نهام عصبي
النهام العصبي[1] أو النُهامٌ العُصابي [2] أو بوليميا أو الشره العصبي أو الشره المرضي العصبي هو أحد اضطرابات الأكل يتمثّل بالشراهة عند تناول الطعام التي تُتبع بالتطهير أو التفريغ. يُقصد بالشّرَه تناول كميات كبيرة من الطعام خلال مُدّة زمنية قصيرة. أمّا التطهير فيقصد به مُحاولة التخلّص من الغذاء المُستهلك، ويُمكن القيام بذلك عن طريق التقيؤ الذاتي أو تناول المسهلات.[3] من الجهود الأُخرى المبذولة في سبيل إنقاص الوزن تتضمن استخدام مدّرات البول، المنشطات، الصّوم، أو الإفراط في ممارسة التمارين الرياضية.[3][4] معظم الأشخاص المُصابين لديهم أوزان طبيعية.[5] قد يؤدي التقيؤ الذاتي، أي الذي يُسبّبه الشخص لنفسه، إلى زيادة سُمك الجلد على البُرْجُمَة وانهيار الأسنان. وكثيرًا ما يرتبط الشره باضطرابات عقلية مثل الاكتئاب، القلق، ومشاكل إدمان المخدرات أو الكحول.[3] وهناك أيضا نسبة خطورة أعلى للانتحار وإيذاء النفس.[6] ينتشر النهَم العصبي في العائلات وتكون أكثر شيوعا في حال وجود قريب من الدرجة الأولى مصابا به.[3] نسبة الخطر التي يُساهم بها العامل الوراثي من 30%-80%.[4] من العوامل الأخرى التي تزيد من خطورة الإصابة بالنّهم العصبي: الضغط النفسي، الضغط الثقافي حول نمط جسم معين، ضعف الثقة بالنّفس والبدانة.[3][4] وكئلك العيش في ثقافة تُشجّع على اتباع نظام غذائي معيّن أو مع آباء قلقين على أوزان أبنائهم يزيد من الخطر أيضا.[4] يستند التشخيص على التاريخ الطبي للشخص.[7] ومع ذلك، يكون التشخيص صعبًا وذلك لأن الناس عادةّ ما يبقون عادة شرههم المتبوع بالتطهير سرًا.[4] علاوةً على ذلك، فإن تشخيص مرض (القهم العصبي) له الأسبقية على النهم العصبي.[4] ومن الأمثلة على الاضطرابات الأخرى المشابهة: اضطراب الأكل، متلازمة كلين ليفين، واضطراب الشخصية الحدية.[7]
| نهام عصبي | |
|---|---|
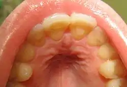
![]() فقدان مينا الأسنان من داخل الأسنان العلوية الأمامية كنتيجة للنهم العصبي فقدان مينا الأسنان من داخل الأسنان العلوية الأمامية كنتيجة للنهم العصبي | |
| معلومات عامة | |
| الاختصاص | طب نفسي |
| من أنواع | نهام عصبي |

العلاج السلوكي المعرفي
هو العلاج الأساسي في الشره المرضي.[3][8] قد تكون مضادات الاكتئاب من فئة مثبطات امتصاص السيروتونين الانتقائية (SSRI) أو فئة ثلاثية الحلقاتtricyclic) antidepressant ) لها فائدة ضئيلة.[4][9] في حين أن النتائج مع الشره المرضي عادة ما تكون أفضل من تلك في فقدان الشهية، وخطر الوفاة بين المصابين هو أعلى من عموم الناس.[6] بعد 10 سنوات من تلّقي العلاج حوالي 50٪ من المصابين تحسّنت حالتهم بشكل كامل.[4] وعلى الصعيد العالمي، يُعاني 6.5 مليون مريض من الشره المرضي في عام 2013.[10] ما يقارب 1٪ من الفتيات يُعانين من الشّره العصبي في فترة معيّنة من حياتهن، ونحو 2%-3% من النساء يُصبن بالنّهم في مرحلة ما من حياتهن.[6] النهّم العصبي أقل شيوعًا في الدّول النامية.[4] النساء عُرضة للإصابة أكثر من الرجال بتسع مرّات. بين النساء، المعدلات أعلى ما يمكن في مرحلة الشباب.[7] سُميّت هذه الحالة ووُصفت لأول مرّة من قبل أخصّائي النفس البريطاني " جيرالد راسيل‘‘ في عام 1979.[11][12]
أنواع النُهام العصبي
هناك نوعان ثانويان من مرض النهام العصبي: التفريغي (المطهر)،وغيرالتفريفي (غيرالمطهر) النوع التفريغي: وهو الأكثر انتشارا بين النوعين ويتضمن سلوكيات معدلة مثل التقيؤ الذاتي، (الذي قد يشمل استخدام دواء مقيئ كشراب عرق الذهب)، وتسهيل البطن الذاتي (التي قد تشمل استخدام المسهلات والملينات، الأدوية المدرة للبول، والحقن الشرجية)؛ لإزالة الطعام من الجسم بسرعة قبل هضمه. النوع غير التفريغي: الذي يحدث فقط مع قرابة 6%- 8% من الحالات، الذي يتضمن سلوكيات تعويضية غير تفريغية كالرياضة المفرطة أوالصوم بعد نوبة الدقر لموازنة مقدار السعرات الحرارية بعد الأكل. مرضى الشره العصبي المطهر قد يلجؤون للرياضة و الصوم أيضا، لكن كاختيار ثانوي للتحكم بالوزن.
العلامات والأعراض

للمرض دورات متتالية من الأكل السريع والخارج عن السيطرة، والتي قد يُوقفها مقاطعة أحد الأشخاص للمريض أو آلام المعدة بسبب تمددها المفرط، تُتبع بإجبار الشخص نفسه على التقيؤ أو غيره من وسائل التطهير. قد تتكرر هذه الدورة عدّة مرّات في الأسبوع الواحد أو، في الحالات الأخرى الأكثر خطورة، عدّة مرات في اليوم.[13] وقد يؤدي النهم بشكل مباشر إلى:
- الارتجاع المعدي المزمن بعد الأكل
- اختلال توازن الكهارل ( Electrolyte imbalance)، والذي يمكن أن يؤدّي إلى اضطراب
- الجفاف ونقص بوتاسيوم النّاجم عن القيء المتكرّر
ضربات القلب، السكتة القلبية، وحتى الموت.
- التهاب المريء، أو تهيُّج في المريء
- متلازمة بورهاف (انثقاب المريء) ، تمزق في جدار المريء بسبب التقيؤ
- رَضح فموي، أي تمزق للأغشية المُبطِّنة للفم أو الحلق وذلك بسبب الإدخال المتكرر للإصبع أو غيره من الأدوات لإحداث التقيؤ.
- خَزَل المعدة أو تأخر الإفراغ
- تجرحات مالوري فايس [14]
- الإمساك
- العقم
- تضخم الغدد في الرقبة وتحت خط الفك
- القرحة الهضمية
- كَنَب وهو نسيج صلب يتكوّن في منطقة انكسار العظام في مرحلة الترميم أو ندوب على باطن الكف بسبب رضّها المستمر من الأسنان القاطعة.[15][16]
- تقلبات مستمرة في الوزن (شائع)
الاتصال المتكرر بين الأسنان والحمض المعدي، على وجه الخصوص، قد يسبب:
- تآكل الأضراس أو تآكل مينا الأسنان.[14]
- تآكل الأسنان الحاد.
