ورم المتوسطة
ورم المتوسطة هو ورم يتطور من الطبقة الرقيقة من الأنسجة التي تغطي العديد من الأعضاء الداخلية (المعروفة باسم الظهارة المتوسطة).[3] تعد المنطقة الأكثر إصابة هي بطانة الرئتين وجدار الصدر،[4][5] ويكون أقل شيوعًا في الغشاء المصلي البطني ونادرًا ما يتأثر التامور.[6] قد تشمل علامات وأعراض ورم المتوسطة ضيق التنفس بسبب تراكم السوائل حول الرئة بالإضافة إلى الانتفاخ البطني والألم الصدري والسعال والشعور بالتعب وفقدان الوزن.[7] عادةً ما تظهر هذه الأعراض بشكل تدريجي.[8]
| ورم المتوسطة | |
|---|---|
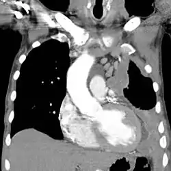
![]() ورم المتوسطة في الجانب الأيسر مع تضخم العقد المنصفية (تصوير مقطعي محوسب). ورم المتوسطة في الجانب الأيسر مع تضخم العقد المنصفية (تصوير مقطعي محوسب). | |
| معلومات عامة | |
| الاختصاص | علم الأورام |
| من أنواع | مرض مرتبط بالأسبست ، وسرطان خلوي |
| المظهر السريري | |
| الأعراض | أزيز [1]، وضيق النفس ، وألم الصدر ، وانصباب جنبي ، وفقدان الوزن [2] |
تحدث أكثر من 80% من حالات ورم المتوسطة بسبب التعرض للأسبست. وكلما زاد التعرض كان الخطر أكبر. تعرض نحو 125 مليون شخص في جميع أنحاء العالم لمادة الأسبست في العمل اعتبارًا من عام 2013.[9] تحدث معدلات عالية من المرض عند الأشخاص الذين يعملون بتعدين الأسبست أو يشاركون في تصنيع منتجاته أو يعملون في المباني التي تحتوي على الأسبست. تشمل عوامل الخطر الأخرى علم الوراثة والعدوى بالفيروس القردي 40. يمكن الاشتباه في التشخيص بناءً على نتائج الأشعة السينية للصدر والأشعة المقطعية، أما تأكيد التشخيص فيكون إما عن طريق علم الأحياء الخلوي أو عن طريق خزعة من الأنسجة المصابة.
يشمل علاج ورم المتوسطة الجراحة والعلاج الشعاعي والعلاج الكيميائي.[10] يضم العلاج الكيميائي أدوية سيسبلاتين وبيميتريكسيد.[11] تبلغ النسبة المئوية للأشخاص الذين يبقون على قيد الحياة لمدة خمس سنوات بعد التشخيص 8% في الولايات المتحدة.[12]
في عام 2015، كانت هناك نحو 60,800 شخص مصاب بورم المتوسطة، وتوفي 32,000 بسبب المرض. تختلف معدلات الإصابة بورم المتوسطة بين المناطق في العالم. إذ تكون المعدلات أعلى في أستراليا والمملكة المتحدة وأقل في اليابان. تحدث نحو 3000 إصابة سنويًا في الولايات المتحدة، وهو أشيع عند الذكور أكثر من الإناث. ازدادت معدلات الإصابة بالمرض منذ الخمسينيات من القرن الماضي. عادةً ما يكون التشخيص بعد سن 65 ومعظم الوفيات تحدث في عمر 70. كان المرض نادرًا قبل بدء الاستخدام التجاري للأسبست.[13][14]
العلامات والأعراض
الرئتان
قد لا تظهر أعراض أو علامات ورم المتوسطة حتى عمر 20 إلى 50 عامًا (أو أكثر) بعد التعرض لمادة الأسبست. غالبًا ما يكون ضيق التنفس والسعال والألم الصدري نتيجة تراكم السوائل في الحيّز الجنبي (الانصباب الجنبي) من أعراض ورم المتوسطة.[15]
يمكن أن يسبب ورم المتوسطة الذي يؤثر على غشاء الجنب العلامات والأعراض التالية:[15]
- ألم صدري.
