ورم الخلايا الكبيرة المتحولة الليمفاوي
الاورام اللمفاوية للخلايا الكبيرة المتحولة[1] أو اللمفوما ضخمة الخلايا فاقدة التمايز الخلوي (ALCL) هو نوع من الأورام اللمفاوية غير هودجكين ولها سمات الاورام اللمفاوية في تصنيف منظمة الصحة العالمية (WHO).
| ورم الخلايا الكبيرة المتحولة الليمفاوي | |
|---|---|
![]() | |
| معلومات عامة | |
| الاختصاص | علم الأورام ، وعلم المناعة ، وعلم الأوعية |
| من أنواع | لمفوما تائية الخلايا ، ولمفوما لاهودجكينية |
| الإدارة | |
| أدوية | |
وتستمد اسمها من تحول الخلايا والأورام اللمفاوية للخلية الكبيرة.
علامات وأعراض
يحدث في كل من المواقع العقدية والغير عقدية. وعادة ما يكون في مرحلة متأخرة وغالبا ما تكون الأعراض المصاحبة اعراض عامة ("أعراض باء").والاورام الحبيبية قد تكون موجودة.[2]
تشخيص المرض
لجعل هذا التشخيص في إطار النظام الحالي للتصنيف، تحدد منظمة الصحة العالمية وجود "سمة" في الخلايا ومناعة ايجابية لCD30
معرفة التصنيف النموذجى، ولكن لا تتطلب، مناعة ايجابية للبروتين المحلل للحركة قي الورم الليفى المتحول (ALK). ولا يشمل ذلك على وجه التحديد خلايا تى للأورام اللمفاوية الجلدية الأولية وغيرها من الأنواع المحددة من الأورام اللمفاوية المتحولة(ولا سيما تلك الخلايا باء النسب)مع الإيجابية لخلايا CD30.
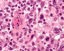
السمة المميزة للخلايا هي انها متوسطة الحجم ووفرة السيتوبلاسما المميزة (التي قد تكون واضحة وحمضى أو قلوى)، والنواة على شكل كلية وحمضية المنطقة المجاورة للنواة. في بعض الأحيان قد تكون الخلايا التي تم تحديدها في تحديد القطاع يمر بالنواة ويبدو بهذه الطريقة أنه يحتوى على منطقة السيتوبلاسما داخل حلقة وهذه الخلايا تسمى خلايا "الدونات".
بحكم تعريفها، في فحص خلايا النسيج، الخلايا المميزة تكون دائما موجودة. حيث لا توجد بأعداد كبيرة، وعادة ما تقع حول الأوعية الدموية. المتغيرات الخلوية تشمل الأنواع التالية :
- المنتشر (تتميز بانتشار السمة المميزة للخلايا)
- خلية صغيرة (تتميز بخلايا اصغر مع نفس الصفات المناعية مثل الخلايا ذات السمة المميزة)
- الخلايا اللمفاوية
- الخلايا السرطانية
- توقيع الحلقة للخلايا
الصفات المناعية
السمة المميزة للخلايا (والمتغيرات) وتظهر مناعة ايجابية لخلايا CD30(المعروف أيضا باسم كي - 1). الإيجابية الحقيقة تتطلب تحديد الإشارة إلى غشاء الخلية و/ أو المنطقة الجار نووية (الإيجابية السيتوبلازمية تعتبر غير محددة وغير مفيدة). علامة أخرى مفيدة تساعد على التفريق بين هذه الامراض وداء هودجكين هو كلسترين. خلايا الورم لها نمط تلوين جولجى (ومن ثم الصبغة الجار نووية)، والتي تتميز بها هذه الأورام اللمفاوية. كما أن الخلايا عادة ايجابية بالنسبة لمجموعة فرعية من سمات سلالة خلية تي. ولكن، وكما مع غيرها من الخلايا تي اللمفومات، فإنها عادة ما تكون سلبية لكل سمات CD3 لخلية تي والأمثلة العرضية (لا تى ولا باء) ليست نوع من الخلايا. الاورام اللمفاوية تظهر مناعة ايجابية لبروتين ALK في 70 ٪ من الحالات. وهي عادة إيجابية للجمعية (ايما). على النقيض من العديد من الاورام اللمفاوية لخلايا باء المتحولة والايجابية لCD30، فهي سلبية بالنسبة لسمات فيروس إبستين - بار (EBV).