- انتفاخ الغدد اللعابية.[14][17]
- جَزْرٌ مَعِدِيٌّ مَريئِيّ (Gastroesophageal reflux) الناتج عن القيء المّستمر.[18]
من العلامات التي قد تشير إلى ما إذا كان شخص ما يُعاني من الشره المرضي العصبي:[19]
- الحرص الشديد المرضي على السعرات الحرارية المستهلكة
- الحرص الشديد المرضي على الوزن
- انخفاض احترام الذات
- انخفاض ضغط دم
- عدم انتظام الدورة الشهرية
- ذهاب مستمر إلى الحمام
- اكتئاب
- الحوادث المتكررة التي تنطوي على استهلاك كميات كبيرة بشكل غير طبيعي من المواد الغذائية.[20]
كما في العديد من الأمراض النفسية، يُعاني مرضى النّهم العصبي من الأوهام وغيرها من الأعراض والعلامات التي تجعلهم يعتقدون، بشكل خاطئ، بأنهم غير مرغوبً بهم عند الآخرين.[21] قد يعاني الشخص أيضًا من مضاعفات جسمانية كالتكزُزّ، نوبات صرع، اضطراب في ضربات القلب، ووهن العضلات وذلك بحسب التصنيف الدولي للأمراض الصادر عن منظمة الصحة العالمية ICD-10. [بحاجة لمصدر]قد يفرط الأشخاص الذين يعانون من الشره المرضي العصبي بممارسة الرياضة إلى الحد الذي يمنعهم من القيام بأي أنشطة أّخرى.[21]
اضطرابات ذات علاقة
الأشخاص المصابون بالنّهم العصبي هم أكثر عرضة للإصابة بالاضطرابات العاطفية كالاكتئاب واضطراب القلق العام من غيرهم. في عام 1985، قامت جامعة كولومبيا بعمل دراسة على إناث مصابات بالنهم في معهد ولاية نيويورك للصحة النفسية، ووجدت أن 70% منهنّ عانينَ من الاكتئاب في فترة ما من حياتهنْ (في حين أن النسبة لدى نساء العيّنة القياسية من عامّة الشعب كانت 25.8%)، وترتفع النسبة إلى 88% إذا أخذنا جميع الاضطرابات النفسية بعين الاعتبار.[22] وجدت دراسة أخرى أجرتها مستشفى الأطفال الملكي في ملبورن على جماعة من 2000 مراهقا أن من تنطبق عليه صفتان على الأقل من مقياس تشخيص النهام العصبي أو القهم العصبي الموجودة في الكتيب التشخيصي والإحصائي للأمراض العقلية تزداد احتمالية إصابتهم بالقلق 6 مرات وتتضاعف احتمالية إصابتهم بالإدمان على المخدرات.[23] بعض الذين يعانون من مرض فقدان الشّهية العصبي معرضون لنوبات من النهم العصبي من خلال قيامهم بالتطهير ( إما بالتقيؤ الذاتي أو تناول المسهلات) كطريقة سريعة لتخليصهم من الغذاء الموجود في أجسامهم.[24] للنهم العصبي آثار سلبية وخيمة على صحة أسنان المُصابين نتيجة مرور الأحماض المتكرّر خلال الفم أثناء التقيؤ مُسببًا تآكلًا حمضيًا خصوصًا على الأسطح الخلفية للأسنان.
التشخيص
غالبًا ما تظهر بدايات مرض النهام العصبي أثناء فترة المراهقة (بين 13 -20 سنة)، وفي حالات كثيرة يكون المرضى قد عانَوا سابقًا من السُّمنة، قد ينتكس كثير من الذين عانوا من النهم سابقًا في فترة البلوغ فيصابُوا بنوبات الشره والتطهير حتى بعد المعالجة الأولية الناجحة والتامة للمرض.[25] يُشكل المرضى البالغون نسبة 0.5% مقارنةً بالمراهقين الذين يّشكلون 0.9 % وذلك حسب عينة مأخوذة من سكان الولايات المتحدة.[26] يؤثر المرض على 1% من الفتيات نصفهم يتعافى تمامًا بعد 10 سنوات، ثلثهم بشكل جزئي و 10%-20% ستستمر معهن الأعراض.[4] المراهقون المصابون بالنّهم العصبي هم أكثر عرضة لحالة "الكمالية" بإجبار ذاتي وتسلط تجاه الأكل مقارنة بنظائرهم. وهذا يعني أنّ تلك التوقعات العالية والأهداف الغير واقعية التي وضعتها هذه الفئة لنفسها هي التي تّحفزهم داخليًا أكثر من وجهات النظر الاجتماعية والتّوقعات.[27]
المعايير
قد يكون من الصعب تشخيص النهام العصبي، بالمقارنة مع مرض فقدان الشهية العصبي (القهم العصبي)؛ وذلك لأنّ مرضى النهم تكون أوزانهم إمّا طبيعية، أو أقل أو أعلى قليلًا من المتوسط. كثير من مرضى النّهام يُعانون من اضطراب واضح في الأكل و في أنماط ممارستهم الرياضة دون انطباق المعايير التشخيصية الكاملة للإصابة بالمرض.[28] مؤخرًا، تمّت مراجعة الدليل التشخيصي والإحصائي للاضطرابات العقلية، نتج عنها جعل المعيار المتعلق بتشخيص النهم العصبي والقهم العصبي أكثر مرونة.[29] المعايير المتبعة بحسب هذا النظام تتضمن نوبات متكررة من الأكل الشره (نوبة منفصلة من الافراط بالأكل حيث يشعر المرء بعدم قدرته على السيطرة على الكميات التي يستهلكها)، تتبعها سلوكات تعويضية أو تمارين غير ملائمة للتعويض وتجنب زيادة الوزن.[30] يتطلب التشخيص أيضا أن تحدث نوبات التصرفات التعويضية وشره الأكل مرة أسبوعيا لفترة مستمرة تقدر بثلاثة أشهر على الاقل.[31] يتم عمل التشخيص فقط إذا كان السلوك ليس جزءا من مجموعة اعراض النهم العصبي أو عندما يعكس السلوك حرص مفرط على وزن الجسم والمظهر.[32]
الأسباب
الأسباب الحيوية (البيولوجية)
كما هو الحال مع مرض القهم العصبي، يلعب العامل الجيني دورًا يساهم في بداية ظهور هذا اضطراب الأكل.[33] هنالك علاقة بين السلوكات الغذائية المُختلّة والمستويات الغير طبيعية لبعض الهرمونات، على وجه التحديد مستوى هرمون السيرتونين. حاليًا يتم دراسة ما إذا كان عامل التغذية العصبية المستمد من الدماغ (BDNF) له دور في هذا الاضطراب.[34][35] هناك دليل على أن الهرمونات الجنسية قد تؤثر على الشهية والأكل عند النساء وعلى بداية ظهور مرض الشره العصبي؛ بيّنت الدراسات أن النساء اللواتي يعانينَ من فَرْط الأُندروجينَّية ومتلازمة تكيُّس المبايض لديهن شهية مضطربة جنبًا إلى جنب مع الكربوهيدرات والدُّهون. وتُرى هذه التقلبات في الشهيّة أيضّا عند النساء المصابات بالنّهم العصبي. إضافةً إلى ذلك أظهرت دراسات تنحية جين معين في الفئران أن الفئران التي لديها الجين المُشفِّر لمستقبلات الإستروجين قلّت خصوبتها بسبب الخلل الوظيفي في المبيض وخلل في تنظيم مستقبلات الأندروجين في البشر، هناك دليل على وجود علاقة بين تعدد أشكال مستقبل الإستروجين بيتا βER) والنّهم العصبي، مما يوحي بوجود علاقة بين الهرمونات الجنسية والنهم العصبي.[36] قُورِن النهم العصبي بإدمان المخدرات، بالرّغم من أنّ الدعم التجريبي لهذا التوصيف محدود.[37] ومع ذلك يشترك مرضى النّهم العصبي مع ذوي اضطرابات تعاطي المخدرات في الإصابات المتعلقة بمستقبلات الدوبامين D2)).[38]]يرتبط اتباع نظام غذائي مُعيّن، وهو سلوك شائع بين المصابين، بانخفاض مستويات التريبتوفان في البلازما. [بحاجة لمصدر] يؤدي انخفاض مستويات التريبتوفان في الدماغ، وبالتالي انخفاض تصنيع السيروتونين، إلى زيادة إثارات النهم في مصابي النهم بشكل حالي أو سابق خلال ساعات.[39][40]
