ورم ظهاري شعري منفرد
الورم الظهاري الشعري المنفرد (بالإنجليزية: Solitary trichoepithelioma) هو حالة جلدية تمتاز بحطاطات أو عقيدات أدمية صلبة غالبا ما تظهر على الوجه.[1]:672
| ورم ظهاري شعري منفرد | |
|---|---|
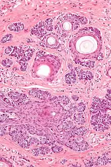
![]() صورة مجهرية للورم الظهاري الشعري. صبغة الهيماتوكسيلين والأيوسين. صورة مجهرية للورم الظهاري الشعري. صبغة الهيماتوكسيلين والأيوسين. | |
| معلومات عامة | |
| الاختصاص | طب الجلد |
| من أنواع | ورم ظهاري شعري |
طالع أيضا
المصادر
- James, William D.; Berger, Timothy G.; et al. (2006). Andrews' Diseases of the Skin: Clinical Dermatology. Saunders Elsevier. ISBN 0-7216-2921-0. الوسيط
|CitationClass=تم تجاهله (مساعدة)
- بوابة طب
This article is issued from Wikipedia. The text is licensed under Creative Commons - Attribution - Sharealike. Additional terms may apply for the media files.