- انصباب جنب.
- ضيق في التنفس - الذي قد يكون بسبب انخماص الرئة.
- التعب أو فقر الدم.
- بحة في الصوت أو سعال.
- وجود الدم في القشع أو نفث الدم.
في الحالات الشديدة، قد يكون لدى الشخص العديد من الكتل الورمية. قد يصاب الفرد بالانخماص الرئوي أو استرواح الصدر. ويمكن أن ينتشر المرض إلى أجزاء أخرى من الجسم.
البطن
الأعراض الأكثر شيوعًا لورم المتوسطة في الغشاء المصلي البطني هي: الانتفاخ البطني والألم الناجم عن الاستسقاء (تراكم السوائل في تجويف البطن). قد تشمل العلامات الأخرى: فقدان الوزن والحمى والتعرق الليلي وضعف الشهية والتقيؤ والإمساك والفتق السري. إذا انتشر السرطان خارج الطبقة المتوسطة إلى أجزاء أخرى من الجسم،[16] فقد تشمل الأعراض ألمًا أو صعوبة في البلع أو انتفاخًا في الرقبة والوجه. قد تحدث هذه الأعراض بسبب ورم المتوسطة أو بسبب حالات أخرى غير ورمية أقل خطورة.
لا تسبب الأورام التي تصيب التجويف البطني أعراضًا حتى تصل إلى مرحلة متأخرة. تشمل الأعراض ما يلي:
- ألم بطني.
- استسقاء، أو تراكم غير طبيعي للسوائل في البطن.
- كتلة في البطن.
- اضطراب في وظيفة الأمعاء.
- فقدان الوزن.
القلب
لم تُحدَّد الأعراض الناجمة عن ورم المتوسطة التاموري بشكل دقيق، لكن تضمنت الحالات المدروسة أعراضًا قلبية وأمراضًا مثل: التهاب التامور وقصور القلب والانصمام الرئوي. وُجدت أيضًا أعراضًا أخرى غير محددة، بما في ذلك ألم الصدر تحت القص والزلة الاضطجاعية (ضيق التنفس عند الاستلقاء) والسعال. تحدث هذه الأعراض بسبب تضخم الورم أو ضغطه على عضلة القلب.
المرحلة الأخيرة
في الحالات الشديدة من المرض، قد تظهر العلامات والأعراض التالية:
- الخثرات الدموية في الأوردة، والتي قد تسبب التهاب الوريد الخثاري.
- التخثر المنتشر داخل الأوعية الدموية، وهو اضطراب يسبب نزيفًا حادًا في العديد من أعضاء الجسم.
- اليرقان أو اصفرار العين والجلد.
- انخفاض سكر الدم.
- انصباب الجنب.
- الانسداد الرئوي أو خثرات دموية في شرايين الرئتين.
- استسقاء شديد.
