نقص الأكسجين داخل الرحم
نقص الأكسجين داخل الرحم (بالانجليزية:Intrauterine hypoxia) يحدث نقص الأكسجة داخل الرحم عندما يتم حرمان الجنين من الإمدادات الكافية من الأكسجين. قد يكون ذلك راجعًا إلى أسباب متنوعة مثل هبوط أو انسداد الحبل السري، احتشاء المشيمة، انفصال المشيمة المبكر، وتدخين الأمهات الحوامل. قد يحدث تأخُّر النمو داخل الرحم نتيجة لنقص الأكسجين. حيث أن نقص الأكسجين في الرحم يمكن أن يسبب تلف خلايا الجهاز العصبي المركزي (الدماغ والحبل الشوكي). وهذا يؤدي إلى زيادة معدل الوفيات، بما في ذلك زيادة مخاطر متلازمة موت الرضع المفاجئ (SIDS). قد يؤدي نقص الأكسجين في الجنين وحديثي الولادة، إما بشكل أساسي أو كعامل خطر مساهم، إلى العديد من الاضطرابات العصبية والنفسية العصبية مثل الصرع، اضطراب نقص الانتباه وفرط الحركة، اضطرابات الأكل والشلل الدماغي.[1][2][3][4][5][6]
| نقص الأكسجين داخل الرحم | |
|---|---|
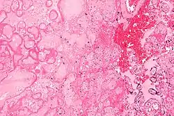
![]() صورة مجهرية لاحتشاء المشيمة، وهو السبب هنا لنقص الأكسجين في الرحم. صبغة الهيماتوكسيلين والإيوسين صورة مجهرية لاحتشاء المشيمة، وهو السبب هنا لنقص الأكسجين في الرحم. صبغة الهيماتوكسيلين والإيوسين | |
| معلومات عامة | |
| الاختصاص | طب الأطفال |
| من أنواع | مضاعفات الحمل |
الأسباب
هناك أسباب مختلفة لنقص الأكسجين داخل الرحم، السبب الأكثر قابلية للوقاية هو تدخين الأمهات الحوامل. فقد تبين أن تدخين السجائر من قِبل الأمهات الحوامل يسبب الكثير من الآثار الضارة على الجنين. من بينها: أول أكسيد الكربون الناجم عن نقص أكسجة الأنسجة وقصور المشيمة الذي يؤدي إلى انخفاض تدفق الدم من الرحم إلى المشيمة مما يقلل من توافر الدم المؤكسج إلى الجنين. وقد تبين أن قصور المشيمة نتيجة للتدخين يكون سببًا لتسمم الحمل.[7] في حين أن بعض الدراسات السابقة اقترحت أن أول أكسيد الكربون الناتج من دخان السجائر يمكن أن يكون له تأثير وقائي ضد تسمم الحمل، وجدت دراسة حديثة أُجريت بواسطة اتحاد تسمم الحمل (GOPEC) في المملكة المتحدة أن المدخنين أكثر عرضة بخمس مرات للإصابة بتسمم الحمل. فقد تبين أن النيكوتين وحده مُشوّه للجهاز العصبي اللاإرادي، مما يؤدي إلى زيادة التعرض لتلف الدماغ عند نقص الأكسجين.[7][8][9][10][11][12] يؤدي التدخين أيضًا إلى فقر الدم لدى الأمهات الحوامل حيث يؤدي التدخين إلى انخفاض خلايا الدم الحمراء ذات الأنوية (NRBC)، وبالتالي تقل كمية خلايا الدم الحمراء المُتاحة لنقل الأكسجين.[13][14][15]
إصابات الدماغ خلال فترة ما حول الولادة التي تحدث نتيجة الاختناق أثناء الولادة، وتظهر خلال 48 ساعة، هي شكل من أشكال الاعتلال الدماغي نتيجة نقص التروية ونقص الأكسجين.
العلاج
من المعرروف أن علاج الأطفال الذين يعانون الاختناق عند الولادة عن طريق خفض درجة حرارة الجسم الأساسية علاجٌ فعال للحد من الوفيات وتحسين النتائج العصبية في الناجين، ويجب أن يبدأ العلاج بالتبريد لاعتلال الدماغ عند حديثي الولادة في غضون 6 ساعات من الولادة حيث تزيد بشكل كبير فرص البقاء على قيد الحياة بشكل طبيعي في الرضع المتضررين.
