ورم جنيب العقدة العصبية
الورم جنيب العقدة العصبية[1] أو ورم المستقتمات هو خراج عصبي هرموني نادر قد ينشأ في مواضع مختلفة من الجسم (بما في ذلك الرأس والعنق والصدر والبطن). يعتبر نحو 97 ٪ من هذا الورم خراجا حميدا ويمكن معالجته عن طريق الاستئصال الجراحي، بينما ال 3 ٪ الباقية هي ورم خبيث بسبب قدرته على إنتاج النقائل البعيدة. لا يزال يشار الي الورم جنيب العقدة العصبية في بعض الأحيان باستخدام المصطلحات القديمة، (على سبيل المثال بأنها "chem dectomas" أو " الورم الكبي "، ولا ينبغي الخلط بين الأخير وبين ورم الجلد الكبي).
| ورم جنيب العقدة العصبية | |
|---|---|
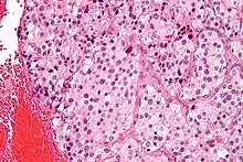
![]() صورة مجهرية of a جسم سباتي tumor (a type of paraganglioma). صورة مجهرية of a جسم سباتي tumor (a type of paraganglioma). | |
| معلومات عامة | |
| الاختصاص | علم الأورام |
| من أنواع | ورم القواتم ، ومرض وراثي سائد |
الاصل الخلوي والتصنيف
ينشأ الورم جنيب العقدة عصبية من خلايا أجسام كبيبية صغيرة سالبة مياله للتلون بالكروم (اليف الكروم)، مستمدة من قمة عصبية (عرف عصبي) تعمل كجزء من الجهاز العصبي الودي (وهو فرع من الجهاز العصبي المستقل). وتعمل هذه الخلايا عادة كمستقبلات كيميائية خاصة تقع على طول الأوعية الدموية وخاصة عند الشريان السباتي في مفرق الشريان السباتي المشترك مع العنق وفي الأجسام الأبهرية (بالقرب من قوس الأبهر).
وبناء علي ذلك يتم تصنيف ورم جنيب العقدة العصبية على أنه ينشأ من خط الخلايا العصبية بحسب تصنيف منظمة الصحة العالمية للاورام العصبية الصماوية. وفي تصنيف الفتائل المقترح من ينتمي الورم جنيب العقدة العصبية إلى المجموعة الثانية. {2} ونظرا لحقيقة أن الورم الجار عقدي ينشأ عن خلايا الجهاز الودي المستقيم فانه يتصل بشكل لصيق مع يحمور الدم الذي هو إيجابي التلون بالكروم
التقديم السريري
معظم الورم جنيب العقدة العصبية اما بدون أعراض أو يظهر ككتلة غير مؤلمة. ويحتوي جميعه على حبيبات عصبية حسية، إلا أنه في 1-3 ٪ من الحالات هو عبارة عن إفراز هرمونات مثل الكاتيكولامينات الوفيرة التي تكفي سريريا في حالات الاشتباه بيحمور الدم القاتم.
الوراثة
حوالي 75 ٪ من ورم جنيب العقدة العصبية هو ورم متقطع (فرادي)، وال 25 ٪ الباقية وراثية (لها إمكانية التزايد المتعدد واحتمال أن تكون قد تطورت في عمر مبكر). تم تحديد طفرات الجينات SDHD (المعروفة سابقا باسم PGL1، PGL2 و SDHD (سابقا PGL3) بأنها العائلة الرئيسة والعنق التي تسبب الورم جنيب العقدة العصبية. تلعب طفرات SDHD دورا هاما في ورم قواتم العائلة الكظرية الكظرية العائلية والكظري وورم جنيب العقدة العصبية الجار عقدي إضافي الكظر (من البطن والصدر)، رغم أن هناك تداخل كبير في أنواع الأورام المرتبطة SDHB وطفرات جينات SDHD. ,قد يحدث أيضا الورم جنيب العقدة العصبية في الرجال من النوع 2 A و 2 B.
علم تحليل الأمراض


يظهر ورم جنيب العقدة العصبية بشكل عام ككتل سليلية الشكل محددة حادة ولها اتساق من ثابت الي مطاطي. وهو عبارة عن ورم وعائي دموي للغاية قد يكون له لون أحمر عميق.
ويتم التعرف علي خلايا الورم بسهولة بواسطة الفحص المجهري. والخلايا السرطانية الفردية هي متعددة الأضلاع إلى بيضاوي ومرتبة في كريات خلوية مميزة تسمي (زيلابالن) (تعني بالانجليزية balls of cells (4) اي كرات من الخلايا). وتفصل هذه الكرات خلية ستروما زنثوما الليفية وتحيط بها خلايا داعمة.