العامل الاجتماعي
تُعَد صورة الجسم المثالي التي تقوم وسائل الإعلام بتسويقها من العوامل المحفزة للنّهم العصبي بشكل واسع جدًا.[21] في دراسة أجراها ويلتزين، هسو، بوليكل، وكاي عام 1991 تبيّن أن 19% من المصابين يأكلون كميات أقل من اللازم، 37% يأكلون كميات طبيعية بحسب المتوسِّط، 44% يأكلون كميات أكبر من اللازم.[41] وكذلك وجدت دراسة مسحية أُجريت على فتيات مدرسة تقع أعمارهن بين 15-18 سنة في نادروجا، فيجي، أن نسبة اللواتي يقمن بالتطهير الذاتي، التقيؤ الذاتي وغيره، ارتفعت من 0% عام 1995، بعد أسابيع قليلة من ظهور التلفاز في المحافظة، إلى 11.3% عام 1998.[42] علاوةً على ذلك، فإن معدل الانتحار بين مرضى النهم العصبي أعلى بسبع مرّات ونصف المرّة مقارنةً بعامة السّكان.[43] عند محاولة فك أصل الشره العصبي المرضي في سياق معرفي، فإن نموذج فيربيرن (Faireburn ) المعرفي هو المقياس الذهبي. يناقش هذا المقياس الآلية التي يقع فيها الاشخاص في دورة من التطهير الذاتي وبالتالي يتطّور لديهم النهم العصبي. ويُناقش أيضًا قلق المرضى الشديد على أوزانهم وأشكال أجسامهم المقترن بانخفاض تقديرهم لذواتهم؛ وهذا من شأنه أن يؤدي إلى وضع قواعد غذائية صارمة، جامدة وغير مرنة. ووفقًا لذلك، فإن هذا من شأنه أن يؤدي إلى تقييد غير واقعي وصارم على الطعام من قبل المصابين، والذي قد يؤدي إلى الانزلاق في نهاية المطاف حيث يبدأ الفرد بارتكاب مخالفات بسيطة لتلك القواعد الغذائية الصارمة وغير المرنة. علاوةً على ذلك، التشوه المعرفي الذي يطرأ على المصابين نتيجة تفكيرهم المنقسم يقودهم إلى الشره. ثم يبدأ الشره تدريجيا بتحفيز إدراك فقد السيطرة، وبالتالي يشجع الشخص على التطهير لمجابهة الشره. مع ذلك، فإن نموذج Fairburn يعتبر أن نوبات النّهم العصبي تعيد نفسها، وبالتالي اعتبرت دورة النهم-القيء أنها مستدامة ذاتيا.[44][بحاجة لمصدر]على النقيض من ذلك، فإن نتائج نموذج بيرني وميكلين يختلف قليلا عن نموذج fairburn)) المعرفي من حيث أنه يرى أن الدافع الرئيسي للقيام بالتطهير هو المحافظة على الوزن والرشاقة. يشير بيرني وميكلين إلى أن هذا يجعل الشخص معرضا للشره، مشيرا إلى أنها ليست نوبة شره متبوعة بالتطهير بل هي نوبة تطهير متبوعة بالشره؛ حيث يتم القيام بالتقيؤ الذاتي أولًا قبل الشره. وبالمثل، فإن النموذج المعرفي السلوكي للنهم العصبي في fairburn) ) ليس بالضرورة أن ينطبق على جميع الأفراد وهو بالتأكيد نموذج قاصر. كل شخص يختلف عن الاخر، فأخد سلوك معقد كالنهم وتطبيق نفس النظرية على كل شخص سيكون بالتأكيد غير صالح. بالإضافة إلى ذلك، فإنّ النموذج الثقافي المعرفي للنّهم العصبي عليه قيود ثقافية جمّة و التي قد لا تنطبق بالضرورة على ثقافات خارج المجتمع الغربي. لتقييم نموذج (fairburn) وبشكل أعّم التفسير المعرفي للنّهم العصبي هو وصفي أكثر من كونه تفسيري، كما أنه لا يُفسّر بالضرورة كيفية نشوء الشره العصبي. وعلاوةً على ذلك، فإنّه من الصعب التأكد من السبب والنتيجة لأنّه من الممكن أن يكون الأكل المضطرب هو الذي أدّى إلى اضطراب معرفي بدلًا من العكس.[45][46] كشقت دراسات عديدة عن وجود علاقة بين الإدمان الجنسي وتطوّر النهم العصبي. وكذلك فإن معدّل انعدام الرغبة الجنسية المسجل لدى المصابين بالنّهم العصبي هو أعلى من المصابين بالقهم العصبي.[47] عند استكشاف مسبّبات النّهم العصبي من منظور اجتماعي ثقافي، وُجد أنّ " اقتباس المرء لمُثُل مجتمعه" مؤثرّة بشكل كبير. "اقتباس المرء لمثل مجتمعه" هو أعلى مدى يتكيف فيه الافراد للمثل الاجتماعية للجاذبية. حيث أظهرت الدراسات أن الفتيات اللواتي يقرأن مجلات الموضة أكثر عرضة للإصابة بأعراض النهم من الفتيات اللاتي لا يفعلن. وهذا يوضح تأثير وسائل الإعلام على احتمالية تطور الاضطراب.[48] في البدايةً يتقبل ويقلد الأفراد المثاليات المفروضة من قبل مجتمعاتهم، ومن ثم يحاولون تحويل أنفسهم لإبراز المُثل المجتمعية للجاذبية. يدّعي كُل من كيفن طومسون وإريك ستايس أن الأسرة، الأقران، ومعظم وسائل الاعلام تعزز فكرة النحافة المثالية، والتي تؤدي إلى قبول الافراد وتقليدهم لمثالية النحافة. بدوره، طومسون وستايس يؤكدان بأنّه إذا قبل الفرد بهذه المُثل سيبدأ بالشعور بعدم الراحة من شكل أوحجم جسدهم بما أنه لا يعكس بالضرورة المثل المفروضة من قبل المجتمع. اتالي، شعور الاشخاص بعدم الرضى عن أجسادهم قد يؤدي إلى معاناتهم من عدم الرضى الجسدي وقد يتطور انسياق معين نحو النحافة. ونتيجة لذلك، فإن عدم الرضى الجسدي مع الانسياق إلى النحافة يُعتقد بأنه يشجع الفرد على اتباع نظام غذائي معين، الأمر الذي قد يؤثر سلبًا على الفرد، الأمر الذي قد يؤدي في نهاية المطاف إلى الإصابة بأعراض النهم كالقيء والشره. والشره يؤدي إلى قرف ذاتي والذي يؤدي إلى القيء لمنع اكتساب الوزن.[49] دراسة صممت لمراقبة "اقتباس مثل النحافة" كعامل للإصابة بالنهم العصبي هي بحث كل من طومسون وستايس. كان هدف هذه الدراسة هو مراقبة كيف وإلى اي درجة يؤثر الإعلام على اقتباس مثل النحافة. استخدم طومسون وستايس تجارب عشوائية (برامج على وجه الخصوص) مصممة لتعليم الفتيات كيف يصبحن حاسمات عندما يتعلق الموضوع بالإعلام، بهدف تقليل "اقتباس مثل النحافة". أظهرت النتائج أنه بخلق وعي حول التحكم الإعلامي للمثل المجتمعية للجاذبية، فإن اقتباس مثل النحف قلت بشكل ملحوظ. بكلمات أخرى، انخفاض صور مُثُل النحافة التي يروجها الاعلام نتج عنها انخفاض"اقتباس مثل النحافة". بالتالي، طومسون وستايس أقروا في النهاية أن الإعلام أثر بشكل كبير على "اقتباس مثل النحافة".[50] أظهر بابيز أنه ليس مثال نحافة بحد ذاته، ولكن علاقة ذاتية مع أشخاص آخرين بوزن معين هو الذي يحدد كيف يشعر المصاب بالنهم العصبي. الاشخاص الذين يربطون أنفسهم بنماذج نحيفة يكون موقفهم إيجابي عندما يرون نماذج نحيفة والأشخاص الذين يربطون أنفسهم مع الوزن الزائد يكون موقفهم سلبياً عندما يرون نماذج نحيفة. علاوة على ذلك، يمكن تعليم كيفية الارتباط مع أشخاص نحيفين.[51]
العلاج
هنالك نوعان رئيسان لعلاج المصابين بالنهم العصبي؛ الأول علاج نفسي-دوائي والثاني علاج نفسي-اجتماعي.[52]
العلاج النفسي
