نمو الأسنان
نمو الأسنان أو تكوين الأسنان هي عملية معقدة وبها تتشكل الأسنان من خلايا جنينية ليكتمل نموها وتظهر في الفم.

إن أغلب الأحياء بغزارة أنواعها تمتلك الأسنان وتختلف بنية سن كل فئة، كذلك بالنسبة للإنسان تختلف بنية تركيبة سلسلة أسنانه ومدة نموها، كما تتنوع مكونات المادة المكونة للأسنان نذكر منها: "المينا والعاج وملاط الأسنان والأربطة الرابطة بين الأسنان"، ويجب أن ينمو كل ذلك أثناء مراحل مناسبة من تطور الجنين. ففي البداية تبدأ الأسنان اللبنية للطفل في النشوء بين الأسبوع السادس والثامن، ثم بعد ذلك تبدأ الأسنان الدائمة في النشوء في الأسبوع العشرين، إذا لم تبدأ الأسنان في التكوين في هذه الأوقات أو بالقرب منها، فإنها لن تنمو على الإطلاق.
وقد تركزت الكثير من الأبحاث على تحديد العمليات التي تبدأ بها نمو الأسنان. ومن المعروف على نطاق واسع أن هناك عاملاً داخل أنسجة أول قوس خيشومي ضرورية لنمو الأسنان.[1]
أما في الفقاريات فتوجد تخصصات عدة من الأنسجة الطلائية (phanères) تتولد بعد سماكة بنية محددة: بنية كيراتينية مثل الشعر والأظافر، أو بنية الهياكل الخارجية (القشرة الخارجية والأسنان)، في حين أن الأسنان والقشور الدرعية لأسماك القرش تعتبر أعضاءً متشابهة تركيبياً.
نظرة عامة

البرعم السني (الذي يسمى أحياناً البذرة) هو تجمع من الخلايا التي تشكل في نهاية الأمر السن.[2] وتشتق هذه الخلايا من طبقة الأديم الظاهر من أول قوس خيشومي والنسيج الميزانشيمي الخارجي للقمة العصبية. يتكوّن البرعم السني من ثلاثة أجزاء: عضو المينا والحليمة السنية والجراب السني.
يتكون عضو المينا من طبقة "خلايا عضو المينا الخارجية، طبقة خلايا عضو المينا الداخلية، الشبكة النجمية وطبقة وسطية (خلايا انتقالية)". هذه الخلايا تنشأ الخلايا المولدة للمينا، التي تنتج المينا ومصغر مينا الطبقة الطلائية. مكان التقاء طبقة خلايا عضو المينا الخارجية مع طبقة خلايا عضو المينا الداخلية يدعى العروة العنقية. نمو خلايا العروة العنقية في داخل الأنسجة الأعمق تشكل غشاء هيرتويج للطبقة الطلائية للجذر، الذي يحدد شكل جذر السن.
تحتوى الحليمة السنية على الخلايا التي تتحول إلى الخلايا المولدة للعاج، وهي الخلايا التي تنتج العاج. بالإضافة إلى ذلك الالتقاء بين الحليمة السنية وطبقة خلايا المينا الداخلية يحدد شكل تاج السن. خلايا النسيج المزانشيمي داخل الحليمة السنية هي المسؤولة عن تكوين لب السن.
الجراب السني يؤدي إلى إنشاء ثلاثة كيانات مهمة: (خلايا بناء ملاط الجذر وخلايا بناء العظم وخلايا بناء الألياف). خلايا بناء الملاط تكون ملاط جذور الأسنان، خلايا بناء العظم تؤدي إلى تكوين العظم السنخي حول جذور الأسنان، خلايا بناء الألياف تنشئ أربطة حول الأسنان التي تربط الأسنان مع العظم السنخي من خلال ملاط الجذور.
الجدول الزمني لنمو أسنان الإنسان
الجداول التالية تعرض الجداول الزمنية لنمو أسنان الإنسان. الأوقات لبدء تكلس الأسنان اللبنية الأولية تكون لمدة أسابيع داخل الرحم. الاختصارات : wk== أسابيع ؛ mo = أشهر ؛ yr == سنوات، I.U= داخل الرحم.
| Maxillary (upper) teeth | ||||||||
|---|---|---|---|---|---|---|---|---|
| Primary teeth | Central incisor |
Lateral incisor |
Canine |
First molar |
Second molar | |||
| Initial calcification | 14 wk I.U. | 16 wk I.U. | 17 wk I.U. | 15.5 wk I.U. | 19 wk I.U. | |||
| Crown completed | 1.5 mo | 2.5 mo | 9 mo | 6 mo | 11 mo | |||
| Root completed | 1.5 yr | 2 yr | 3.25 yr | 2.5 yr | 3 yr | |||
| Mandibular (lower) teeth | ||||||||
| Initial calcification | 14 wk I.U. | 16 wk I.U. | 17 wk I.U. | 15.5 wk I.U. | 18 wk I.U. | |||
| Crown completed | 2.5 mo | 3 mo | 9 mo | 5.5 mo | 10 mo | |||
| Root completed | 1.5 yr | 1.5 yr | 3.25 yr | 2.5 yr | 3 yr | |||
| Maxillary (upper) teeth | ||||||||
|---|---|---|---|---|---|---|---|---|
| Permanent teeth | Central incisor |
Lateral incisor |
Canine |
First premolar |
Second premolar |
First molar |
Second molar |
Third molar |
| Initial calcification | 3–4 mo | 10–12 mo | 4–5 mo | 1.5–1.75 yr | 2–2.25 yr | at birth | 2.5–3 yr | 7–9 yr |
| Crown completed | 4–5 yr | 4–5 yr | 6–7 yr | 5–6 yr | 6–7 yr | 2.5–3 yr | 7–8 yr | 12–16 yr |
| Root completed | 10 yr | 11 yr | 13–15 yr | 12–13 yr | 12–14 yr | 9–10 yr | 14–16 yr | 18–25 yr |
| Mandibular (lower) teeth | ||||||||
| Initial calcification | 3–4 mo | 3–4 mo | 4–5 mo | 1.5–2 yr | 2.25–2.5 yr | at birth | 2.5–3 yr | 8–10 yr |
| Crown completed | 4–5 yr | 4–5 yr | 6–7 yr | 5–6 yr | 6–7 yr | 2.5–3 yr | 7–8 yr | 12–16 yr |
| Root completed | 9 yr | 10 yr | 12–14 yr | 12–13 yr | 13–14 yr | 9–10 yr | 14–15 yr | 18–25 yr |
نمو البرعم السني
واحدة من أولى الخطوات في تكوين الأسنان التي يمكن رؤيتها مجهرياً هي التمييز بين الصفيحة الدهليزية والصفيحة السنية. تربط الصفيحة السنية البرعم السني النامي إلى طبقة الطلائية من الفم لفترة كبيرة.
ينقسم عادة نمو الأسنان إلى المراحل التالية: المرحلة البرعمية، والمرحلة القبعية، والمرحلة الجرسية، ومرحلة النضج في النهاية. مراحل تكوين السن هو محاولة لتصنيف التغيرات التي تحدث على طول سلسلة متصلة، وكثيراً ما يصعب تحديد ما المرحلة التي ينبغي أن تكون في نمو سنة محددة. هذا التحديد هو أيضاً معقد بسبب اختلاف ظهور المقاطع النسيجية المختلفة من نفس السن النامي، التي يمكن أن تبدو مراحل مختلفة.
المرحلة البرعمية
وتتميز المرحلة البرعمية بظهور برعم الأسنان بدون ترتيب واضح للخلايا، تبدأ هذه المرحلة من الناحية العملية بمجرد أن تتكاثر الخلايا الطلائية باتجاه الميزانشيم الخارجي من الفك، (19) عملياً، يحدث هذا عندما يكون الجنين حوالي 6 أسابيع من الحياة الرحمية.[3] برعم الأسنان في حد ذاته هو مجموعة من الخلايا في نهاية الصفيحة السنية.
