نمو زغبي مشيمي غير ناضج
نمو زغبي مشيمي غير ناضج (بالإنجليزية:Placental villous immaturity) ويقصد بذلك عدم نمو الزغب المشيمي الذي هو عبارة عن نتوءات صغيرة تشبه الأصابع ممتدة من أوعية دموية خلال البطانة الرحمية؛أو خلل في نموها.الخلل في نمو هذه الزغابات المشيمية قد يكون سببا في بعض المشاكل خلال فترة الحمل.لقد لوحظ وجود رابط بين الحوامل المصابات بداء السكري [1] وبين نشوء هذا الخلل الذي قد يكون سببا في حدوث الوفيات الجنينة داخل الرحم.[2]
| نمو زغبي مشيمي غير ناضج | |
|---|---|
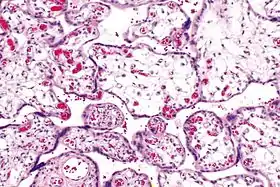
![]() صورة مجهرية للنمو الزغبي المشيمي غير الناضج (صبغة الهيماتوكسيلين والإيوسين) صورة مجهرية للنمو الزغبي المشيمي غير الناضج (صبغة الهيماتوكسيلين والإيوسين) | |
| معلومات عامة | |
| من أنواع | مضاعفات الحمل |
علم الأمراض
وكما يتضح لنا من اسم الاعتلال،فإن تشخيصه يتم برؤية زغبات مشيمية غير ناضجة خلال فترة الحمل.إن نمو ونضج الزغبات المشيمية ضروري للنمو السليم للجنين.تختلف الزغبات المشيمية الغير ناضجة عن الزغبات المشيمية الناضجة كونهاأكبر حجما وتترتبط بها أوعية دموية مركزية كثيرة مقارنة بالزغبات الطبيعية.وبناء على ذلك فإن عملية وصول الغذاء للجنين عن طريق المشيمة تصبح أصعب؛ نظرا لازدياد المسافة التي يتم تبادل الغازات والغذاء عبرها،وبالتالي فإن وظيفة المشيمة تعتبر معطلة.
انظر أيضاً
صور إضافية
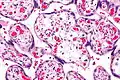
نمو زغبي مشيمي غير ناضج (تَكبير مرتفع)
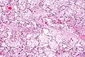
نمو زغبي مشيمي غير ناضج (تَكبير منخفض)
المراجع
- Arizawa, M.; Nakayama, M.; Kidoguchi, K. (Jun 1991). "[Correlation of placental villous immaturity and dysmaturity with clinical control of maternal diabetes]". Nihon Sanka Fujinka Gakkai Zasshi. 43 (6): 595–602. PMID 1856519. الوسيط
|CitationClass=تم تجاهله (مساعدة) - Stallmach, T.; Hebisch, G. (Jul 2004). "Placental pathology: its impact on explaining prenatal and perinatal death". Virchows Arch. 445 (1): 9–16. doi:10.1007/s00428-004-1032-2. PMID 15138817. الوسيط
|CitationClass=تم تجاهله (مساعدة)
- بوابة طب