يتضمن التشخيص التفاضلي بواسطة المجهر الضوئي الخفيف أورام الغدد العصبية الصماء ذات العلاقة، مثل الورم السرطاوي وسرطان الغدد العصبية الصماء وسرطان النخاع من الغدة الدرقية وورم الأذن الوسطى الحميد والسحائي.
في الكيمياء الهستولوجية المناعية تكون الخلايا الرئيسية الموجودة في كرات الخلية إيجابية الطور المشبكي والتشاكل الملون والعصبون محدد أنزيم الانولاز والسيروتونين والخيوط العصبية وجزيء التصاق الخلية العصبية وتكون سلبية البروتين S-100. الخلايا الداعمة هي ايجابية S-100 وهي بؤريا ايجابية لبروتين الحمض الدبقي الليفي. وعن طريق الكيمياء النسجية فان خلايا ورم جنيب العقدة العصبية تتسمم بالفضة ودورية وسلبية لحمض شيف وسلبية الكارمن المخاطي وسلبية بالنسبة لاليف الفضة.
مواقع الاصل
حوالي 85 ٪ من ورم جنيب العقدة العصبية يتطور في البطن ويتطور 12 ٪ فقط في الصدر و 3 ٪ في منطقة الرأس والعنق (وهذ الأخير هو أكثر احتمإلا أن يكون عرضيا). في حين أن معظمه هو مفرد، تحدث حالات متعددة نادرة (عادة في متلازمة وراثية). يوصف ورم جنيب العقدة العصبية عن طريق مواقعهم الأصلية وغالبا ما ترد أسماء خاصة : -
- ورم جنيب العقدة العصبية السباتي (ورم الجسم السباتي) : وهو ورم جنيب العقدة العصبية في الرأس والعنق الأكثر شيوعا. وهو يظهر عادة ككتلة غير مؤلمة في العنق والرأس، ولكن قد تسبب الأورام الأكبر شللا أعصاب الجمجمة، وعادة في العصب التائه والعصب تحت اللساني.
- انتفاخ البطن الكبي والكبة الودجية : يظهر كلاهما عادة ككتلة في الأذن الوسطى مما يؤدي إلى الطنين (في 80 ٪) والي وفقدان السمع (في 60 ٪). قد تضغط الأعصاب القحفية في الثقبة الوداجية مما يؤدي إلى صعوبة البلع أو الي الضعف المتعلق بنفس الجانب من جسم الإنسان من شبه المنحرفة العليا وعضلات القصي الضلعية (من ضغط أعصاب العمود الفقري التابعة). ويظهر هؤلاء المرضى ا مع انتفاخ محمر خلف طبلة الأذن السليمة. وتعرف هذه الحالة المرضية أيضا باسم "الطبلة الحمراء". وعند تطبيق الضغط على قناة الأذن الخارجية بمساعدة منظار الأذن الهوائي يمكن مشاهدة الكتلة في لون أبيض. وتعرف هذه العلامة بعلامة "براون".
- ورم جنيب العقدة العصبية المبهمي : وهو الأقل شيوعا من بين أنواع ورم جنيب العقدة العصبية الرأس والعنق. ويظهر عادة ككتلة غير مؤلمة في العنق غير مؤلم، ولكنها قد تؤدي إلى عسر البلع والي بحة في الصوت.
- ورم جنيب العقدة العصبية الرئوي : ويحدث في الرئة ويكون عادة اما فردي أو متعدد {6}.
- المواقع الاخري : مواقع المشاركة النادرة الاخري هي الحنجرة والتجويف الأنفي والجيوب الأنفية والغدة الدرقية ومدخل الصدر إضافة الي المثانة في حالات نادرة جدا.
المُعالَجَة
طرق العلاج الرئيسية هي الجراحة والانصمام والعلاج الإشعاعي. {10}
الصور الاضافية
صورة مجهرية من ورم الجسم السباتي.
الروابط الخارجية
- معلومات تجارب سريرية عن المرضى الذين يعانون من الورم الجار عقدي
- (الوصف مع الصور)
- مراجعة الجينات، مدخل NIH/UV في متلازمات ورم القواتم الجار عقدي الوراثي.
قالب:Gonadal tumors, paraganglioma, glomus, nevi and melanomas قالب:Endocrine gland neoplasia قالب:Central nervous system tumors
- بوابة طب
