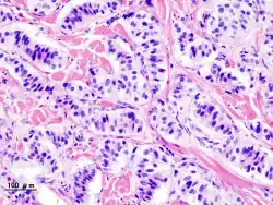
ورم جزيري
وَرَمٌ جَزيرِيّ أو يُسمّى أيضًا وَرَمٌ إِنسولينيّ (بالإنجليزية: Insulinoma) هو ورم في البنكرياس ينشأ من خلايا بيتا ويُفرز الإنسولين. وهو شكل نادر من أورام الغدد الصم العصبية. معظم الأورام الجزيرية حميدة لأنها تنمو بشكل حصري في أصلها داخل البنكرياس، وقليلًا ما تنتشر. الورم الجزيري هو واحد من مجموعة أورام البنكرياس PanNET الوظيفية ( "وظيفية" لأنه يُزيد من إنتاج الإنسولين، "PanNET" كاختصار للغدد الصم العصبية).[1][2]
| ورم جزيري | |
|---|---|
| Insulinoma | |
![]() وَرَمٌ جَزيرِيّ أو ما يُسمّى أيضًا وَرَمٌ إِنسولينيّ وَرَمٌ جَزيرِيّ أو ما يُسمّى أيضًا وَرَمٌ إِنسولينيّ | |
| معلومات عامة | |
| الاختصاص | علم الأورام |
| من أنواع | نمط خلوي لورم حميد |
| الإدارة | |
| أدوية | |
تقوم خلايا بيتا بإفراز الإنسولين استجابةً لارتفاع مستوى السكر في الدم. تعمل الزيادة الناتجة في الإنسولين على خفض السكر في الدم مرة أخرى إلى المستويات العادية إلى أن يتم وقف إفراز المزيد من الإنسولين. على العكس في الورم الجزيري، لا يُنظَّم إفراز الأنسولين بشكل صحيح بناءً على مستوى الجلوكوز وإنما تستمر الأورام بإفراز الإنسولين مما يسبب انخفاض مستويات الجلوكوز في الدم أكثر من المعتاد.
ونتيجة لذلك، المرضى الذين يعانون من أعراض حالية لانخفاض مستوى السكر في الدم (نقص سكر الدم)، والتي يتم تحسينها من خلال تناول الطعام؛ عادة ما يتم تشخيص إصابتهم بورم جزيري كيميائيًا بانخفاض مستوى السكر في الدم، وارتفاع مستويات الإنسولين، ومستويات C البيبتيد ويكون التأكد عن طريق التصوير الطبي أو تصوير الأوعية. الجراحة هي العلاج النهائي للورم.
ملامح المرض
الورم الجزيري هو ورم نادر الحدوث يُقدَّر بـ 1-4 حالات جديدة لكل مليون نسمة سنويًا[3]، ممثلًا 1-2% من كل الأورام البنكرياسية. سبب المرض غير معروف.[4] وهو أحد الأنواع الأكثر شيوعًا للأورام الناشئة من جزر خلايا لانغرهانس (أورام الغدد الصماء في البنكرياس). تتراوح تقديرات الخباثة (الانبثاث) من 5% إلى 30٪. ينشأ أكثر من 99% من الأورام الجزيرية في البنكرياس، مع بعض الحالات النادرة تنشأ من أنسجة بنكرياسية في أماكن أخرى. وترتبط حوالي 5% من الحالات مع أورام الغدة الدرقية والغدة النخامية (الغدد الصماء متعددة الأورام من النوع 1) وهي أكثر عرضة لتكون متعددة وخبيثة. معظم الأورام الجزيرية صغيرة، أقل من 2 سم وانفرادية.
العلامات والأعراض
عادة ما يعاني مرضى الورم الجزيري من أعراض عصبية نتيجة نقص السكر في الدم.[5] . وتشمل هذه الأعراض: الصداع المتكرر، الخمول، ازدواج الرؤية وعدم وضوحها، لا سيما مع ممارسة الرياضة أو الصيام. قد يؤدي نقص السكر الحاد في الدم إلى تشنجات، غيبوبة، وتلف عصبي دائم. الأعراض الناتجة عن استجابة الكاتيكولامينات لنقص السكر في الدم ليست شائعة مثل: (الخفقان، عدم انتظام دقات القلب، التعرُّق، الجوع، القلق، والغثيان). وقد تحدث زيادة مُفاجئة في الوزن في بعض الأحيان.[6] قد لا تُنتج بعض الأورام إنسولينًا اضافيًا فلا تسبب الأعراض السابقة. وتُسمى هذه الأورام "أورام غير عاملة". قد تظهر الأعراض إذا انتشر الورم إلى أجزاء أخرى من الجسم فيضغط على الأجهزة الأخرى أو يُنتج الهرمونات التي تؤثر على كيفية عمل الأجهزة الأخرى. ويمكن أن تشمل:[7]
- ألم في البطن (البطن) أو الظهر
- إسهال
- اصفرار الجلد والعينين (اليرقان).
