نواة متكئة
النواة المتكئة (باللاتينية: Nucleus accumbens) هي منطقة مهمة بالمخ.[1] وهذه المنطقة مسؤولة عن المكافآت بالدماغ البشري، وهي تنشط عند حصول الإنسان على الطعام الجيد أو المال، كما تنشط عند حصول الشخص على سمعة جيدة وثناء ومديح لشخصه.[2] نجد أن من صفات الإنسان الرئيسية سعيه الدائم لتحسين سمعته، وتبين للباحثين أن المنطقة المسؤولة عن المكافآت بالدماغ تكون في قمة نشاطها حين يتعلق الأمر باعتراف الآخرين بالشخص وتقديرهم له وأفعاله. أما ثناؤه على الآخرين فيلعب دورا أقل في تنشيط تلك المنطقة من دماغه.
| النواة المتكئة | |
|---|---|
| الاسم اللاتيني nucleus accumbens septi | |
![]() المصطلحات التشريحية موقع المتوسط السطحي، شخص يتتجه إلى اليسار. النواة المتكئة هو ما يقرب جدا من منطقة برودمان 34 المصطلحات التشريحية موقع المتوسط السطحي، شخص يتتجه إلى اليسار. النواة المتكئة هو ما يقرب جدا من منطقة برودمان 34 | |
| تفاصيل | |
| المكونات | قشرة النواة المتكئة النواة المتكئة الأساسية |
| اختصار | NAc أو NAcc |
| الاختصار | NAc أو NAcc |
| جزء من | الطريق الحوفي الوسطى العقد القاعدية (المخطط البطني) |
| ترمينولوجيا أناتوميكا | 14.1.09.440 |
| FMA | 61889 |
| معلومات عصبية | braininfo |
| UBERON ID | 0001882 |
| نيوروليكس | Nucleus accumbens |
| ن.ف.م.ط. | + المتكئة&field=entry#TreeA08.186.211.730.885.105.683 A08.186.211.730.885.105.683 |
| ن.ف.م.ط. | D009714 |
| دورلاند/إلزيفير | 12580142 |
مقدمة
الدماغ هو العضو الأكثر تعقيداً في جسم الإنسان. إنّه مسؤول عن كلّ أفكارنا، وأعمالنا، وذكرياتنا، ومشاعرنا، وتجاربنا في العالم. فهذه الكتلة الهلامية من الأنسجة التي يبلغ وزنها حوالى 1.4 كلغ، تحتوي على عددٍ مذهل من الخلايا العصبية أو العصبونات، تحتوي على مئةِ مليارٍ منها. هنالك مناطق فرعية مختلفة تحقق نموا مطردا (أساسية مقابل درع) والمجموعات الفرعية والخلايا العصبية داخل كل منطقة (D1 نوع ضد D2 من نوع الخلايا العصبية الشوكية المتوسطة ) تكون المسؤولة عن الوظائف المعرفية المختلفة.[3][4] وبالتالي، فإنه له دور كبير في الإدمان.[5][4]
الوظيفة
المكافأة والتعزيز
النواة المتكئة هي جزء من جهاز المكافئة في الإنسان. إنَّ المكافآت الطبيعية كالطعام، والمياه، والرعاية، تسمح للجسم بأن يشعر باللذة عند تناول الطعام، والشرب، والتناسل، والحصول على الرعاية، ومشاعر اللذة هذه تعزِّز السلوك لكي يتكرَّر. وكلٌّ من هذه السلوكيات مطلوبٌ من أجل استمرارية الجنس البشري. أمَّا المكافآت الاصطناعية، كالمخدّرات، فتوفّر إحساساً فورياً بالمكافأة يليه شعور بالخيبة، وهذا يمنع أيّ مكافأة طبيعية أخرى من أن تكون كاملة. هناك أجزاء معيّنة من الدماغ تنظِّم وظائف محدَّدة، كالحسّ والحركة، بالإضافة إلى المخيخ للتنسيق، والحُصَين للذاكرة. وتتولّى الخلايا العصبية، أو العصبونات، الربط بين منطقةٍ وأخرى عبر مساراتٍ معيّنة، لإرسال المعلومات ودمجها. وقد تكون مسافات امتداد العصبونات قصيرة أو طويلة، مثل مسار المكافأة الذي ينشط عندما يتلقّى الشخص تعزيزاً إيجابياً لسلوكيات، أو مخدّرات معيّنة ("مكافأة"). يتكوَّن الجهاز العصبي المركزي من الدماغ والنخاع الشوكي. إنَّها وحدة وظيفية مؤلَّفة من مليارات الخلايا العصبية (العصبونات) التي تتواصل مع بعضها البعض عن طريق الإشارات الكهربائية والكيميائية.
الأهمية السريرية
الإدمــان
الإدمان هو حالة تدفع الشخص إلى القيام بسلوكٍ قهري، حتّى عندما تواجهه عواقب سلبية. وهذا السلوك مُعزِّز، أو مُكافِئ. وتتمثّل إحدى سمات الإدمان الرئيسية في فقدان السيطرة لجهة الحدّ من تناول المواد المسبّبة للإدمان. وتشير الأبحاث الأخيرة إلى أنّ مسار المكافأة قد يكون أكثر أهميةً في الرغبة الشديدة المرتبطة بالإدمان، مقارنةً مع المكافأة بحدّ ذاتها. ولقد تعلّم العلماء الكثير عن القواعد الكيميائية-الحيوية، والخلوية، والجزيئية الخاصة بالإدمان؛ فاتّضح أنّ الإدمان هو مرضٌ يصيب الدماغ.[6][7]
- التحمّل: عندما تُستخدَم المخدّرات كالهيروين، بشكلٍ متكرّر مع الوقت، قد ينشأ "التحمّل". والتحمّل يحدث عندما يتوقّف الشخص عن التفاعل مع المخدّر كما كان يحصل معه سابقاً. بتعبيرٍ آخر، يحتاج إلى جرعةٍ أكبر من المخدّر للتوصّل إلى مستوى التفاعل نفسه الذي كان يبلغه في السابق. ومع الاستخدام المتكرّر للهيرويين، تحصل التبعية أيضاً. والتبعية تتطوّر عندما تتكيّف العصبونات مع التعرّض المتكرّر للمخدّر، ولا تعمل بشكلٍ طبيعي إلّا بوجود المخدّر.
