همود الرئة
الانخماص الرئوي[1] أو همود الرئة[1][2][3] أو اللاتوسع الرئوي[3] من الكلمتين اليونانيتين (غير كامل: ἀτελής) و(امتداد: ἔκτασις) هو انهيار الحويصلات الهوائية في الرئة مما يؤدي إلى نقص أو غياب عملية تبادل الغازات. قد يحدث الانخماص لجزء من الرئة أو رئة كاملة.[4] حيث تكون فيه الحويصلات الهوائية فارغه من الهواء. و ما يميزه عن التصلب الرئوي هو أن انخماص الرئة تكون فيه الحويصلات الهوائية منكمشة.
| همود الرئة | |
|---|---|
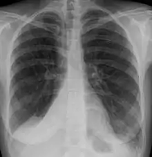
![]() انخماص في الرئة اليمنى انخماص في الرئة اليمنى | |
| معلومات عامة | |
| الاختصاص | طب الرئة |
| من أنواع | مرض رئوي |
| التاريخ | |
| وصفها المصدر | الموسوعة السوفيتية الأرمينية |
من أهم اسبابه : انسداد الحويصلات الهوائية بسبب تجمع المخاط الامر الذي يلاحظ في الغالب بعد العمليات الجراحية حيث يظهر الانخماص خلال 48 ساعه والسبب الاخر هو وجود ضغط خارجي على الرئتين من تجمع سوائل في ما يسمى بال ابيزتكي كيلوتيتتا
من الشائع جداً اكتشاف الانخماص في صور الأشعة السينية للصدر وطرق إشعاعية أخرى، وقد يكون سببه الزفير الطبيعي أو العديد من الحالات الطبية، وعلى الرغم من كثرة وصفه على أنه انهيار أنسجة الرئة، فإن انخماص الرئة ليس مرادفاً لاسترواح الصدر وهي حالة أكثر تحديداً يظهر الانخماص كأحد اعراضها. الانخماص الرئوي الحاد ممكن أن يحدث بسبب مضاعفات ما بعد العمليات الجراحية أو نتيجة لنقص فاعل السطح الرئوي الذي يقلل من التوتر السطحي للرئة، وفي الاطفال حديثي الولادة هذا النقص يؤدي إلى متلازمة الضائقة التنفسية للرضع.
التصنيف
انخماص الرئة قد يكون حالة حادة أو مزمنة؛ في الحالات الحادة تكون الرئة قد حدث لها طي (انهارت) مؤخراً و يكون فقدان الهواء فقط هو الخاصية المميزة. وفي الحالات المزمنة غالباً ما تتميز المنطقة المتضررة بخليط معقد من فقدان الهواء و العدوى و توسع الشعب الهوائية وتدمر وتليّف الرئة.
الانخماص المزمن

الانخماص المزمن قد يتخذ واحداً من الشكلين: إما متلازمة الفص الأوسط أو انخماص مدوّر. في متلازمة الفص الأوسط الأيمن، الفص الأوسط للرئة اليمنى ينقبض عادة بسبب الضغط على الشعب الهوائية من الغدد اللمفاوية المتضخمة أو وجود ورم أحياناً، و من الممكن أن تصاب الرئة المقبوضة المسدودة بالتهاب رئوي يفشل في التحلل تماماً ويؤدي إلى التهاب مزمن وتليف وتوسع الشعب الهوائية.
في الانخماص المدوّر (متلازمة الرئة المطوية) ينهار الجزء الخارجي من الرئة ببطء نتيجة لتليّف وتقلّص طبقات الأغشية التي تغلف الرئة، وهذا ينتج مظهر مدوّر على الأشعة السينية قد يجعل الأطباء يخطئون ويعتقدون أنه ورم. الانخماص المدوّر عادة ما يكون من مضاعفات مرض يصيب الغشاء المغلف للرئة بسبب مادة الأسبستوس (الحرير الصخري)، و يمكن أن ينتج ايضاً من أنواع أخرى من التليف المزمن وتغلّظ أغشية الرئة.
