ورم الأديم العصبي الظاهر البدائي
ورم الأديم العصبي الظاهر البدائي هو ورم خبيث (سرطاني) ورم العرف العصبي.[1] وهو ورم نادر، يحدث عادة لدى الأطفال والشباب الذين تقل أعمارهم عن 25 عامًا. يبلغ معدل البقاء على قيد الحياة لمدة 5 سنوات حوالي 53٪.[2]
| ورم الأديم العصبي الظاهر البدائي | |
|---|---|
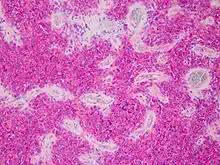
![]() صورة مجهرية لورم الأديم العصبي الظاهر البدائي مصبوغة بالهيماتوكسيلين واليوزين. صورة مجهرية لورم الأديم العصبي الظاهر البدائي مصبوغة بالهيماتوكسيلين واليوزين. | |
| تسميات أخرى | PNET |
| معلومات عامة | |
| الاختصاص | علم الأورام |
| من أنواع | عائلة يوينغ للأورام |
يحصل الورم على اسمه لأن غالبية الخلايا في الورم مشتقة من الأديم العصبي، لكنها لم تتطور وتتميز في الطريقة التي يتطور بها العصبون الطبيعي، وبالتالي تظهر الخلايا "بدائية".
ينتمي ورم الأديم العصبي الظاهر البدائي إلى عائلة يوينغ للأورام
علم الوراثة
باستخدام النقل الجيني لمضاد T-SV40 الكبير في خلايا السلائف العصبية للفئران، تم إنشاء نموذج ورم في الدماغ. كان ورم الأديم العصبي الظاهر البدائي لا يمكن تمييزه من الناحية النسيجية عن نظيراته البشرية، وقد تم استخدامها لتحديد الجينات الجديدة المشاركة في سرطانة ورم الدماغ البشري.[3]
التشخيص

التصنيف
يُصنّف ورم الأديم العصبي الظاهر البدائي إلى نوعين، بناءً على موقعه في الجسم: المحيطي وورم الأديم العصبي الظاهر البدائي في الجهاز العصبي المركزي.
ورم الأديم العصبي الظاهر البدائي الطرفي
يُعتقد الآن أن ورم الأديم العصبي الظاهر البدائي الطرفي أو المحيطي (pPNET) مطابق تقريبًا لساركومة يوينغ.
تشير الأدلة الحالية إلى أن كلا من ساركومة يوينغ وورم الأديم العصبي الظاهر البدائي لهما نمط ظاهري عصبي متشابه، ولأنهما يشتركان في انتقال الكروموسوم المتطابق، فيجب النظر إليهما على أنهما نفس الورم، ويختلفان فقط في درجة التمايز العصبي. الأورام التي تُظهر التمايز العصبي بواسطة الفحص المجهري الخفيف أو الكيمياء المناعية أو الميكروسكوب الإلكتروني تم تصنيفها تقليديًا على أنها ورم الأديم العصبي الظاهر البدائي، وتم تشخيص تلك التي لا تختلف عن هذه التحليلات على أنها ساركومة يوينغ.[4]
ورم الأديم العصبي الظاهر البدائي في الجهاز العصبي المركزي

يشير ورم الأديم العصبي الظاهر البدائي في الجهاز العصبي المركزي بشكل عام إلى ورم الأديم العصبي الظاهر البدائي فوق الثانوي.
- في الماضي كانت الأورام الأرومية النخاعية تعتبر ورم الأديم العصبي الظاهر البدائي. ومع ذلك، فهي متميزة جينيا ونسخيا وسريريا.
- أورام الأرومة الغاذية (بالإنجليزية: Pineoblastomas) هي أورام جنينية تنشأ في الغدة الصنوبرية ومن المحتمل أن تكون متميزة عن ورم الأديم العصبي الظاهر البدائي فوق الثانوي.
المراجع
- "primitive neuroectodermal tumor" في معجم دورلاند الطبي
- Smoll, N. R. (2012). "Relative survival of childhood and adult medulloblastomas and primitive neuroectodermal tumors (PNETs)". Cancer. 118 (5): 1313–1322. doi:10.1002/cncr.26387. PMID 21837678. الوسيط
|CitationClass=تم تجاهله (مساعدة) - "A model for primitive neuroectodermal tumors in transgenic neural transplants harboring the SV40 large T antigen". Am. J. Pathol. 144 (3): 556–64. مارس 1994. PMID 8129041. الوسيط
|CitationClass=تم تجاهله (مساعدة) - Kumar, Vinay; Fausto, Nelso; Abbas, Abul (2004) Robbins & Cotran Pathologic Basis of Disease (7th ed.). Saunders. Page 1301. (ردمك 0-7216-0187-1).
- بوابة طب
- بوابة علم الأحياء الخلوي والجزيئي
