نقص التروية الدماغية
نقص التروية الدماغية أو السكتة الدماغية البسيطة تحدث نتيجةً لانقطاع مؤقت في وصول الدم إلى جزء من الدماغ. يؤدي الاضطراب في إمدادات الدم إلى نقص الأوكسجين الواصل إلى الدماغ. يمكن لهذا أن يسبب أعراض مماثلة لتلك الناجمة عن السكتة الدماغية، مثل اضطراب الكلام، البصر، خدر أو ضعف في الذراعين والساقين. ومع ذلك، لا تدوم نوبة نقص التروية العابرة كما تدوم السكتة الدماغية. تستمر الآثار لبضع دقائق فقط وعادة ما تزول بالكامل في غضون 24 ساعة.[1]
| نقص التروية الدماغية | |
|---|---|
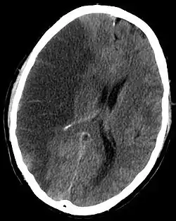
![]() صورة أشعة تظهر احتشاء الدماغ في النصف الأيسر صورة أشعة تظهر احتشاء الدماغ في النصف الأيسر | |
| معلومات عامة | |
| الاختصاص | طب الجهاز العصبي، طب القلب |
| من أنواع | نقص التروية ، والأمراض الدماغية الوعائية |
| الإدارة | |
| أدوية | |
الأعراض
تعكس أعراض نقص تروية الدماغ المنطقة التشريحية المحرومة من الدم وبالتالي من الأكسجين. ينجم عن نقص التروية التي تقدمها فروع الشريان السباتي الباطن أعراض كالعمى في عين واحدة أو الضعف في ذراع واحدة أو ساق واحدة أو في جانب كامل من الجسم، بينما ينجم عن نقص التروية التي تقدمها فروع الشرايين الفقرية في الجزء الخلفي من المخ أعراض كالدوخة والدوار والرؤية المزدوجة (الشفع) أو الضعف في جانبي الجسم الاثنين. تشمل الأعراض الأخرى صعوبة في النطق أو الكلام المتداخل وفقدان التنسيق.[2] تتراوح أعراض نقص تروية الدماغ من خفيفة إلى شديدة، وقد تستمر الأعراض من بضع ثوانٍ إلى بضع دقائق أو لفترات زمنية طويلة. وتكون الأعراض دائمة إذا حدث احتشاء وأصيب الدماغ بأضرار لا رجعة فيها.[3]
على غرار نقص الأكسجة الدماغي، يؤدي نقص تروية الدماغ الوخيم أو المطول إلى فقدان الوعي أو تلف المخ أو الوفاة بسبب حدوث الشلال الإقفاري.[4]
قد تؤدي الأحداث الإقفارية الدماغية المتعددة إلى اكتئاب تحت القشرة الإقفاري الذي يُعرف أيضًا باسم الاكتئاب الوعائي. تُلاحظ هذه الحالة بشكل أكبر لدى المسنين الذين يعانون من الاكتئاب. يُعتبر الاكتئاب متأخر البدء نوع فرعي مميز من الاكتئاب، ويمكن اكتشافه باستخدام التصوير بالرنين المغناطيسي.[5]
الأسباب
يرتبط نقص تروية الدماغ بمجموعة متنوعة من الأمراض أو العيوب. يملك بعض الأفراد الذين يعانون من الأمراض تالية الذكر استعداد أكبر لنقص تروية الدماغ مقارنةً بنظرائهم السليمين صحيًا، وتشمل تلك الأمراض ما يلي: فقر الدم المنجلي وانضغاط الأوعية الدموية وتسرع القلب البطيني وتراكم اللويحات العصيدية في الشرايين والتخثر الدموي وانخفاض ضغط الدم التالي للنوبات القلبية وعيوب القلب الخلقية.
قد يسبب فقر الدم المنجلي نقص تروية دماغية مرتبط بعدم انتظام شكل الخلايا الدموية. تتجمع خلايا الدم المنجلية بسهولة أكبر من خلايا الدم الطبيعية مما يعيق تدفق الدم إلى الدماغ.
قد يؤدي انضغاط الأوعية الدموية أيضًا إلى نقص تروية دماغية عن طريق انسداد الشرايين التي تنقل الأكسجين إلى المخ. وتعتبر الأورام أحد أسباب انضغاط الأوعية الدموية.
