ورم غدي كيسي مصلي مبيضي
ورم غدي كيسي مصلي في المبيض هو الورم الأكثر شيوعاً في المبيض؛ إذ يمثل 20% من أورام المبيض، وهو ورم حميد.[1]
| ورم غدي كيسي مصلي مبيضي | |
|---|---|
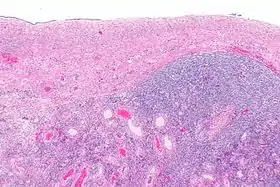
![]() صورة مجهرية لورم غدي كيسي مصلي في المبيض، الكيسة في الأعلى والمتن في الأسفل بصبغة الهيماتوكسيلين والأيوزين صورة مجهرية لورم غدي كيسي مصلي في المبيض، الكيسة في الأعلى والمتن في الأسفل بصبغة الهيماتوكسيلين والأيوزين | |
| معلومات عامة | |
| الاختصاص | علم الأورام |
| من أنواع | ورم مبيضي حميد ، وورم غدي كيسي مبيضي ، وورم مصلي |
يتم تشخيصه مجهريًا، أما عيانياً فيتكون من كيسة وحيدة المسكن تحوي سائلاً رائقاً مصفر اللون، تظهر تحت الميكروسكوب مغطاة بظهارة بسيطة عمودية أو سطحية الخلايا ذات أهداب.
معرض صور
المراجع
- Human Reproduction. University of Utah Medpath http://library.med.utah.edu/kw/human_reprod/seminars/seminar4B2.html.
- بوابة طب
في كومنز صور وملفات عن: ورم غدي كيسي مصلي مبيضي
This article is issued from Wikipedia. The text is licensed under Creative Commons - Attribution - Sharealike. Additional terms may apply for the media files.






