ورم الكيس الكيراتيني
هو ورم نادر وحميد ولكنه عدواني محليا (ورم كيسي ) . وهو ورم سني المنشأ و غالباً ما يظهر في الفك السفلي الخلفي .[1]

ورم الكيس الكيراتيني سني المنشأ
التشخيص
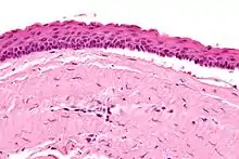
التشخيص النهائي عن طريق التحليل النسيجي ، أي الاستئصال وفحصها تحت المجهر . تشبه الأغشية الحرشفية الكيراتينية بغموض .[2]
ومع ذلك فإنها تفتقر إلى الحواف , و غالبا ما يكون هناك تحت المجهر , غالباً فصل انفصال عن الغشاء القاعدي المحيط بهم .

سبب المرض
يعتقد أن ورم الكيسَ الكيراتيني السِنِّيَّ المَنْشَأ ينشأ من الصفيحة السنية ويرتبط بالأسنان المطمورة . الأكياس الكيراتينية سنية المنشأ المتعددة هي سمة من سمات متلازمة سرطان الخلايا القاعدية . الأكياس الكيراتينية سنية المنشأ تستمد من بقايا الصحيفة السنية .
الأعراض
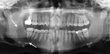
التورم هو العرض الأكثر شيوعا , لكن يمكن لأورام الأكياس الكيراتينية سنية المنشأ أن تكون بدون أعراض مرضية و أن يتم اكتشافها صدفة على صور الأشعة السنية للأسنان .[4]
التشخيص التفريقي بالأشعة
ورم مخاطي سني المنشأ
ورم أرومي مينائي
حبيبة وسط الخلية العملاقة
التشخيص التفريقي بالتشريح النسجي
الكيس الكيراتيني اورثو
التحول الخبيث
قد يحدث التحول الخبيث لسرطان الخلايا الحرشفية ، ولكن الأمر غير مألوف . .[5]
صور اضافية
Intermed. mag.
High mag.
Intermed. mag.
العلاج
ككيان نادر جداً تختلف الآراء بين الخبراء حول كيفية التعامل مع أورام الأكياس الكيراتينية سنية المنشأ .
خيارات العلاج
- الاستئصال الجراحي الواسع (محليا)
- التوخيف - الافتتاح الجراحي لتجويف الكيس الكيراتيني سني المنشأ و إنشاء تجويف جرابي مثل الحقيبة ، بحيث يبقى التجويف في اتصال مع الخارج لفترة طويلة ، على سبيل المثال ثلاثة أشهر .
- الكحت ( الختان البسيط و كشط تدريجي من التجويف ) .
- إزالة العظم طرفيا بعد الكحت أو القلع
- الختان البسيط
- محلول كارنوي - وعادة ما تستخدم بالاقتران مع الختان .
- القلع و العلاج بالتبريد[6]
المراجع
- 1. Madras J, Lapointe H (March 2008). "Keratocystic odontogenic tumour: reclassification of the odontogenic keratocyst from cyst to tumour". J Can Dent Assoc 74 (2): 165–165h. ببمد 18353202
- Thompson LDR. Head and neck pathology - (Foundations in diagnostic pathology). Goldblum JR, Ed.. Churchill Livingstone. 2006. ISBN 0-443-06960-3.
- 4. Jump up^ PATCHED, DROSOPHILA, HOMOLOG OF, 1; PTCH1. OMIM. URL:http://www.ncbi.nlm.nih.gov/entrez/dispomim.cgi?id=601309. Accessed on: December 25, 2008
- 5. Habibi A, Saghravanian N, Habibi M, Mellati E, Habibi M (September 2007)."Keratocystic odontogenic tumor: a 10-year retrospective study of 83 cases in an Iranian population". J Oral Sci 49 (3): 229–35. doi:10.2334/josnusd.49.229.ببمد 17928730
- Piloni MJ, Keszler A, Itoiz ME (2005). "Agnor as a marker of malignant transformation in odontogenic keratocysts". Acta Odontol Latinoam 18 (1): 37–42.ببمد 16302459.
- Schmidt BL, Pogrel, MA, (2001). "The use of enucleation and liquid nitrogen cryotherapy in the management of odontogenic keratocysts.". J Oral Maxillofac Surg. 59: 720–727. doi:10.1053/joms.2001.24278.
- بوابة طب