- الانسحاب: عندما يتوقّف الشخص عن تناول المخدّر، تحدث عدّة ردود فعل فيسيولوجية. قد تكون خفيفة (مع الكافيين مثلاً)، أو حتّى مميتة (مع الكحول مثلاً). وهذا ما يُعرَف بمتلازمة الانسحاب. وفي حالة الهيرويين مثلاً، قد يكون الانسحاب صعباً جداً، فسوف يعود المدمن إلى استخدام المخدّر مجدّداً لتفادي متلازمة الانسحاب.
صور إضافية
الدوبامين والسيروتونين
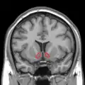
التصوير بالرنين المغناطيسي الشريحة الاكليلية تظهر النواة المتكئة المبينة باللون الأحمر
MRI سهمي الشكل مع تسليط الضوء (الأحمر) مما يدل على النواة المتكئة.
المصادر
- Carlson, Neil R. Physiology of Behavior. 11th ed. Boston: Pearson, 2013. Print.
- Nucleus Accumbens
- Wenzel JM, Rauscher NA, Cheer JF, Oleson EB (2015). "A role for phasic dopamine release within the nucleus accumbens in encoding aversion: a review of the neurochemical literature". ACS Chem Neurosci. 6 (1): 16–26. doi:10.1021/cn500255p. PMID 25491156. الوسيط
|CitationClass=تم تجاهله (مساعدة) -
Malenka RC, Nestler EJ, Hyman SE (2009). "Chapter 10: Neural and Neuroendocrine Control of the Internal Milieu". In Sydor A, Brown RY (المحرر). Molecular Neuropharmacology: A Foundation for Clinical Neuroscience (الطبعة 2nd). New York: McGraw-Hill Medical. صفحة 266. ISBN 978-0-07-148127-4.
Dopamine acts in the nucleus accumbens to attach motivational significance to stimuli associated with reward.
الوسيط|CitationClass=تم تجاهله (مساعدة)صيانة CS1: أسماء متعددة: قائمة المؤلفون (link) -
Malenka RC, Nestler EJ, Hyman SE (2009). Sydor A, Brown RY (المحرر). Molecular Neuropharmacology: A Foundation for Clinical Neuroscience (الطبعة 2nd). New York: McGraw-Hill Medical. صفحات 147–148, 367, 376. ISBN 978-0-07-148127-4.
VTA DA neurons play a critical role in motivation, reward-related behavior (Chapter 15), attention, and multiple forms of memory. This organization of the DA system, wide projection from a limited number of cell bodies, permits coordinated responses to potent new rewards. Thus, acting in diverse terminal fields, dopamine confers motivational salience (“wanting”) on the reward itself or associated cues (nucleus accumbens shell region), updates the value placed on different goals in light of this new experience (orbital prefrontal cortex), helps consolidate multiple forms of memory (amygdala and hippocampus), and encodes new motor programs that will facilitate obtaining this reward in the future (nucleus accumbens core region and dorsal striatum). In this example, dopamine modulates the processing of sensorimotor information in diverse neural circuits to maximize the ability of the organism to obtain future rewards. ...
الوسيط
The brain reward circuitry that is targeted by addictive drugs normally mediates the pleasure and strengthening of behaviors associated with natural reinforcers, such as food, water, and sexual contact. Dopamine neurons in the VTA are activated by food and water, and dopamine release in the NAc is stimulated by the presence of natural reinforcers, such as food, water, or a sexual partner. ...
The NAc and VTA are central components of the circuitry underlying reward and memory of reward. As previously mentioned, the activity of dopaminergic neurons in the VTA appears to be linked to reward prediction. The NAc is involved in learning associated with reinforcement and the modulation of motoric responses to stimuli that satisfy internal homeostatic needs. The shell of the NAc appears to be particularly important to initial drug actions within reward circuitry; addictive drugs appear to have a greater effect on dopamine release in the shell than in the core of the NAc.|CitationClass=تم تجاهله (مساعدة)صيانة CS1: أسماء متعددة: قائمة المؤلفون (link) - Hyman, Steven E.; Malenka, Robert C.; Nestler, Eric J. (2006). "Neural mechanisms of addiction: the role of reward-related learning and memory". Annual Review of Neuroscience. 29: 565–98. doi:10.1146/annurev.neuro.29.051605.113009. PMID 16776597. الوسيط
|CitationClass=تم تجاهله (مساعدة) - Steiner, Heinz; Van Waes, Vincent (2013). "Addiction-related gene regulation: Risks of exposure to cognitive enhancers vs. Other psychostimulants". Progress in Neurobiology. 100: 60–80. doi:10.1016/j.pneurobio.2012.10.001. PMC 3525776. PMID 23085425. الوسيط
|CitationClass=تم تجاهله (مساعدة)
وصلات خارجية
- The role of the nucleus accumbens in the reward circuit. Part of "The Brain From Top to Bottom." at thebrain.mcgill.ca
- Nucleus Accumbens – Cell Centered Database
- Stained brain slice images which include the "nucleus%20accumbens" at the BrainMaps project
- بوابة طب
- بوابة علوم عصبية
- بوابة تشريح