المرحلة القبعية

أول علامات لترتيب الخلايا في برعم السنة تحدث في المرحلة القبعية. تتوقف مجموعة صغيرة من خلايا المزانشيم الخارجي عن إنتاج مواد خارج الخلية، مما يؤدي إلى تجميع هذه الخلايا تسمى الحليمة السنية. في هذه المرحلة، البرعم السني ينمو حول تكثف النسيج الميزانشيمي الخارجي، تتخذ شكل القبعة، وتصبح عضو المينا (أو السني). تكثف من خلايا الميزانشيم الخارجي يسمى الجراب السني يحيط بعضو المينا ويحد الحليمة السنية. في نهاية المطاف، عضو المينا سوف يشكل مينا الأسنان، والحليمة السنية لتشكيل العاج واللب، والجراب السني لتشكيل جميع البنيات الداعمة للسنة.[1]

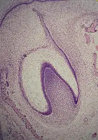
المرحلة الجرسية
ومن المعروف أن المرحلة الجرسية معروفة لتمايز الأنسجة ولاختلاف الشكل الذي يأخذ مجراه. العضو السني يكون على شكل جرس خلال هذه المرحلة، والأغلبية من خلاياه تسمى الشبكة النجمية بسبب ظهورها على شكل نجمة.[1] خلايا موجودة على عضو المينا الخارجية تنفصل إلى ثلاث طبقات مهمة، الخلايا المكعبة على الحد الخارجي للعضو السني معروفة باسم ميناء النسيج الطلائي الخارجي.[2] الخلايا العمودية لعضو المينا المتاخمة للحليمة السنية معروفة باسم ميناء النسيج الطلائي الداخلي. الخلايا التي بين مينا النسيج الطلائي الداخلي وخلايا الشبكة النجمية تشكل طبقة معروفة باسم طبقة العظم الأوسط. حافة العضو السني حيث التحام ميناء النسيج الطلائي الخارجي والداخلي يسمى العروة العنقية.[4] وخلاصة القول، الطبقات في الترتيب من الأعمق إلى الأبعد تتكون من العاج ثم المينا (التي شكلتها طبقة خلايا عضو المينا الداخلية، أو خلايا إفراز المينا، لأنها تتحرك نحو الخارج / الأعلى)، ثم طبقة خلايا المينا الداخلية وطبقة العظم الأوسط (الخلايا الطبقية المتخصصة التي تدعم النشاط التصنيعي لمينا النسيج الطلائي الداخلي) ما يلي هو جزء من عضو المينا الأولي، الذي يتكون منتصفه من خلايا الشبكة النجمية، كل هذا مغطى بطبقة مينا النسيج الطلائي الخارجي.
أحداث أخرى تحدث أثناء المرحلة الجرسية. تتحلل الصفيحة السنية، تاركه الأسنان النامية مفصولة تماماً عن النسيج الطلائي لتجويف الفم (البشرة الفموية)، والاثنان لن يلتحما معاً مرة أخرى حتى البزوغ النهائي للأسنان في الفم.[1]

تاج السن، والذي يتأثر بشكل خلايا عضو المينا الداخلية، كذلك يأخذ شكل خلال هذه المرحلة، في جميع أنحاء الفم كل الأسنان تخضع لنفس هذه العملية، انه لا يزال غير محدد لماذا الأسنان تشكل تيجان مختلفة الأشكال، على سبيل المثال، القواطع مقابل الأنياب، هناك نوعان من الافتراضات السائدة، "النموذج الميداني " يقترح هناك عناصر لكل نوع من أنواع شكل الأسنان وجدت في النسيج الميزانشيمي الخارجي خلال نمو السن. والمكونات لأنواع معينة من الأسنان، مثل القواطع، تتمركز في منطقة واحدة وتتفرق بسرعة في أجزاء مختلفة من الفم وهكذا. على سبيل المثال، "الحقل القاطعة" يملك عوامل التي تنشأ الأسنان في شكل الأسنان القاطعة، وهذا المجال يتمركز في منطقة ثنايا الأسنان الأمامية، ولكن يتناقص بسرعة في منطقة الأنياب. الافتراض السائد الآخر، نموذج "الإستنساخ"، ويقترح أن برامج الخلايا الطلائية (الظهارة) مجموعة من خلايا الميزانشيم الخارجي لتوليد أسنان ذات أشكال معينة. هذه المجموعة من الخلايا، تدعى استنساخ، تساعد في تقسيم الصفيحة السنية في نمو السنة، مما تسبب في تشكيل برعم السن. نمو الصفيحة السنية يستمر في المنطقة التي يطلق عليها "منطقة التقدم". بمجرد أن منطقة التقدم تهاجر مسافة معينة من برعم السن الأول، برعم السن الثانية تبدأ في النمو. هذين النموذجين ليس بالضرورة يستبعد بعضها بعضاً، ولا تقبل على نطاق واسع، في علم الأسنان يعتبرهم على هذا النحو: فهو افترض أن كلاً من النموذجين يأثر في نمو السن في أوقات مختلفة.[1]
البنيات الأخرى التي قد تظهر في السنة النامية في هذه المرحلة هي عقدة المينا، حبل المينا، وقطاع المينا البينى.[1]

مرحلة التاج
الأنسجة الصلبة، بما في ذلك المينا والعاج، تنمو خلال المرحلة المقبلة من نمو السنة. وتدعى هذه المرحلة التاج أو النضج. تغييرات خلوية هامة تحدث في هذا الوقت. في مراحل سابقة كل خلايا عضو المينا الداخلية انقسمت لزيادة الحجم الكلي لبرعم السن، ولكن تقسيم سريع يدعى الانقسام، يتوقف خلال مرحلة التاج في المكان الذي تتكون فيه نتوءات الأسنان، الأنسجة المعدنية الصلبة الأولى تتكون في هذا المكان. وفي نفس الوقت خلايا عضو المينا الداخلية تتغير في الشكل من خلايا مكعبة تتحول إلى خلايا عمودية. نواة هذه الخلايا تهاجر لتصبح قريبة من طبقة العظم الأوسط وبعيدا من الحليمة السنية.[1]

تقوم خلايا الطبقة المجاورة للحليمة السنية بزيادة مفاجئة في الحجم وتتمايز إلى خلايا مصورات العاج، وهي الخلايا التي تشكل عاج الأسنان.[5] ويعتقد الباحثون أن خلايا إفراز العاج لن تتشكل لو لم تكن التغيرات التي تحدث في طبقة خلايا المينا الداخلية. كما أن التغييرات لطبقة خلايا المينا الداخلية والتكوين لخلايا إفراز العاج يستمر من الأطراف المدببة لنتوءات الأسنان، فالخلايا المولدة للعاج تفرز مادة، عضوية بين خلوية، داخل ما يحيط بها مباشرة، المادة العضوية بين خلوية تحتوي على المواد اللازمة لتكوين العاج. خلال ترسيب الخلايا المولدة للعاج مادة عضوية بين خلوية فإنها تهاجر باتجاه مركز الحليمة السنية. وهكذا. على عكس المينا العاج يبدأ في التشكيل من السطح المغلق إلى السطح الخارجي للسن ويتقدم نحو الداخل. يتم ترك استطالات السيتوبلازم في الخلف لأن خلايا العاج تحرك باتجاه الداخل. الشكل الأنبوبي المجهري الفريد من نوعه للعاج هو نتيجة لتكوين عاج الأسنان حول هذه الاستطالات.[1]
بعد البدء في تكوين العاج، طبقة خلايا المينا الداخلية تفرز مادة عضوية بين خلوية في اتجاه عكس العاج. هذه المادة العضوية البين خلوية يمعدن (يحول إلى مادة معدنية) على الفور، وتصبح مينا السن. خارج العاج توجد الخلايا المولدة للمينا، وهي الخلايا التي تستمر في عملية تكوين المينا وبالتالي تكوين المينا يتحرك في اتجاه الخارج بإضافة مواد جديدة إلى السطح الخارجي للسن النامي.
تكوين الأنسجة الصلبة

المينا Enamel
تكوين المينا
يسمى تكوين المينا تصنيع المينا ويحدث أثناء نمو السن في مرحلة التاج. "التخليق المتبادل" يحكم العلاقة بين تكوين العاج والمينا، تكوين العاج يجب أن يحدث دائما قبل تكوين المينا. بشكل عام، تكوين المينا يحدث في مرحلتين : المرحلة الإفرازية ومرحلة النضج.[6] البروتينات والمادة العضوية البين خلوية تكون مينا متمعدن جزئيا في المرحلة الإفرازية، مرحلة النضج تكتمل تمعدن المينا.
في المرحلة الإفرازية، خلايا المينا تفرز بروتينات المينا التي تساهم في المينا البين خلوية، التي حينئذ تتمعدن جزئيا بواسطة أنزيم الفوسفاتيز القلوى.[7] ظهور هذه الأنسجة المعدنية، والتي تحدث عادة في حوالي الشهر الثالث أو الشهر الرابع من الحمل، علامات أول ظهور للمينا في الجسم. خلايا المينا ترسب المينا في المكان الذي سيصبح نتوءات للأسنان على طول الجانب مع العاج. تكوين المينا حينئذ يستمر في اتجاه الخارج، بعيدا عن مركز السنة.