عوامل الخطورة
هناك القليل من عوامل الخطورة للورم الجزيري حيث أن سبب المرض غير معروف، ولكن يبدو أن النساء يتأثرن أكثر من الرجال. وفي معظم الأحيان، يبدأ المرض في الأعمار التي تتراوح بين 40 و 60. بعض الأمراض الوراثية يمكن أن تزيد فرص الإصابة، منهم:[8]
- أورام الغدد الصماء المتعددة النوع 1، نمو غير طبيعي في أنسجة الغدد الصماء
- متلازمة فون هيبل لينداو، وهو مرض وراثي يسبب الأورام والتكيسات في جميع أنحاء الجسم
- متلازمات وراثية أخرى، مثل الورم العصبي الليفي النوع 1 والتصلب الدرني.
التشخيص
بسبب صِغر حجم هذه الأورام؛ عادةً ما يكون تشخيصها صعبًا. يتم التشخيص المبدئي عن طريق ثلاثي ويبل (whipple's triad) وهو:[9]
- أعراض وعلامات نقص السكر في الدم
- انخفاض مستوى الجلوكوز في البلازما إلى 45 ملغ / ديسيلتر (2.5 مليمول / لتر) أو أقل
- شفاء المريض من الأعراض عند إعطائه الجلوكوز.
تحاليل الدم
نحتاج لإجراء اختبارات الدم التالية لتشخيص الورم الجزيري:
- جلوكوز
- الإنسولين
- الببتيد-C
وإذا كان مُتاحًا، قد يُفيد قياس مستوى طليعة الإنسولين أيضًا.[10] وربما تساعد اختبارات الدم الأخرى في استبعاد الأسباب الأخرى لنقص السكر في الدم.
يتم تأسيس التشخيص الكيميائي الحيوي للورم الجزيري في 95% من المرضى أثناء الصيام لفترات طويلة (تصل إلى 72 ساعة) عندما يتم العثور على النتائج التالية:[11]
1. مستويات الإنسولين 10 μU / مل أو أكثر (عادي <6 μU / مل) 2. مستويات الجلوكوز أقل من 40 ملغ / ديسيلتر 3. مستويات C-الببتيد تتجاوز 2.5 نانوغرام / مل (عادي <2 نانوغرام / مل)[12] 4. مستويات طليعة الأنسولين أكثر من 25٪ 5. الكشف عن سلبية السلفونيل يوريا
الاختبارات المُثبّطة
عادة، يقل إنتاج الإنسولين بشكل طبيعي عند نقص السكر في الدم. لذا يُمكن صيام المريض 72ساعة، تحت إشراف المستشفيات، لمعرفة ما إذا فشلت مستويات الإنسولين في الانخفاض، وهو مؤشر قوي على وجود ورم مُفرِز للإنسولين.
- أثناء الاختبار، يتناول المريض السوائل الخالية من السعرات الحرارية والخالية من الكافيين. يتم قياس مستوى السكر في الدم كل 4 ساعات باستخدام مقياس الانعكاس، إلى أن يصل <60 ملغ / ديسيلتر (3.3 مليمول / لتر). ثم، يتم زيادة وتيرة قياس مستوى السكر في الدم لكل ساعة حتى يصل <49 ملغ / ديسيلتر (2.7 مليمول / لتر). عند هذه النقطة، أو عندما تظهر أعراض نقص السكر في الدم لدى المريض، يتم عمل اختبارات الدم للجلوكوز، الإنسولين، طليعة الأنسولين، ومستويات C الببتيد. ثم يتم علاج نقص السكر في الدم عن طريق حقن الدكستروز في الوريد أو المواد الغذائية والسوائل التي تحتوي على الكربوهيدرات.
