ورم حبيبي
ورم حُبَيبي (بالإنجليزية: Granuloma) ويسمى أيضاً حبيبوم ويعني العقدة الصغيرة. وهو ورم يتكون من نسيج حبيبي.[1][2][3][4] الحبيبوم أو الورم الحبيبي هو اصطلاح عام لخلايا دائرية من الجهاز المناعي عندما يحاول النظام المناعي محاصرة المواد الغازية التي يتعرف عليها كمواد غريبة ولكنه غير قادر على التخلص منها.وتحتوي هذه المواد على حيويات معدية مثل الجراثيم والفطريات ومواد أخرى مثل الكيراتين ومواد الخيوط الجراحية.[1][5][6]
| ورم حبيبي | |
|---|---|
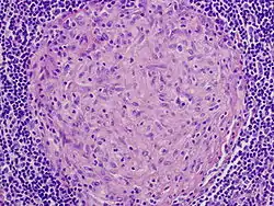
![]() صورة للورم الحُبَيبي (دون نخر) كما يوضح من خلال المجهر على شريحة زجاجية. والأنسجة اتسخت على الشريحة مع اثنين من الأصباغ القياسية (الهيماتوكسيلين: بلو، يوزين: وردي) لجعله مرئيا. تم العثور على الورم الحبيبي في هذه الصورة في العقدة الليمفاوية للمريض مع عدوى الفطرية الطيرية صورة للورم الحُبَيبي (دون نخر) كما يوضح من خلال المجهر على شريحة زجاجية. والأنسجة اتسخت على الشريحة مع اثنين من الأصباغ القياسية (الهيماتوكسيلين: بلو، يوزين: وردي) لجعله مرئيا. تم العثور على الورم الحبيبي في هذه الصورة في العقدة الليمفاوية للمريض مع عدوى الفطرية الطيرية | |
| معلومات عامة | |
| الاختصاص | علم الأمراض |
| من أنواع | اضطرابات تكاثرية لمفية |
| الإدارة | |
| حالات مشابهة | نسيج حبيبي |
أمراض فيها أورام حبيبية
مرض السل
تميل الأورام الحبيبية في السل إلى التنخر (درنات متجبنة)، ولكن قد توجد أورام حبيبية غير متنخرة أيضًا. تتواجد أغلب الأحيان خلايا عملاقة عديدة النوى تصطف نواها على شكل حدوة الحصان (خلايا لانغهانز العملاقة) وخلايا عملاقة خاصة بالأجسام الغريبة، ولكنها ليست وصفية للسل. يتطلب التشخيص النهائي للسل تحديد العضية المسببة بواسطة زرع الأحياء الدقيقة.[7]
الجذام
في الجذام، توجد الأورام الحبيبية في الجلد وتميل لتشمل الأعصاب. يختلف مظهر الأورام الحبيبية وفقًا للنوع الدقيق للجذام.
داء البلهارسيا
تعود بعض بيوض البلهارسيا التي وُضعت في الوريدات المعوية والبولية إلى الكبد عبر الوريد البابي ما يتسبب بتشكل ورم حبيبي في الكبد.
داء النوسجات
تُشاهَد الأورام الحبيبية في معظم أشكال داء النوسجات (داء النوسجات الحاد، الورم النوسجي، داء النوسجات المزمن). قد تظهر عضيات النوسجات أحيانًا داخل الورم الحبيبي عند إجراء خزعة أو زرع أحياء دقيقة.
داء المستخفيات
حين تحدث العدوى بالمستخفيات لدى الأشخاص ذوي الجهاز المناعي السليم، يحدث نموذجيًا التهاب حبيبي. قد تكون الأورام الحبيبية متنخرة أو غير متنخرة. باستخدام المجهر والتلوينات المناسبة، يمكن رؤية العضيات داخل الأورام الحبيبية.
مرض خدش القطة
مرض خدش القطة هو عدوى ناتجة عن العضية الجرثومية المسماة بارتونيلا هنسيلي، وتتطلب الإصابة به التعرض لخرمشة من قطة صغيرة مصابة بالعضية. توجد الأورام الحبيبية في هذا المرض داخل العقد اللمفية التي تنزح لمف موقع الخدش. وتتميز بأنها «قيحية»، أي تشكّل القيح، وتحوي أعدادًا كبيرة من العدلات. يعد إيجاد هذه العضيات في الأورام الحبيبية صعبًا بواسطة الأساليب المتبعة روتينيًا في مخابر علم الأمراض.[7]
الحمى الرثوية
الحمى الرثوية مرض جهازي يؤثر في النسيج الضام حول الشرايين ويمكن أن يحدث بعد إنتان غير معالج في البلعوم بالعقديات الحالة للدم بيتا المجموعة أيه. يُعتقد أنه ينتج عن تفاعل أضداد متصالب.
