ورم أرومي بالغدة التناسلية
الورم الأرومي بالغدة التناسلية هو ورم يحتوي على مكونات غدية متعددة،[1] كالخلايا الجرثومية الابتدائية الكبيرة، وخلايا سرتولي غير الناضجة، والخلايا المحببة وخلية سدوية.[2]
| ورم أرومي بالغدة التناسلية | |
|---|---|
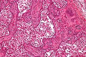
![]() صورة مجهرية للورم الأرومي بالغدة التناسلية بصبغة الهيماتوكسيلين والأيوزين صورة مجهرية للورم الأرومي بالغدة التناسلية بصبغة الهيماتوكسيلين والأيوزين | |
| معلومات عامة | |
| الاختصاص | علم الأورام النسائي |
| من أنواع | نمط خلوي لورم حميد |
المراجع
- Cools M, Stoop H, Kersemaekers AM, et al. (June 2006). "Gonadoblastoma arising in undifferentiated gonadal tissue within dysgenetic gonads". J. Clin. Endocrinol. Metab. 91 (6): 2404–13. doi:10.1210/jc.2005-2554. PMID 16608895. مؤرشف من الأصل في 16 ديسمبر 2019. الوسيط
|CitationClass=تم تجاهله (مساعدة) - Shahrzad Ehdaivand, Nalini Gupta "Gonadoblastoma", PathologyOutlines.com, 2 July 2014 نسخة محفوظة 23 يوليو 2017 على موقع واي باك مشين.
- بوابة طب
- بوابة المرأة
في كومنز صور وملفات عن: ورم أرومي بالغدة التناسلية
This article is issued from Wikipedia. The text is licensed under Creative Commons - Attribution - Sharealike. Additional terms may apply for the media files.