في مرحلة النضج، الخلايا المولدة للمينا تنقل بعض المواد المستخدمة في تشكيل المينا إلى خارج المينا. وبالتالي، فإن وظيفة الخلايا المولدة للمينا تتغير من إنتاج المينا، كما يحدث في المرحلة إفرازية، إلى نقل المواد. معظم المواد المنقولة بواسطة خلايا إفراز المينا في هذه المرحلة هي بروتينات مستخدمة لإكمال التمعدن. البروتينات الهامة المستخدمة هي (amelogenins) اميلوجنينز، (ameloblastins) اميلوبلاستينز، (enamelins)ايناملينز و(tuftelins) توفتيلينز. وبنهاية هذه المرحلة، المينا يكتمل تحوله إلى مادة صلبة (تمعدن).
العاج Dentin
تكوين العاج
تكوين العاج، والمعروفة باسم تشكيل العاج، هي السمة الأولى للتحديد في مرحلة التاج لنمو السنة. تكوين العاج يجب أن يحدث دائما قبل تكوين المينا. المراحل المختلفة لتكوين العاج يؤدى إلى أنواع مختلفة من العاج : غلاف العاج، العاج الأولي، العاج الثانوي، والأسنان الثلاثي.
الخلايا المولدة للعاج، الخلايا المكونة للعاج، تتمايز من خلايا الحليمة السنية. فإنها تبدأ إفراز مادة عضوية بين خلوية حول المنطقة المتاخمة مباشرة إلى عضو المينا الداخلي، أقرب إلى المكان المستقبلى لنتوءات السنة. تحتوي المادة العضوية البينخلوية على ألياف الكولاجين بسماكات كبيرة (0.1-0.2 ميكرومتر في السمك أو الثخانة).[8] الخلايا المولدة للعاج تبدء في التحرك باتجاه مركز السنة، وتشكيل استطالة تسمى زائدة الخلية المولدة للعاج. وبالتالي، تشكيل العاج يكمل باتجاه الداخل من السن. عملية الخلية المكونة للعاج تتسبب في إفراز بلورات هيدروكسي اباتيت وتمعدن المادة البين خلوية. هذه المنطقة من التمعدن تعرف بغلاف العاج وهي طبقة عادة سماكته حوالي 150 ميكرون.[8]
في حين أن غلاف العاج يتكون من المادة الأساسية الموجودة مسبقا في الحليمة السنية، العاج الأولي يتشكل من خلال عملية مختلفة. تزيد الخلايا المولدة للعاج في الحجم، قاضية على توافر أية موارد خارج الخلية لتسهام مع المادة العضوية البين خلوية في التمعدن. بالإضافة إلى ذلك، الخلايا الأكبر المولدة للعاج سبب ان الكولاجين يفرز في كميات أصغر، والذي ينتج في ترتيب أكثر إحكاما، تكون النواة الغير متجانسة الذي يستخدم للتمعدن. مواد أخرى (مثل دهون، بروتين فوسفاتي، ودهون فوسفورية) تفرز أيضا.[8]
يتم تشكيل العاج الثانوي بعد الانتهاء من تشكيل الجذور ويحدث بمعدل أبطأ من ذلك بكثير. انه لم يشكل بسرعة منتظمة على طول السن، ولكن بدلا من ذلك تشكل أسرع على طول القطاعات الأقرب إلى تاج السن.[9] هذا النمو لا يزال مستمر في جميع مراحل الحياة، ويفسر ذلك المناطق الأصغر من اللب وجدت في الأفراد الأكبر سنا.[8] العاج الثلاثي، المعروف أيضا باسم العاج التعويضي، يتكون في رد فعل للمحفزات، مثل تسوس الأسنان أو التآكل.[10]

الملاط Cementum
تكوين الملاط يسمى تشكيل الملاط ويحدث في وقت متأخر من نمو الأسنان. الخلايا المولدة للملاط هي الخلايا المسؤولة عن تشكيل الملاط. نوعين من شكل الملاط : الخلوي ولا خلوي.[11]
أولا أشكال الملاط لا خلوي. الخلايا المولدة للملاط تتمايز من الخلايا الجرابية، والتي يمكن أن تصل فقط على سطح جذر السن بمجرد أن غلاف هيرتويج الطلائي للجذر قد بدأت في التدهور. الخلايا المولدة للملاط تفرز ألياف الكولاجين الرفيعة على طول سطح الجذر بزاوية قائمة قبل أن تهاجر بعيدا عن السن. كلما تنتقل الخلايا المولدة للملاط، كولاجين أكثر يتم ترسيبه لإطالة وزيادة سماكة في حزم من الألياف. البروتينات الغير كولاجنية، مثل السيالوبروتين العظمي والكالسين العظمي، تفرز أيضا.[12] الملاط لا خلوي يحتوي على مادة بين خلوية مفرزة من البروتينات والألياف. كما يأخذ التمعدن مجراه، الخلايا المولدة للملاط تتحرك مبتعدة عن الملاط، والألياف تاركة على طول السطح في نهاية المطاف التحام أربطة حول الأسنان المتكونة.
الملاط الخلوي يتكون بعد أن يتم معظم تشكيل السنة وبعد أن تطبق السنة (تتلامس) مع السنة في الفك المقابل لها.[12] هذا النوع من الملاط يتكون حول حزم ألياف الأربطة حول السن. الأرومة الملاطية المكونة للملاط الخلوى تصبح محاصرة في الملاط الذي تنتجه.
ويعتقد أن أصل الخلايا المكونة للملاط يكون مختلفا للملاط الخلوي عن الملاط لا خلوي. واحدة من الفرضيات الرئيسية الحالية هي أن الخلايا المنتجة للملاط الخلوي تهاجر من المنطقة المجاورة للعظم، بينما الخلايا المنتجة للملاط لا خلوي تنشأ من الجراب السني.[12] ومع ذلك، فإن من المعروف أن الملاط الخلوي عادة ما يكون غير موجود في الأسنان ذات جذر واحد.[12] في الضواحك والضروس الطواحن، يوجد الملاط الخلوي فقط في جزء من الجذر الأقرب إلى قمته وفي مناطق بين تفرع الجذور بين الجذور المتعددة.

تشكيل ما حول الأسنان
ما حول السن، التي هي البنية الداعمة للسنة، وتتكون من الملاط، الأربطة ما حول السنة، اللثة والعظم السنخي. الملاط هو الوحيد من هذه الذي هو جزء من السنة. العظم السنخي يحيط بجذور الأسنان لتقديم الدعم ويخلق ما يسمى عادة "تجويف مفصلى ". الأربطة حول السنية تربط العظم السنخي بالملاط، واللثة هي الأنسجة المحيطة مرئية في الفم.[13]
الأربطة حول الأسنان (Periodontal ligament (PDL
خلايا من الجراب السنى تنشأ الأربطة حول الأسنان (PDL). أحداث معينة تؤدي إلى تشكيل الأربطة حول الأسنان تختلف بين الأسنان اللبنية (بيبى) والأسنان الدائمة وبين الأنواع المختلفة من الحيوانات.[12] ومع ذلك، فإن تشكيل الأربطة حول الأسنان يبدأ برباط الخلايا الليفية الأولية من الجراب السنى. هذه الخلايا الليفية تفرز الكولاجين، الذي يتفاعل مع ألياف على أسطح العظم والملاط المجاورة. هذا التفاعل يؤدي إلى ارتباط الذي يتطور كبزوغ الأسنان في الفم. الاطباق، الذي هو ترتيب الأسنان وكيف ان الأسنان في الأقواس المقابلة تأتي في تلامس الواحد بالآخر، يؤثر باستمرار على تشكيل اربطة ما حول الأسنان. هذا الخلق الدائم لاربطة ما حول الأسنان يؤدي إلى تشكيل مجموعات من الألياف في اتجاهات مختلفة، مثل الألياف الأفقية والمائلة.[12]
العظم السنخى Aleveolar bone
كما ان تشكيل الجذر والملاط يبدأ، يتم إنشاء العظم في المنطقة المتاخمة. في جميع أنحاء الجسم، الخلايا التي تشكل العظام تسمى خلايا بناء العظم. في حالة العظم السنخي، خلايا بناء العظم هذه تشكل من الجراب السنى.[12] مشابه لتشكيل الملاط الأولي، يتم إنشاء ألياف كولاجينية على السطح الأقرب للسنة، وأنها لا تزال هناك حتى ترتبط بأربطة ما حول السنة.