التصوير التشخيصي
باستخدام الموجات فوق الصوتية[13]، والأشعة المقطعية، أو عن طريق تقنيات التصوير بالرنين المغناطيسي مع الجادولينيوم والتي تكشف 85% من الحالات. حساسية الموجات فوق الصوتية المنظارية من 40-93% (اعتمادًا على مكان الورم) للكشف عن الورم الجزيري.[14]
في بعض الأحيان، لا بد من تصوير الأوعية عن طريق الجلد وقسطرة الوريد البنكرياسي لأخذ عينات من الدم لقياس مستويات الإنسولين.[15] ويمكن حقن الكالسيوم في الشرايين المُحددة لتحفيز إفراز الأنسولين من أجزاء مختلفة من البنكرياس، والتي يمكن قياسها عن طريق أخذ عينات الدم من الأوردة. استخدام التحفيز بالكالسيوم يُحسّن خصوصية هذا الاختبار.[16] يمكن أن تساعد الموجات فوق الصوتية أثناء العملية الجراحية لإزالة الورم، عن طريق تحديد مكان الورم مما يساعد على توجيه الجراح في هذه العملية، ولها حساسية تصل إلى 90%.[17]
العلاج

العلاج الجراحي
العلاج النهائي هو الاستئصال الجراحي للورم الجزيري. وهناك أنواع للعمليات الجراحية التي يمكن القيام بها:[4]
- استئصال: في هذه العملية يقوم الجراح بإزالة الورم فقط محافظًا على ما تبقى من البنكرياس. حيث أن الورم الجزيري وعادة ما ينشأ على سطح البنكرياس مُغطى بكبسولة، يمكن إزالتها تمامًا دون الحاجة إلى إزالة أي من البنكرياس المحيط بها. ويكون مُعدّل الانتكاس بعد استئصال الورم الجزيري منخفضًا جدًا وهذا هو العلاج الأمثل إذا كان من الممكن تقنيًا تنفيذ هذه العملية.[18]
- استئصال البنكرياس (إزالة): أقل شيوعًا أن يقوم الجراح بإزالة جزء من البنكرياس حيث يقع الورم، مثل استئصال الجزء البعيد من البنكرياس أو عملية ويبل.
- عمليات المنظار:[19] إجراء العملية بالمنظار لإزالة الورم الجزيري بالبنكرياس يُقلل فترة النقاهة بعد العمليات الجراحية ومقدار الألم، وتقصُر الإقامة في المستشفى وتكون قدرة المرضى على العودة إلى نشاطهم العادي أسرع بكثير.
الأدوية
يمكن استخدام الأدوية مثل ديازوكسيد والسوماتوستاتين لمنع إفراز الإنسولين للمرضى الغير مُؤهَّلين للجراحة أو الذين لديهم أورام غير قابلة للجراحة. يُستخدم ستربتوزوتوسين في سرطان خلايا البنكرياس التي تنتج الإنسولين الزائد. ويُستخدم العلاج الكيميائي:[20] إما دوكسوروبيسين + ستربتوزوتوسين، أو الفلورويوراسيل + ستربتوزوتوسين في المرضى الممنوعين من استخدام دوكسوروبيسين.
تقدُّم المرض
يمكن علاج معظم المرضى الذين يعانون من الأورام الجزيرية الحميدة بالجراحة.[21] يحدث نقص السكر في الدم المستمر أو المتكرر بعد الجراحة في المرضى الذين يعانون من أورام متعددة. ويُصاب بداء السكري اثنين في المئة من المرضى بعد الجراحة الخاصة بهم.[22]
التاريخ
تم التعرُّف على نقص سكر الدم لأول مرة في القرن الـ19. في، وفي عشرينات القرن العشرين؛ بعد اكتشاف الإنسولين واستخدامه في علاج مرضى السكري، كان يُشتبه أن يكون فرط الإنسولين سببًا لنقص السكر في الدم في غير المصابين بالسكري. وقد نشر سيل هاريس في عام 1924 وصفًا رائدًا لفرط الأنسولين كسبب لنقص السكر في الدم. وكان التقرير الأول للعلاج الجراحي لنقص السكر في الدم عن طريق إزالة ورم خلايا الجزيرة في عام 1929.
الأبحاث الحديثة
يكون البحث هو الأكثر صعوبة دائمًا مع الحالات النادرة. هناك أبحاث في تشخيص وتحديد هذه الأورام، وكذلك أبحاث في أنواع مختلفة من العلاج الكيميائي.
وتشمل العلاجات البيولوجية الجديدة الأدوية مثل إيفيروليموس (Afinitor) وبيفاسيزوماب (أفاستين). هذه الأنواع تعمل على الأورام التي لديها بروتينات معينة.
صور إضافية
مراجع
- Burns, WR; Edil, BH (March 2012). "Neuroendocrine pancreatic tumors: guidelines for management and update". Current treatment options in oncology. 13 (1): 24–34. doi:10.1007/s11864-011-0172-2. PMID 22198808. الوسيط
|CitationClass=تم تجاهله (مساعدة) - Dadan J, Wojskowicz P, Wojskowicz A. Neuroendocrine tumors of the pancreas. Wiad Lek. 2008. 61(1-3):43-7
- Moldow RE, Connelly RR. Epidemiology of pancreatic cancer in Connecticut. Gastroenterology. 1968;55:677–686.
