ورم ميلانيني سطحي الانتشار
الورم الميلانيني سطحي الانتشار (بالإنجليزية: Superficial spreading melanoma)[1] تُعرف بأنها النوع الأشهر على الإطلاق للميلانوما الجلدية أو سرطان الخلايا الصبغية[2] في القوقازيين. متوسط عمر تشخيص المرض يكون عند العقد الخامس، وتميل إلى الظهور على الجلد المُعرض للشمس، وخاصة على الظهر في الرجال والساقين في النساء.
| ورم ميلانيني سطحي الانتشار | |
|---|---|
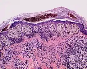
![]() ورم ميلانيني سطحي الانتشار | |
| معلومات عامة | |
| الاختصاص | علم الأورام |
العلامات
غالباً ما ينشأ الورم الميلانيني سطحي الانتشار من وحمة خلل التنسج. غير ذلك تنشأ على الجلد الطبيعي. مرحلة النمو الشعاعي تستمر لفترة طويلة، حيث تبقى الآفة رقيقة، يمكن أن يعقبها في نهاية المطاف مرحلة النمو العمودي حيث تصبح الآفة سميكة وعقيدية. السمات المجهرية هي:
- خلايا ميلانينية كبيرة الحجم مع تكوين أعشاش خلوية عند الوصلة بين البشرة والأدمة.
- غزو الأدمة بخلايا صبغية شاذة متعددة الأشكال.
- انْقسَامَاتٌ فتيليَّة.
العلاج
العلاج يكون عن طريق خزعة استئصالية، استئصال واسع أو خزعة من العقدة اللمفية الخافرة. انتشار المرض للعقد اللمفاوية المحلية أو لأماكن بعيدة (خاصة المخ، العظم، الجلد والرئة) يدلل على توقعات ضعيفة لسير المرض.
انظر أيضاً
المراجع
- James, William D.; Berger, Timothy G.; et al. (2006). Andrews' Diseases of the Skin: clinical Dermatology. Saunders Elsevier. ISBN 0-7216-2921-0. الوسيط
|CitationClass=تم تجاهله (مساعدة) - Forman SB, Ferringer TC, Peckham SJ, et al. (June 2008). "Is superficial spreading melanoma still the most common form of malignant melanoma?". J. Am. Acad. Dermatol. 58 (6): 1013–20. doi:10.1016/j.jaad.2007.10.650. PMID 18485983. مؤرشف من الأصل في 23 نوفمبر 2018. الوسيط
|CitationClass=تم تجاهله (مساعدة)
- بوابة طب
