وريد مركزي (كبد)
الأوردة المركزية في الكبد (أو الوُريدات المركزية) هي أوردة توجد في منتصف الفصيص الكبدي.
| وريد مركزي (كبد) | |
|---|---|
| الاسم اللاتيني venae centrales hepatis | |
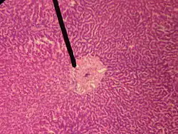
![]() فصيص وحيد للكبد مكبر 60 ضعف. (الوريد المركزي غير معنون، خلال المنطقة المرئية. الوريد المركزي يظهر كوريد وحيد في مركز الفصيص. راجع قسم روابط خارجية لعروض تقديمية أوضح.) | |
![]() الوريد المركزي في الإنسان الوريد المركزي في الإنسان | |
| تفاصيل | |
| الوريد المصرف | جيب كبدي |
| تصريف إلى | الأوردة الكبدية |
| ترمينولوجيا أناتوميكا | 05.8.01.059 |
| FMA | 71629 |
تقوم هذه الأوردة باستقبال الدم الذي يختلط في الجيوب الكبدية وتقوم بارجاعه إلى الدورة الدموية عن طريق الوريد الكبدي.[1]
وصلات خارجية
- central+veins+of+liver في قاموس إي ميديسين
- علم الأنسجة (جامعة بوسطن) 15505loa
- Histology at okstate.edu
- Histology at ntu.edu.tw
- Diagrams at vanderbilt.edu
- بوابة تشريح
This article is issued from Wikipedia. The text is licensed under Creative Commons - Attribution - Sharealike. Additional terms may apply for the media files.