- http://www.surgery.usc.edu/divisions/tumor/pancreasdiseases20pages/web%/Endocrine%20tumors/pancreatic%20tumors/insulinoma.html نسخة محفوظة 2020-05-30 على موقع واي باك مشين.
- Dizon AM, Kowalyk S, Hoogwerf BJ. Neuroglycopenic and other symptoms in patients with insulinomas. Am J Med. 1999 Mar. 106(3):307-10. [Medline]
- Sheth S, Hruban RK, Fishman EK. Helical CT of islet cell tumors of the pancreas: typical and atypical manifestations. AJR Am J Roentgenol. 2002;179:725–730.
- Insulinoma | Cancer Research UK نسخة محفوظة 14 ديسمبر 2016 على موقع واي باك مشين.
- Insulinoma | Johns Hopkins Medicine Health Library نسخة محفوظة 15 أكتوبر 2017 على موقع واي باك مشين.
- Insulinoma & Whipple triad – Surgery (update) – Unbounded Medicine نسخة محفوظة 07 فبراير 2017 على موقع واي باك مشين.
- Guettier JM, Lungu A, Goodling A, Cochran C, Gorden P. The Role of Proinsulin and Insulin in the Diagnosis of Insulinoma: A Critical Evaluation of the Endocrine Society Clinical Practice Guideline. J Clin Endocrinol Metab. 2013 Sep 30.
- van Bon AC, Benhadi N, Endert E, Fliers E, Wiersinga WM. Evaluation of endocrine tests. D: the prolonged fasting test for insulinoma. Neth J Med. 2009 Jul-Aug. 67(7):274-8
- Lebowitz MR, Blumenthal SA. The molar ratio of insulin to C-peptide. An aid to the diagnosis of hypoglycemia due to surreptitious (or inadvertent) insulin administration. Arch Intern Med. 1993;153:650–655.
- McLean A. Endoscopic ultrasound in the detection of pancreatic islet cell tumours. Cancer Imaging. 2004 Mar 29. 4(2):84-91
- "Endoscopic ultrasonography (EUS) in the localization of insulinoma". Endocrine. 31 (3): 238–41. June 2007. doi:10.1007/s12020-007-0045-4. PMID 17906369. الوسيط
|CitationClass=تم تجاهله (مساعدة) - Chatziioannou A, Kehagias D, Mourikis D, Antoniou A, Limouris G, Kaponis A, Kavatzas N, Tseleni S, Vlachos L. Imaging and localization of pancreatic insulinomas. Clin Imaging. 2001;25:275–283.
- Tseng LM, Chen JY, Won JG, Tseng HS, Yang AH, Wang SE, Lee CH. The role of intra-arterial calcium stimulation test with hepatic venous sampling (IACS) in the management of occult insulinomas. Ann Surg Oncol. 2007;14:2121–2127.
- Insulinoma: Practice Essentials, Background, Pathophysiology نسخة محفوظة 07 أكتوبر 2017 على موقع واي باك مشين.
- Grant CS. Surgical aspects of hyperinsulinemic hypoglycemia. Endocrinol Metab Clin North Am. 1999 Sep. 28(3):533-54
- Dexter SP, Martin IG, Leindler L, et al. Laparoscopic enucleation of a solitary pancreatic insulinoma. Surg Endosc. 1999 Apr. 13(4):406-8.
- Rougier P, Mitry E. Chemotherapy in the treatment of neuroendocrine malignant tumors. Digestion. 2000. 62 Suppl 1:73-8.
- Service FJ, McMahon MM, O’Brien PC, Ballard DJ. Functioning insulinoma--incidence, recurrence, and long-term survival of patients: a 60-year study. Mayo Clin Proc. 1991;66:711–719.
- Faggiano A, Mansueto G, Ferolla P, Milone F, del Basso de Caro ML, Lombardi G, et al. Diagnostic and prognostic implications of the World Health Organization classification of neuroendocrine tumors. J Endocrinol Invest. 2008 Mar. 31(3):216-23.
وصلات خارجية
كتب
- Williams textbook of endocrinology (الطبعة 10th). Philadelphia: WB Saunders. 2003. ISBN 0-7216-9184-6. الوسيط
|CitationClass=تم تجاهله (مساعدة) - "Localization of insulinomas to regions of the pancreas by intra-arterial stimulation with calcium". Annals of Internal Medicine. 123 (4): 269–73. Aug 1995. doi:10.7326/0003-4819-123-4-199508150-00004. PMID 7611592. الوسيط
|CitationClass=تم تجاهله (مساعدة) - Service FJ. Insulinoma. In: UpToDate, Rose, BD (Ed), UpToDate, Waltham, MA, 2005.
- بوابة طب
.JPG.webp)
.JPG.webp)
_Chromogranin_A.JPG.webp)
_Insulin_immuostain.JPG.webp)