أما في حال تشكل النقائل، فهي غالبًا ما تكون في الكبد أو الغدة الكظرية أو الكلى أو الرئة الأخرى.[17]
الأسباب
يُعتبر التعامل مع مادة الأسبست عامل الخطورة الأكثر شيوعًا لظهور هذه الأورام. ومع ذلك، سُجّلت حالات عند بعض الأفراد دون أي تعرض معروف للأسبست.[18][19]
الأسبست
وُجد أن نسبة حدوث ورم المتوسطة تكون أعلى عند السكان الذين يعيشون بالقرب من أماكن مادة الأسبست. يمكن أن يتعرض الناس للأسبست الموجود بشكل طبيعي في المناطق التي يحدث فيها التعدين أو تشييد الطرق، أو من الصخور المحتوية على الأسبست. هناك طريقة شائعة أخرى للتعرض، وهي من خلال التربة المحتوية على الأسبست، والتي تستخدم للتبييض وصناعة الجص الموجود في سقوف البيوت في اليونان. تسبَّب ورم الظهارة المتوسطة في وسط كابادوكيا، تركيا بنحو 50% من مجمل الوفيات في ثلاث قرى صغيرة - توزكوي وكارين وسارهيدج. تسبب التعرض البيئي للأسبست في حدوث ورم المتوسطة في أماكن أخرى غير تركيا، بما في ذلك كورسيكا واليونان وقبرص والصين وكاليفورنيا.[20][21]
عزز التواجد الموثق لألياف الأسبست في إمدادات المياه والمنتجات الغذائية المخاوف بشأن التأثير المحتمل الناتج عن التعرض الطويل الأمد لهذه المادة. يعد التعرض لمادة التالك أيضًا عامل خطر لورم المتوسطة. قد يكون التعرض ناجمًا العيش بالقرب من مناجم التالك أو عن العمل فيها.[22]
أسباب مهنية
اعتُرف بخطر التعرض لألياف الأسبست على الصحة المهنية منذ أوائل القرن العشرين. واستنتجت العديد من الدراسات الوبائية ارتباط التعرض المهني للأسبست مع تطور أمراض مثل: اللويحات الجنبية وتليف الرئة وسرطان الرئة والحنجرة وأورام الجهاز الهضمي وورم المتوسطة في غشاء الجنب والصفاق. استُخدم الأسبست على نطاق واسع في العديد من المنتجات الصناعية بما في ذلك الأسمنت وبطانات الفرامل والجوانات ومنتجات صنع الأرضيات والمنسوجات والعزل.[23][24]
استمرت تجارة تعدين الأسبست في ويتنوم، غرب أستراليا، من عام 1937 إلى عام 1966. حدثت الحالة الأولى من ورم المتوسطة في المدينة في عام 1960. وكانت الحالة الثانية في عام 1969، ثم بدأت الحالات الجديدة في الظهور بشكل متكرر بعد ذلك. تراوحت الفترة الفاصلة بين التعرض الأولي للأسبست وتطور ورم المتوسطة من 12 سنة و 9 أشهر إلى 58 سنة. أفادت دراسة جماعية لعمال المناجم العاملين في المنجم أن 85 حالة وفاة تعزى إلى ورم المتوسطة قد حدثت بحلول عام 1985. وبحلول عام 1994 أُبلغ عن 539 حالة وفاة بسبب ورم المتوسطة في غرب أستراليا.[25]
أسباب وراثية
وجد بحث حديث أُجري على السكان الأمريكيين البيض في عام 2012، أن الأشخاص الذين لديهم طفرة في جين (بي إيه بّي 1) هم أكثر عرضة لخطر الإصابة بورم المتوسطة والأورام الميلانينية.[26]
مراجع
- http://www.asbestos.com/mesothelioma/symptoms.php
- https://www.mesotheliomaguide.com/mesothelioma/symptoms/
- "Malignant Mesothelioma—Patient Version". NCI. January 1980. مؤرشف من الأصل في 06 أبريل 2016. اطلع عليه بتاريخ 03 أبريل 2016. الوسيط
|CitationClass=تم تجاهله (مساعدة) - "Malignant Mesothelioma Treatment–Patient Version (PDQ®)". NCI. September 4, 2015. مؤرشف من الأصل في 05 أبريل 2016. اطلع عليه بتاريخ 03 أبريل 2016. الوسيط
|CitationClass=تم تجاهله (مساعدة) - Robinson, BM (November 2012). "Malignant pleural mesothelioma: an epidemiological perspective". Annals of Cardiothoracic Surgery. 1 (4): 491–6. doi:10.3978/j.issn.2225-319X.2012.11.04. PMC 3741803. PMID 23977542. الوسيط
