ورم سحائي
الأورام السحائية هي مجموعة متنوعة من الأورام التي تتكون في طبقة السحايا ، التي تمثل مجموعة من الأغشية المحيطة بالجهاز العصبي المركزي.[2] تنشأ هذه الأورام من خلايا عنكبوتية في الزغبات العنكبوتية في طبقة السحايا.[3] هذه الأورام تكون بالعادة أورام حميدة، لكن نسبة قليلة منها تعد خبيثة.[4] الكثير منها تكون عديمة الأعراض، أي أنها لا تظهر أي أعراض خلال حياة الشخص. وإن تم اكتشافها فهي لا تتطلب أي علاج سوى إشراف مستمر. العلاج النموذجي للأورام السحائية ذات الأعراض يكون إما من خلال جراحة إشعاعية أو الجراحة الاعتيادية. توجد أدلة تاريخية على وجود أورام سحائية عائدة لمئات السنين، مع بعض الجراحات الناجحة في إزالتها في 1800s.
| الورم السحائي | |
|---|---|
![]() صورة أشعة مقطعية متباينة للدماغ توضح شكل الورم السحائي صورة أشعة مقطعية متباينة للدماغ توضح شكل الورم السحائي | |
| معلومات عامة | |
| الاختصاص | جراحة عصبية |
| من أنواع | أورام سحائية ، وسرطان الجهاز العصبي المركزي |
| الإدارة | |
| أدوية | |
| الوبائيات | |
| انتشار المرض | 0.000707 [1] |
العلامات والأعراض
المقال الرئيسي: ورم المخ الأورام الصغيرة (البالغ حجمها على سبيل المثال، أقل من 2 سنتميتر) يتم اكتشافها بشكل عارض أثناء التشريح دون تسببها بأي أعراض سابقاً، الأورام الكبيرة قد تتسبب بظهور أعراض اعتماداً على حجمها وموقعها.
- النوبة البؤرية قد تكون نتيجة ورم سحائي غطى على المخ.
- الضعف التشنجي المتتالي في السيقان والسلس قد تكون نتائج لوجود ورم يغطي المنطقة الجبهية الجدراية المجاورة للسهمية
- الورم السيلفياني قد يسبب عدد لا حصر له من الأعراض الحسية أو الحركية أو يتسبب بالحُبْسَة أو نوبة، اعتماداَ على موقعه.
- زيادة الضغط داخل القحف يحدث أيضاَ في نهاية الأمر، لكنه أقل تكراراّ عن حالات الأورام الدبقية.
- ازدواجية الرؤية، أو عدم تساوي حجم حدقة العين قد يكونا من الأعراض إذا تسبب الضغط بشلل للعصب الثالث مع/أو السادس.
المسببات
مسببات الأورام السحائية ليست مفهومة بشكل كامل بعد.[5] معظم الحالات تكون فرادى، تظهر بشكل عشوائي، بينما البعض الآخر تكون عائلية. الأشخاص الذين سبق لهم التعرض للإشعاعات، وبخاصة على فروة الرأس، معرضين بشكل أكبر لظهور الأورام السحائية، مثل الأفراد الذين تعرضوا لإصابة الدماغ.[6] ناجو القنبلة الذرية في هيروشيما كان لديهم احتمال الإصابة بالأورام السحائية أكثر من المعدل الطبيعي، وتزداد احتمالية الإصابة كلما كان موقعهم أقرب من حدوث الانفجار. الأشعة السينية للأسنان أيضاً مرتبطة بمعدلات عالية من الأورام السحائية، وخاصة الأفراد الذين تعرضوا للكثير منها في الماضي حيث كانت كمية الأشعة المستخدمة أكبر عن الوقت الحالي.[7] وقد ظهر أيضا أن الاستعمال المفرط للأجهزة المحمولة مرتبط بنسب إصابة أكبر للأورام السحائية.[8] مرضى الوُرامٌ لِيفِيٌّ عَصَبِيّ النوع2 لديهم احتمالية تصل إلي 50 % بواحد أو أكثر من الأورام السحائية. الكثير من الأفراد المصابين بالأورام السحائية يبقون بلا أعراض إلى أن يتم اكتشافها أثناء التشريح . من واحد إلى اثنان بالمئة من عمليات التشريح تكشف وجود أورام سحائية لم يكن للموتى علم بها أثناء حياتهم، بما أنها لم تحدث أي أعراض. في سبعينات القرن الماضي تم اكتشاف أورام مسببة لأعراض في 2 من 100,000 شخص، بينما اكتشف أورام بلا اعراض في 5.7 من 100,000 شخص، بمعدل مجموعه 7.7/100,000 . بمساعدة الكثير من الآلات الحديثة المعقدة مثل الأشعة المقطعية أصبح اكتشاف الأورام السحائية الغير مسببة لأعراض ممكناً.
