نفق مغذي للعظم
النفق المغذي للعظم (بالإنجليزية: Nutrient canal). جميع العظام لها ثقوب كبيرة أو صغيرة (فتحات) (بالإنجليزية: foramina) لدخول الأوعية الدموية المُغذية ، وتلك الفتحات تعرف باسم الثقبة المغذية (للعظم) (بالإنجليزية: nutrient foramina). تكون تلك الثقوب كبيرة لا سيما في أجسام العظام الطويلة الكبيرة ، و تؤدي تلك الثقوب إلى النفق المغذي للعظم أو القناة الغذائية (بالإنجليزية: Nutrient canal)، والتي تمتد في تجويف النخاع [1] أو جوف النقي (بالإنجليزية: medullary cavity).تمر الأوردة جنبا إلى جنب مع عروق الشرايين المغذية عبر هذه القناة.
| نفق مغذي للعظم | |
|---|---|
![]() إمداد الدم إلى العظام الطويلة. و يظهر في الرسم الشرايين المغذية ، و الأوردة والثقبة المغذية. | |
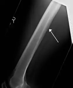
![]() صورة الأشعة السينية تبين النفق المغذي للعظم في عظم الفخذ مُشار إليه بالسهم الأبيض. صورة الأشعة السينية تبين النفق المغذي للعظم في عظم الفخذ مُشار إليه بالسهم الأبيض. | |
| تفاصيل | |
| ترمينولوجيا أناتوميكا | 02.0.00.042 |
| FMA | 75378 |
يوجد النفق المغذي للعظم (أو القناة الغذائية) في كل من العظام الطويلة و العظام غير المنتظمة. في العظام الطويلة توجد في جسم العظم، أما في العظام غير المنتظمة فتوجد في أماكن أخرى.
المراجع
This article is issued from Wikipedia. The text is licensed under Creative Commons - Attribution - Sharealike. Additional terms may apply for the media files.

