وحمة هالية
وحمة هالية أو شامة ذو هالة (بالإنجليزية halo naevus).[1][2][3] هي شامة يحيطها حلقة بيضاء ، أو هالة ، و تعرف أحيانا بوحمة "سوتون" (Sutton’s naevus )أو البهق (الوضح المكتسب النابذى )الهالة غير قليلة الحدوث و تشاهد عادة عندالأطفال أو البالغين الصغار من كلا الجنسين .وقد تزول في اغلب الأحيان مع مرور الوقت، وقد تمتد لعدة سنوات.
| وحمة هالية | |
|---|---|
| معلومات عامة | |
| الاختصاص | طب الجلد |
| من أنواع | اضطراب جيني |
الأسباب
لأسباب مجهولة ،ولكن يخسر في بعض الأحيان الجلد المحيط بالشامة لونه ولذا تظهر الشامة كما ولو انها محاطة بحلقة بيضاء وهذا يحدث غالباً عند الأطفال والمراهقين وهي غير مؤذية وبمرور الوقت فان هذه الشامة المركزية والحلقة البيضاء المحيطة يتلاشيان وكون ان خسارة اللون تحدث أيضاً في حالة الورم القتاميني فانه في حال الشك يجب مراجعة الطبيب . يختار الجسم شامة محددة واحدة أو أكثر لتدميرها . و يرجع هذا ، على الأرجح ، لأن الجسم يتعرف عليها كخلايا غير سوية بشكل ما ..

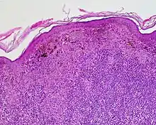
العلامات
تقوم الأجسام المضادة وخلايا بيضاء خاصة ( خلايا T الليمفية ) بمهاجمة الخلايا الصبغية في الشامة . و يؤدي ذلك إلى تغير لون الشامة المركزية من بني غامق إلى بني باهت إلى وردي ، لتختفى في النهاية تماما . ويؤثر هذا التفاعل على الجلد السليم حول الشامة ، حيث يحتوى أيضا على خلايا صبغية ، مسببا الهالة البيضاء تقريبا بعرض 0.5 إلى 1.0 سنتيمتر . و غالبا ما تكون على الجذع ، وهي أقل شيوعا على الرأس، و نادراما تنتشر على الأطراف .
العلاج
الوحمات ذوات الهالة لا يحتاج أي علاج عادة . لكن يجب أن يستعمل كريم واقى الشمس,على كل الجلد أثناء الصيف, للحماية حرق الشمس.ونادرا ما تكون اشامة في مركز الهالة، خبيثة ( سرطانية ) . و مع ذلك تحتاج أى شامة ذو هالة أن يتم فحصها بعناية من قبل طبيب متخصص . الشامة الخبيثة تسمي ورم ميلانيني ( ميلانوم أو ملانوم خبيث).
المصادر
- Mundinger, Gerhard S. (January 16, 2014). "Halo Phenomenon". New England Journal of Medicine. 370 (3): 262–262. doi:10.1056/NEJMicm1306230. الوسيط
|CitationClass=تم تجاهله (مساعدة) - "Halo Nevus - skinsite.com". مؤرشف من الأصل في 08 ديسمبر 2016. اطلع عليه بتاريخ August 4, 2008. الوسيط
|CitationClass=تم تجاهله (مساعدة); تحقق من التاريخ في:|تاريخ أرشيف=(مساعدة) - "CareFair.com - Halo Nevis". مؤرشف من الأصل في 11 مارس 2016. اطلع عليه بتاريخ August 4, 2008. الوسيط
|CitationClass=تم تجاهله (مساعدة)
http://dermatology.about.com/library/bldefhalonevus.htm Halo Nevus
http://www.aocd.org/skin/dermatologic_diseases/halo_moles.html
http://www.healthcommunities.com/moles/halo-nevus.shtml http://www.dermnetnz.org/lesions/halo-mole.html
- بوابة طب