ورم كيسي دهني بسيط
الورم الكيسي الدهني البسيط[1] (بالإنجليزية: Steatocystoma simplex) ويُسمى أيضًا كيسة القناة الدهنية البسيطة (بالإنجليزية: Simple sebaceous duct cyst) أو الورم الكيسي الدهني الوحيد (بالإنجليزية: Solitary steatocystoma)، هو حالة جلدية تتميز بوجود آفة جلدية، والتي تحدث بشكلٍ متساوٍ بين الرجال والنساء، وغالبًا ما تكتشف في الوجه أو الجذع أو الأطراف.[2]:679
| ورم كيسي دهني بسيط | |
|---|---|
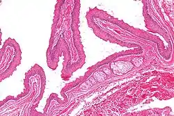
![]() صورة مجهرية بواسطة صبغة الهيماتوكسيلين واليوزين وتظهر الورم الكيسي الدهني البسيط وتظهر بطانة يوزينية مموجة. صورة مجهرية بواسطة صبغة الهيماتوكسيلين واليوزين وتظهر الورم الكيسي الدهني البسيط وتظهر بطانة يوزينية مموجة. | |
| معلومات عامة | |
| من أنواع | أمراض الغدة الدهنية |
المراجع
- "Al-Qamoos القاموس - English Arabic dictionary / قاموس إنجليزي عربي". www.alqamoos.org. مؤرشف من الأصل في 16 ديسمبر 2019. اطلع عليه بتاريخ 31 مارس 2018. الوسيط
|CitationClass=تم تجاهله (مساعدة) - James, William D.; Berger, Timothy G.; et al. (2006). Andrews' Diseases of the Skin: Clinical Dermatology. Saunders Elsevier. ISBN 0-7216-2921-0. الوسيط
|CitationClass=تم تجاهله (مساعدة)
- بوابة طب
This article is issued from Wikipedia. The text is licensed under Creative Commons - Attribution - Sharealike. Additional terms may apply for the media files.