النساء أكثر عرضة للأورام السحائية من الرجال، بالرغم من أنه عند ظهورها بالرجال تكون لها احتمالية أكبر لتكون أورام خبيثة. الأورام السحائية يمكن لها أن تظهر في كل الأعمار، ولكن ظهورها أكثر عند النساء والرجال الذين يبلغون من العمر خمسين عاما أو أكثر، فكلما ازداد العمر زادت احتمالية الإصابة. ولقد تم اكتشاف حالات في مختلف الحضارات، الشرقية والغربية، بنسب احصائية مساوية لأورام الدماغ الأخرى. 92% من الأورام السحائية حميدة، 8% منها تكون إما خبيثة أو لانمطية.
الفسيولوجيا المرضية


الأورام السحائية تنبع من الخلايا العنكبوتية،[12] حيث يقع معظمها بجوار الجيوب الوريدية، وهذا الموقع ذو احتمالية كبيرة لتكون هذه الأورام، وفي معظم الأوقات تكون مرتبطة بالجافية على السطح العلوي المجاور للسهمي للفصين الأمامي والجداري، وعلى طول الجسر الوتدي في الأخدود السمعي، والمنطقة السيلييفانية، والمخيخ العلوي على طول منجل المخ، والزاوية المخيخة الجسرية، والحبل الشوكي. الورم يكون بالعادة رمادي اللون، محدد، ويأخذ شكل الحيز الذي يشغله. عادةً ما يكون على شكل قبة، تقع قاعدتها على الجافية.
المواقع
- المنطقة المجاورة للسهمية/ (25%)
- منطقة التحدب (سطح الدماغ) (19%)
- الجسر الوتدي (17%)
- فوق السرج التركي (9%)
- الحفرة الخلفية (8%)
- الأخدود السمعي (8%)
- الحفرة المتوسطة/ كهف ميكل (4%)
- المنطقة الخيمية (3%)
- محيط بمقرن الجيوب (3%)
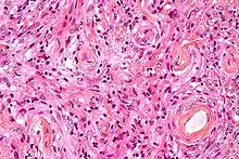
من المناطق الأخرى غير المألوفة البطين الجانبي، الثقبة العظمي، غمد العصب/الحجاج البصري. من الممكن للأورام السحائية أن تتكون كأورام شوكية أيضاً، وعادة يحدث هذا بالنساء أكثر من الرجال. كما أنه أكثر انتشاراً في الدول الغربية عن الآسيوية. في علم الأنسجة، خلايا الورم السحائي تكون موحدة، مع ميلها للإحاطة ببعضها البعض، مكونةً بذلك جدلات وأجسام رملية (حصاة صفائحية متكلسة).[13] كما أنها تميل للتكلس وتحتوي على الكثير من الأوعية الدموية. تعد الأورام السحائية عادةً أوراماً حميدة يمكن إزالتها بالجراحة، ولكن معظم الأورام السحائية المتكررة تطابق الأورام السحائية النسيجية. النمط الظاهري الأيضي لهذه الأورام السحائية الحميدة المتكررة يكون ذا أيض عدواني يشابه النمط الخاص بالأورام السحائية اللانمطية.[14]
التشخيص

يمكن تصوير الورم السحائي بسهولة من خلال الأشعة المقطعية أو التصوير بالرنين المغناطيسي باستخدام الغادولينيوم، أو تصوير الشرايين، وكل هذا مرتبط بحقيقة أن الورم السحائي إضافي للمحور ومحتوي على أوعية دموية. وفي حال القيام ببزل قطني فإن بروتين السائل الدماغي الشوكي يكون مرتفعاً. بالرغم من أن أكثر الأورام السحائية تكون حميدة، إلا أن البعض منها له عرض خبيث. تصنيف الأورام السحائية مبني على نظام التصنيف الخاص بمنظمة الصحة العالمية.[15]
- حميد (درجة 1) - (90%) - سحايا ظهارية، ليفي، انتقالي، ورم رملي، وعائي.
