ورم حليمي
وَرَمٌ حُلَيمِيّ (بالإنجليزية: Papilloma)، يشير إلى حدوث ورم حميد في الخلايا الطلائية النامية بشكل بروزات (زيادة ظاهرية أو خارجية) بشكل يشبه سعف الإصبع.[1][2][3]
| ورم حليمي | |
|---|---|
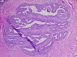
![]() وَرَمُ حُلَيمَيُّ داخِلَ القَنوات في الثدي
= وَرَمُ حُلَيمَيُّ داخِلَ القَنوات في الثدي
= | |
| معلومات عامة | |
| الاختصاص | علم الأورام |
| من أنواع | نمط خلوي لورم حميد |
وفي هذا السياق حليمة papilla تشير إلى الزائدة التي أنشأها الورم، وليس على الورم الحليمة القائمة بالفعل (مثل الحلمة). عندما تستخدم من دون السياق، كثيرًا ما تشير الكلمة إلى حالات العدوى الناجمة عن فيروس الورم الحليمي البشري (فيروس الورم الحليمي البشري)، مثل البثور. ولكن هناك عددا من الظروف والحالات الأخرى التي تسبب الورم الحليمي، مثل الورم الحليمي الضفيري المشيمي وحطاطات لؤلؤية القضيب.
انظر أيضًا
مراجع
- "معلومات عن ورم حليمي على موقع meshb.nlm.nih.gov". meshb.nlm.nih.gov. مؤرشف من الأصل في 30 يونيو 2019. الوسيط
|CitationClass=تم تجاهله (مساعدة) - "معلومات عن ورم حليمي على موقع thes.bncf.firenze.sbn.it". thes.bncf.firenze.sbn.it. مؤرشف من الأصل في 15 ديسمبر 2019. الوسيط
|CitationClass=تم تجاهله (مساعدة) - "معلومات عن ورم حليمي على موقع jstor.org". jstor.org. مؤرشف من الأصل في 26 يناير 2020. الوسيط
|CitationClass=تم تجاهله (مساعدة)
- بوابة طب
This article is issued from Wikipedia. The text is licensed under Creative Commons - Attribution - Sharealike. Additional terms may apply for the media files.
