ورم غدي متعدد الأشكال
الورم الغدي متعدد الأشكال هو ورم حميد من أورام الغدة اللعابية الشائعة، يتميز بتكاثر ورَمي في الخلايا الغديّة البرانشيمية، بالإضافة إلى مكونات ظِهاريّة عضليّة .مع وجود احتمالية التحول إلى ورم خبيث. هو الورم الأكثر شهرة من أورام الغدة اللعابية وهو ورم الغدة النكافية الأكثر شهرةّ كذلك، تم إطلاق هذا الأسم على الورم لتعدد أشكاله المعمارية (مظاهر متنوعة) التي تم رؤيتها بالمجهر الضوئي ، كما ويُعرف "بالورم المختلط "، نوع الغدة اللعابية الذي يصف تعدد أشكال الورم الذي يعود السبب فيه إلى أصله الثنائي المكون من عناصر ظِهارية و ظِهارية عضلية.
_parotid_gland.jpg.webp)
| ورم غدي متعدد الأشكال | |
|---|---|
| معلومات عامة | |
| الاختصاص | علم الأورام |
الحالة السريرية
عادةً ما يكون هذا الورم منفرداً ويوصف بأنه كتلة عقدية أحادية بطيئة النمو وغير مؤلمة.العقد المعزولة تظهرعلى شكل نمو زائد من العقدة الأساسية ولا تظهر على شكل متعدد العقيدات، عادة ما تكون الكتلة متحركة، إلا اذ ا ظهرت في الحنك ويمكن أن تؤدي إلى ضمور في الرأس (الفرع الفكي) إذا وُجدت في الغدة النكافية . عند ظهور الورم في ذيل الغدة النكفية ، قد يظهر على شكل انقلاب لشحمة الأذن. على الرغم من أن الورم يصنف كورم حميد فإن لديه القدرة على النمو لأحجام كبيرة ويمكن أن يتحول إلى ورم خبيث، عندئذٍ يشكل ما يُعرف بـ(سرطان تابع من ورم غديّ متعدد الأشكال) ، وتزداد احتمالية هذا التحول الخطر مع الوقت . (9.5% هي احتمالية تحول الورم إلى ورم خبيث خلال 15 سنة ). بالرغم من كون الورم حميد فإنه مختلّ الصيغة الصبغيّة، وهنالك احتمالية لعودته بعد استئصاله جراحياً، يغزو هذا الورم ويُغير على الأنسجة المجاورة وقد تم الإبلاغ عن نقائل بعيدة بعد فترات زمنية طويلة (أكثر من 10 سنوات).
علم الأنسجة
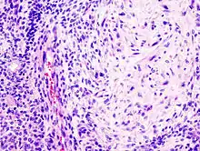
من ناحية نسيجية، فالورم كثير التنوع في مظهره حتى في الأورام الأحادية. نموذجياً الورم يكون ثنائي الطور ويتمثل بخليط متعدد الأضلاع من العناصر الظِهارية والظهارية العضلية المغزلية الشكل في نسيج حامل متعدد الأشكال .الذي قد يكون مخاطاني أو مخاطي أو غضروفي أو زجاجي الشكل. العناصر الظهارية قد تترتب إما على شكل شبيه بالأنابيب أو تكون كالصفائح أو تكون كالتكتلات ويمكن أن تأخذ شكل جدائل متبادلة وتتكون من خلايا مضلعة الشكل أو مغزلية أو نجمية (لاحظ تعدد الأشكال). قد توجد مناطق من الحؤول الحرشفيّ واللالئ الظهاريّة . الورم ليس مغلفاً لكنه محاط بكبسولة ليفيّة كاذبة ذات سماكة مختلفة. يمتد الورم عبر لُحمة أو متن (النسيج البرنشيميّ) الغدد الطبيعية ويأخذ شكل الأقدام الكاذبة، ولكن هذه ليست من علامات التحول الخبيث للورم . يُظهر الورم إزفاءات صبغويّة بين الكونوسومات #3 و #8 . هذا يجعل جين البلاج مجاوراً لجين البيتا سيتانين. هذا يعمل على تفعيل مسلك السيتانين ويؤدي إلى حدوث انقسامات خلوية غير مناسبة . (PLAG gene & Beta Cetanin)
التشخيص

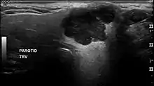