مثل أي عظمة أخرى في جسم الإنسان، يتم تعديل العظم السنخي في جميع مراحل الحياة. خلايا بناء العظام تنشأ العظم والخلايا آكلة العظم تهدمه، لا سيما إذا وضعت قوة على السنة.[14] كما هو الحال عندما تحاول تحريك الأسنان من خلال تقويم الأسنان، منطقة من العظم تحت قوة الضغط من سنة متحركة تتجه نحوها مستوى عال من خلايا آكلة العظم، مما أدى إلى ارتشاف (ذوبان) العظام. مساحة من العظم تتلقي شد من أربطة حول الأسنان ترتبط بسنة تتحرك بعيدا عنها لديها عددا كبيرا من خلايا بناء العظم، مما يؤدى إلى تكوين العظم.
اللثة Gingiva
ويطلق على الالتحام بين اللثة والسنة الملتقى المينائى العاجى. هذا الملتقى له ثلاثة أنواع من النسيج الطلائي : اللثة، الاخدودى، ونسيج الارتباط الطلائى. وتشكل هذه الأنواع الثلاثة من كتلة من الخلايا الطلائية الظهارية المعروفة باسم القيد النسيج الطلائي بين السنة والفم.[12]
الكثير عن تكوين اللثة ليس مفهوما تماما، ولكن المعروف هو أن الهيميديسموسوم hemidesmosmes (الأشياء النصف هدامة) يتكون بين اللثة والسنة وهي المسؤولة عن ارتباط النسيج الطلائي الأولي. Hemidesmosomes هيميديسموسوم توفر ملاذ آمن بين الخلايا من خلال بنية تشبه خيوط رفيعة صغيرة مجهزة من بقايا خلايا تكوين المينا. وبمجرد حدوث ذلك، نسيج الارتباط الطلائى يتكون من عضو المينا المصغر، واحدة من منتجات عضو المينا، وينقسم على وجه السرعة. وهذا يؤدي دائما إلى زيادة حجم طبقة نسيج الارتباط الظهاري وعزل بقايا خلايا تكوين المينا من أي مصدر من مصادر التغذية. عندما خلايا تكوين المينا تتحلل، يخلق اخدود اللثة.
تشكيل الأعصاب والأوعية الدموية
في كثير من الأحيان، والأعصاب والأوعية الدموية تسير في شكل مواز لبعضها البعض في الجسم، وتشكيل كل منهما يحدث عادة في وقت واحد وبطريقة مماثلة. ومع ذلك، ليس هذا هو الحال بالنسبة للأعصاب والأوعية الدموية في جميع أنحاء السنة، وذلك بسبب معدلات مختلفة من النمو.[1]
تشكيل العصب
الألياف العصبية تبدأ بالقرب من السنة خلال المرحلة القبعية أثناء نمو السنة وتنمو باتجاه الجراب السنى. هناك بمجرد ان، تنمو الأعصاب حول البرعم السنى وتدخل الحليمة السنية عند تشكيل العاج قد بدأ. الأعصاب لا تتكاثر أبدا في عضو المينا.
تشكيل الأوعية الدموية
تنمو الأوعية الدموية في الجراب السنى وتدخل الحليمة السنية في المرحلة القبعية.[1] تتكون مجموعات من الأوعية الدموية في مدخل الحليمة السنية. عدد الأوعية الدموية يصل كحد أقصى في بداية مرحلة التاج والحليمة السنية تنشئ في نهاية المطاف لب السنة. في جميع مراحل الحياة، كمية الأنسجة اللبية في السنة يتنقاص، وهو ما يعني أن كمية الدم المتدفقة إلى السنة ينخفض مع التقدم في العمر.[14] يخلو عضو المينا من الأوعية الدموية بسبب ان منشأه من النسيج الطلائي، والأنسجة المعدنية من المينا والعاج لا تحتاج إلى مواد مغذية من الدم.
بزوغ الأسنان Tooth eruption
مقالة مفصلة: بزوغ سني
بزوغ الأسنان يحدث عندما تدخل الأسنان الفم وتصبح مرئية. على الرغم من أن الباحثين يتفقون على أن بزوغ الأسنان هي عملية معقدة، وهناك اتفاق ضئيل على هوية الالية التي تحكم بزوغ الأسنان.[15] بعض النظريات الشائعة المحتفظ بها التي ادحضتت على مر الزمن تشمل ما يلي : (1) يدفع السن لأعلى في فم من خلال نمو جذر السن، و(2)يدفع السن لأعلى بنمو العظم حول السن، (3) يدفع السن لأعلى عن طريق ضغط الأوعية الدموية، و(4) يدفع السن لأعلى من قبل وسادة الأرجوحة الشبكية.[16] نظرية وسادة الأرجوحة الشبكية، اقترحت لأول مرة من قبل هاري سيشر، كانت تدرس على نطاق واسع من 1930 إلى 1950. هذه النظرية تفترض ان الأربطة أسفل السنة، والذي لاحظه سيشر تحت المجهر على شريحة نسيجية، كانت مسؤولة عن البزوغ. في وقت لاحق "الرباط" الذي لاحظه سيشر تقرر، أن يكون مجرد قطعة اصطناعية تم إنشاؤها في عملية إعداد الشريحة.[17]
النظرية الأكثر المتمسك بها على نطاق واسع حاليا هو أنه قد يكون متضمنا في بزوغ الأسنان قوى عدة، الأربطة حول الأسنان توفر القوة الدافعة الرئيسية للعملية. واضعي النظريات يفترضوا أن الأربطة حول الأسنان تحفز البزوغ من خلال الانقباض وعبر ربط ألياف الكولاجين وتقلص خلاياها الليفية.[18]
على الرغم من بزوغ الأسنان يحدث في أوقات مختلفة من شخص لآخر، يوجد جدول زمني عام لبزوغ الأسنان. فعليا، البشر لديهم 20 من الأسنان اللبنية (بيبى) و32 من الأسنان الدائمة.[19] بزوغ الأسنان له ثلاث مراحل. الأولى، والمعروفة باسم مرحلة الأسنان اللبنية، ويحدث فقط عندما تكون الأسنان المؤقتة مرئية. بمجرد ان السنة الدائمة الأولى تبزغ في الفم، الأسنان تكون في التسنين المختلط (أو انتقالي). بعد أن يسقط آخر سن لبنى خارج الفم - عملية تعرف كما تقشر - الأسنان تكون في التسنين الدائم.
الأسنان المؤقتة تبدأ مه وصول ثنايا الفك السفلي، وعادة يكون في عمر ثمانية أشهر، ويستمر حتى الأضراس الأولى الدائمة تظهر في الفم، وعادة يكون في عمر ست سنوات.[20] عمليا الأسنان الأولية تبزغ في الترتيب التالي : (1) الثنايا الأسنان الأمامية، (2) الرباعيات، (3) الضرس الأول، (4)الناب، و(5) الضرس الثاني.[21] وكقاعدة عامة، أربع أسنان تبزغ كل ستة أشهر من العمر، وأسنان الفك السفلي تبزغ قبل أسنان الفك العلوي، وأسنان تبزغ عاجلا في الإناث من الذكور.[22] خلال التسنين اللبنى، البراعم السنية للأسنان الدائمة تنمو اسفل الأسنان اللبنية، وعلى مقربة من سقف الحلق أو اللسان.
يبدأ التسنين المختلطة عندما الضرس الدائم الأول يظهر في الفم، وعادة في عمر ست سنوات، ويستمر حتى آخر سن مؤقت يفقد، وعادة يكون في الحادية عشرة أو اثني عشر عاما.[23] الأسنان الدائمة في الفك العلوى تبزغ في ترتيب مختلف عن الأسنان الدائمة في الفك السفلي. أسنان الفك العلوى تبزغ في الترتيب التالي : (1) الضرس الأول، (2) ثنايا الأسنان الأمامية، (3) الرباعيات، (4) الضاحك الأول، (5) الضاحك الثاني، (6) الناب، (7) الضرس الثاني، و(8) الضرس الثالث. أسنان الفك السفلي تبزغ في الترتيب التالي : (1) الضرس الأول (2) الثنايا الأسنان الأمامية، (3) الرباعيات، (4) الناب، (5) الضاحك الأول، (6) الضاحك الثاني، (7) الضرس الثاني، و(8) الضرس الثالث. بما أنه لا توجد الضواحك في التسنين المؤقت، ان الضروس المؤقتة تستبدل بالضواحك الدائمة.[24] إذا فقدت أية أسنان أولية قبل أن تستعد الأسنان الدائمة لتحل محلها، بعض الأسنان الخلفية قد تنجرف إلى الأمام، وتسبب مسافة فارغة لتضيع في الفم.[25] قد يتسبب هذا في يتراكب بعضها / أو بزوغ الأسنان الدائمة في غير موضعها، والتي عادة ما يشار إليها باسم سوء الإطباق. تقويم الأسنان قد يكون مطلوب في مثل هذه الظروف بالنسبة للفرد لتحقيق هيئة مرتبة للأسنان.
