ورم غدي عرقي
الوَرَمٌ الغُدِّيٌّ العَرَقِيّ ( بالإنجليزية: Syringoma ) هو ورم غير مضر من الغدد العرقية الناتِحة. توجد عادة متجمعة على الجفون، على الرغم من أنها يمكن أيضا أن تكون موجودة في الإبطين، والبطن، والصدر، والرقبة، وفروة الرأس أو منطقة الفخذ بما في ذلك الأعضاء التناسلية في نمط متماثل.[1]:663 ويمكن الخلط بينه وبين الورم الأصفر، الدخينات، الكيسة الاحتباسية العرقية، الورم الظهاري الشعري، والويحة الصفراء.[2] ينتشر بين النساء خصوصاً النساء الآسيويات في منتصف العمر، في حين أنها يمكن أن تظهر في أي وقت في الحياة، فهي موجودة عادة في مرحلة المراهقة.وعادة ما يكون غير مرتبط مع أي أعراض أخرى على الرغم من أن يمكن أن يسبب أحياناً حكة أو تهيج.[3]
| ورم غدي عرقي | |
|---|---|
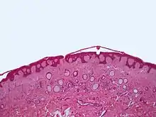
![]() تم تحديد الأورام الغدية العرقية بدوائر بيضاء. | |
| معلومات عامة | |
| الاختصاص | علم الأورام |
| من أنواع | ورم الغدد العرقية |
الأنواع
- طَفَحِيّ يوجد هذا النوع غالباً على الصدر، البطن، الرقبة والذراعين. يظهر على هيئة محاصيل متتابعة مع فترات من الراحة بين أوقات الطفح النشط.
- مثل الدُخينات يكون على شكل آفات صغيرة ذات مركز أبيض لبني تشبه الدخينات.
- نوع لويحي هذا النوع أكثر ارتباطاً مع الحكة والهرش المزمن اللذان يؤديان لسماكة الجلد مشبهاً في ذلك الحزاز المسطح.
- عائلي بعض حالات الأورام الغدية العرقية تُظهر نمط عائلي في صورة جسدية سائدة التوريث. تم اكتشاف أن الكروموسوم 16q22 مُرتبط بالروابط الجينية للورم غدي عرقي.
المتلازمات المرتبطة
من الممكن أن ترتبط الأورام الغدية العرقية مع أعراض أخرى كجزء من متلازمة ما. مرض هيلي- هيلي المعروف أيضاً بالفقاع المزمن الحميد العائلي والذي يتميز بوجود حويصلات من الممكن أن يشمل أيضاً وجود أورام غدية عرقية.
الفسيولوجيا المرضية

تظل الفسيولوجيا المرضية للروم الغدي العرقي غير معروفة إلى حدٍ كبير. من الممكن أن يكون هذا الورم تحت التأثير الهرومني ما يفسر شيوعه في الإناث.
التشخيص
غالبا ما يتم تشخيص الأورام الغدية العرقية أثناء الفحص السريري بُناءً على الأعراض، ونمط توزيعها في الجسم، وقلة الأعراض المصاحَبة والتاريخ العائلي. يتطلب التشخيص النهائي خزعة الجلد لفحص الأنسجة مجهرياً. أثناء الفحص المجهري، يتميز الورم الغدي العرقي بتشكُّل ذيل القنوات المتوسعة المفرزة الكيسية على شكل فاصلة مُشبهةً "الشرغوف": فرخ الضفدع.
العلاج
الهدف من العلاج هو محاولة تحسين مظهر الآفات حيث أنها ليست خطيرة وغالباً لا تسبب أيةَ أعراض. تمت تجربة العديد من طرق العلاج، ولكن إزالتها ليس شائعاً.وقد تم دراسة العلاجات الطبية والجراحية على حد سواء مع نتائج نجاح متنوعة. تشمل العلاجات المدمرة الشائعة ليزر ثاني أكسيد الكربون، تَسْحِيْجُ الجِلْد، التخثير الكهربي، الاستئصال الجراحي والتقشير الكيميائي. معظم هذه العلاجات تستهلك الكثير من الوقت وتتطلب جلسات علاج متتعددة. ليزر ثاني أكسيد الكربون هو أكثر العلاجات العملية ممارسةً، ولكنه قد يسبب ضرر حراري مما يؤدي لظهور الندوب. أما العلاجات الطبية فتشمل: الأتروبين الموضعي، الرتينوئيدات الموضعية وtranilast الذي يؤخذ عن طريق الفم.
الآثار الجانبية الأكثر شيوعاً تتضمن: احمرار وتلون الجلد وآلام. الأعراض الجانبية الأخرى تشمل التقرح أو التبثر والتندب.
انظر أيضاً
المراجع
- James, William D.; Berger, Timothy G.; et al. (2006). Andrews' Diseases of the Skin: clinical Dermatology. Saunders Elsevier. ISBN 0-7216-2921-0. الوسيط
|CitationClass=تم تجاهله (مساعدة) - "Skin lesions, tumours and cancers. DermNet NZ". www.dermnetnz.org. مؤرشف من الأصل في 05 يوليو 2016. اطلع عليه بتاريخ 15 نوفمبر 2015. الوسيط
|CitationClass=تم تجاهله (مساعدة); تحقق من التاريخ في:|تاريخ أرشيف=(مساعدة) - "Syringoma. DermNet NZ". www.dermnetnz.org. مؤرشف من الأصل في 02 أغسطس 2016. اطلع عليه بتاريخ 15 نوفمبر 2015. الوسيط
|CitationClass=تم تجاهله (مساعدة); تحقق من التاريخ في:|تاريخ أرشيف=(مساعدة)
- بوابة طب