الغرناوية (الساركويد)
الغرناوية مرض مجهول السبب يتميز بوجود أورام حبيبية غير متنخرة (غير متجبنة) في أعضاء ومواقع عديدة في الجسم، أكثر ما تكون في الرئتين والعقد اللمفية داخل تجويف الصدر. تشمل مواقع الإصابة الشائعة الأخرى الكبد والطحال والجلد والعينين. تشابه الأورام الحبيبية في الساركويد تلك الموجودة في السل وغيره من الأمراض الحبيبية المعدية. ولكن، في معظم حالات الساركويد، لا تحوي الأورام الحبيبية تنخرًا وتحاط بنسيج ندبي متحد المركز (تليف). تحوي الأورام الحبيبية في الساركويد في أغلب الأحيان بنىً نجمية الشكل تدعى الأجسام النجمية أو بنى صفيحية تدعى أجسام شومان. لكن هذه البنى ليست وصفية للساركويد. قد تشفى الأورام الحبيبية في الساركويد عفويًا دون مضاعفات أو قد تترك وراءها تندبًا. في الرئتين، قد يسبب هذا التندب حالة تسمى التليف الرئوي والتي تضعف التنفس. في القلب، قد يسبب اضطرابات في النظم وفشل قلب وحتى الوفاة.[8]
داء كرون
داء كرون هو حالة التهابية مجهولة السبب تتميز بالتهاب شديد في جدران الأمعاء وأجزاء البطن الأخرى. يوجد ضمن الالتهاب في جدار المعي أورام حبيبية في أغلب الأحيان وتشكل مفتاحًا للتشخيص.
الأعراض
- حساسية في القصبات الرئوية.
- التهابات وتقرحات جلدية.
- التهاب رئوي شفطي أو مرض خدش القطة.
- أورام حبيبية تتشكل ردا على المستضدات التي تقاوم الخلايا الالتهابية مثل العدلات والحمضات.
العلاج
تمتد فترة العلاج لحوالي أسبوعين ولمعالجة الالتهابات المصاحبة تعطى ادوية مثل سلفاميثوكسازول وتريميثوبريم.وايضا الستريبتومايسين العضلي. اما بالنسبة الالتهابات غير المستجيبة للأدوية السابقة قد يتم معالجتها بالتتراسيكلين فموياً وكلورام فنكول وجنتامايسين.
ورم حبيبي دون نخر في عقدة ليمفية لشخص مصاب بالساركويد.
ورم حبيبي مع نخر مركزي في رئة شخص مصاب بمرض السل.
المراجع
- Mukhopadhyay S, Farver CF, Vaszar LT, Dempsey OJ, Popper HH, Mani H, Capelozzi VL, Fukuoka J, Kerr KM, Zeren EH, Iyer VK, Tanaka T, Narde I, Nomikos A, Gumurdulu D, Arava S, Zander DS, Tazelaar HD (Jan 2012). "Causes of pulmonary granulomas: a retrospective study of 500 cases from seven countries". J Clin Pathol. 65 (1): 51–57. doi:10.1136/jclinpath-2011-200336. PMID 22011444. الوسيط
|CitationClass=تم تجاهله (مساعدة) - Woodard BH, Rosenberg SI, Farnham R, Adams DO (1982). "Incidence and nature of primary granulomatous inflammation in surgically removed material". American Journal of Surgical Pathology. 6 (2): 119–129. doi:10.1097/00000478-198203000-00004. PMID 7102892. الوسيط
|CitationClass=تم تجاهله (مساعدة)صيانة CS1: أسماء متعددة: قائمة المؤلفون (link) - Hunter DC, Logie JR (1988). "Suture granuloma". British Journal of Surgery. 75 (11): 1149–1150. doi:10.1002/bjs.1800751140. PMID 3208057. الوسيط
|CitationClass=تم تجاهله (مساعدة) - Chen KT, Kostich ND, Rosai J (1978). "Peritoneal foreign body granulomas to keratin in uterine adenocanthoma". Archives of Pathology and Laboratory Medicine. 102 (4): 174–177. PMID 580709. الوسيط
|CitationClass=تم تجاهله (مساعدة)صيانة CS1: أسماء متعددة: قائمة المؤلفون (link) - Adams DO (1976). "The granulomatous inflammatory response. A review". American Journal of Pathology. 84 (1): 164–191. PMC 2032357. PMID 937513. الوسيط
|CitationClass=تم تجاهله (مساعدة) - Paul Travers, Mark Walport (2008). Janeway's Immunobiology. Garland Science. صفحة 372. الوسيط
|CitationClass=تم تجاهله (مساعدة)صيانة CS1: يستخدم وسيط المؤلفون (link) - Mukhopadhyay S, Gal AA (2010). "Granulomatous lung disease: an approach to the differential diagnosis". Archives of Pathology and Laboratory Medicine. 134 (5): 669–690. doi:10.1043/1543-2165-134.5.667 (غير نشط 2020-01-14). PMID 20441499. مؤرشف من الأصل في 01 أبريل 2020. الوسيط
|CitationClass=تم تجاهله (مساعدة) - Iannuzzi M, Rybicki BA, Teirstein AS (2007). "Sarcoidosis". New England Journal of Medicine. 357 (21): 2153–2165. doi:10.1056/NEJMra071714. PMID 18032765. الوسيط
|CitationClass=تم تجاهله (مساعدة)