والتسنين الدائم يبدأ عندما يتم فقدان آخر الأسنان الأولية، وعادة في 11-12 سنة، ويستمر لبقية حياة الشخص أو حتى كل الأسنان تفقد (عديم الأسنان). خلال هذه المرحلة، الأضراس الثالث (وتسمى أيضا "ضرس العقل") يتم كثيرا خلعه بسبب تسوس، ألم أو مغروس. الأسباب الرئيسية لفقدان الأسنان هي التسوس وأمراض اللثة.
| Primary teeth | ||||||||
|---|---|---|---|---|---|---|---|---|
| Central incisor |
Lateral incisor |
Canine |
First premolar |
Second premolar |
First molar |
Second molar |
Third molar | |
| Maxillary teeth | 10 mo | 11 mo | 19 mo | 16 mo | 29 mo | |||
| Mandibular teeth | 8 mo | 13 mo | 20 mo | 16 mo | 27 mo | |||
| Permanent teeth | ||||||||
| Central incisor |
Lateral incisor |
Canine |
First premolar |
Second premolar |
First molar |
Second molar |
Third molar | |
| Maxillary teeth | 7–8 yr | 8–9 yr | 11–12 yr | 10–11 yr | 10–12 yr | 6–7 yr | 12–13 yr | 17–21 yr |
| Mandibular teeth | 6–7 yr | 7–8 yr | 9–10 yr | 10–12 yr | 11–12 yr | 6–7 yr | 11–13 yr | 17–21 yr |
مباشرة بعد البزوغ، المينا يغطي بغشاء محدد : غشاء ناسميث Nasmyth أو 'قشرة المينا، بنية جنينية المنشأ تتكون من الكيراتين الذي يكون باعثا على عضو المينا.[27][28]
التغذية ونمو السن
كما هو الحال في جوانب أخرى من النمو البشري والتطور، التغذية لها تأثير على نمو الأسنان. المغذيات الضرورية لصحة الأسنان تشمل الكالسيوم والفسفور وفيتامينات أ, ج ود.[29] وهناك حاجة إلى الكالسيوم والفوسفور لتشكيل بلورات هيدروكسي اباتيت على نحو صحيح، ويحافظ على مستوياتها في الدم بواسطة فيتامين د. فيتامين (أ) هو الفيتامين الضروري لتشكيل الكيراتين، وفيتامين ج لتشكيل الالكولاجين. يندمج الفلوريد في بلورات هيدروكسي آباتيت للأسنان النامية ويجعلها أكثر مقاومة فقدان المعادن وللتسوس لاحقا.[30]
نقص من هذه العناصر الغذائية يمكن أن يؤدى إلى مدى واسع من التاثيرات على نمو السنة.[31] في الحالات التي يكون فيها نقص في الكالسيوم والفسفور وفيتامين (د)، البنيات الصلبة للسنة قد تكون أقل تمعدن. نقص فيتامين (أ) يمكن أن يؤدي إلى انخفاض في كمية تشكيل المينا. يسبب نقص الفلوريد في زيادة نقص التمعدن (التصلب) عندما يتعرض السن إلى بيئة حمضية، وكذلك تأخير إعادة التمعدن. وعلاوة على ذلك، وجود زيادة في الفلوريد أثناء نمو السن يمكن أن يؤدي إلى حالة تعرف باسم تسمم الفلورين.
تشوهات
وهناك عدد من تشوهات السن المتعلقة بالنمو.
انعدام الأسنان هو الانعدام التام لنمو السنة، ونقص عدد الأسنان هو نقص في بضع نمو السن. انعدام الأسنان هو أمر نادر الحدوث، وغالبا ما تحدث في حالة تسمى خلل تصنيع نسيج الأديم الظاهري المصاحب بندرة التعرق، بينما نقص عدد الأسنان هو واحد من أكثر تشوهات النمو شيوعا، والتي تؤثر على 3,5-8,0% من السكان (لا يشمل الضرس الثالث). عدم وجود الضرس الثالثهو شائع جدا، ويحدث في 20-23% من السكان، يليه في الأنتشار الضاحك الثاني والرباعية. نقص في عدد الأسنان يكون مصاحبا في كثير من الأحيان مع عدم وجود الصفيحة السنية، والتي هي عرضة للقوى البيئية، مثل حالات العدوى والعلاج الكيميائي، ويصاحب أيضا متلأزمات كثيرة، مثل متلازمة داون ومتلازمة كروزون.
زيادة في الأسنان هو نمو عدد زائد من الأسنان. ويحدث ذلك في 1-3% من القوقازيين وأكثر تكرارا في الآسيويين. حوالي 86% من هذه الحالات تنطوي على سنة واحدة زيادة في الفم، الأكثر شيوعا توجد في الفك العلوى، حيث توجد الرباعية.[32] ويعتقد ان نقص في الأسنانHyperdontia يكون مرتبطا بزيادة في الصفيحة السنية.
انحناء جذر السنة Dilaceration هو انحناء غير طبيعي وجد على السنة، ويكاد يكون دائما مرتبطة مع الصدمة التي تحرك البرعم السنى النامى. بيما تتكون سنة، يمكن لقوة ان تحرك السنة من موقعها الأصلي، وتترك بقية السنة لتتكون في زاوية غير طبيعية. الأكياس والأورام المتاخمة لبرعم السن هي قوى معروفة لتسبب انحناء جذر السنة dilaceration، كمادفعت الأسنان اللبنية لأعلى داخل اللثة من صدمة حيث انها تحرك البرعم السنى للسنة الدائمة.[33]
تشوهات تكوين الأسنان odontodysplasia المرتبط بجزء معين أمر نادر الحدوث، ولكن الأكثر احتمإلا أن تحدث في الفك العلوى والأسنان الأمامية. والسبب غير معروف، وافترض عدد من الأسباب، بما في ذلك اضطراب في خلايا القمة العصبية، العدوى، العلاج الإشعاعي، ونقص في الإمداد بالأوعية الدموية (والذي عقد الأفتراض الأكثر على نطاق واسع).[34] أسنان المتضررة من odontodysplasia تشوهات تكوين الأسنان الإقليمية لا تبزغ ابدا في الفم، ولها تيجان صغيرة، بنية - صفراء، ولها أشكال غير منتظمة. ظهور هذه الأسنان في صور الأشعة يكون شفافة و"هشة "، مما أسفر عن لقب "أسنان الشبح".[35]
البيولوجيا الجزيئية
في الأسماك قدرة الجين على تعديل الكائن الحى هي التي تنظم آليات لبدء الأسنان.[36][37]
في الفأر إشارات {WNT} مطلوبة من أجل البدأ في نمو الأسنان.[38][39]
عامل النمو العصبى (NGF-R) الموجود في خلايا الميزانشيم الخارجية المكثفة للحليمة السنية مبكرا في المرحلة القبعية من بذرة (اصل) السنة ويقوم بأدوار متعددة أثناءأحداث التكوين التشكيلى morphogenetic وتنوع أو تمايز الخلايا cytodifferentiation في السنة.[40][41][42] وهناك علاقة بين عدم تكوين الأسنان وعدم وجود طرفي العصب التوأمي الثلاثي{العصب الخامس } (انظر نقص عدد الأسنان (Hypodontia).{/
جميع المراحل (المرحلة البرعمية، المرحلة القبعية، المرحلة الجرسية، والتاج)، والنمو وmorphogenesisالتكوين التشكيلى للأسنان ينظم بواسطة بروتين : سونيك هيدجيهوج sonic hedgehog.(القنفد الصوتى)
أثناء تطوير الأسنان هناك تشابه كبير بين تكوين الكيراتين وتكوين المينا [amelogenesis ]. الكيراتين موجود أيضا في الخلايا الطلائية من الجرثومة(بذرة) السنية وغشاء رقيق من الكيراتين موجود على السن البازغة حديثا(غشاء ناسميث Nasmyth أو قشرة المينا).[43]
عقدة المينا كمركز اشارى في morphogenesis التكوين التشكيلى للسنة وتمايز تكوين العاج0
المدخلات المختلفة للطراز المظهري تعدل حجم الأسنان.[44]
شكل الأسنان في إنسانعصور ما قبل التاريخ كانت تختلف عن شكلها في إنسان العصر الحديث.[44][45]
