ورم وارثين
ورم وارثين ، حيث يعرف أيضا باسم ورم غدي كيسي حليمي ليمفي أو ورم غدي آحادي الشكل، هو ورم كيسي حميد من الغدد اللعابية التي تحتوي على الخلايا الليمفاوية الوفيرة ومراكز جرثومية (الليمفاوية التي تشبه عقدة سدى) والذي سمي نسبة لعالم الأمراض ألدريد سكوت ارثن، الذي وصف حالتين من ورم وارثين في عام 1929.[1]
| Warthin's tumor | |
|---|---|
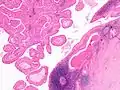
![]() ورم وارثين هذا يظهر ككتلة في الغدة النكافية لدى ذكر متوسط العمر (بين الأربعين والستين) خضع لاستئصال الغدة النكافية السطحي. الورم على يمين الصورة يظهر واضح الحدود مقارنة بالنسيج النكافي المجاور له ويميل الورم لأن ينقشر ويبتعد عن النسيج النكافي. ورم وارثين هذا يظهر ككتلة في الغدة النكافية لدى ذكر متوسط العمر (بين الأربعين والستين) خضع لاستئصال الغدة النكافية السطحي. الورم على يمين الصورة يظهر واضح الحدود مقارنة بالنسيج النكافي المجاور له ويميل الورم لأن ينقشر ويبتعد عن النسيج النكافي. | |
| معلومات عامة | |
| الاختصاص | علم الأورام |
المسببات
أسباب المرض غير معروفة حتى الآن ولكن المعروف والسبب القوي لحدوثه هو تدخين السجائر، حيث يتعرض المدخنون لخطر أكثر بـ 8 مرات لتطور ورم وارثين من عموم السكان.[2]
مواقع حدوث المرض
الغدة التي تتأثر على الأرجح هي الغدة النكفية وهو الورم الوحيدتقريبا الذي يحدث في الغدة النكفية رغم أن نسبة حدوثه في الغدة النكفية أقل بكثير من حدوث الورم الحميد متعدد الأشكال اورم وارثينهو ثاني ورم حميد في الغدة النكفية وهو المرض الأكثر شيوعا.
الخصائص

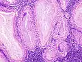
انخفاض تكبير الصورة المجهريه من ورم ارثن الناشئ عن الغدة النكفية ويصيب ورم وارثين في المقام الأول الأفراد الأكبر سنا (من سن 60-70 سنة) و وفقا لدراسات حديثة هناك احتمال بسيط لحدوثهللإناث، ولكن تاريخيا نسبة حدوثه للذكور أقوى حيث هذا التغيير ربما نتج إلى ارتباط الورم مع تدخين السجائر والاستخدام المتزايد للسجائر من قبل النساء فالورم ينمو ببطء وهو غير مؤلم، ويظهر عادة في ذيل الغدة النكفية بالقرب من زاوية الفك السفلي و في 5-14٪ من الحالات ورم وارثين هو الثنائي، ولكن الكتلتين عادة قد تحدث في أوقات مختلفة ومن المستبعد جدا أن يصبح ورم وارثين خبيث.
علم الأنسجة
ظهور هذا الورم تحت المجهر جعله فريد من نوعه فهو يحتوي على مساحات كيسية محاطة بصفين موحدة من الخلايا مع نوى تغلظية التي وضعت مركزيا حيث المساحات الكيسية لها نسيج يبطن جوفا يشار إلى حليمي في الورق المطوي الذي يبرز فيها بالإضافة إلى ذلك، ظهارة لديها سدى اللمفاوية مع تشكيل مركز جرثومي ويشملالتشخيص التفريقي ورم عقدي لمفي شحمي و ورم المنتجات.
العلاج
يتم التعامل مع معظم هذه الأورام بالاستئصال الجراحي وهي اورام غير راجعة أي لا تعود.
صور إضافية
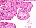
التشريح المرضي للورم وارثين في الغدة النكفية يلون H&E.
التشريح المرضي للورم وارثين في الغدة النكفية صورة أخرى من ملف"ارثن الورم (1) .JPG" يلون H&E.
التشريح المرضي من ارثن ورم في الغدة النكفية. صورة مكبرة أكثر من ملف "ارثن الورم (1) .JPG" يلون H&E.
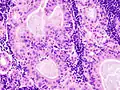
صورة مجهريه مكبرة متوسطة من ورم وارثين.
صورة مجهريه مكبرة عالية تظهر من ورم وارثين خصائص الظهارة المميزة.
المصادر
- Witt, Robert L., المحرر (2005). "Chapter 9 "Benign tumors, cysts, and tumor-like conditions of the salivary glands". Salivary Gland Diseases: Surgical and Medical Management. New York: Thieme Medical Publishers. صفحة 123. ISBN 1-58890-414-8. مؤرشف من الأصل في 25 يناير 2020. الوسيط
|CitationClass=تم تجاهله (مساعدة) - Kumar V, Abbas AK, Fausto N (2005). Robbins and Cotran pathologic basis of disease (الطبعة 7th). St. Louis, MO: Elsevier Saunders. ISBN 0-7216-0187-1. الوسيط
|CitationClass=تم تجاهله (مساعدة)
- بوابة طب