الانخماص الامتصاصي
الغلاف الجوي يتكون من 78% نيتروجين و21% أكسجين، و بما أنه يتم تبادل الأكسجين في أغشية الشعيرات الدموية للحويصلات الهوائية، فإن النيتروجين هو العنصر الرئيسي الذي يحافظ على انتفاخ الحويصلات الهوائية، و بالتالي فإذا تم استبدال كمية كبيرة من النيتروجين في الرئتين بالأكسجين، سيتم امتصاص الأكسجين للدم ويتقلص حجم الحويصلات الهوائية، مما يؤدي إلى شكل من أشكال طي (انهيار) الحويصلات الهوائية المعروف بالانخماص الامتصاصي.[5]
الأعراض والعلامات
قد لا توجد أية أعراض و علامات أو قد تشمل التالي:[6]
- سعال (ليس بارز)
- ألم في الصدر (غير شائع)
- صعوبة في التنفس ( سريع وسطحي)
- انخفاض نسبة تشبع الأكسجين
- انصباب جنبي (سائل منخفض البروتين)
- الازرقاق (علامة متأخرة)
- زيادة معدل ضربات القلب
يوجد فكرة خاطئة شائعة مفادها أن انخماص الرئة يسبب الحمى، ولكن هناك دراسة شملت 100 مريض قامت بسلسلة من الإشعات السينية للصدر وقياسات درجات الحرارة ما بعد العمليات الجراحية أظهرت أن نسبة حدوث الحمى انخفضت بزيادة حدوث الإصابة بانخماص الرئة.[7] كما قامت مقالة حديثة بمراجعة و تلخيص الأدلة المنشورة المتاحة على الارتباط بين انخماص الرئة وحمى ما بعد العمليات الجراحية، و استنتجت أنه ليس هناك دليل طبي يدعم هذا المبدأ.[8]
الأسباب
السبب الأكثر شيوعاً هو الانخماص الذي يحدث ما بعد العمليات الجراحية خلال 48 ساعة، و يتميز هذا النوع من الانخماص بالتجبير، بمعنى أن يكون التنفس محدود بعد عملية جراحية في البطن، و يكون المدخنون وكبار السن أكثر عرضة للخطر. و خارج هذا السياق، فإن انخماص الرئة يشير إلى انسداد الشعيبة أو الشعب الهوائية، والذي يمكن أن يكون ضمن مجرى الهواء (جسم غريب، كتلة من المخاط) أو من ضمن الجدار نفسه (ورم، عادةً سرطان الخلايا الحرشفية) أو ضغط من الخارج (ورم، عقدة لمفاوية، تدرنات)، سبب آخر هو نقص فاعل السطح الرئوي أثناء الشهيق مما يجعل التوتر السطحي في أعلى مستوياته مسبباً طي (انهيار) الحويصلات الهوائية الصغيرة، كما قد يحدث الانخماص أيضاً أثناء شفط البصاق (اللعاب) فيتم سحب الهواء من الرئتين. و يتم تصنيف الأنواع المتعددة من انخماص الرئة وفقا لآليتها الكامنة أو توزيع انهيار الحويصلات الهوائية إلى الانخماص: الامتصاصي، الانضغاطي، الميكروسكوبي، الانقباضي.
- أهم الاسباب
- التخدير في العمليات الجراحية.
- وجود جسم غريب في مجرى الهواء (الأكثر شيوعا عند الأطفال).
- امراض الرئة.
- المخاط الذي يسد مجرى الهواء.
- الضغط على الرئة الناجمة عن تراكم السوائل بين الأضلاع والرئتين (ويسمى هذا الانصباب الجنبي).
- الراحة في الفراش لفترات طويلة مع بعض التغييرات في وضعية الجسم.
- التنفس الضحل (قد يكون ناجم عن تنفس مؤلم).
- الأورام التي تعرقل مجرى الهواء.
التشخيص

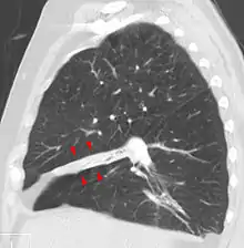
- الأشعة السينية للصدر (اعتِتَمام الرئة المصابة و تقلص حجمها)
- التصوير المقطعي
- منظار الشعب الهوائية
أشعة الصدر السينية كافية لتشخيص حالات الانخماض المعتدة اكلينيكياً. الانخماص ما بعد العمليات الجراحية يظهر في الجزء الأدنى من الرئتين.