|CitationClass=تم تجاهله (مساعدة) - Sardar, MR; Kuntz, C; Patel, T; Saeed, W; Gnall, E; Imaizumi, S; Lande, L (2012). "Primary pericardial mesothelioma unique case and literature review". Texas Heart Institute Journal / From the Texas Heart Institute of St. Luke's Episcopal Hospital, Texas Children's Hospital. 39 (2): 261–4. PMC 3384041. PMID 22740748. الوسيط
|CitationClass=تم تجاهله (مساعدة) - Panou, V; Vyberg, M; Weinreich, UM; Meristoudis, C; Falkmer, UG; Røe, OD (June 2015). "The established and future biomarkers of malignant pleural mesothelioma". Cancer Treatment Reviews. 41 (6): 486–95. doi:10.1016/j.ctrv.2015.05.001. PMID 25979846. الوسيط
|CitationClass=تم تجاهله (مساعدة) - Kondola, S; Manners, D; Nowak, AK (12 February 2016). "Malignant pleural mesothelioma: an update on diagnosis and treatment options". Therapeutic Advances in Respiratory Disease. 10 (3): 275–88. doi:10.1177/1753465816628800. PMC 5933604. PMID 26873306. الوسيط
|CitationClass=تم تجاهله (مساعدة) - Gulati, M; Redlich, CA (March 2015). "Asbestosis and environmental causes of usual interstitial pneumonia". Current Opinion in Pulmonary Medicine. 21 (2): 193–200. doi:10.1097/MCP.0000000000000144. PMC 4472384. PMID 25621562. الوسيط
|CitationClass=تم تجاهله (مساعدة) - Whittemore, Alice S. (2006). Cancer epidemiology and prevention (الطبعة 3rd). Oxford: Oxford University Press. صفحة 669. ISBN 9780199747979. مؤرشف من الأصل في 28 أبريل 2020. الوسيط
|CitationClass=تم تجاهله (مساعدة) - "Malignant Mesothelioma Treatment–Patient Version (PDQ®)". NCI. September 4, 2015. مؤرشف من الأصل في 05 أبريل 2016. اطلع عليه بتاريخ 03 أبريل 2016. الوسيط
|CitationClass=تم تجاهله (مساعدة) - "Age-Adjusted SEER Incidence and U.S. Death Rates and 5-Year Relative Survival (Percent) By Primary Cancer Site, Sex and Time Period" (PDF). NCI. مؤرشف (PDF) من الأصل في 06 سبتمبر 2015. اطلع عليه بتاريخ 03 أبريل 2016. الوسيط
|CitationClass=تم تجاهله (مساعدة) - GBD 2015 Disease and Injury Incidence and Prevalence, Collaborators. (8 October 2016). "Global, regional, and national incidence, prevalence, and years lived with disability for 310 diseases and injuries, 1990-2015: a systematic analysis for the Global Burden of Disease Study 2015". Lancet. 388 (10053): 1545–1602. doi:10.1016/S0140-6736(16)31678-6. PMC 5055577. PMID 27733282. الوسيط
|CitationClass=تم تجاهله (مساعدة) - GBD 2015 Mortality and Causes of Death, Collaborators. (8 October 2016). "Global, regional, and national life expectancy, all-cause mortality, and cause-specific mortality for 249 causes of death, 1980-2015: a systematic analysis for the Global Burden of Disease Study 2015". Lancet. 388 (10053): 1459–1544. doi:10.1016/s0140-6736(16)31012-1. PMC 5388903. PMID 27733281. الوسيط
|CitationClass=تم تجاهله (مساعدة) - Barreiro, TJ; Katzman, PJ (2006). "Malignant mesothelioma: a case presentation and review". The Journal of the American Osteopathic Association. 106 (12): 699–704. PMID 17242414. مؤرشف من الأصل في 22 أبريل 2015. الوسيط
