int. J. Radiat. Oncol. Biol. Phys. 69 (3): 724–31. doi:10.1016/j.ijrobp.2007.03.055. PMID 17524571. مؤرشف من الأصل في 11 ديسمبر 2018. الوسيط
|CitationClass=تم تجاهله (مساعدة); Explicit use of et al. in:|مؤلف=(مساعدة)صيانة CS1: أسماء متعددة: قائمة المؤلفون (link)
- بوابة طب
نخر دهني في المشاريع الشقيقة
صور وملفات صوتية من كومنز
This article is issued from Wikipedia. The text is licensed under Creative Commons - Attribution - Sharealike. Additional terms may apply for the media files.