في بعض الأورام المسخية الجلدية dermoid teratomas (خاصة اورام المبيضية، الرئة, البنكرياس والخصيتين) تنمو أسنان كاملة.[46][47][48][49]
هرمون دريقي (من الغدة بجانب الغدة الدرقية ينظم كمية الكالسيوم في الجسم)يكون ضرورى لبزوغ الأسنان.[50]
نمو الأسنان في الحيوانات
الكائن الحي بأبسظ الجينوم وله أسنان ربما يكون دودة نوعها ديدان الأنكلستوما (أنكلستوما الأثنا عشر، ديدان الفتاكة الأمركية وهى جنس ديدان مدورة من فصيلة الملقوات Necator americanus)
الأسنان هو هيكل atavic رجعى متشابه للأجداد ونموها يتشابه في كثير من الفقاريات س[51][52][53][54]
الأسماك لها العديد من الهياكل العظمية المتخصصة،[55] أنها موجودة مع (ارشسرجس بروبتوسفلوس رتبة برسفورمس، فصيلة سبريدا) وبدون اسنان (كريستيد رتبة برسفورمس، فصيلة كريستيد، الأسنان في تطورها موجودة في العمر الصغير)
وخلافا لمعظم الحيوانات، وأسماك القرش ق تنتج باستمرار أسنان جديدة طوال فترة الحياة[56][57][58] من خلال آلية مختلفة جذريا. لأن أسنان أسماك القرش ليس لها جذور، أسماك القرش تفقد الأسنان بسهولة عندما تأكل (تقدير علماء الحيوان أن سمكة قرش واحدة يمكن أن يخسر ما يصل إلى 2,400 أسنان في سنة واحدة[59])، لذا هم يجب أن يتم استبدالها بشكل مستمر. أسنان سمك القرش تشكل من قشور معدلة بالقرب من اللسان، والانتقال إلى الخارج على الفك في صفوف حتى أن تتطور بشكل كامل، وتستخدم، وتطردت في نهاية المطاف.[60]
الثعابين لها أسنان عموما، مع بعض الاستثناءات (ثعبان أفريقي آكل البيض).
الطيور ليس لديها أسنان، على الرغم من أنه تكهن بأن طيور ما قبل التاريخ، مثل الطائر الأولى الشبيه بالزحافات، كان لها أسنان.
في رتبة تيوبوليدنتالا Tubulidentata) 2) (فئة من الثدييات) تكون الأسنان بدون المينا، وأنهم يفتقرون إلى القواطع والأنياب والأضراس الأضراس نموا في النظام باستمرار من جذورها.[61]
عموما، ونمو البشرية الأسنان في الثدييات ليالي غير مشابه للتنمية البشرية الأسنان. الاختلافات تكمن في الشكل، وعدد، جدول زمني التنمية، وأنواع الأسنان، وليس عادة في التطور الفعلي للأسنان.
تشكيل المينا في الثدييات الغير البشرية مماثل تقريبا لتلك التي لدى البشر. وخلايا تكوين المينا وعضو المينا، بما في ذلك الحليمة السنية، متماثلة وظيفيا.[62] ومع ذلك، في حين أن خلايا تكوين المينا تموت في الأنسان ومعظم الحيوانات الأخرى -لصنع مزيد من المينا من المستحيل - القوارض تنتج باستمرار المينا، وإجبارهم على تبارتداء بانخفاض أسنانهم قبل تلتهم على المواد المختلفة.[63] إذا منع القوارض من القرض، فأسنانهم تثقب في نهاية المطاف سطوح أفواههم. وبالإضافة إلى ذلك، القواطع القوارض تتكون من نصفين، والمعروفة باسم التاج الجذر المتناظر. تغطي النصف ناحية الشفه بالمينا وتشبه التاج، في حين يغطى النصف باتجاه اللسان ت مع الأسنان وتشبه الجذر. ينمو كلا من الجذر والتاج في وقت واحد في قواطع القوارض وتستمر في النمو طوال حياة القوارض.
توزيع المعادن في مينا القوارض هو يختلف عن ذلك في قرد، ق ق الكلب الخنزير، والبشر.[64] في أسنان الخيل، طبقات المينا والعاج متداخلة، مما يزيد من القوة ويقلل من معدل فناء الأسنان.[65][66]
البنيات الداعمة التي تخلق "الأخدود" حصريا موجودة في والثدييات Crocodylia.[12] في خروف البحر، الأضراس السفلية تنمو بشكل منفصل عن الفك، ومغطاة في قذيفة عظمي مفصولة بأنسجة لينة. هذا يحدث أيضا في الفيل 'أسنان التعاقب، والتي تندلع لتحل محل الأسنان المفقودة.
ملاحظات
- Ten Cate's Oral Histology, Nanci, Elsevier, 2013, pages 70-94
- جامعة تكساس فرع طبي.
- Barbara Young, Paul R. Wheater (2006). Wheaters Functional Histology. Elsevier Health Sciences. صفحة 255. ISBN 9780443068508. مؤرشف من الأصل في 27 أبريل 2020. الوسيط
|CitationClass=تم تجاهله (مساعدة) - جامعة جنوب كاليفورنيا كلية طب الأسنان، المرحلة القبعية : صورة 30 وجدت هنا. نسخة محفوظة 05 مايو 2007 على موقع واي باك مشين.
- روس، كاي، وبوليناPawlina، علم الأنسجة : نص والأطلس، صفحة.444.
- كيت، علم الأنسجة الفموية، صفحة 197.
- روس، كاي، وPawlina، {1 بولينا}علم الأنسجة : نص وأطلس، صفحة 445.
- كيت، علم الأنسجة الفموية، صفحة 128-139.
- ساميت، أساسيات طب الأسنان التحفظى ، صفحة. 13.
- ساميت، أساسيات طب الأسنان التحفظى ، صفحة 183.
- جونسون، وعلم الأحياء لأسنان الإنسان، صفحة 183.
- كيت، علم الأنسجة الفموية، صفحة 236-248.
- Luan X, Ito Y, Diekwisch TG (2006). "Evolution and development of Hertwig's epithelial root sheath". Developmental Dynamics. 235 (5): 1167–80. doi:10.1002/dvdy.20674. PMC 2734338. PMID 16450392. الوسيط
|CitationClass=تم تجاهله (مساعدة)صيانة CS1: أسماء متعددة: قائمة المؤلفون (link) - روس، كاي، وPawlina، {1 بولينا }علم الأنسجة : نص وأطلس، صفحة 452.
- Riolo وأفيري، الأساسيات لممارسة تقويم الأسنان، ص 142.
- هاريس، ' نمو القحفى الوجهى والتطور، ص 1-3.
- هاريس، نمو القحفى الو حهى والتطور ، ص 3.
- هاريس، 1}نمو القحفى الو حهى والتطور ، ص 5.
- الجمعية الأمريكية لطب الأسنان، رسوم بيانية لبزوغ الأسنان وجدت هنا. نسخة محفوظة 31 أغسطس 2009 على موقع واي باك مشين.
- Ash, Major M.; Nelson, Stanley J. (2003). Wheeler's dental anatomy, physiology, and occlusion. Philadelphia: W.B. Saunders. صفحات 38 and 41. ISBN 978-0-7216-9382-8. الوسيط
|CitationClass=تم تجاهله (مساعدة) - Ash, Major M.; Nelson, Stanley J. (2003). Wheeler's dental anatomy, physiology, and occlusion. Philadelphia: W.B. Saunders. صفحة 38. ISBN 978-0-7216-9382-8. الوسيط
|CitationClass=تم تجاهله (مساعدة) - WebMd صحة الأسنان : أسنان طفلك وجدت هنا. نسخة محفوظة 19 يونيو 2006 على موقع واي باك مشين.
- Ash, Major M.; Nelson, Stanley J. (2003). Wheeler's dental anatomy, physiology, and occlusion. Philadelphia: W.B. Saunders. صفحة 41. ISBN 978-0-7216-9382-8. الوسيط
|CitationClass=تم تجاهله (مساعدة) - الاستكشافات الميكروسكوبية الشهرية استكشاف الشهر : يناير 1998.