|CitationClass=تم تجاهله (مساعدة) - Raza, A; Huang, WC; Takabe, K (2014). "Advances in the management of peritoneal mesothelioma". World Journal of Gastroenterology. 20 (33): 11700–11712. doi:10.3748/wjg.v20.i33.11700. PMC 4155360. PMID 25206274. الوسيط
|CitationClass=تم تجاهله (مساعدة) - Susana Cedres, Lorena Farinas, Neda Stejpanovic, Pablo Martinez, Alex Martinez, Esther Zamora, Maria Angeles Montero & Enriqueta Felip (April 2013). "Bone metastases with nerve root compression as a late complication in patient with epithelial pleural mesothelioma". Journal of Thoracic Disease. 5 (2): E35–E37. doi:10.3978/j.issn.2072-1439.2012.07.08. PMC 3621936. PMID 23585954. الوسيط
|CitationClass=تم تجاهله (مساعدة)صيانة CS1: أسماء متعددة: قائمة المؤلفون (link) - "Study says Carbon Nanotubes as Dangerous as Asbestos". Scientific American. مؤرشف من الأصل في 1 يناير 2020. الوسيط
|CitationClass=تم تجاهله (مساعدة) - Attanoos, RL; Churg, A; Galateau-Salle, F; Gibbs, AR; Roggli, VL (26 February 2018). "Malignant Mesothelioma and Its Non-Asbestos Causes". Archives of Pathology & Laboratory Medicine. 142 (6): 753–760. doi:10.5858/arpa.2017-0365-RA. PMID 29480760. الوسيط
|CitationClass=تم تجاهله (مساعدة) - Dogan, Umran (2003). "Mesothelioma in Cappadocian villages". Indoor and Built Environment. 12 (6): 367–375. doi:10.1177/1420326X03039065. ISSN 1420-326X. الوسيط
|CitationClass=تم تجاهله (مساعدة) - Carbone M, Emri S, Dogan AU, Steele I, Tuncer M, Pass HI, Baris YI, et al. (2007). "A mesothelioma epidemic in Cappadocia: scientific developments and unexpected social outcomes". Nature Reviews Cancer. 7 (2): 147–54. doi:10.1038/nrc2068. PMID 17251920. الوسيط
|CitationClass=تم تجاهله (مساعدة) - "Asbestos in Drinking-water: Background document for development of WHO Guidelines for Drinking-water quality" (PDF). 2003. مؤرشف من الأصل (PDF) في 8 مايو 2019. اطلع عليه بتاريخ 30 يوليو 2019. الوسيط
|CitationClass=تم تجاهله (مساعدة) - Sporn TA, Roggli VL (2004). "Mesothelioma". In Roggli VL, Oury TD, Sporn TA (المحررون). Pathology of Asbestos-associated Diseases (الطبعة 2nd). Springer. صفحة 104. الوسيط
|CitationClass=تم تجاهله (مساعدة) - Roggli VL, Sharma A, Butnor KJ, Sporn T, Vollmer RT (2002). "Malignant mesothelioma and occupational exposure to asbestos: a clinicopathological correlation of 1445 cases". Ultrastruct Pathol. 26 (2): 55–65. doi:10.1080/01913120252959227. PMID 12036093. مؤرشف من الأصل في 3 مايو 2020. الوسيط
|CitationClass=تم تجاهله (مساعدة) - Hillerdal G (August 1999). "Mesothelioma: cases associated with non-occupational and low dose exposures". Occup Environ Med. 56 (8): 505–13. doi:10.1136/oem.56.8.505. PMC 1757769. PMID 10492646. الوسيط
|CitationClass=تم تجاهله (مساعدة) - Germline BAP1 mutations predispose to malignant mesothelioma نسخة محفوظة 2011-10-14 على موقع واي باك مشين. Testa et al. 43(10):1022-5 - Nature Genetics
- بوابة طب