هناك نقاش منذ فترة طويلة حول ما إذا كان الأطفال حديثي الولادة المصابين باختناق يجب أن يتم إنعاشهم بأكسجين 100٪ أو بالهواء الطبيعي.[16] فقد ثبت أن التركيزات العالية من الأكسجين تؤدي إلى تكوين جزيئات الأكسجين الحرة، والتي لها دور في الإصابة بضرر إعادة الإرواء بعد الاختناق.[17] قام Ola Didrik Saugstad وغيره بأبحاث أدت إلى وضع مبادئ توجيهية دولية جديدة بشأن إنعاش حديثي الولادة في عام 2010، حيث أوصى باستخدام الهواء العادي بدلًا من 100٪ من الأكسجين.[18][19]
علم الأوبئة
في الولايات المتحدة، تم إدراج نقص الأكسجين داخل الرحم والاختناق الوليدي معًا باعتبارهم السبب الرئيسي العاشر للوفاة في الأطفال حديثي الولادة.[20]
التكاليف المالية
يُعد نقص الأكسجين داخل الرحم أحد أسباب العيوب الخلقية في القلب والدورة الدموية وهي سادس أغلى حالة في العلاج، وكذلك الولادة المبكرة وانخفاض وزن المواليد وهي ثاني أغلى حالة وواحدة من العوامل التي تُسهم في متلازمة الضائقة التنفسية في الرضّع (RDS) المعروفة أيضًا باسم مرض الغشاء الزجاجي، وهي الحالة الصحية الأغلى في العلاج والسبب الأول لوفيات الأطفال.[21][22][23]
| من الحالات الطبية الأكثر تكلفة في العلاج في مستشفيات الولايات المتحدة. 4 من أصل 10 مرتبطين بنقص الأكسجة داخل الرحم/ اختناق الولادة | التكلفة | رسوم المستشفى |
| 1. متلازمة الضائقة التنفسية في الرضع | $45,542 | $138,224 |
| 2. الولادة المبكرة وانخفاض وزن المواليد | $44,490 | $119,389 |
| 6. العيوب الخلقية في القلب والدورة الدموية | $35,960 | $101,412 |
| 9. نقص الأكسجة داخل الرحم أو اختناق الولادة | $27,962 | $74,942 |
طب شرعي
في الولايات المتحدة، شكلت القضايا المتعلقة بالتوليد عام 2006، 8.7 في المئة من جميع تقارير سوء الممارسة الطبية وأيضًا كان لها أعلى متوسط غرامات (333،334 $).[24]
المراجع
- Maslova, MV; Maklakova, AS; Sokolova, NA; Ashmarin, IP; Goncharenko, EN; Krushinskaya, YV (2003). "The effects of ante- and postnatal hypoxia on the central nervous system and their correction with peptide hormones". Neuroscience and Behavioral Physiology. 33 (6): 607–11. doi:10.1023/A:1023938905744. PMID 14552554. الوسيط
|CitationClass=تم تجاهله (مساعدة) - Habek, D; Habek, JC; Jugović, D; Salihagić, A (2002). "Intrauterine hypoxia and sudden infant death syndrome". Acta medica Croatica : casopis Hravatske akademije medicinskih znanosti. 56 (3): 109–18. PMID 12630342. الوسيط
|CitationClass=تم تجاهله (مساعدة) - Bulterys, MG; Greenland, S; Kraus, JF (1990). "Chronic fetal hypoxia and sudden infant death syndrome: interaction between maternal smoking and low hematocrit during pregnancy". Pediatrics. 86 (4): 535–40. PMID 2216618. الوسيط
|CitationClass=تم تجاهله (مساعدة) - Peleg, D; Kennedy, CM; Hunter, SK (1998). "Intrauterine growth restriction: identification and management". American family physician. 58 (2): 453–60, 466–7. PMID 9713399. الوسيط
|CitationClass=تم تجاهله (مساعدة) - Rosenberg, A (2008). "The IUGR newborn". Seminars in perinatology. 32 (3): 219–24. doi:10.1053/j.semperi.2007.11.003. PMID 18482625. الوسيط
|CitationClass=تم تجاهله (مساعدة) - Gonzalez, FF; Miller, SP (2006). "Does perinatal asphyxia impair cognitive function without cerebral palsy?". Archives of Disease in Childhood: Fetal and Neonatal Edition. 91 (6): F454–9. doi:10.1136/adc.2005.092445. PMC 2672766. PMID 17056843. الوسيط
|CitationClass=تم تجاهله (مساعدة) - Pipkin, FB (Apr 2008). "Smoking in moderate/severe preeclampsia worsens pregnancy outcome, but smoking cessation limits the damage". Hypertension. 51 (4): 1042–6. doi:10.1161/HYPERTENSIONAHA.107.106559. PMID 18259022. الوسيط
|CitationClass=تم تجاهله (مساعدة) - Slotkin, TA (1998). "Fetal nicotine or cocaine exposure: which one is worse?". The Journal of Pharmacology and Experimental Therapeutics. 285 (3): 931–45. PMID 9618392. الوسيط