هناك العديد من العلاجات النفسية-الاجتماعية المُثبتة لعلاج النّهم العصبي. العلاج المعرفي السلوكي CBT))، حيث يقوم هذا العلاج على تعليم المريض كيف يتحدّى أفكاره التلقائية والمشاركة في تجارب سلوكية (مثلًا المشاركة في جلسات "الأطعمة المحظورة") ويجب التنويه هنا أن العلاج المعرفي السلوكي عليه عدد قليل من الأدلة التي تدعم استخدامه.[53] يقوم الأشخاص الذين يُعالجون بالعلاج المعرفي السلوكي بتسجيل كميات الطعام التي يتناولها ونوبات التقيؤ الذاتي بغرض تحديد وتجنُّب التقلبات العاطفية التي تتسبب بحدوث النوبات على أساس منتظم.[54] يقول باركر (2003) بأن الأبحاث وجدت أن 40%-60% من المرضى الذين يُعالجون بهذه الطريقة أصبحوا خاليين من الأعراض . وينوّه أيضًا أنه من أجل أن ينجح العلاج، يجب على جميع الأطراف أن تعمل معًا لمناقشة وتسجيل وتطوير استراتيجيات المواجهة . ويقول باركر (2003) بأنّه جعل الناس حذرين من أفعالهم، يدفعهم للتفكير في البدائل.[55][56] المرضى الذين يعالجون ب CBT والذين يُظهرون التغيرات السلوكية مبكرًا هم الأكثر احتمالًا لتحقيق أفضل نتائج للعلاج على المدى الطويل.[57] سجّل الباحثون أيضاً بعض النتائج الإيجابية للعلاج النفسي بين الأشخاص والعلاج السلوكي الجدلي.[58][59] وقد أظهر "علاج مودسلي العائلي"، والذي تم تطويرُه في مستشفى مودسلي في لندن، لعلاج مرض فقدان الشهيّة العصبي نتائج واعدة في علاج مرض النّهم العصبي.[60] وقد تبيّن أن استخدام العلاج السلوكي المعرفي (CBT) فعّال قليلا لعلاج الشره المرضي العصبي (BN) في البالغين، ولكن تم القيام بالقليل من الأبحاث على فاعلية العلاج من المصابين المراهقين.[61] على الرغم من أن ينظر على أن CBT أكثر تكلفة ويساعد الأفراد المصابين بالنهم العصبي في الرعاية التوجيه الذاتي، العلاج الأسري (FBT) قد يكون أكثر فائدة للمراهقين الصغار الذين يحتاجون إلى المزيد من الدعم والتوجيه من أسرهم. حيث أن المراهقين في مرحلة لا تزال فيها عقولهم طيّعة قليلا وتتطور تدريجياً .[62] ولذلك؛ المراهقون المصابون بالنّهم لا يدركون النتائج الضّارة للنّهم العصبي ويكون دافعهم للتغيّر ضعيف،[63] وهذا هو السبب في كون العلاج الأُسري FBT أكثر فاعلية في المراهقين الذين يحتاجون للدعم والتشجيع.[61] العمل مع مرضى النهم وأسرهم في العلاج الأسري FBT يُمكّن العائلات من خلال المشاركة في الخيارات الغذائية لأبنائهم وسلوكياتهم، واتخاذ المزيد من السيطرة على الوضع في البداية و السماح تدريجيًا للمراهق بالاستقلال عندما يتعلمون العادات الصحية للأكل.[61]
الدواء
قد يكون لمضادات الاكتئاب من فئة مثبطات امتصاص السيروتونين (SSRI) فائدة بسيطة في علاج النهم .[9] وتشمل فلوكستين fluoxetine، وتمت الموافقة عليه من إدارة الأغذية والعقاقير الأمريكية FDA""، لعلاج الشره المرضي وسيرترالين" sertraline " وغيرها. وقد يكون دواء توبيراميت Topiramate مفيد أيضًا ولكنه لديه آثاره الجانبية أكثر.[9] ومن غير المعروف ما إذا كان الجمع بين الدواء والإرشاد يُحسّن النتائج. حيث أن أي تجربة افترضت أن الجمع بينهما يُحسّن النتائج لم يثبت أن تكون قوية بشكل استثنائي. ومن بعض النتائج الإيجابية للعلاجات ما يلي: الامتناع عن الشراهة عند تناول الطعام، انخفاض في السلوكيات الوسواسية لانقاص الوزن والانشغال بالشكل، والأعراض النفسية أقل حدة، والرغبة في مواجهة آثار الشراهة عند تناول الطعام، فضلا عن التحسن في الأداء الاجتماعي و معدلات الانتكاس.[4]
الطب البديل
وقد ادعى بعض الباحثين أن العلاج بالتنويم المغناطيسي له نتائج إيجابية.[64]
علم الأوبئة
هناك القليل من البيانات حول النسبة المئوية للأشخاص الذين يعانون من الشره المرضي في عامة السكان. وكانت معظم الدراسات التي أجريت حتى الآن على عينات مُلائمة من المرضى في المستشفيات والمدارس الثانوية أو طلاب جامعات. وقد أسفرت عن مجموعة واسعة من النتائج: بين 0.1٪ و 1.4٪ من الذكور، وبين 0.3٪ و 9.4٪ من الإناث.[65] و الدراسات التي أُجريت على الامتداد الزمني لانتشار الشره المرضي العصبي أسفرت عن نتائج متضاربة أيضًا.[66] وفقا لجيلدر، مايو وجيديس (2005) بأن الشره المرضي العصبي هو السائد بين 1 و 2 في المئة من النساء الذين تتراوح أعمارهم بين 15-40 عاما. الشره المرضي العصبي أكثر شيوعا في الدول المتقدمة[54] وفي المدن، وجدت دراسة أن الشره المرضي أكثر انتشارًا بخمس مرات في المدن منه في المناطق الريفية.[67] وهناك تصور أن الشره المرضي هو الأكثر انتشارا بين الفتيات من أسر الطبقة الوسطى،[68] ولكن في عام 2009 وجدت دراسة أن فتيات الأسر ذات الدخل المتدنّي أكثر عرضة للإصابة بالنهم بنسبة 153 في المئة من فتيات الأسر ذات الدخل المرتفع.[69] هناك ارتفاع في معدلات الإصابة باضطرابات الأكل في المجموعات العاملة في الأنشطة التي تحتاج بنية جسدية نحيلة، مثل الرقص،[70] الجمباز، عرض الأزياء ، التشجيع، الركض، التمثيل، السباحة، الغوص، التجديف والتزلج على الجليد. ويُعتقد بأن الشره المرضي يكون أكثر انتشارًا بين القوقازيين،[71] ومع ذلك أظهرت دراسة حديثة أن المراهقات الأمريكيات من أصول إفريقية كُنّ أكثر عرضة بنسبة 50 في المئة من البنات ذوات البشرة البيضاء للإصابة بسلوك النهم، بما في ذلك النهم والقيء.[72]
| الدولة | العام | حجم العينة ونوعها | النسبة المئوية للمصابين | |
|---|---|---|---|---|
| استراليا | 2008 | 1,943 مراهقين (عام 15–17) | 1.0% ذكور | 6.4% إناث[23] |
| البرتغال | 2006 | 2,028 طلاب الثانوية | 0.3% إناث[73] | |
| البرازيل | 2004 | 1,807 طلاب (عام 7–19) | 0.8% ذكور | 1.3% إناث[74] |
| إسبانيا | 2004 | 2,509 فتيات مراهقات (عام 13–22) | 1.4% إناث[75] | |
| المجر | 2003 | 580 مواطنون من بودابست | 0.4% ذكور | 3.6% إناث[70] |
| استراليا | 1998 | 4,200 طلاب الثانوية | 0.3% ذكور وإناث[76] | |
| الولايات المتحدة الامريكية | 1996 | 1,152 طلاب كلية | 0.2% ذكور | 1.3% إناث[77] |
| النرويج | 1995 | 19,067 مرضى نفسيين | 0.7% ذكور | 7.3% إناث[78] |
| كندا | 1995 | 8,116 (عينة عشوائية) | 0.1% ذكور | 1.1% إناث[79] |
| اليابان | 1995 | 2,597 طلاب ثانوية | 0.7% ذكور | 1.9% إناث[80] |
| الولايات المتحدة الامريكية | 1992 | 799 طلاب كلية | 0.4% ذكور | 5.1% إناث[81] |
تاريخ المرض
أصل التسمية
الشره المرضي مصطلح يأتي من الكلمة اليونانية بمعنى نهام "βουλιμία" اليوناني، "نهم الجوع"[82] وحرفيًا، فالشره المرضي العصبي يعني مرض الجوع الذي يؤثر على الجهاز العصبي.