- هاواي الصحية، { : أهمية الأسنان 1}الأولية والرعاية وجدت هنا. نسخة محفوظة 06 أكتوبر 2011 على موقع واي باك مشين.
- Ash, Major M.; Nelson, Stanley J. (2003). Wheeler's dental anatomy, physiology, and occlusion. Philadelphia: W.B. Saunders. صفحة 53. ISBN 978-0-7216-9382-8. الوسيط
|CitationClass=تم تجاهله (مساعدة) - Armstrong WG (1968). "Origin and nature of the acquired pellicle". Proceedings of the Royal Society of Medicine. 61 (9): 923–30. PMC 1902619. PMID 5679017. الوسيط
|CitationClass=تم تجاهله (مساعدة) - Darling AI (1943). "The Distribution of the Enamel Cuticle and Its Significance". Proceedings of the Royal Society of Medicine. 36 (9): 499–502. PMC 1998608. PMID 19992694. الوسيط
|CitationClass=تم تجاهله (مساعدة) - الجمعية الأمريكية لصحة الأسنان 1} عوامل التغذية في نمو الأسنان وجدت هنا. نسخة محفوظة 06 يناير 2013 على موقع واي باك مشين.
- Ross, Kaye, and Pawlina, Histology: Text and Atlas, p. 453.
- الجمعية الأميركية لصحة الأسنان، الجدول الثاني. تأثير نقص المواد الغذائية على نمو الأسنان وجدت هنا. نسخة محفوظة 06 يناير 2013 على موقع واي باك مشين.
- كان، ' أساسيات علم أمراض الفم والوجه والفكين صفحة 49.
- نيفيل، دام، ألين، وBouquot، علم أمراض الفم والوجه والفكين ، صفحة 86.
- نيفيل، دام، ألين، وBouquot، علم أمراض الفم والوجه والفكين ، صفحة 99.
- كان، أساسيات علم أمراض الفم والوجه والفكين ، صفحة 58.
- Fraser GJ, Hulsey CD, Bloomquist RF, Uyesugi K, Manley NR, Streelman JT (2009). "An ancient gene network is co-opted for teeth on old and new jaws". PloS Biology. 7 (2): e31. doi:10.1371/journal.pbio.1000031. PMC 2637924. PMID 19215146. الوسيط
|CitationClass=تم تجاهله (مساعدة)صيانة CS1: أسماء متعددة: قائمة المؤلفون (link) - Fraser GJ, Bloomquist RF, Streelman JT (2008). "A periodic pattern generator for dental diversity". BMC Biology. 6: 32. doi:10.1186/1741-7007-6-32. PMC 2496899. PMID 18625062. الوسيط
|CitationClass=تم تجاهله (مساعدة)صيانة CS1: أسماء متعددة: قائمة المؤلفون (link) - Dassule HR, Lewis P, Bei M, Maas R, McMahon AP (2000). "Sonic hedgehog regulates growth and morphogenesis of the tooth". Development. 127 (22): 4775–85. PMID 11044393. مؤرشف من الأصل في 14 مارس 2020. الوسيط
|CitationClass=تم تجاهله (مساعدة)صيانة CS1: أسماء متعددة: قائمة المؤلفون (link) - Järvinen E, Salazar-Ciudad I, Birchmeier W, Taketo MM, Jernvall J, Thesleff I (2006). "Continuous tooth generation in mouse is induced by activated epithelial Wnt/beta-catenin signaling". Proceedings of the National Academy of Sciences of the United States of America. 103 (49): 18627–32. doi:10.1073/pnas.0607289103. PMC 1693713. PMID 17121988. الوسيط
|CitationClass=تم تجاهله (مساعدة)صيانة CS1: أسماء متعددة: قائمة المؤلفون (link) - Mitsiadis TA, Dicou E, Joffre A, Magloire H. (1992). "Immunohistochemical localization of nerve growth factor (NGF) and NGF receptor (NGF-R) in the developing first molar tooth of the rat". Differentiation. 49 (1): 47–61. doi:10.1007/BF00495427. PMID 1320577 : 1320577 تأكد من صحة قيمة
|pmid=(مساعدة). مؤرشف من الأصل في 25 يناير 2019. الوسيط|CitationClass=تم تجاهله (مساعدة)صيانة CS1: أسماء متعددة: قائمة المؤلفون (link) - Mitsiadis TA, Dicou E, Joffre A, Magloire H. (2001). "NGF Signals Supporting the Tooth Development are Mediated through p75. (Japanese)". Journal of the Kyushu Dental Society. 55 (6): 347–355. doi:10.2504/kds.55.347. مؤرشف من الأصل في 29 فبراير 2012. الوسيط
|CitationClass=تم تجاهله (مساعدة)صيانة CS1: أسماء متعددة: قائمة المؤلفون (link) - Amano O, Bringas P, Takahashi I, Takahashi K, Yamane A, Chai Y, Nuckolls GH, Shum L, Slavkin HC. (1999). "Nerve growth factor (NGF) supports tooth morphogenesis in mouse first branchial arch explants". Dev Dyn. 216 (3): 299–310. doi:10.1002/(SICI)1097-0177(199911) (غير نشط 2010-07-26). PMID 10590481. مؤرشف من الأصل في 27 أبريل 2020. الوسيط
|CitationClass=تم تجاهله (مساعدة)صيانة CS1: أسماء متعددة: قائمة المؤلفون (link) - Rosebury, Theodor (1934). "Presence of Iron in Enamel Keratin". Journal of Dental Research. 14: 269–72. doi:10.1177/00220345340140040301 (غير نشط 2010-02-01). مؤرشف من الأصل في 27 أبريل 2020. الوسيط
|CitationClass=تم تجاهله (مساعدة) - Townsend G, Richards L, Hughes T (2003). "Molar intercuspal dimensions: genetic input to phenotypic variation". Journal of Dental Research. 82 (5): 350–5. doi:10.1177/154405910308200505. PMID 12709500. الوسيط
|CitationClass=تم تجاهله (مساعدة)صيانة CS1: أسماء متعددة: قائمة المؤلفون (link) - Keith A (1913). "Problems relating to the Teeth of the Earlier Forms of Prehistoric Man". Proceedings of the Royal Society of Medicine. 6 (Odontol Sect): 103–124. PMC 2005996. PMID 19977113. الوسيط
|CitationClass=تم تجاهله (مساعدة) - "Ovarian teratoma (dermoid) with teeth". Doctor T's BrokenDown Palace. مؤرشف من الأصل في 10 أكتوبر 2018. اطلع عليه بتاريخ 07 نوفمبر 2009. الوسيط
|CitationClass=تم تجاهله (مساعدة) - Lee R (1860). "On the Nature of Ovarian Cysts which contain Teeth, Hair, and Fatty Matter". Medico-Chirurgical Transactions. 43 (2): 93–114. PMC 2147752. الوسيط
|CitationClass=تم تجاهله (مساعدة) - Eccles WM, Hopewell-Smith A (1912). "'Dermoid Teeth,' or Teeth developed in Teratomata". Proceedings of the Royal Society of Medicine. 5 (Odontol Sect): 123–139. PMC 2005364. PMID 19976169. الوسيط
|CitationClass=تم تجاهله (مساعدة) - Smith CJ (1967). "A teratoma of the lung containing teeth". Annals of the Royal College of Surgeons of England. 41 (5): 413–22. PMC 2312017. PMID 6061946. الوسيط
|CitationClass=تم تجاهله (مساعدة) - Philbrick WM, Dreyer BE, Nakchbandi IA, Karaplis AC (1998). "Parathyroid hormone-related protein is required for tooth eruption". Proceedings of the National Academy of Sciences of the United States of America. 95 (20): 11846–51. doi:10.1073/pnas.95.20.11846. PMC 21728. PMID 9751753. الوسيط
|CitationClass=تم تجاهله (مساعدة)صيانة CS1: أسماء متعددة: قائمة المؤلفون (link) - Nakatomi M, Morita I, Eto K, Ota MS (2006). "Sonic hedgehog signaling is important in tooth root development". Journal of Dental Research. 85 (5): 427–31. doi:10.1177/154405910608500506. PMID 16632755. الوسيط
|CitationClass=تم تجاهله (مساعدة)صيانة CS1: أسماء متعددة: قائمة المؤلفون (link) - James WW, Wellings AW (1943). "The Dental Epithelium and its Significance in Tooth Development". Proceedings of the Royal Society of Medicine. 37 (1): 1–6.12. PMC 2180846. PMID 19992735. الوسيط
|CitationClass=تم تجاهله (مساعدة) - Koussoulakou DS, Margaritis LH, Koussoulakos SL (2009). "A curriculum vitae of teeth: evolution, generation, regeneration". International Journal of Biological Sciences. 5 (3): 226–43. PMC 2651620. PMID 19266065. مؤرشف من الأصل في 5 مارس 2012. الوسيط
|CitationClass=تم تجاهله (مساعدة)صيانة CS1: أسماء متعددة: قائمة المؤلفون (link) - Salazar-Ciudad I, Jernvall J (2002). "A gene network model accounting for development and evolution of mammalian teeth". Proceedings of the National Academy of Sciences of the United States of America. 99 (12): 8116–20. doi:10.1073/pnas.132069499. PMC 123030. PMID 12048258. الوسيط
|CitationClass=تم تجاهله (مساعدة) - Sander Kranenbarg. "Skeletal tissue differentiation in fish". Wageninger University. مؤرشف من الأصل في 6 مارس 2012. اطلع عليه بتاريخ 24 أكتوبر 2009. الوسيط
|CitationClass=تم تجاهله (مساعدة) - ديف ابوت، أسماك القرش، وجدت هنا. نسخة محفوظة 04 مارس 2016 على موقع واي باك مشين.