العلاج
يتم توجيه العلاج إلى تصحيح السبب الكامن وراء المرض؛ فيعالج الانخماص الرئوي الذي يحدث ما بعد العمليات الجراحية بواسطة العلاج الطبيعي (الفسيولوجي) من خلال التركيز على التنفس العميق والحث على السعال، كما يستخدم مقياس التنفس الحثي، وهي أداة تقيس مقدار حجم الهواء الذي يدخل ويخرج من الرئتين، غالباً كجزء من تمارين التنفس، و يُشجع أيضاً على المشي لتحسين انتفاخ الرئة. و قد يستفيد الأشخاص الذي يعانون من تشوهات صدرية أو حالات عصبية تسبب تنفس سطحي لفترات طويلة من الأجهزة الميكانيكية التي تساعد تنفسهم، مثل أقنعة الضغط الهوائي الإيجابي المستمر، التي توصل الهواء المضغوط أو الأكسجين للأنف للمساعدة على ضمان عدم انهيار الحويصلات الهوائية حتى في نهاية أخذ النفس، وهذا مفيد لأن الحويصلة الهوائية الممتلئة جزئياً بالهواء يمكن توسيعها بسهولة أكثر من الحويصلة الهوائية المنكمشة، وأحياناً هناك حاجة إلى دعم إضافي للتنفس من خلال جهاز تنفس اصطناعي ميكانيكي.
إن العلاج الأساسي للانخماص الرئوي الحاد والضخم هو تصحيح السبب الكامن وراءه، و الانسداد الذي لا يمكن إزالته عن طريق السعال أو شفط المجاري الهوائية يمكن إزالته من خلال منظار الشعب الهوائية، و يتم إعطاء المضادات الحيوية غالباً في حالات الانخماص الرئوي المزمن؛ لأن الإصابة بالعدوى أمر لا مفر منه تقريباً، و في بعض الحالات قد يتم إزالة الجزء المصاب من الرئة جراحياً عندما تصبح الالتهابات المتكررة أو المزمنة المصاحبة للانخماص مضعفة للجسم، أو يصبح النزيف كبيراً. و إذا كان هناك ورم يحجب المجرى الهوائي فإن إزالته بواسطة الجراحة أو العلاج الاشعاعي أو العلاج الكيميائي أو العلاج بالليزر قد يمنع زيادة نطاق الانخماص و حدته و يمنع حدوث الاتهاب الرئوي الانسدادي المتكرر.
المراجع
- قاموس تشخيص الأمراض. نسخة محفوظة 10 أغسطس 2017 على موقع واي باك مشين.
- قاموس مرعشي الطبي. نسخة محفوظة 10 يناير 2020 على موقع واي باك مشين.
- القاموس الطبي. نسخة محفوظة 10 أغسطس 2017 على موقع واي باك مشين.
- Wedding, Mary Ellen; Gylys, Barbara A. (2005). Medical Terminology Systems: A Body Systems Approach: A Body Systems Approach. Philadelphia, Pa: F. A. Davis Company. ISBN 0-8036-1289-3. الوسيط
|CitationClass=تم تجاهله (مساعدة)صيانة CS1: أسماء متعددة: قائمة المؤلفون (link) -
White, Gary C. (2002). Basic Clinical Lab Competencies for Respiratory Care, 4th ed. Delmar Cengage Learning. صفحة 230. ISBN 978-0-7668-2532-1. الوسيط
|CitationClass=تم تجاهله (مساعدة) - Atelectasis Symptoms - Mayo Clinic نسخة محفوظة 25 يوليو 2017 على موقع واي باك مشين.
- Engoren M (January 1995). "Lack of association between atelectasis and fever". Chest. 107 (1): 81–4. doi:10.1378/chest.107.1.81. PMID 7813318. مؤرشف من الأصل في 18 مارس 2020. اطلع عليه بتاريخ أغسطس 2020. الوسيط
|CitationClass=تم تجاهله (مساعدة); تحقق من التاريخ في:|تاريخ الوصول=(مساعدة) - Mavros MN, Velmahos GC, Falagas ME (2011). "Atelectasis as a cause of postoperative fever: where is the clinical evidence?". Chest. 140 (2): 418–24. doi:10.1378/chest.11-0127. PMID 21527508. الوسيط
|CitationClass=تم تجاهله (مساعدة)صيانة CS1: أسماء متعددة: قائمة المؤلفون (link)
روابط خارجية
- 04-048a. at Merck Manual of Diagnosis and Therapy Home Edition
- بوابة طب