- لانمطي (درجة 2) - (7%) - شبيه الحبل، خلية صافية، لانمطي (يشمل غزو الدماغ).
- كشمي / خبيث (درجة 3) - (2%) - حليمي، عصوي، كشمي (الأكثر عدوانية).
في مراجعة عام2008 لآخر صنفين، لحالات الورم اللانمطي والورم الخبيث، وُجد أن معدل النجاة للورم السحائي اللانمطي يساوي 11.9 سنة مقابل 3.3 سنة للورم السحائي الكشمي. ومعدل النجاة بلا أي انتكاسة للأورام السحائية اللانمطية هو 11.5 سنة مقابل 2.7 سنة للأورام الكشمية.[16] الورم السحائي الخبيث الكشمي يعد ورماً خبيثاً ذات طبيعة عدائية. ورغم أن الأورام الخبيثة في الدماغ -تبعاً للقاعدة العامة- ليس لها القدرة على الانتقال إلى الجسم بسبب الحاجز الدموي الدماغي، إلا أن هذا الورم له القدرة على فعل ذلك. وبرغم تواجدهم في التجويف الدماغي إلا أنهم على الجانب الدموي للحاجز الدموي الدماغي، لأن الأورام السحائية تميل لربط نفسها بالأوعية الدم حتى تتغذى عليها. وبالتالي، الخلايا المسرطنة بإمكانها الدخول إلي مجرى الدم، ولهذا السبب الأورام السحائية عندما تنتقل تلتف حول الرئتين. من الصعب التفريق بين الأورام السحائية الكشمية وورم الخلايا الحوطية، حتى إن استخدمنا الوسائل المرضية، لأنهم متشابهون، وخاصة إن التواجد الأول للورم السحائي، وكلا النوعين من الأورام ينمو في نفس الأنواع من الأنسجة.
العلاج
الملاحظة
في بعض الحالات عندما يكون الورم السحائي صغير وبلا أعراض يمكن استخدام طريقة الملاحظة مع متابعة بتصوير قريب. في دراسة استعادية على 43 مريض، 63% من المرضى لم تنمُ أورامهم مطلقاً، و37% من المرضى نما الورم لديهم بمعدل 4 مليميتر/ السنة.[17] في هذه الدراسة، المرضى صغار العمر هم الذين كان لديهم أورام نامية في الصور المتتالية. وبالتالي هم أقل ترشيحاً لطريقة المتابعة. في دراسة أخرى، تم مقارنة النتائج السريرية بين 213 مريض تم اخضاعهم لجراحة و351 مريض تحت الملاحظة المشددة.[18] 6% فقط من المرضى الذين تم علاجهم بشكل متحفظ طوروا أعراضاً لاحقاً، بينما 5.6 من المرضى الذين عُولجوا بالجراحة طوروا وضع مرضي مزمن، و9.4% طوروا وضع مرضي متعلق بالجراحة. لا ينصح بهذه الطريقة للأورام المسببة لأعراض. بالإضافة إلى أنه من اللازم وجود متابعة قريبة مع عملية تصوير حتى يكون بالإمكان استبعاد الأورام النامية.[19]
قطع جراحي
| معيار سيمبسون | إكمال عملية القطع | تكرار سنوي -10 |
|---|---|---|
| درجة 1 | إزالة تامة مع قطع للعظم السفلي والجافية المرتبطة | 9% |
| درجة 2 | إزالة تامة مع تخثر في روابط الجافية | 19% |
| درجة 3 | إزالة تامة من غير قطع في الجافية أو تخثر | 29% |
| درجة 4 | قطع غير تام | 40% |
يمكن إزالة الأورام السحائية باستخدام الجراحة (إزالة جزئية) وتكون النتيجة شفاء تام إذا كان الورم على السطح الجافوي ويمكن اختراقه بسهولة. لقد أصبح الانصمام عبر الشرايين إجراءً معيارياً في إدارة ما قبل الجراحة.[20] إذا حدث هنالك اختراق للعظم المجاور، الإزالة التامة شبه مستحيلة. من النادر أن يتحول الورم السحائي من حميد إلي خبيث. يمكننا أن نحدد احتمالية أن ينمو الورم أو يعود من بعد الجراحة من خلال مقارنة تصنيف منظمة الصحة العالمية ومدى الجراحة بمعايير سيمبسون.[21]
العلاج الاشعاعي