- Boyne PJ (1970). "Study of the chronologic development and eruption of teeth in elasmobranchs". Journal of Dental Research. 49 (3): 556–60. doi:10.1177/00220345700490031501 (غير نشط 2010-07-26). PMID 5269110. مؤرشف من الأصل في 27 أبريل 2020. الوسيط
|CitationClass=تم تجاهله (مساعدة) - Sasagawa I (1989). "The fine structure of initial mineralisation during tooth development in the gummy shark, Mustelus manazo, Elasmobranchia". Journal of Anatomy. 164: 175–87. PMC 1256608. PMID 2606790. الوسيط
|CitationClass=تم تجاهله (مساعدة) - Buchheim، دورة سريعة في علم الأسماك، وجدت جايسون هنا. نسخة محفوظة 09 سبتمبر 2017 على موقع واي باك مشين.
- مايكل ا وليامز، الفكوك : }السنوات المبكرة ، وجدت{1{/1} هنا. نسخة محفوظة 24 مارس 2016 على موقع واي باك مشين.
- فئة الثدييات، رتبة التيوبودينتاتا، Tubulidentata، فصيلة Orycteropodidae، نوع " Orycteropus afer "، جامعة ميشيغان متحف علم الحيوان. الوصول إلى الصفحة 16 نوفمبر 2009.
- Frandson فراندسون وسبورجون، علم التشريح وعلم وظائف الأعضاء لحيوانات المزرعة، ص 305.
- Caceci.كاكيسى علم الأنسجة البيطرية مع عنوان فرعي "الجهاز الهضمي : "التجويف الفمى" وجدت هنا. نسخة محفوظة 20 أكتوبر 2011 على موقع واي باك مشين.
- Fejerskov O (1979). "Human dentition and experimental animals". Journal of Dental Research. 58 (Spec Issue B): 725–34. doi:10.1177/002203457905800224011 (غير نشط 2010-07-26). PMID 105027. مؤرشف من الأصل في 27 أبريل 2020. الوسيط
|CitationClass=تم تجاهله (مساعدة) - راندال بومان في أبريل 2004 "اللثة للخارج : الخيول الصغيرة من الشباب تفقد العديد من الأسنان، يقول الطبيب البيطري". أنظر المرجع هنا. نسخة محفوظة 21 مايو 2008 على موقع واي باك مشين.
- Encarta انكارتا، الذي رابطه يمكن الاطلاع هنا نسخة محفوظة 29 أكتوبر 2009 على موقع واي باك مشين.
المراجع
- أبوت، ديف. Abbott, Dave "أسماك القرش". 2000. صفحة متاحة 7 يناير 2006.
- الأكاديمية الأميركية لطب ما حول الأسنان . "معلومات عن صحة الفم للعامة ". تم اسراجعته في 4 ديسمبر 2005.
- جمعية طب الأسنان الأمريكية. "رسوم بيانية لبزوغ الأسنان". تم استرجاعه في 12 ديسمبر 2005
- جمعية صحة الأسنان الأمريكية. "العوامل الغذائية في نمو الأسنان". تم استرجاعه في 10 ديسمبر 2005.
- جمعية صحة الأسنان الأمريكية. "الجدول الثاني. آثار نقص التغذية على نمو الأسنان". تم استرجاعه في 10 ديسمبر 2005.
- آش M. Ash الرئيسية وستانلي جيه نيلسون. ويلر في علم التشريح الأسنان، علم وظائف الأعضاء، واطباق الأسنان. طبعة 8. 2003. ISBN 0-7216-9382-2.
- Buchheim، جايسون. "دورة سريعة في علم الأسماك". الصفحة متاحة في 7 يناير 2006.
- كيت، أ ر 10. علم الأنسجة الفموية : تطور البنية والوظيفة. الطبعة 5. 1998. ISBN 0-8151-2952-1.
- Caceci، توماس. علم الأنسجة البيطرية مع عنوان فرعي "الجهاز الهضمي : التجويف الفموى ". تم استرجاعه في 15 ديسمبر 2005.
- Frandson لابحاث والتطولر، T.L. سبورجون.1992 علم التشريح وعلم وظائف الأعضاء في حيوانات المزرعة. الطبعة 5. فيلادلفيا، Philadelphia, Lea & Febiger.. ISBN 0-8121-1435-3.
- هاريس، F. ادوارد نمو القحفى الوجهى والتطور. في القسم المعنون "بزوغ الأسنان". 2002.
- هاواي الصحة. "الأسنان الأولية : الأهمية والعناية". تم استرجاعه في 12 ديسمبر 2005.
- جونسون، كلارك. " علم الأحياء لأسنان الإنسان ". 1998.
- كان، مايكل أ علم أمراض الفم والوجه والفكين الأساسي. المجلد الأول 2001.
- الاستكشافات الميكروسكوبية الشهرية "استكشاف لشهر يناير 1998".
- نيفيل وB.W.,، ودوغلاس دام، كارل ألين، Bouquot جيري. علم الأمراض الفم والوجه والفكين. طبعة 2. 2002. ISBN 0-7216-9003-3.
- Riolo، ومايكل ل وجيمس. ك.أفيري. أساسيات الممارسة لتقويم الأسنان. الطبعة 1. 2003. ISBN 0-9720546-0-X.
- روس، مايكل H.، غوردون أى، كاي، وPawlina اوجسيش. علم الأنسجة : نص وأطلس. طبعة 4. 2003. ISBN 0-683-30242-6.
- ساميت، جيمس ب، ج ويليام روبنز، وريتشارد س شوارتز. أساسيات طب الأسنان التحفظى : والنهج المعاصر. طبعة 2. كارول ستيرم، إيلينوي، شركة النشر الجوهر، وشركة عام 2001. ISBN 0-86715-382-2
- كلية طب الأسنان بجامعة جنوب كاليفورنيا. "المرحلة القبعية : صورة 26". تم استرجاعه في 11 ديسمبر 2005.
- كلية طب الأسنان بجامعة جنوب كاليفورنيا. "المرحلة القبعية : صورة 30". تم استرجاعه في 11 ديسمبر 2005.
- جامعة تكساس فرع طبي. " تمارين مختبرية : تطور الأسنان." صفحة هنا.
- وليامز، مايكل إ. " فكوك (جمع فك) : السنوات المبكرة ". 1992. الوصول إلى الصفحة 7 يناير 2006.
- WebMd. " صحة الأسنان : أسنان طفلك ". تم استرجاعه في 12 ديسمبر 2005.
- المجلة الدولية لعلم الأحياء التنموي. Odontogenesis Vol.39 تكوين الأسنان المجلد 39، العدد 1 (1995)
وصلات خارجية
- الأنثروبولوجيا البيولوجية (علم البشريات البيولوجى)والحمض النووي القديم
- قاعدة بيانات عن التعبير عن الجينات المختلفة في الأسنان النامية.
- علم الأجنة في جامعة نيو ساوث ويلز Notes/skin4a—نمو الأسنان غلافي، من قبل الدكتور مارك هيل
- علم الأنسجة البيطرية من قبل الدكتور توماس Caceci.
..
- بوابة طب
- بوابة طب الأسنان