ورم غضروفي
الورم الغضروفي هو سرطان يتألف من خلايا مشتقة من خلايا وظيفتها إنتاج الغضروف متحولة.[1] ورم غضروفي عضو في فئة من أورام العظام والأنسجة اللينة تعرف باسم ساركوما. حوالي 30٪ من سرطانات الهيكل العظمي عبارة عن ورم غضروفي.[2] وهي مقاومة للعلاج الكيميائي والعلاج الإشعاعي. خلافا لغيرها من سرطان العظام الأولي التي تؤثر بشكل رئيسي في الأطفال والمراهقين، يمكن أن يحدث الورم الغضروفي في أي سن. يؤثر في كثير من الأحيان على الهيكل المحوري.[3]
| ورم غضروفي | |
|---|---|
| معلومات عامة | |
| الاختصاص | علم الأورام |
| من أنواع | نمط خلوي لورم حميد ، وورم الغضروف |
| التاريخ | |
| وصفها المصدر | قاموس غرانات الموسوعي |
التصنيف والدرجات
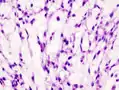
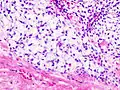
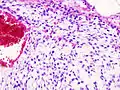
يصنف الأطباء الورم الغضروفي باستخدام عدة معايير، ولكن بشكل خاص عن طريق الكيفية الغير طبيعية لظهور الخلايا السرطانية تحت المجهر، ومعدل نمو الأورام نفسها، وكلاهما مرتبط مباشرة إلى ميل السرطان للغزو محليا، والانتشار على نطاق واسع لأعضاء بعيدة ومواقع أخرى في الجسم (وتسمى نقيلة).
ينمو الدرجة الأولى من الورم الغضروفي ببطء نسبيا، يتكون من انسجة خلايا مشابه تماما لأنسجة خلايا الغضروف الطبيعي، ويكون أقل عدوانية من خصائص الغازي والمتنقل. تنمو الدرجات الثانية والثالثة على نحو متزايد وتعتبر من السرطان الأسرع نموا، مع خلايا أكثر تنوعا وغير طبيعية المظهر، وأكثر عرضة لاختراق الأنسجة المحيطة بها، والعقد اللمفاوية، وبعض الأجهزة، ولكن ليس كل شيء، تُصنف السلطات والمرافق الطبية الدرجة الرابعة إلى والأورام المستمدة من الغضروف الغير متمايزة الأكثر تحولا.
المواقع الأكثر شيوعا لنمو الورم الغضروفي هي الحوض والكتف، جنبا إلى جنب مع المناطق العلوى والسفلى في الذراعين والساقين.[4] ومع ذلك، قد يحدث الورم الغضروفي في أي من العظام، ويحدث أحيانا في الجمجمة، وتحديدا في قاعدتها.
توفر رموز التصنيف الدولي لأمراض الأورام تصنيف أكثر دقة من للورم الغضروفي. تُستمد هذه "الفروع" من وتعكس على حد سواء (أ) موقع الطبوغرافية للورم، (ب) الخصائص النسيجية لخلايا الغضروف سرطانية، و (ج) التركيب من المواد المصفوفة المحيطة المرتبطة بالورم:
- 9220 = ورم غضروفي غير محدد
- 9221 = ورم غضروفي مجاور للقشرة
- 9231 = ورم غضروفي مخاطاني
- 9240 = ورم غضروفي وسيطة
- 9242 = ورم غضروفي خلوي واضح
- 9243 = ورم غضروفي غير مميز
التشخيص
غالبا ما تستخدم الفحوص التصويرية بالأشعة والتي تتضمن الأشعة السينية والأشعة المقطعية، والتصوير بالرنين المغناطيسي للتأكيد من تشخيص الورم الغضروفي [5] ومع ذلك، فإن التشخيص النهائي يعتمد على تحديد الخلايا السرطانية الخبيثة في عينة الخزعة التي تم فحصها من قبل الطبيب الشرعي. يُطلب طبيب متخصص في المناعة في حالات قليلة حيث تكون الأورام من النوع المتحول للغاية.