العلاج الإشعاعي قد يشمل إما العلاج باستخدام حزم فوتونات أو حزم بورتونات، أو حزمة أشعة خارجية مجزأة. الجراحة الإشعاعية يمكن استخدامها في علاج الأورام الصغيرة التي توجد في أماكن بعيدة عن المناطق الحرجة.[22] يمكن للحزمة الأشعة الخارجية المجزأة أن تستخدم أيضاً في علاج أولي للأورام التي لا يمكن قطعها جراحياً، أو للمرضى الذين لا يمكن إجراء الجراحة لهم لأسباب طبية. العلاج الإشعاعي بالعادة يكون لعلاج الورم السحائي من التصنيف الأول لمنظمة الصحة العالمية بعد عملية قطع غير تامة. القرار الطبي لاستخدام الأشعة بعد عملية قطع غير تامة هو نوعاً ما قابل للجدل، لأنه لا يوجد تجارب عشوائية محكمة على الصنف الأول من الأورام السحائية.[23] العديد من التجارب الاستعادية، بينت بقوة أن العلاج الأشعاعي التابع لعملية قطع غير تامة يساعد في تحسين كلا معدل الشفاء التام (بلا عودة للورم) ومعدل النجاة بشكل عام.[24] في حالة الورم السحائي من الصنف الثالث العلاج الحالي يشمل الخضوع للأشعة بعد العملية بغض النظر عن درجة القطع الجراحي.[25] هذا يعود للمعدل العالي نسبياً لعودة الأورام من الأصناف العالية. أما بالنسبة للصنف الثاني فعلاجه ذا تنوع ولا يوجد معيار ثابت للخضوع للأشعة بعد عملية القطع التامة أو لا. أما الأورام التي خضعت لقطع غير تام فيجب أن تخضع لعلاج إشعاعي بعد العملية.
التاريخ والتسمية
الورم المعروف حالياً باسم الورم السحائي تم إطلاق العديد من الأسماء عليه في الأدب الطبي القديم، اعتماداً على المصدر. العديد من المصادر شملت "الورم شبيه الفطر"، "فطر الأم الجافية"، "ورم ظهاري"، "ورم رملي"، "ساركومة جافية"، "ورم بطاني جافي"، "ساركومة ليفية"، "ورم بطاني وعائي"، "ورم أرومي ليفي عنكبوتي"، "تكاثر النسيج البطاني في السحايا"، "ورم أرومي ليفي سحائي"، "ورم أرومي سحائي"، "ساركومة الجافية"، "ورم المتسوطة السحائي"، وغيرها. تم استخدام الاسم الحديث "ورم سحائي" لأول مرة بواسطة هارفي كوشينج (1869-1939) عام 1922، لوصف مجموعة من الأورام التي تحدث في الجهاز العصبي المركزي (الدماغ والحبل الشوكي)، ولكن يجمع بينها قواسم مشتركة متنوعة[28][29] ثم قام بعد ذلك تشارلز أوبرلينغ بفصلهم إلى نوعين اعتماداً على تركيب الخلية، وعبر السنوات قام الكثير من الباحثين بتعريف العشرات من الأنواع المختلفة. وفي عام 1979، قامت منظمة الصحة العالمية بتصنيف سبعة أصناف، تم تثحديث نظام التصنيف في عام 2000 ليشمل 9 أصناف من درجة منخفضة (ورم درجة 1)، و3 أصناف من الدرجة الثانية والثالثة من الأورام السحائية. أكثر هذه الأصناف شهرةً هي ورم قرابي سحائي Meningotheliomatous (63%)، عابرة أو مختلطة (19%)، ليفية (13%)، وورم رملي (2%). أولى الأدلة على الأورام السحائية وجد في جمجة في ألمانيا تعود لحوالي 365,000 سنة. أمثلة أخرى على الأورام السحائية وجدت في قارات مختلفة عبر العالم، من مثل أمريكا الشمالية والجنوبية، وأفريقيا. أما أول تسجيل عن الأورام السحائية عائد للقرن السابع عشر، حينما قام فيليكس بلاتر (1536-1614) من جامعة بازل بعمل تسريح للسير كاسبر بونسيرتس.[30] تم إجراء أول جراحة لإزالة ورم سحائي في القرن السادس عشر، ولكن أول عملية ناجحة لإزالته من التحدب (مجاور للسهمي) كانت في عام 1770، قام بها أنيون لويس.