قبل القرن العشرين
على الرغم من أن المعايير التشخيصية لمرض الشره العصبي لم تظهر حتى عام 1979، تشير الدلائل أن الشره والقيء الذاتي كان شائعًا في بعض الثقافات القديمة. تم تسجيل أول حالة تشبه الشره المرضي العصبي في زينوفون Xenophon’s Anabasis حوالي 370 قبل الميلاد، والتي قام به جنود يونانيون بتطهير أنفسهم في جبال آسيا الصغرى. ومن غير الواضح ما إذا كان القيء قد سُبق بنهم.[83] وفي مصر القديمة، أوصى الأطباء بالقيام بالتطهير مرة واحدة في الشهر لمدة ثلاثة أيام وذلك للحفاظ على الصحة.[84] وهذه الممارسة تنبع من الاعتقاد بأن الأمراض التي تصيب الإنسان سببها الطعام نفسه . في روما القديمة، فإن صفوة أفراد المجتمع كان يقومون بالقيء الذاتي من أجل "إفساح المجال" في معدهم للمزيد من المواد الغذائية يوميًا.[84] كان الأباطرة كلوديوس وفيتليوس يعانون من الشره والسمنة، وغالبًا ما كانوا يلجأون إلى عادة التطهير.[84] تشير السجلات التاريخية أيضًا أن بعض القديسين الذين كانوا يعانون من فقدان الشهية المرضي (نتيجة للحياة الزهدة) ربما عانوا أيضًا من سلوك النهم العصبي.[84] القديسة مريم المجدلية دي باتسي (1566-1607) وسانت فيرونيكا جولياني (1660-1727) عانوا من النهم، كما كانوا يعتقدون، في إغراءات الشيطان.[84] ومن المعروف أن سانت كاترين سيينا (1347-1380) قد امتنعت كليًّا عن الطعام من خلال قيامها بالتطهير كتعويض عن خطاياها. توفيت كاترين نتيجة للحرمان من الطعام في سن الثلاثة وثلاثين.[84] يعد الاضطراب النفسي "الشره المرضي العصبي" جديداً نسبيًا، إلا أن مصطلح "الشره المرضي" ظهر منذ قرون.[84] و أشار تلمود بابل إلى ممارسات "الشره المرضي"، ولكن يعتقد العلماء أن هذا مجرد إفراط في تناول الطعام دون أن يتضمن التطهير أو الآثار النفسية التي تصاحب الشره المرضي العصبي.[84] وفي الواقع، كشف بحث عن أدلة على الشره المرضي العصبي من القرن 17 إلى أواخر القرن 19 أنه ليس هناك سوى ربع الحالات التي تعاني من الإفراط في تناول الطعام تقيؤوا بعد الشره. ولم يكن هناك أي دليل على القيء المتعمد أو محاولة للسيطرة على الوزن.[84]
القرن العشرون
في مطلع هذا القرن، وُصفت الأعراض السريرية للشره المرضي (الإفراط في تناول الطعام) ، ولكن نادرًا ما وصف في سياق السيطرة على الوزن.[85] مع ذلك فإن الأشخاص المصابين بالقهم العصبي مارسوا التطهير وعزيت ممارستهم هذه أنها بسبب آلام المعدة بدلًا من كونها طريقة للسيطرة على الوزن. في عام 1930، تم السماح بإدخال مرضى فقدان الشهية العصبي القبول في مايو كلينيك في الفترة ما بين1917-1929. 55-65 في المئة من هؤلاء المرضى تم تسجيل قيامهم بالتقيؤ الذاتي من أجل تخفيف مخاوفهم حول أوزانهم. وتشير السجلات إلى التقيؤ الذاتي "التطهير" للحفاظ على الوزن استمرت طوال منتصف 1900. العديد من الدراسات التي أُجريت على الحالات من هذه الحقبة بيّنت أنهم يعانون من وصف جديد يُدعى الشره المرضي العصبي. [84] المريضة D، التي نشأت مع والدها المستبد، الذي كان يشمئز من وزنها، حيت ستمتنع عن تناول الطعام لبضعة أيام، كي تفقد وزنها بسرعة. ايلين ويست، مريضة عاينها لودفيغ بنسوانغر في عام 1958، والتي تمت مضايقتها من قبل أصدقائها بسبب وزنها حيث قامت بتناول حبوب الغدة الدرقية بإفراط لإنقاص وزنها، في وقت لاحق قامت باستخدام المسهلات والقيام بالتقيؤ الذاتي.[84] وقالت التقارير أنها قامت باستهلاك العشرات من البرتقال والعديد من الطماطم كل يوم، بعد ذلك قامت بتخطّي وجبات الطعام. بعد ذلك تم تحويلها إلى مصحة للأمراض النفسية لعلاج الاكتئاب، حتى بعد إطعامها لازالت تفقد الوزن، وذلك بسبب التقيؤ الذاتي.[84] ومع ذلك، في حين أن هؤلاء المرضى قد اجتمعت فيهم المعايير الحديثة لتشخيص الشره المرضي العصبي، فإنه لا يمكن من الناحية الفنية تشخيصم بهذا الاضطراب؛ بما أنه لم يكن قد ظهر الدليل التشخيصي والإحصائي للاضطرابات العقلية في وقت علاجهم. [11] حيث قام بتحديد خيارات العلاج المتاحة، وأشار إلى خطورة هذا المرض، الذي من الممكن أن يكون مصحوب بالاكتئاب والانتحار.[11] وفي عام 1980،ظهر مصطلح الشره المرضي العصبي للمرة الأولى في الدليل التشخيصي والإحصائي للأمراض العقلية الثالث DSM-III.[11]]بعد ظهور مصطلح النهم في DSM-III، كان هناك ارتفاع مفاجئ في الحالات الموثقة من الشره المرضي العصبي.[84] في أوائل 1980، ارتفعت حالات الاضطراب إلى حوالي 40 في كل 100,000 شخص.[84] انخفض هذا إلى حوالي 27 في كل 100,000 شخص في نهاية الثمانينيات وأوائل التسعينيات من القرن الماضي.[84] ومع ذلك، لا يزال انتشار الشره المرضي العصبي أعلى بكثير من فقدان الشهية العصبي، والذي وقع في ذلك الوقت في حوالي 14 شخصا لكل 100,000.[84] في عام 1991، كندلر وآخرون وثقوا الخطر التراكمي للشره المرضي العصبي لأولئك الذين ولدوا قبل عام 1950، من 1950-1959، وبعد عام 1959.[86] حيث تبين أن الخطر في أولئك الذين ولدوا بعد عام 1959 أعلى بكثير من الخطر الموجود في أي من الأفواج الأخرى.[86]
المراجع
- ترجمة Bulimia nervosa حسب معجم مصطلحات الطب النفسي، مركز تعريب العلوم الصحية نسخة محفوظة 15 يونيو 2017 على موقع واي باك مشين.
- ترجمة Bulimia nervosa حسب المعجم الطبي الموحد نسخة محفوظة 07 يناير 2018 على موقع واي باك مشين.
- "Bulimia nervosa fact sheet". Office on Women's Health. July 16, 2012. مؤرشف من الأصل في 3 مارس 2016. اطلع عليه بتاريخ 27 يونيو 2015. الوسيط
|CitationClass=تم تجاهله (مساعدة) - Hay PJ, Claudino AM; Claudino (2010). "Bulimia nervosa". Clinical Evidence. 2010: 1009. PMC 3275326. PMID 21418667. الوسيط
|CitationClass=تم تجاهله (مساعدة) - Bulik, CM; Marcus, MD; Zerwas, S; Levine, MD; La Via, M (October 2012). "The changing "weightscape" of bulimia nervosa". The American Journal of Psychiatry. 169 (10): 1031–6. doi:10.1176/appi.ajp.2012.12010147. PMID 23032383. الوسيط
|CitationClass=تم تجاهله (مساعدة) - Smink, FR; van Hoeken, D; Hoek, HW (August 2012). "Epidemiology of eating disorders: incidence, prevalence and mortality rates". Current psychiatry reports. 14 (4): 406–14. doi:10.1007/s11920-012-0282-y. PMC 3409365. PMID 22644309. الوسيط
|CitationClass=تم تجاهله (مساعدة) - American Psychiatric Association (2013). Diagnostic and Statistical Manual of Mental Disorders (الطبعة Fifth). Arlington, VA: American Psychiatric Publishing. صفحات 345–349. ISBN 978-0-89042-555-8. الوسيط
|CitationClass=تم تجاهله (مساعدة) - Hay, P (July 2013). "A systematic review of evidence for psychological treatments in eating disorders: 2005–2012". The International Journal of Eating Disorders. 46 (5): 462–9. doi:10.1002/eat.22103. PMID 23658093. الوسيط
|CitationClass=تم تجاهله (مساعدة) - McElroy, SL; Guerdjikova, AI; Mori, N; O'Melia, AM (October 2012). "Current pharmacotherapy options for bulimia nervosa and binge eating disorder". Expert opinion on pharmacotherapy. 13 (14): 2015–26. doi:10.1517/14656566.2012.721781. PMID 22946772. الوسيط
|CitationClass=تم تجاهله (مساعدة) - Global Burden of Disease Study 2013, Collaborators (5 June 2015). "Global, regional, and national incidence, prevalence, and years lived with disability for 301 acute and chronic diseases and injuries in 188 countries, 1990–2013: a systematic analysis for the Global Burden of Disease Study 2013". Lancet (London, England). doi:10.1016/S0140-6736(15)60692-4. PMID 26063472. الوسيط
|CitationClass=تم تجاهله (مساعدة) - Russell G (1979). "Bulimia nervosa: An ominous variant of anorexia nervosa". Psychological Medicine. 9 (3): 429–48. doi:10.1017/S0033291700031974. PMID 482466. الوسيط
|CitationClass=تم تجاهله (مساعدة) - Palmer R (2004). "Bulimia nervosa: 25 years on". The British Journal of Psychiatry : the Journal of Mental Science. 185 (6): 447–8. doi:10.1192/bjp.185.6.447. PMID 15572732. الوسيط
|CitationClass=تم تجاهله (مساعدة) - "Bulimia Nervosa" (PDF). Let's Talk Facts. الجمعية الأمريكية للأطباء النفسيين: 1. 2005. مؤرشف من الأصل في 19 مارس 2015. اطلع عليه بتاريخ 13 سبتمبر 2013. الوسيط
|CitationClass=تم تجاهله (مساعدة) - "Eating Disorders". Oral Health Topics A–Z. American Dental Association. مؤرشف من الأصل في Feb 3, 2009. الوسيط