|CitationClass=تم تجاهله (مساعدة) - Bouhours-Nouet, N; May-Panloup, P; Coutant, R; De Casson, FB; Descamps, P; Douay, O; Reynier, P; Ritz, P; Malthièry, Y; Simard, G (2005). "Maternal smoking is associated with mitochondrial DNA depletion and respiratory chain complex III deficiency in placenta". American Journal of Physiology. Endocrinology and Metabolism. 288 (1): E171–7. doi:10.1152/ajpendo.00260.2003. PMID 15585597. الوسيط
|CitationClass=تم تجاهله (مساعدة) - Gogiia, TE (2005). "Risk of iugr syndrome development during preeclampsia of the pregnant". Georgian medical news (128): 15–7. PMID 16369054. الوسيط
|CitationClass=تم تجاهله (مساعدة) - Salafia, CM; Minior, VK; Pezzullo, JC; Popek, EJ; Rosenkrantz, TS; Vintzileos, AM (1995). "Intrauterine growth restriction in infants of less than thirty-two weeks' gestation: associated placental pathologic features". American Journal of Obstetrics and Gynecology. 173 (4): 1049–57. doi:10.1016/0002-9378(95)91325-4. PMID 7485292. الوسيط
|CitationClass=تم تجاهله (مساعدة) - Kingdom, JC; Kaufmann, P (1997). "Oxygen and placental villous development: origins of fetal hypoxia". Placenta. 18 (8): 613–21, discussion 623–6. doi:10.1016/S0143-4004(97)90000-X. PMID 9364596. الوسيط
|CitationClass=تم تجاهله (مساعدة) - Chełchowska, M; Laskowska-Klita, T (2002). "Effect of maternal smoking on some markers of iron status in umbilical cord blood". Roczniki Akademii Medycznej w Bialymstoku (1995). 47: 235–40. PMID 12533965. الوسيط
|CitationClass=تم تجاهله (مساعدة) - Habek, D; Habek, JC; Ivanisević, M; Djelmis, J (2002). "Fetal tobacco syndrome and perinatal outcome". Fetal diagnosis and therapy. 17 (6): 367–71. doi:10.1159/000065387. PMID 12393968. الوسيط
|CitationClass=تم تجاهله (مساعدة) - Pathology of the human placenta By Kurt Benirschke, Peter Kaufmann. page 453. Publisher: Springer; 4th edition (March 23, 2000) Language: English ISBN 0-387-98894-7 ISBN 978-0-387-98894-8
- Davis, PG; Tan, A; O'Donnell, CPF; Schulze, A (2004). "Resuscitation of newborn infants with 100% oxygen or air: a systematic review and meta-analysis". ذا لانسيت. 364: 1329–1333. doi:10.1016/S0140-6736(04)17189-4. PMID 15474135. الوسيط
|CitationClass=تم تجاهله (مساعدة) - Kutzsche, S; Ilves, P; Kirkeby, OJ; Saugstad, OD (2001). "Hydrogen peroxide production in leukocytes during cerebral hypoxia and reoxygenation with 100% or 21% oxygen in newborn piglets". Pediatric Research. 49: 834–842. doi:10.1203/00006450-200106000-00020. PMID 11385146. الوسيط
|CitationClass=تم تجاهله (مساعدة) - ILCOR Neonatal Resuscitation Guidelines 2010
- Norwegian paediatrician honoured by University of Athens, Norway.gr نسخة محفوظة 29 أبريل 2016 على موقع واي باك مشين.
- National Center for Health Statistics نسخة محفوظة 23 ديسمبر 2017 على موقع واي باك مشين.
- Rueda-Clausen, CF; Morton, JS; Davidge, ST (2009). "Effects of hypoxia-induced intrauterine growth restriction on cardiopulmonary structure and function during adulthood". Cardiovascular research. 81 (4): 713–22. doi:10.1093/cvr/cvn341. PMID 19088083. الوسيط
|CitationClass=تم تجاهله (مساعدة) - Sly, PD; Drew, JH (1981). "Massive pulmonary haemorrhage: a cause of sudden unexpected deaths in severely growth retarded infants". Australian paediatric journal. 17 (1): 32–4. doi:10.1111/j.1440-1754.1981.tb00010.x. PMID 7247876. الوسيط
|CitationClass=تم تجاهله (مساعدة) - Hyaline Membrane Disease eMedicine نسخة محفوظة 03 أغسطس 2017 على موقع واي باك مشين.
- National Practitioner Data Bank 2006 Annual Report نسخة محفوظة 3 مارس 2016 على موقع واي باك مشين. [وصلة مكسورة]
وصلات خارجية
- Hypoxic-Ischemic Brain Injury in the Newborn
- Hypoxic-Ischemic Encephalopathy
- Smoking and Pre-eclampsia
- Clear Criteria for Defining Birth Asphyxia
- بوابة طب