[31] أول جراحة ناجحة مسجلة لإزالة ورم سحائي من قاعدة الجمجمة كانت عام 1835، وقام بها بروفسور من جامعة سيينا يدعى زانوبي بيجيولي.[32] من الباحثين البارزين أيضاً ويليم ماكوين (1848-1924)، وويليم كيين (1837-1932).[30] في القرن الماضي تابع الطب تقدمه الملاحظ في أبحاث الأورام السحائية وعلاجها، في كلا مجالي التقنيات الرجاحية لإزالتها، والتطورات المتعلقة في مجالات التخدير وطرقه، وتقنيات للتحكم بفقدان الدم، وقدرة أفضل على تحديد إمكانية إجراء جراحة للورم.[32]
حالات مشهورة
- ليونارد وود (1860-1927)، خضع لجراحة ناجحة بواسطة الدكتور هارفي كاشينغ لورم سحائي عام1910، وكان ذلك تقدماً ملحوظاً للجراحة العصبية حينذاك.[33]
- كريستال لي سوتون (1940-2009)، من منظمي الوحدة الأمريكية وملهم فلم نورما راي، توفي جراء ورم سحائي خبيث.[34][35]
- كاثي جورتيزين (1958-2012)، من مرسي الإذاعة الإخبارية في مدينة سياتل، خضعت لمعارك مشهورة ضد الأورام المتكررة. توفيت في 13 أغسطس عام 2012 جرّاء تعقيدات ناتجة عن علاجها..[36]
- ايلين فورد (1922-2014)، مديرة تنفيذية لوكالة عارضات أزياء أمريكية ومؤسسة شركة فورد، توفيت في 9 يوليو من مضاعفات للورم السحائي وتخلخل العظام..[37]
- هيلاري هوراد، مذيعة أخبار أمريكية، خضعت لجراحة ناجحة لإزالة الورم السحائي عام 2011[38][39]
- • ماري تايلر مور (مواليد 1936)، ممثلة أمريكية، خضعت لجراحة في مايو 2011 لإزالة ورم سحائي حميد.[40][41]
- شيرل جرو (مواليد 1962)، مغني وكاتب أغاني أمريكي، أخبرت جماهيرها عام2012 أنها شخصت بمرض الورم السحائي، لكن ممثلها قال بأن الأمر منتشر. جرو "سعيدة وصحية"[34]
المراجع
- https://pubmed.ncbi.nlm.nih.gov/20511189
- Cushing H. (1922). "The meningiomas (dural endotheliomas): their source, and favoured seats of origin". Brain. 45 (2): 282–316. doi:10.1093/brain/45.2.282. مؤرشف من الأصل في 24 سبتمبر 2018. الوسيط
|CitationClass=تم تجاهله (مساعدة) - Buetow MP, Buetow PC, Smirniotopoulos JG (November 1991). "Typical, atypical, and misleading features in meningioma". Radiographics. 11 (6): 1087–106. doi:10.1148/radiographics.11.6.1749851. PMID 1749851. مؤرشف من الأصل في 3 يناير 2020. اطلع عليه بتاريخ 01 ديسمبر 2008. الوسيط
|CitationClass=تم تجاهله (مساعدة)صيانة CS1: أسماء متعددة: قائمة المؤلفون (link) - Goldsmith BJ, Wara WM, Wilson CB, Larson DA (February 1994). "Postoperative irradiation for subtotally resected meningiomas. A retrospective analysis of 140 patients treated from 1967 to 1990". J. Neurosurg. 80 (2): 195–201. doi:10.3171/jns.1994.80.2.0195. PMID 8283256. الوسيط
|CitationClass=تم تجاهله (مساعدة)صيانة CS1: أسماء متعددة: قائمة المؤلفون (link) - "Meningioma". عيادة مايو. مؤرشف من الأصل في 6 نوفمبر 2013. اطلع عليه بتاريخ 27 فبراير 2012. الوسيط