لا توجد اختبارات دم متاحة حاليا لتمكين طبيب الأورام لتقديم تشخيص للورم الغضروفي. عادة ما تستخدم الأشعة المقطعية في الفحوصات التصويرية بالأشعة للحصول على نتيجة.
اتضح منذ مدة قليلة أن ما يقرب من جميع مرضى الورم الغضروفي أنهم في صحة جيدة. في كثير من الأحيان، لا يدرك المرضى الورم المتزايد حتى يكون هناك وجود لتورم أو ألم ملحوظ. عموما يكون التشخيص المبكر عرضيا، عندما يخضع المريض لاختبار مشكلة أخرى يكتشف الأطباء السرطان. تكون الأعراض الأولى أحيانا كسر في موقع السرطان. خدوث أي كسر في العظام ناتج من صدمة خفيفة ينبئ بتشخيص أكبر من ذلك، على الرغم من أن هناك العديد من الظروف التي يمكن أن تؤدي إلى ضعف العظام، هذا النوع من السرطان ليس مشترك في مثل هذه الحالات.
الأسباب
السبب غير معروف. المرضى قد لديهم تاريخ من تكيسات الغضاريف أو ورم العظام الحميد. وهناك أقلية صغيرة من الذين يعانون من الورم الغضروفي تحدث في المرضى الذين يعانون من متلازمة مافوتشي ومرض اولييه.[6]
ارتبط ذلك مع خلل نازعة هيدروجين الإيزوسيترات 1 و 2 الإنزيمات، التي ترتبط أيضا مع الاورام الدبقية واللوكيميا.[7]
العلاج
يعتمد العلاج على مكان وجود الورم ومدى عدائيته.[4] ولأن الورم الغضروفي نادر، يتم التعامل معهم في المستشفيات التخصصية مع مراكز الورم الخبيث.
الجراحة هي الشكل الرئيسي لعلاج الورم الغضروفي. عادة ما يتم اختيار متخصصي الورم العضلي الهيكلي أو الأورام العظمية لعلاج غضروفية، إلا في حالة أنه يقع في الجمجمة والعمود الفقري، أو تجويف الصدر، في هذه الحالة، يتم اختيار جراح أعصاب أو طبيب جراح الصدر من ذوي الخبرة مع الأورام اللخبيثة. في كثير من الأحيان، يمكن إجراء عملية بتر للطرف، ولكن في بعض الحالات عملية البتر تكون أمر لا مفر منه. بتر الذراع، الساق، الفك، أو نصف الحوض (يسمى بتر حوضي شقي) قد يكون ضروريا في بعض الحالات.
هناك نوعان من بتر حوضي شقي (الداخلية والخارجية)
- بتر حوضي شقي خارجي - هو إزالة أن نصف الحوض مع بتر ساقه.
- بتر حوضي شقي الداخلي - هو إزالة أن نصف الحوض، ولكن يتم ترك الساق سليمة.
العلاج الكيميائي أو العلاج الإشعاعي التقليدي ليست فعالة جدا بالنسبة لمعظم مرضى الورم الغضروفي، على الرغم من أن العلاج بالبروتونات يبدو واعد في أكثر من 80٪ من حالات الورم المحلية .[8]
أظهرت الدراسات الحديثة أن استحثاث موت الخلايا المبرمج في الدرجة العالية من الورم الغضروفي، سواء بصورة مباشرة أو عن طريق تعزيز الاستجابة للعلاج الكيميائي والإشعاعي، هي استراتيجية علاجية صالحة.[9]
التنبؤ بالمرض
يتوقف التنبؤ على مدى اكتشاف السرطان في وقت مبكر. يظل حوالي 90٪ من المرضى في الحالة الأقل درجة العدوانية على قيد الحياة بعد أكثر من خمس سنوات من التشخيص. عادة ما يكون للناس معدل جيد في البقاء على قيد الحياة في الحالات المنخفضة من السرطان.[3] في الدرجة الأكثر عدوانية، فإن 10٪ فقط من المرضى يمكن أن يظلوا على قيد الحياة لمدة سنة واحدة.
