ورم ليفي متعدد الأشكال
ورم ليفي متعدد الأشكال (بالإنجليزية: Pleomorphic fibroma) هو ورم ليفي يُصيب الجلد ويظهر غالبًا في البالغين مع تفضيلٍ طفيفٍ للنساء.[1]

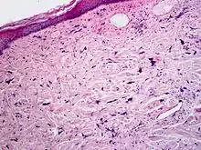
صورة مجهرية للورم الليفي مُتعدد الأشكال. الخلية مُنضبة مع نسيج ضام ليفي وخلايا ليفية يافعة غير نمطية
المراجع
- Rapini, Ronald P.; Bolognia, Jean L.; Jorizzo, Joseph L. (2007). Dermatology: 2-Volume Set. St. Louis: Mosby. ISBN 1-4160-2999-0. الوسيط
|CitationClass=تم تجاهله (مساعدة)
- بوابة طب
This article is issued from Wikipedia. The text is licensed under Creative Commons - Attribution - Sharealike. Additional terms may apply for the media files.