|CitationClass=تم تجاهله (مساعدة) - Longstreth, W.T. Jr.; et al. (June 28, 2006). <639::AID-CNCR2820720304>3.0.CO;2-P/pdf "Epidemiology of intracranial Meningioma". Cancer. 72 (3): 639–648. doi:10.1002/1097-0142(19930801)72:3<639::AID-CNCR2820720304>3.0.CO;2-P. مؤرشف من <639::AID-CNCR2820720304>3.0.CO;2-P/pdf الأصل في 11 سبتمبر 2017. اطلع عليه بتاريخ April 5, 2012. الوسيط
|CitationClass=تم تجاهله (مساعدة) - "Dental x-rays and risk of meningioma". doi:10.1002/cncr.26625/abstract (غير نشط 2015-12-04). مؤرشف من الأصل في 11 سبتمبر 2017. اطلع عليه بتاريخ 10 أبريل 2012. الوسيط
|CitationClass=تم تجاهله (مساعدة) - Repacholi, MH; Lerchl, A; Röösli, M; Sienkiewicz, Z; Auvinen, A; Breckenkamp, J; d'Inzeo, G; Elliott, P; Frei, P; Heinrich, S; Lagroye, I; Lahkola, A; McCormick, DL; Thomas, S; Vecchia, P (April 2012). "Systematic review of wireless phone use and brain cancer and other head tumors". Bioelectromagnetics. 33 (3): 187–206. doi:10.1002/bem.20716. PMID 22021071. الوسيط
|CitationClass=تم تجاهله (مساعدة) - Lekanne Deprez RH, Riegman PH, Groen NA, et al. (April 1995). "Cloning and characterization of MN1, a gene from chromosome 22q11, which is disrupted by a balanced translocation in a meningioma". Oncogene. 10 (8): 1521–8. PMID 7731706. الوسيط
|CitationClass=تم تجاهله (مساعدة) - Staal FJ, van der Luijt RB, Baert MR, et al. (May 2002). "A novel germline mutation of PTEN associated with brain tumours of multiple lineages". Br. J. Cancer. 86 (10): 1586–91. doi:10.1038/sj.bjc.6600206. PMC 2746590. PMID 12085208. الوسيط
|CitationClass=تم تجاهله (مساعدة) - Zattara-Cannoni H, Roll P, Figarella-Branger D, et al. (April 2001). "Cytogenetic study of six cases of radiation-induced meningiomas". Cancer Genet. Cytogenet. 126 (2): 81–4. doi:10.1016/S0165-4608(00)00398-8. PMID 11376799. مؤرشف من الأصل في 17 ديسمبر 2019. الوسيط
|CitationClass=تم تجاهله (مساعدة) - "moon.ouhsc.edu". مؤرشف من الأصل في 5 فبراير 2016. اطلع عليه بتاريخ 30 نوفمبر 2008. الوسيط
|CitationClass=تم تجاهله (مساعدة) - "Neuropathology For Medical Students". مؤرشف من الأصل في 6 مايو 2012. اطلع عليه بتاريخ 30 نوفمبر 2008. الوسيط
|CitationClass=تم تجاهله (مساعدة) - Monleón D, Morales JM, Gonzalez-Segura A, Gonzalez-Darder JM, Gil-Benso R, Cerdá-Nicolás M, López-Ginés C (November 2010). "Metabolic aggressiveness in benign meningiomas with chromosomal instabilities". Cancer Research. 70 (21): 8426–8434. doi:10.1158/0008-5472.CAN-10-1498. PMID 20861191. مؤرشف من الأصل في 10 مايو 2019. الوسيط
|CitationClass=تم تجاهله (مساعدة)صيانة CS1: أسماء متعددة: قائمة المؤلفون (link) - Wrobel G, Roerig P, Kokocinski F, et al. (March 2005). "Microarray-based gene expression profiling of benign, atypical and anaplastic meningiomas identifies novel genes associated with meningioma progression". Int. J. Cancer. 114 (2): 249–56. doi:10.1002/ijc.20733. PMID 15540215. الوسيط