يعمل تشخيص أورام الغدد اللعابية على استخدام عينات من الأنسجة بالإضافة إلى دراسة صور الأشعة. إجراءات أخد عينات من الأنسجة تشمل الشفط بالإبرة النحيفة و خزعة الإبرة المركزية (إبرة أكبر من الإبرة النحيفة الشافطة). كلا الإجرائين السابقين يمكن القيام بهما خارج المستشفى. تقنيات التصوير التشخيصية لأورام الغدة اللعابية تتضمن الموجات فوق الصوتية ، التصوير الطبقي المحوسب، الرنين المغناطيسي . يمكن لخزعة الشفط بالإبرة النحيفة إذا أجراها أطباء مختصون أن تحدد ما إذا كان الورم خبيثاً بطبيعته بدرجة حساسية تصل إلى حوالي ال90% .[1][2] ويمكن أيضاً لهذه التقنية التفريق بين ورم الغدة اللعابية الأولي وبين الورم الذي يحمل قابلية للانتشار . خزعة الإبرة المركزية يمكن أن يتم إجرائها دون الحاجة لإدخال المريض إلى المستشفى . هذه الطريقة أكثر امتدادا واجتياحاً لكنها أكثر دقة مقارنة بسابقتها مع درجة حساسية تفوق ال97%،[3] بالإضافة إلى أن هذه التقنية تسمح بطباعة نسيجية أكثر دقة للورم . فيما يخص الدراسات التصويرية، تقنية الموجات فوق الصوتية يمكن ان تحدد وتشخص أورام الغدة النكفية. بعض أورام الغدة اللعابية تحتوي على خصائص تخطيطية خاصة في الموجات فوق الصوتية.[4] وتستخدم هذه التقنية أيضاً لتوجيه نوعي الخزعات السابق ذكرها : خزعة الشفط بالإبرة النحيفة وخزعة الإبرة المركزية. يسمح التصوير الطبقي المحوسب برؤية مباشرة وثنائية الجانب لورم الغدة اللعابية وتوفر معلومات عن الأبعاد الكلية للورم والانتشار داخل الانسجة. يعتبر التصوير الطبقي المحوسب تقنية ممتازة لعرض الانتشار واللاجتياح في العظم. يقدم الرنين المغناطيسي تخطيط أفضل للأنسجة الرخوة فقط مقارنةَ بالتصوير الطبقي كمعرفة الغزو حول العصب .[5]
العلاج
إجمالأ، الإستئصال الجراحي لورم الغدة اللعابية هو العلاج الأساسي. يُنصح بشدة بأخذ خزعة بالإبرة قبل الجراحة لتأكيد التشخيص. استخدام تقنيات جراحية مفصلة بالإضافة إلى استخدام العلاج المساعد بالأشعة يعتمد على كون الورم حميداً أو خبيثاً. أحياناً يكون العلاج الجراحي لورم الغدة النكفية صعباً، سبب الصعوبة يرجع في جزء منه إلى العلاقة التشريحية بين العصب الوجهي ومكان الغدة النكفيّة، ويرجع أيضاً إلى ازدياد احتمالية عودة الورم بعد الجراحة . ولذلك فإن اكتشاف ورم الغدة النكافيّة في مراحل مبكرة يعد مهماً جداً فيما يتعلق بالوضع بعد الجراحة.[6] بشكل عام، أورام الغدة النكفية الحميدة تعالج باستئصال سطحي أو كليّ للغدة، ويعتبر الإستئصال الكلي هو الأكثر شيوعاً وذلك لارتفاع نسب عودة الورم .[7] يجب المحافظة على العصب الوجهي قدر الاستطاعة. أورام غدة ما تحت الفك السفلي الحميدة تعالج باستئصال بسيط مع الحفاظ على فرع الفك السفلي من العصب الوجهي، العصب تحت اللسانيّ والعصب اللساني.[8] أورام الغدد اللعابية الصغيرة تعالج بطريقة مماثلة. أورام الغدة اللعابية الخبيثة تتطلب إستئصالاً واسعاً للورم الأولي، وإذا لم يكن ممكناً استئصال الورم بالكامل فيجب إضافة العلاج المساعد بالأشعة لتحسين السيطرة على الورم .[9][10] هذا الإجراء الجراحي له أعراض جانبية وعواقب كثيرة منها ضرر بالأعصاب الدماغية، متلازمة فراير، مشاكل تجميلية .. الخ. عادة، يحصل 44% من المرضى على إزالة نسيجية كاملة للورم وهذا ينعكس على نسب النجاة المرتفعة.