|CitationClass=تم تجاهله (مساعدة) - Joseph AB, Herr B; Herr (1985). "Finger calluses in bulimia". The American Journal of Psychiatry. 142 (5): 655. PMID 3857013. الوسيط
|CitationClass=تم تجاهله (مساعدة) - Wynn DR, Martin MJ; Martin (1984). "A physical sign of bulimia". Mayo Clinic Proceedings. 59 (10): 722. doi:10.1016/s0025-6196(12)62063-1. PMID 6592415. الوسيط
|CitationClass=تم تجاهله (مساعدة) - Mcgilley BM, Pryor TL; Pryor (June 1998). "Assessment and Treatment of Bulimia Nervosa". American Family Physician. 57 (11): 2743–50. PMID 9636337. مؤرشف من الأصل في 29 نوفمبر 2017. الوسيط
|CitationClass=تم تجاهله (مساعدة) - Mehler PS (2003). "Bulimia Nervosa". The New England Journal of Medicine. 349 (9): 875–81. doi:10.1056/NEJMcp022813. PMID 12944574. الوسيط
|CitationClass=تم تجاهله (مساعدة) - "Symptoms Of Bulimia Nervosa". Illawarra Mercury. February 23, 2001. مؤرشف من الأصل في 21 فبراير 2016. الوسيط
|CitationClass=تم تجاهله (مساعدة)[هل المصدر موثوق؟] - "Bulimia Nervosa". https://www.nationaleatingdisorders.org. The National Eating Disorders Association. مؤرشف من الأصل في 29 نوفمبر 2017. اطلع عليه بتاريخ 05 ديسمبر 2014. الوسيط
|CitationClass=تم تجاهله (مساعدة); روابط خارجية في|موقع=(مساعدة) - Barker, P (2003). Psychiatric and Mental Health Nursing: The Craft of Caring. Great Britain: Arnold. ISBN 0340810262. الوسيط
|CitationClass=تم تجاهله (مساعدة)[بحاجة لرقم الصفحة] - Walsh BT, Roose SP, Glassman AH, Gladis M, Sadik C; Roose; Glassman; Gladis; Sadik (1985). "Bulimia and depression". Psychosomatic Medicine. 47 (2): 123–31. doi:10.1097/00006842-198503000-00003. PMID 3863157. مؤرشف من الأصل في 10 مايو 2020. الوسيط
|CitationClass=تم تجاهله (مساعدة)صيانة CS1: أسماء متعددة: قائمة المؤلفون (link) - Patton GC, Coffey C, Carlin JB, Sanci L, Sawyer S; Coffey; Carlin; Sanci; Sawyer (2008). "Prognosis of adolescent partial syndromes of eating disorder". The British Journal of Psychiatry : the Journal of Mental Science. 192 (4): 294–9. doi:10.1192/bjp.bp.106.031112. PMID 18378993. الوسيط
|CitationClass=تم تجاهله (مساعدة)صيانة CS1: أسماء متعددة: قائمة المؤلفون (link) - Carlson, N.R., et al. (2007). Psychology: The Science of Behaviour – 4th Canadian ed.. Toronto, ON: Pearson Education Canada.[بحاجة لرقم الصفحة]
- Shader, Richard I. (2004). Manual of Psychiatric Therapeutics. Hagerstwon, MD: Lippincott Williams & Wilkins. ISBN 0-7817-4459-8. الوسيط
|CitationClass=تم تجاهله (مساعدة)[بحاجة لرقم الصفحة] - [Nolen-Hoeksema, S. (2013).”(Ab)normal Psychology”(6th edition). McGraw Hill. p.344]
- Castro-Fornieles J, Gual P, Lahortiga F, Gila A, Casulà V, Fuhrmann C, Imirizaldu M, Saura B, Martínez E, Toro J; Gual; Lahortiga; Gila; Casulà; Fuhrmann; Imirizaldu; Saura; Martínez; Toro (September 2007). "Self-oriented perfectionism in eating disorders". The International Journal of Eating Disorders. 40 (6): 562–568. doi:10.1002/eat.20393. PMID 17510925. الوسيط
|CitationClass=تم تجاهله (مساعدة)صيانة CS1: أسماء متعددة: قائمة المؤلفون (link) - Walsh JM, Wheat ME, Freund K; Wheat; Freund (2000). "Detection, evaluation, and treatment of eating disorders". Journal of General Internal Medicine. 15 (8): 577–90. doi:10.1046/j.1525-1497.2000.02439.x. PMC 1495575. PMID 10940151. الوسيط
|CitationClass=تم تجاهله (مساعدة)صيانة CS1: أسماء متعددة: قائمة المؤلفون (link) - [Nolen-Hoeksema, S. (2013).”(Ab)normal Psychology”(6th edition). McGraw Hill. p.343]
- American Psychiatric Association (2000). "Diagnostic criteria for 307.51 Bulimia Nervosa". Diagnostic and Statistical Manual of Mental Disorders (الطبعة 4th, text revision (الدليل التشخيصي والإحصائي للاضطرابات النفسية)). ISBN 0-89042-025-4. الوسيط
|CitationClass=تم تجاهله (مساعدة) - [Nolen-Hoeksema, S. (2013).”(Ab)normal Psychology” (6th edition). McGraw Hill. p.343]
- Nolan-Hoeksema, Susan (2014). Abnormal Psychology (6 ed.). McGraw-Hill Education. p. 345. ISBN 978-0-07-803538-8.
- "Biological Causes of Anorexia Nervosa and Bulimia Nervosa". مؤرشف من الأصل في 18 يونيو 2017. اطلع عليه بتاريخ 3 April. الوسيط
|CitationClass=تم تجاهله (مساعدة); تحقق من التاريخ في:|تاريخ الوصول=(مساعدة) - Ribasés M, Gratacòs M, Fernández-Aranda F, Bellodi L, Boni C, Anderluh M, Cavallini MC, Cellini E, Di Bella D, Erzegovesi S, Foulon C, Gabrovsek M, Gorwood P, Hebebrand J, Hinney A, Holliday J, Hu X, Karwautz A, Kipman A, Komel R, Nacmias B, Remschmidt H, Ricca V, Sorbi S, Wagner G, Treasure J, Collier DA, Estivill X (2004). "Association of BDNF with anorexia, bulimia and age of onset of weight loss in six European populations". Human Molecular Genetics. 13 (12): 1205–1212. doi:10.1093/hmg/ddh137. PMID 15115760. الوسيط
|CitationClass=تم تجاهله (مساعدة)صيانة CS1: أسماء متعددة: قائمة المؤلفون (link) - Wonderlich, Stephen; Mitchell, James E.; de Zwaan, Martina; Steiger, Howard, المحررون (2008). "1". Annual Review of Eating Disorders – part 2. Radcliffe Publishing. صفحات 14–15. ISBN 978-1-84619-244-9. الوسيط
|CitationClass=تم تجاهله (مساعدة) - Hirschberg AL (2012). "Sex hormones, appetite and eating behaviour in women". Maturitas. 71 (3): 248–56. doi:10.1016/j.maturitas.2011.12.016. PMID 22281161. الوسيط
|CitationClass=تم تجاهله (مساعدة) - Broft A, Shingleton R, Kaufman J, Liu F, Kumar D, Slifstein M, Abi-Dargham A, Schebendach J, Van Heertum R, Attia E, Martinez D, Walsh BT (July 2012). "Striatal dopamine in bulimia nervosa: A pet imaging study". The International Journal of Eating Disorders. 45 (5): 648–656. doi:10.1002/eat.20984. PMC 3640453. PMID 22331810. الوسيط
|CitationClass=تم تجاهله (مساعدة)صيانة CS1: أسماء متعددة: قائمة المؤلفون (link) - Kaye WH, Wierenga CE, Bailer UF, Simmons AN, Wagner A, Bischoff-Grethe A (2013). "Does a Shared Neurobiology for Foods and Drugs of Abuse Contribute to Extremes of Food Ingestion in Anorexia and Bulimia Nervosa?". Biological Psychiatry. 73 (9): 836–42. doi:10.1016/j.biopsych.2013.01.002. PMID 23380716. الوسيط
|CitationClass=تم تجاهله (مساعدة)صيانة CS1: أسماء متعددة: قائمة المؤلفون (link) - Smith KA, Fairburn CG, Cowen PJ (1999). "Symptomatic Relapse in Bulimia Nervosa Following Acute Tryptophan Depletion". Archives of General Psychiatry. 56 (2): 171–6. doi:10.1001/archpsyc.56.2.171. PMID 10025442. الوسيط
|CitationClass=تم تجاهله (مساعدة)صيانة CS1: أسماء متعددة: قائمة المؤلفون (link) - Weltzin TE, Fernstrom MH, Fernstrom JD, Neuberger SK, Kaye WH (1995). "Acute tryptophan depletion and increased food intake and irritability in bulimia nervosa". The American Journal of Psychiatry. 152 (11): 1668–71. PMID 7485633. الوسيط
|CitationClass=تم تجاهله (مساعدة)صيانة CS1: أسماء متعددة: قائمة المؤلفون (link) - Carlson, Neil R.; Buskist, William; Heth, C. Donald; Schmaltz, Rod (2010). Psychology: the science of behaviour (الطبعة 4th Canadian). Toronto: Pearson Education Canada. صفحة 415. ISBN 978-0-205-70286-2. الوسيط
|CitationClass=تم تجاهله (مساعدة) - Becker AE, Burwell RA, Gilman SE, Herzog DB, Hamburg P; Burwell; Gilman; Herzog; Hamburg (2002). "Eating behaviours and attitudes following prolonged exposure to television among ethnic Fijian adolescent girls". The British Journal of Psychiatry : the Journal of Mental Science. 180 (6): 509–14. doi:10.1192/bjp.180.6.509. PMID 12042229. الوسيط
|CitationClass=تم تجاهله (مساعدة)صيانة CS1: أسماء متعددة: قائمة المؤلفون (link) - Nolen-Hoeksema, Susan (2014). "Bulimia Nervosa" Abnormal Psychology. 6e. pg 344. نسخة محفوظة 7 مايو 2020 على موقع واي باك مشين.
