ورم دبقي
الوَرَم الدِبْقِيّ (بالإنجليزية: glioma) هو نوع من الأورام التي تبدأ في المخ أو العمود الفقري.[3] ويطلق عليه دبقي لأنه ينشأ من الخلايا الدبقية. الموقع الأكثر شيوعًا للأورام الدبقية هو الدماغ.
| الورم الدبقي | |
|---|---|
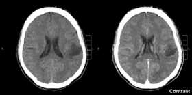
![]() ورم دبقي في الفص الجداري الأيسر. صورة بالأشعة المقطعية للدماغ. | |
| معلومات عامة | |
| الاختصاص | علم الأورام ، وطب الجهاز العصبي [1]، وجراحة الأعصاب [1] |
| من أنواع | سرطان خلوي ، وورم الدماغ ، وسرطان العظام ، وسرطان الدماغ |
| الوبائيات | |
| انتشار المرض | 0.000343 (2004)[2] |
| التاريخ | |
| وصفها المصدر | قاموس بروكهاوس وإفرون الموسوعي الصغير ، والموسوعة السوفيتية الكبرى |
المراجع
- العنوان : Klinická neurologie — ISBN 978-80-7387-389-9
- https://pubmed.ncbi.nlm.nih.gov/20511189
- Mamelak AN, Jacoby DB (March 2007). "Targeted Delivery of Antitumoral Therapy to Glioma and Other Malignancies with Synthetic Chlorotoxin (TM-601)". Expert Opin Drug Deliv. 4 (2): 175–86. doi:10.1517/17425247.4.2.175. PMID 17335414. مؤرشف من الأصل في 16 ديسمبر 2019. الوسيط
|CitationClass=تم تجاهله (مساعدة)
- بوابة صيدلة
- بوابة طب
This article is issued from Wikipedia. The text is licensed under Creative Commons - Attribution - Sharealike. Additional terms may apply for the media files.