|CitationClass=تم تجاهله (مساعدة) - Yang SY, et al. (May 2008). "Atypical and anaplastic meningiomas: prognostic implications of clinicopathological features". J Neurol Neurosurg Psychiatry. 79 (5): 574–80. doi:10.1136/jnnp.2007.121582. PMID 17766430. الوسيط
|CitationClass=تم تجاهله (مساعدة) - Herscovici Z, et al. (Sep 2004). ": Natural history of conservatively treated meningiomas". Neurology. 63 (6): 1133–4. doi:10.1212/01.wnl.0000138569.45818.50. PMID 15452322. الوسيط
|CitationClass=تم تجاهله (مساعدة) - Yano S, Kuratsu J (2006). "Indications for surgery in patients with asymptomatic meningiomas based on an extensive experience". J Neurosurgery. 105 (4): 538–43. doi:10.3171/jns.2006.105.4.538. الوسيط
|CitationClass=تم تجاهله (مساعدة) - Olivero WC, et al. (Aug 1995). "The natural history and growth rate of asymptomatic meningiomas: a review of 60 patients". J Neurosurg. 83 (2): 222–4. doi:10.3171/jns.1995.83.2.0222. PMID 7616265. الوسيط
|CitationClass=تم تجاهله (مساعدة) - (PDF) https://web.archive.org/web/20080406082553/http://www.aans.org/education/journal/neurosurgical/july03/15-1-10.pdf. مؤرشف من الأصل (PDF) في 6 أبريل 2008. الوسيط
|CitationClass=تم تجاهله (مساعدة); مفقود أو فارغ|title=(مساعدة) - Simpson D (Feb 1957). "The recurrence of intracranial meningiomas after surgical treatment". J Neurol Neurosurg Psychiatry. 20 (1): 22–39. doi:10.1136/jnnp.20.1.22. PMC 497230. PMID 13406590. الوسيط
|CitationClass=تم تجاهله (مساعدة) - Kullova A, et al. (Aug 2007). ": Radiosurgery for benign meningioma". J Neurosurg. 107 (2): 325–36. doi:10.3171/JNS-07/08/0325. PMID 17695387. الوسيط
|CitationClass=تم تجاهله (مساعدة) - Taylor BW, et al. (Aug 1988). ": The meningioma controversy: postoperative radiation therapy". Int J Radiat Oncol Biol Phys. 15 (2): 299–304. PMID 3403313. الوسيط
|CitationClass=تم تجاهله (مساعدة) - Goldsmith BJ, et al. (1994). "Postoperative irradiation for subtotally resected meningiomas. A retrospective analysis of 140 patients treated from 1967 to 1990". J Neurosurg. 80 (2): 195–201. doi:10.3171/jns.1994.80.2.0195. PMID 8283256. الوسيط
|CitationClass=تم تجاهله (مساعدة) - Goyal LK, et al. (2000). "Local control and overall survival in atypical meningioma: a retrospective study". Int J Radiat Oncol Biol Phys. 46 (1): 57–61. PMID 10656373. الوسيط
|CitationClass=تم تجاهله (مساعدة) - Wahab M, et al. (Dec 2003). ": Meningioma and hormonal influences". Climacteric. 6 (4): 285–92. doi:10.1080/cmt.6.4.285.292. PMID 15006250. الوسيط
|CitationClass=تم تجاهله (مساعدة) - Newton HB (2007). "Hydroxyurea chemotherapy in the treatment of meningiomas". Neurosurg Focus. 23 (4): E11. doi:10.3171/foc-07/10/e11. الوسيط
|CitationClass=تم تجاهله (مساعدة) - Okonkwo et al. p. 5.