- Fairburn, C. G.; Beglin, S. J. (April 1, 1990). "Studies of the epidemiology of bulimia nervosa". American Journal of Psychiatry. 147 (4): 401–408. doi:10.1176/ajp.147.4.401. ISSN 0002-953X. PMID 2180327. مؤرشف من الأصل في 7 مايو 2020. اطلع عليه بتاريخ 12 أبريل 2015. الوسيط
|CitationClass=تم تجاهله (مساعدة) - Trull, Thimothy (2010-10-08). Abnormal Psychology and Life: A Dimensional Approach. Belmont CA: Wadsworth, Cengage Learning. صفحات 236–8. ISBN 978-1-111-34376-7. مؤرشف من الأصل في 2 ديسمبر 2013. الوسيط
|CitationClass=تم تجاهله (مساعدة) - Byrne SM, McLean NJ; McLean (2002). "The cognitive-behavioral model of bulimia nervosa: A direct evaluation". The International Journal of Eating Disorders. 31 (1): 17–31. doi:10.1002/eat.10002. PMID 11835294. الوسيط
|CitationClass=تم تجاهله (مساعدة) - Waller, G (1992). "Sexual abuse and the severity of bulimic symptoms". The British journal of psychiatry : the journal of mental science. 161: 90–3. PMID 1638336. الوسيط
|CitationClass=تم تجاهله (مساعدة) - Nolen-Hoeksema, Susan (2013). (Ab)normal Psychology. McGraw Hill. صفحة 338. ISBN 0078035384. الوسيط
|CitationClass=تم تجاهله (مساعدة) - Zieve, David. "Bulimia". PubMed Health. مؤرشف من الأصل في 2 يناير 2014. اطلع عليه بتاريخ 18 أبريل 2011. الوسيط
|CitationClass=تم تجاهله (مساعدة) - Thompson, J. Kevin; Stice, Eric (2001). "Thin-Ideal Internalization: Mounting Evidence for a New Risk Factor for Body-Image Disturbance and Eating Pathology". Current Directions in Psychological Science. 10 (5): 181–3. doi:10.1111/1467-8721.00144. JSTOR 20182734. الوسيط
|CitationClass=تم تجاهله (مساعدة) - Papies EK, Nicolaije KA; Nicolaije (2012). "Inspiration or deflation? Feeling similar or dissimilar to slim and plus-size models affects self-evaluation of restrained eaters". Body Image. 9 (1): 76–85. doi:10.1016/j.bodyim.2011.08.004. PMID 21962524. الوسيط
|CitationClass=تم تجاهله (مساعدة) - Hoste RR, Labuschagne Z, Le Grange D; Labuschagne; Le Grange (2012). "Adolescent Bulimia Nervosa". Current Psychiatry Reports. 14 (4): 391–7. doi:10.1007/s11920-012-0280-0. PMID 22614677. الوسيط
|CitationClass=تم تجاهله (مساعدة)صيانة CS1: أسماء متعددة: قائمة المؤلفون (link) - Hay, PP; Bacaltchuk, J; Stefano, S; Kashyap, P (7 October 2009). "Psychological treatments for bulimia nervosa and binging". The Cochrane database of systematic reviews (4): CD000562. doi:10.1002/14651858.CD000562.pub3. PMID 19821271. الوسيط
|CitationClass=تم تجاهله (مساعدة) - Gelder, Michael Graham; Mayou, Richard; Geddes, John (2005). Psychiatry. ISBN 978-0-19-852863-0. الوسيط
|CitationClass=تم تجاهله (مساعدة)[بحاجة لرقم الصفحة] - Agras WS, Crow SJ, Halmi KA, Mitchell JE, Wilson GT, Kraemer HC; Crow; Halmi; Mitchell; Wilson; Kraemer (2000). "Outcome Predictors for the Cognitive Behavior Treatment of Bulimia Nervosa: Data from a Multisite Study". The American Journal of Psychiatry. 157 (8): 1302–8. doi:10.1176/appi.ajp.157.8.1302. PMID 10910795. الوسيط
|CitationClass=تم تجاهله (مساعدة)صيانة CS1: أسماء متعددة: قائمة المؤلفون (link) - Wilson GT, Loeb KL, Walsh BT, Labouvie E, Petkova E, Liu X, Waternaux C; Loeb; Walsh; Labouvie; Petkova; Liu; Waternaux (1999). "Psychological versus pharmacological treatments of bulimia nervosa: Predictors and processes of change". Journal of Consulting and Clinical Psychology. 67 (4): 451–9. doi:10.1037/0022-006X.67.4.451. PMID 10450615. الوسيط
|CitationClass=تم تجاهله (مساعدة)صيانة CS1: أسماء متعددة: قائمة المؤلفون (link) - Trunko ME, Rockwell RE, Curry E, Runfola C, Kaye WH; Rockwell; Curry; Runfola; Kaye (2007). "Management of bulimia nervosa". Women's Health (London, England). 3 (2): 255–65. doi:10.2217/17455057.3.2.255. PMID 19803857. الوسيط
|CitationClass=تم تجاهله (مساعدة)صيانة CS1: أسماء متعددة: قائمة المؤلفون (link) - Fairburn CG, Agras WS, Walsh BT, Wilson GT, Stice E; Agras; Walsh; Wilson; Stice (2004). "Prediction of Outcome in Bulimia Nervosa by Early Change in Treatment". The American Journal of Psychiatry. 161 (12): 2322–4. doi:10.1176/appi.ajp.161.12.2322. PMID 15569910. الوسيط
|CitationClass=تم تجاهله (مساعدة)صيانة CS1: أسماء متعددة: قائمة المؤلفون (link) - Safer DL, Telch CF, Agras WS; Telch; Agras (2001). "Dialectical Behavior Therapy for Bulimia Nervosa". The American Journal of Psychiatry. 158 (4): 632–4. doi:10.1176/appi.ajp.158.4.632. PMID 11282700. الوسيط
|CitationClass=تم تجاهله (مساعدة)صيانة CS1: أسماء متعددة: قائمة المؤلفون (link) - Lock J, le Grange D; Le Grange (2005). "Family-based treatment of eating disorders". The International Journal of Eating Disorders. 37: S64–7, discussion S87–9. doi:10.1002/eat.20122. PMID 15852323. الوسيط
|CitationClass=تم تجاهله (مساعدة) - Keel PK, Haedt A; Haedt (2008). "Evidence-Based Psychosocial Treatments for Eating Problems and Eating Disorders". Journal of Clinical Child and Adolescent Psychology : the Official Journal for the Society of Clinical Child and Adolescent Psychology, American Psychological Association, Division 53. 37 (1): 39–61. doi:10.1080/15374410701817832. PMID 18444053. الوسيط
|CitationClass=تم تجاهله (مساعدة) - Le Grange D, Lock J, Dymek M; Lock; Dymek (2003). "Family-based therapy for adolescents with bulimia nervosa". American Journal of Psychotherapy. 57 (2): 237–51. PMID 12817553. الوسيط
|CitationClass=تم تجاهله (مساعدة)صيانة CS1: أسماء متعددة: قائمة المؤلفون (link) - Castro-Fornieles J, Bigorra A, Martinez-Mallen E, Gonzalez L, Moreno E, Font E, Toro J; Bigorra; Martinez-Mallen; Gonzalez; Moreno; Font; Toro (2011). "Motivation to change in adolescents with bulimia nervosa mediates clinical change after treatment". European Eating Disorders Review : the Journal of the Eating Disorders Association. 19 (1): 46–54. doi:10.1002/erv.1045. PMID 20872926. الوسيط
|CitationClass=تم تجاهله (مساعدة)صيانة CS1: أسماء متعددة: قائمة المؤلفون (link) - Barabasz M (2007). "Efficacy of Hypnotherapy in the Treatment of Eating Disorders". The International Journal of Clinical and Experimental Hypnosis. 55 (3): 318–35. doi:10.1080/00207140701338688. PMID 17558721. الوسيط
|CitationClass=تم تجاهله (مساعدة) - Makino M, Tsuboi K, Dennerstein L; Tsuboi; Dennerstein (2004). "Prevalence of eating disorders: a comparison of Western and non-Western countries". MedGenMed : Medscape General Medicine. 6 (3): 49. PMC 1435625. PMID 15520673. مؤرشف من الأصل في 13 يوليو 2017. الوسيط