تسرع القلب البطيني هو عبارة عن ضربات قلبية غير نظامية قد تسبب تعطل نظم القلب تمامًا مما يؤدي إلى توقف تدفق الأكسجين. وقد تؤدي ضربات القلب غير النظامية هذه إلى تكوين جلطات دموية تمنع وصول الأكسجين إلى جميع الأعضاء بما في ذلك الدماغ.
بسبب تراكم اللويحات العصيدية في الشرايين انسدادها مما يؤدي إلى نقص تروية الدماغ. يؤدي تراكم كمية صغيرة من اللويحات العصيدية إلى تضييق الممرات الشريانية، وهو ما يؤهب إلى تشكل الجلطات الدموية. قد تسبب الجلطات الدموية الكبيرة نقص تروية دماغية عن طريق منعها تدفق الدم.
قد تسبب النوبات القلبية أيضًا نقصًا في تروية الدماغ بسبب الارتباط الموجود بين النوبة القلبية وانخفاض ضغط الدم. يسبب انخفاض ضغط الدم الشديد نقص وصول الأوكسجين للأنسجة. قد تبطئ النوبات القلبية غير المعالجة تدفق الدم بحيث يبدأ الدم في التجلط ويمنع تدفق الدم إلى الدماغ والأعضاء الرئيسية الأخرى. قد ينجم انخفاض ضغط الدم الشديد عن جرعات دوائية زائدة أو عن تفاعلات دوائية معينة. لذلك، قد ينتج نقص تروية الدماغ عن أحداث أخرى غير النوبات القلبية.
قد تسبب عيوب القلب الخلقية أيضًا نقصًا في تروية الدماغ بسبب اضطراب بنى الشرايين واتصالاتها. إضافةً إلى ذلك، يكون الأشخاص الذين يعانون من عيوب القلب الخلقية أكثر أهبةً لتشكل الجلطات الدموية.
ترتبط حالات مرضية أخرى بنقص تروية الدماغ، ويشمل ذلك توقف القلب والتنفس والسكتة الدماغية والتلف الدماغي الشديد غير العكوس.
أُضيف داء مويامويا في الآونة الأخيرة إلى قائمة أسباب نقص التروية الدماغية. يُعد داء مويامويا حالة نادرة للغاية تكون فيها بعض الأوعية الدموية الدماغية متضيقة بطريقة تمنع وصول الأوكسجين الكافي إلى أنسجة الدماغ.[6]
انظر أيضًا
المراجع
- السكتة الدماغية البسيطة نسخة محفوظة 14 يونيو 2017 على موقع واي باك مشين.
- Beers, Mark; Andrew Fletcher; Thomas Jones; Robert Porter (2003). The Merck Manual of Medical Information. New York, New York: Merck & Co. Inc. صفحات 458–461. ISBN 84-494-3359-2. الوسيط
|CitationClass=تم تجاهله (مساعدة) - Caplan, Louis; Scott Kasner; John Dashe. "Differential diagnosis of brain ischemia". Up to Date For Patients. UpToDate. مؤرشف من الأصل في 17 فبراير 2009. اطلع عليه بتاريخ 11 نوفمبر 2008. الوسيط
|CitationClass=تم تجاهله (مساعدة) - Lipton, Peter (1999). "Ischemic cell death in brain neurons". Physiological Reviews. 79 (4): 1431–568. doi:10.1152/physrev.1999.79.4.1431. PMID 10508238. الوسيط
|CitationClass=تم تجاهله (مساعدة) - Baldwin, Robert C. (2005). "Is vascular depression a distinct sub-type of depressive disorder? A review of causal evidence". International Journal of Geriatric Psychiatry. 20 (1): 1–11. doi:10.1002/gps.1255. PMID 15578670. الوسيط
|CitationClass=تم تجاهله (مساعدة) - Sparks, Gareth (2002). "What is Moyamoya disease?". eSSORTMENT. مؤرشف من الأصل في 27 مارس 2009. اطلع عليه بتاريخ 13 أبريل 2009. الوسيط
|CitationClass=تم تجاهله (مساعدة)
- بوابة طب
صور وملفات صوتية من كومنز