- Prayson, Richard A. "Pathology of Meningiomas". Meningiomas. pp. 31–41.
- Okonkwo et al. pp. 7–8.
- Louis A (1774). "Mêmoire sur les Tumeurs Fungueuses de la Dure-mère". Mem Acad Roy Chir. 5: 1–59. الوسيط
|CitationClass=تم تجاهله (مساعدة) - DeMonte. Al-Mefty's Memas
- Okonkwo, David O.; Laws, Edward R. Jr. "Meningiomas: Historical perspective". Meningiomas. p. 8.
- Ann Oldenburg (June 5, 2012). "Sheryl Crow has a benign brain tumor". Los Angeles Daily News. مؤرشف من الأصل في 9 يناير 2020. اطلع عليه بتاريخ 05 يونيو 2012. الوسيط
|CitationClass=تم تجاهله (مساعدة) - Sturgis, Sue (2009-09-14). "Real 'Norma Rae' dies of cancer after insurer delayed treatment". Facing South. Institute for Southern Studies. مؤرشف من الأصل في 23 مايو 2016. الوسيط
|CitationClass=تم تجاهله (مساعدة) - Staff (February 6, 2013). "News anchor Kathi Goertzen dies after long illness". CBS-Channel 5 KING. مؤرشف من الأصل في 15 فبراير 2016. اطلع عليه بتاريخ March 5, 2015. الوسيط
|CitationClass=تم تجاهله (مساعدة) - Notice of death of Eileen Ford, with causes provided, CNN.com, July 10, 2014; accessed July 13, 2014. نسخة محفوظة 14 يوليو 2017 على موقع واي باك مشين.
- "Hillary Howard of WTOP is upbeat about brain surgery". The Washington Post. 2011-04-04. مؤرشف من الأصل في 11 سبتمبر 2017. اطلع عليه بتاريخ 25 فبراير 2012. الوسيط
|CitationClass=تم تجاهله (مساعدة) - "Update: Hillary Howard recovering from brain surgery". The Washington Post. 2011-04-18. مؤرشف من الأصل في 11 سبتمبر 2017. اطلع عليه بتاريخ 25 فبراير 2012. الوسيط
|CitationClass=تم تجاهله (مساعدة) - Goldman, Russell (May 12, 2011). "Mary Tyler Moore has brain surgery for meningioma tumor". ABC News. مؤرشف من الأصل في 8 أبريل 2018. اطلع عليه بتاريخ 25 فبراير 2012. الوسيط
|CitationClass=تم تجاهله (مساعدة) - Genzlinger, Neil (January 26, 2012). "Boy, did she make it". نيويورك تايمز. مؤرشف من الأصل في 24 أبريل 2019. اطلع عليه بتاريخ 25 فبراير 2012. الوسيط
|CitationClass=تم تجاهله (مساعدة)
قراءة أخرى
- Cushing, Harvey; Eisenhardt, Louise (1938). Meningiomas: their classification, regional behavior, life history, and surgical end results. Springfield, Illinois: Charles C. Thomas. الوسيط
|CitationClass=تم تجاهله (مساعدة)صيانة CS1: أسماء متعددة: قائمة المؤلفون (link)
روابط خارجية
- Epidemiology and more information about meningioma.
- MR/CT scans of meningioma from MedPix
- CancerBackup
- MR/CT scans of pneumosinus dilatans from MedPix
- Meningioma Mommas, online support group for men and women with meningiomas, and their caregivers
- Meningioma Awareness Day, annual conference hosted by Harvard University for patients, doctors, caregivers, and researchers
- Cancer.Net: Meningioma
- بوابة طب