انظر أيضاً
المراجع
- Cohen EG, Patel SG, Lin O, et al. (Jun 2004). "Fine-needle aspiration biopsy of salivary gland lesions in a selected patient population". Arch Otolaryngol Head Neck Surg. 130 (6): 773–8. doi:10.1001/archotol.130.6.773. PMID 15210562. الوسيط
|CitationClass=تم تجاهله (مساعدة) - Batsakis JG, Sneige N, el-Naggar AK (Feb 1992). "Fine-needle aspiration of salivary glands: its utility and tissue effects". Ann Otol Rhinol Laryngol. 101 (2 Pt 1): 185–8. PMID 1739267. الوسيط
|CitationClass=تم تجاهله (مساعدة)صيانة CS1: أسماء متعددة: قائمة المؤلفون (link) - Wan YL, Chan SC, Chen YL, et al. (Oct 2004). "Ultrasonography-guided core-needle biopsy of parotid gland masses". AJNR Am J Neuroradiol. 25 (9): 1608–12. PMID 15502149. مؤرشف من الأصل في 16 ديسمبر 2019. الوسيط
|CitationClass=تم تجاهله (مساعدة) - Białek EJ, Jakubowski W, Karpińska G (Sep 2003). "Role of ultrasonography in diagnosis and differentiation of pleomorphic adenomas: work in progress". Arch Otolaryngol Head Neck Surg. 129 (9): 929–33. doi:10.1001/archotol.129.9.929. PMID 12975263. الوسيط
|CitationClass=تم تجاهله (مساعدة)صيانة CS1: أسماء متعددة: قائمة المؤلفون (link) - Koyuncu M, Seşen T, Akan H, et al. (Dec 2003). "Comparison of computed tomography and magnetic resonance imaging in the diagnosis of parotid tumors". Otolaryngol Head Neck Surg. 129 (6): 726–32. doi:10.1016/j.otohns.2003.07.009. PMID 14663442. الوسيط
|CitationClass=تم تجاهله (مساعدة) -
Alexandru Bucur, Octavian Dincă, Tiberiu Niță, Cosmin Totan, Cristian Vlădan (Mar 2011). "Parotid tumors: our experience". Rev. chir. oro-maxilo-fac. implantol. (باللغة الرومانية). 2 (1): 7–9. ISSN 2069-3850. 18. اطلع عليه بتاريخ 06 يونيو 2012. الوسيط
|CitationClass=تم تجاهله (مساعدة)صيانة CS1: أسماء متعددة: قائمة المؤلفون (link)(webpage has a translation button) - Stennert E, Guntinas-Lichius O, Klussmann JP, Arnold G (Dec 2001). "Histopathology of pleomorphic adenoma in the parotid gland: a prospective unselected series of 100 cases". Laryngoscope. 111 (12): 2195–200. doi:10.1097/00005537-200112000-00024. PMID 11802025. مؤرشف من الأصل في 11 مايو 2012. الوسيط
|CitationClass=تم تجاهله (مساعدة)صيانة CS1: أسماء متعددة: قائمة المؤلفون (link) - Leonetti JP, Marzo SJ, Petruzzelli GJ, Herr B (Sep 2005). "Recurrent pleomorphic adenoma of the parotid gland". Otolaryngol Head Neck Surg. 133 (3): 319–22. doi:10.1016/j.otohns.2005.04.008. PMID 16143173. الوسيط
|CitationClass=تم تجاهله (مساعدة)صيانة CS1: أسماء متعددة: قائمة المؤلفون (link) - Ganly I, Patel SG, Coleman M, Ghossein R, Carlson D, Shah JP (Jul 2006). "Malignant minor salivary gland tumors of the larynx". Arch Otolaryngol Head Neck Surg. 132 (7): 767–70. doi:10.1001/archotol.132.7.767. PMID 16847187. الوسيط
|CitationClass=تم تجاهله (مساعدة)صيانة CS1: أسماء متعددة: قائمة المؤلفون (link) - Terhaard CH, Lubsen H, Rasch CR, et al. (Jan 2005). "The role of radiotherapy in the treatment of malignant salivary gland tumors". Int J Radiat Oncol Biol Phys. 61 (1): 103–11. doi:10.1016/j.ijrobp.2004.03.018. PMID 15629600. الوسيط
|CitationClass=تم تجاهله (مساعدة)
- بوابة طب
- بوابة طب الأسنان