|CitationClass=تم تجاهله (مساعدة)صيانة CS1: أسماء متعددة: قائمة المؤلفون (link) - Hay PJ, Mond J, Buttner P, Darby A; Mond; Buttner; Darby (2008). Murthy, R. Srinivasa (المحرر). "Eating Disorder Behaviors Are Increasing: Findings from Two Sequential Community Surveys in South Australia". PLOS ONE. 3 (2): e1541. doi:10.1371/journal.pone.0001541. PMC 2212110. PMID 18253489. الوسيط
|CitationClass=تم تجاهله (مساعدة)صيانة CS1: أسماء متعددة: قائمة المؤلفون (link) - van Son GE, van Hoeken D, Bartelds AI, van Furth EF, Hoek HW; Van Hoeken; Bartelds; Van Furth; Hoek (2006). "Urbanisation and the incidence of eating disorders". The British Journal of Psychiatry : the Journal of Mental Science. 189 (6): 562–3. doi:10.1192/bjp.bp.106.021378. PMID 17139044. الوسيط
|CitationClass=تم تجاهله (مساعدة)صيانة CS1: أسماء متعددة: قائمة المؤلفون (link) - "Bulimia". finddoctorsonline.com. مؤرشف من الأصل في 7 مايو 2020. الوسيط
|CitationClass=تم تجاهله (مساعدة) - Grohol, John (March 19, 2009). "Black Girls At Risk for Bulimia". مؤرشف من الأصل في 6 مارس 2019. الوسيط
|CitationClass=تم تجاهله (مساعدة) - Tölgyes T, Nemessury J; Nemessury (2004). "Epidemiological studies on adverse dieting behaviours and eating disorders among young people in Hungary". Social Psychiatry and Psychiatric Epidemiology. 39 (8): 647–54. doi:10.1007/s00127-004-0783-z. PMID 15300375. الوسيط
|CitationClass=تم تجاهله (مساعدة) - Franko DL, Becker AE, Thomas JJ, Herzog DB; Becker; Thomas; Herzog (2007). "Cross-ethnic differences in eating disorder symptoms and related distress". The International Journal of Eating Disorders. 40 (2): 156–64. doi:10.1002/eat.20341. PMID 17080449. الوسيط
|CitationClass=تم تجاهله (مساعدة)صيانة CS1: أسماء متعددة: قائمة المؤلفون (link) - McBride, Hugh. "Study Reveals Stunning Prevalence of Bulimia Among African-American Girls". مؤرشف من الأصل في 10 فبراير 2012. اطلع عليه بتاريخ أكتوبر 2020. الوسيط
|CitationClass=تم تجاهله (مساعدة); تحقق من التاريخ في:|تاريخ الوصول=(مساعدة) - Machado PP, Machado BC, Gonçalves S, Hoek HW; Machado; Gonçalves; Hoek (2007). "The prevalence of eating disorders not otherwise specified". The International Journal of Eating Disorders. 40 (3): 212–7. doi:10.1002/eat.20358. PMID 17173324. الوسيط
|CitationClass=تم تجاهله (مساعدة)صيانة CS1: أسماء متعددة: قائمة المؤلفون (link) - Vilela JE, Lamounier JA, Dellaretti Filho MA, Barros Neto JR, Horta GM; Lamounier; Dellaretti Filho; Barros Neto; Horta (2004). "Transtornos alimentares em escolares" [Eating disorders in school children]. Jornal De Pediatria (باللغة البرتغالية). 80 (1): 49–54. doi:10.1590/S0021-75572004000100010. PMID 14978549. الوسيط
|CitationClass=تم تجاهله (مساعدة)صيانة CS1: أسماء متعددة: قائمة المؤلفون (link) - Lahortiga-Ramos F, De Irala-Estévez J, Cano-Prous A, Gual-García P, Martínez-González MA, Cervera-Enguix S; De Irala-Estévez; Cano-Prous; Gual-García; Martínez-González; Cervera-Enguix (2005). "Incidence of eating disorders in Navarra (Spain)". European Psychiatry : the Journal of the Association of European Psychiatrists. 20 (2): 179–85. doi:10.1016/j.eurpsy.2004.07.008. PMID 15797704. الوسيط
|CitationClass=تم تجاهله (مساعدة)صيانة CS1: أسماء متعددة: قائمة المؤلفون (link) - Hay P (1998). "The epidemiology of eating disorder behaviors: An Australian community-based survey". The International Journal of Eating Disorders. 23 (4): 371–82. doi:10.1002/(SICI)1098-108X(199805)23:4<371::AID-EAT4>3.0.CO;2-F. PMID 9561427. الوسيط
|CitationClass=تم تجاهله (مساعدة) - Pemberton AR, Vernon SW, Lee ES; Vernon; Lee (1996). "Prevalence and Correlates of Bulimia Nervosa and Bulimic Behaviors in a Racially Diverse Sample of Undergraduate Students in Two Universities in Southeast Texas". American Journal of Epidemiology. 144 (5): 450–5. doi:10.1093/oxfordjournals.aje.a008950. PMID 8781459. الوسيط
|CitationClass=تم تجاهله (مساعدة)صيانة CS1: أسماء متعددة: قائمة المؤلفون (link) - Götestam KG, Eriksen L, Hagen H; Eriksen; Hagen (1995). "An epidemiological study of eating disorders in Norwegian psychiatric institutions". The International Journal of Eating Disorders. 18 (3): 263–8. doi:10.1002/1098-108X(199511)18:3<263::AID-EAT2260180308>3.0.CO;2-O. PMID 8556022. الوسيط
|CitationClass=تم تجاهله (مساعدة)صيانة CS1: أسماء متعددة: قائمة المؤلفون (link) - Garfinkel PE, Lin E, Goering P, Spegg C, Goldbloom DS, Kennedy S, Kaplan AS, Woodside DB; Lin; Goering; Spegg; Goldbloom; Kennedy; Kaplan; Woodside (July 1995). "Bulimia nervosa in a Canadian community sample: prevalence and comparison of subgroups". The American Journal of Psychiatry. 152 (7): 1052–8. PMID 7793442. مؤرشف من الأصل في 23 فبراير 2012. الوسيط
|CitationClass=تم تجاهله (مساعدة)صيانة CS1: أسماء متعددة: قائمة المؤلفون (link) - Suzuki K, Takeda A, Matsushita S; Takeda; Matsushita (1995). "Coprevalence of bulimia with alcohol abuse and smoking among Japanese male and female high school students". Addiction (Abingdon, England). 90 (7): 971–5. doi:10.1111/j.1360-0443.1995.tb03506.x. PMID 7663319. الوسيط
|CitationClass=تم تجاهله (مساعدة)صيانة CS1: أسماء متعددة: قائمة المؤلفون (link) - Heatherton TF, Nichols P, Mahamedi F, Keel P; Nichols; Mahamedi; Keel (November 1995). "Body weight, dieting, and eating disorder symptoms among college students, 1982 to 1992". The American Journal of Psychiatry. 152 (11): 1623–9. PMID 7485625. مؤرشف من الأصل في 23 فبراير 2012. الوسيط
|CitationClass=تم تجاهله (مساعدة)صيانة CS1: أسماء متعددة: قائمة المؤلفون (link) - Douglas Harper (November 2001). "Online Etymology Dictionary: bulimia". قاموس علم اشتقاق الألفاظ. مؤرشف من الأصل في 10 سبتمبر 2017. اطلع عليه بتاريخ 06 أبريل 2008. الوسيط
|CitationClass=تم تجاهله (مساعدة) - Giannini, A. J. (1993). "A history of bulimia". In The Eating disorders (pp. 18–21). Springer New York.
- Russell, G. (1997). The history of bulimia nervosa. D. Garner & P. Garfinkel (Eds.), Handbook of Treatment for Eating Disorders (2nd ed., pp. 11–24). New York, NY: The Guilford Press.
- Casper, Regina C. (1983). "On the emergence of bulimia nervosa as a syndrome a historical view". International Journal of Eating Disorders. 2 (3): 3–16. doi:10.1002/1098-108X(198321)2:3<3::AID-EAT2260020302>3.0.CO;2-D. الوسيط
|CitationClass=تم تجاهله (مساعدة) - Kendler KS, MacLean C, Neale M, Kessler R, Heath A, Eaves L; MacLean; Neale; Kessler; Heath; Eaves (1991). "The genetic epidemiology of bulimia nervosa". The American Journal of Psychiatry. 148 (12): 1627–37. PMID 1842216. الوسيط
|CitationClass=تم تجاهله (مساعدة)صيانة CS1: أسماء متعددة: قائمة المؤلفون (link)
- بوابة طب
- بوابة علم النفس
- بوابة مطاعم وطعام