قد تتكرر الأورام في المستقبل ولذلك فإن المتابعة بالاشعة هي في غاية الأهمية للتأكد من أن الورم الغضروفي لم يتكرر أو لم يحدث ورم خبيث، والذي يحدث عادة في الرئتين.
المصادر
- Gelderblom H, Hogendoorn PC, Dijkstra SD; et al. (مارس 2008). "The clinical approach towards chondrosarcoma". Oncologist. 13 (3): 320–9. doi:10.1634/theoncologist.2007-0237. PMID 18378543. مؤرشف من الأصل في 22 أغسطس 2009. الوسيط
|CitationClass=تم تجاهله (مساعدة)صيانة CS1: أسماء متعددة: قائمة المؤلفون (link) [وصلة مكسورة] - "AANOS" en. مؤرشف من الأصل في 30 أبريل 2012. اطلع عليه بتاريخ 04 يناير 2020. الوسيط
|CitationClass=تم تجاهله (مساعدة); Invalid|script-title=: missing prefix (مساعدة) - "Chondrosarcoma: Overview - eMedicine Radiology". مؤرشف من الأصل في 22 نوفمبر 2008. اطلع عليه بتاريخ 14 فبراير 2009. الوسيط
|CitationClass=تم تجاهله (مساعدة) - "Chondrosarcoma : Cancerbackup". مؤرشف من الأصل في 05 سبتمبر 2008. اطلع عليه بتاريخ 14 فبراير 2009. الوسيط
|CitationClass=تم تجاهله (مساعدة); تحقق من التاريخ في:|تاريخ أرشيف=(مساعدة) - CT scan and gross pathology of a chondrosarcoma 2012-12-18 نسخة محفوظة 27 أبريل 2020 على موقع واي باك مشين.
- Lin, Patrick P.; Moussallem, Charbel D.; Deavers, Michael T. (Oct 2010). "Secondary chondrosarcoma". The Journal of the American Academy of Orthopaedic Surgeons. 18 (10): 608–615. ISSN 1067-151X. PMID 20889950. مؤرشف من الأصل في 23 أكتوبر 2018. اطلع عليه بتاريخ 09 مايو 2015. الوسيط
|CitationClass=تم تجاهله (مساعدة) - Amary, M. Fernanda; Bacsi, Krisztian; Maggiani, Francesca; Damato, Stephen; Halai, Dina; Berisha, Fitim; Pollock, Robin; O'Donnell, Paul; Grigoriadis, Anita (Jul 2011). "IDH1 and IDH2 mutations are frequent events in central chondrosarcoma and central and periosteal chondromas but not in other mesenchymal tumours". The Journal of Pathology. 224 (3): 334–343. doi:10.1002/path.2913. ISSN 1096-9896. PMID 21598255. مؤرشف من الأصل في 09 يناير 2016. اطلع عليه بتاريخ 09 مايو 2015. الوسيط
|CitationClass=تم تجاهله (مساعدة) - "Proton Therapy at PSI (Protonentherapie)". مؤرشف من الأصل في 14 مايو 2013. اطلع عليه بتاريخ 14 فبراير 2009. الوسيط
|CitationClass=تم تجاهله (مساعدة) - Jamil N, Howie S, Salter DM. Therapeutic molecular targets in human chondrosarcoma .Int J Exp Pathol 2010; 91:387-93
- بوابة طب
.jpg.webp)
.jpg.webp)
.jpg.webp)
.jpg.webp)