البيولوجيا الجزيئية
معظم الحالات ،أكثر من 90 ٪، وتتضمن إعادة ترتيب استعمارى لمستقبلات خلية تي. ويمكن تحديد ذلك باستخدام تقنيات الاسترداد، مثل تي غاما متعددة الاسترداد.الاحتمالات السرطانية يمنحها تنظيم جين تحليل حركة التيروزين على الكروموزوم 2. انتقالات مختلفة ومتعددة تصيب هذا الجين تم تحديدها في حالات مختلفة من هذا الأورام اللمفاوية. الأكثر شيوعا هو انتقال الكروموسوماتمشتملة على الجين نيكلوفوسين على الصبغي 5. ويمكن تحديد الانتقال من خلال تحليل انتشار روابط جيمسا المنقسمة في الخلايا السرطانية وتتميز ب t(2;5)(p23;q35 نتاج هذا الاندماج الجينى يمكن تحديدها بالكيمياء المناعية باستخدام مصل مضاد لبروتين ALK. تتوفر فحوصات لتحديد الانتقال عن طريق التهجين الداخلى بالفلورين. فإن العنصر نيكلوفوسمين مصاحبا بالانتقال الأكثر شيوعا يؤدى إلى النتائج الإيجابية النووية بالإضافة إلى الإيجابية السيتوبلازمية. الإيجابية مع الانتقالات الآخرى قد يكون مقصورا على السيتوبلازم.
التشخيص التفريقي وعثرات التشخيص
بما أن ظهور السمة المميزة للخلايا ونمط النمو (التعشيش داخل الغدد الليمفاوية) والإيجابية لايما قد تماثل السرطان المنتشر، من المهم أن تشمل علامات لخلايا الجلد في أي لوحة تشخيص (وهذه العلامات سوف تكون سلبية في حالة الأورام اللمفاوية المتحولة). اورام أخرى مماثلة تشمل الورم اللمفى لخلايا باء إيجابية لCD30 مع خلايا متحولة(بما فيها داء هودجكين). وهذه الاورام تتميز بايجابيتها لعلامات للخلايا باء النسب وتكرار وجود علامات EBV. الورم اللمفى الأولي لخلايا تي الجلدية يمكن أيضا أن يكون إيجابيا لCD30 وهذه تستبعد عن طريق التوزيع التشريحى. الايجابية لALK يمكن أيضا أن توجد في الاورام اللمفاوية لبعض خلايا باء الكبيرة وأحيانا في الاورام السرطانية للغضاريف والعضلات
العلاج
- على غرار المبادئ التوجيهية "ورم الغدد اللمفاوية العدوانى"
- CHOP هو الخط الأول للعلاج، CHOP-ريتوكسيماب في السيناريو غير المرجح أن CD20 إيجابي، بالنظر إلى أن CD20 هي علامة الخلية باء.
- العلاج الإشعاعي حسب امرجعية المؤسسية (على أساس محاولات ECOG، SWOG، وGELA)، ولكن عادة ما يضاف للمرض الخطير
- أفضل التطورات على العموم "الاورام اللمفاوية العدوانية"
- 70-80 ٪ البقاء 5سنوات لALK+
- 30-50 ٪ البقاء 5 سنوات ل -ALK
تطور المرض
خلال العلاج، الانتكاسات قد تحدث ولكنها تبقى عادة حساسة للعلاج الكيميائي.
الذين لديهم ايجابية لALK يتمتعون بأفضل تطور. ومن المحتمل أن الاورام اللمفاوية المتحولة ذات الخلية الكبيرة والسالبة لALK تمثل انوع أخرى من الاورام اللمفاوية لخلايا تي الذي يتشابه شكليا مع ALCL في مسار نهائى وعام للمرض. ومن المحتمل أن النظم القائمة للتصنيف سيتم تنقيحها في المستقبل لاستبعاد مثل هذه الاورام اللمفاوية من هذا التشخيص المحدد.
علم الأوبئة
فإن الأورام اللمفاوية أكثر شيوعا في الشباب والذكور.
دارسة 2008 وجدت زيادة خطر الاصابة بALCL في الثدى من النساء ذوات الثدي السيليكون المركب صناعيا، على الرغم من أن الخطر الشامل لا تزال منخفضة للغاية نظرا للحدوث النادر للورم.[3]
المراجع
- مركز الحسين للسرطان. نسخة محفوظة 30 أبريل 2019 على موقع واي باك مشين.
- Balamurugan S, Rajasekar B, Rao RR (2009). "Anaplastic large-cell lymphoma with florid granulomatous reaction: A case report and review of literature". Indian J Pathol Microbiol. 52 (1): 69–70. PMID 19136786. مؤرشف من الأصل في 01 أكتوبر 2018. الوسيط
|CitationClass=تم تجاهله (مساعدة)صيانة CS1: أسماء متعددة: قائمة المؤلفون (link) - de Jong D, Vasmel WL, de Boer JP; et al. (2008). "Anaplastic large-cell lymphoma in women with breast implants". JAMA. 300 (17): 2030–5. doi:10.1001/jama.2008.585. PMID 18984890. الوسيط
|CitationClass=تم تجاهله (مساعدة); Explicit use of et al. in:|مؤلف=(مساعدة)صيانة CS1: أسماء متعددة: قائمة المؤلفون (link)
الروابط الخارجية
- معلومات عن الاورام اللمفاوية ذات الخلية الكبيرة المتحولة (كي 1 / قرص 30) من شبكة معلومات اورام الغدد اللمفاوية
- بوابة طب
