وشم ملغمي
الوشم الملغمي استخدام حشوات الملغم، المصنوعة من مكونات الفضة، والزئبق، والنحاس، والزنك، والقصدير، في طب الأسنان. ويمكن ان يكون سبب الوشم بالملغم هو وضع جزيئات معدنيه في أنسجه الفم من ترميم الملغم أو الرشح أو التأكل. يجب تجنب الإصابة بالتهاب المفصل البؤري أو الأرجرية الموضعية، لأنه بالإضافة إلى الفضة، يوجد الزئبق والقصدير في سبيكة الملغم. تتوافق قدرة المؤكسد في تجويف الفم مع معدل الانكسار الكهربائي، وبالتالي فهي مرتبطة بالتآك. عندما يتم تطبيق ملغم الأسنان وغيرها من السبائك التي تحتوي على الفضة على ترميم الأسنان، فإنها قد تطلق الفضة في شكل مركبات قابلة للذوبان، مثل الفضة، ونقلها إلى الأنسجة الرخوة وترسبات الفضة وغيرها من المعادن الممكنة في من الأنسجة. هذا ما يفسر إحدى آليات تشكيل الوشم الملغم. يمكن تفسير آلية أخرى عن طريق الغطرسة أو العوامل المؤلمة، مثل تكثيف المواد في المخاط المتآكل أثناء عمل الملغم الروتيني، دخول المادة داخل المخاط المؤلم اثناء أزاله حشوات الملغم أو الترميمات التعويضية، القطع المكسورة في المقبس أو السمحاق خلال قلع الأسنان، وتداخل الجزيئات المعدنية في الجرح الجراحي أثناء معالجة قناة الجذر باستخدام ملغم رجعي الملغم إلى الخلف.
[1]كما وصف التصبغ بالفضة (التفضض) الموضعي [2] أو التصبغ بالفضة البؤري (المركزي)) [3] [nb 1] وهو منطقة رمادية زرقاء أو سوداء اللون على الأغشية المخاطية للفم، وعادة يكون على لثة الفك السفلي. وهو آفة علاجية المنشأ وناجم عن دخول الملغم السني في الأنسجة الرخوة. وهو شائع وغير مؤلم وحميد، ولكن يمكن أن يكون ممهدا لسرطان الجلد.
| Amalgam tattoo | |
|---|---|
![]() وشم ملغمي في الأخدود الشفوي العلوي في الفرد الأدرد (بلا أسنان)، بقي بعد سقوط الأسنان أو خلعها. وشم ملغمي في الأخدود الشفوي العلوي في الفرد الأدرد (بلا أسنان)، بقي بعد سقوط الأسنان أو خلعها. | |
| الأسباب | |
| الأسباب | أثر ضائر |
العلامات والأعراض



الوشم الملغمي يحدث في العادة على لثة الفك السفلي ويكون غالبا في المنطقة التي أجري فيها استئصال القمة مع إخراج الملغم [4]:138 بعد اللثة، والأماكن الأكثر شيوعا في الإصابة هي الغشاء المخاطي الدردري والغشاء المخاطي الشدقي . وبالرغم من ذلك فإن أي موقع مخاطي في الفم من الممكن أن يحدت فيه الوشم الملغمي.[2] وهو غير مؤلم، بحيث يظهر على شكل لطخة لونها أزرق وأسود أو رمادي على سطح الغشاء المخاطي [4]:138[5]:330[6]:183 وتكون حدود الوشم متغيرة بحيث يمكن أن تكون محددة جيدا أو غير منتظمه أو منتشرة.[2]
الأسباب
الوشم الملغمي يحدث نتيجة انغماس الملغم في الأنسجة [6]:183 وقد يحدث بعدة طرق:
• أثناء وضع حشوة الملغم، [6]:183 ، على سبيل المثال إذا كان هناك سحجات (كشوط) على الغشاء المخاطي ستسمح بدخول فتات ملغمي.[2]
• بعد فترة وجيزة من وضع حشوة الملغم، على سبيل المثال يمكن لجسيمات الملغم أن تلوث خيط تنظيف الأسنان وتؤدي إلى وشم ملغمي خطي بين الأسنان وخاصة إذا تم استعمال خيط الأسنان فورا بعد وضع الحشوة على الجانب الإنسي أو القاصي.[2]
• تلميع حشوة الملغم .
• الضغط بسرعة عالية من توربينات مثاقب الأسنان يمكن أن يكون كافيا لإجبار دخول جسيمات الملغم في الأنسجة اللينة.[2] كما قد تحدث عندما يتم إزالة حشوة الملغم القديمة .
• عندما يتم خلع الأسنان تحتوي على حشوة الملغم، [6]:183 على سبيل المثال الأجزاء المكسورة من حشوة الملغم تسقط في تجويف السن المخلوع دون أن يلاحظها أحد.[2]
• عندما يتم وضع حشوة الملغم في نفس الموعد الذي تم خلع السن فيه، كما قد يحدث في "طب الأسنان الرباعي" .
• استئصال القمة هي الأسباب الشائعة للوشم الملغمي، حيث يتم وضع الملغم داخل سنخ ويتم استبدال الأنسجة الرخوة على القمة.[2]
ومع مرور الوقت، جسيمات الملغم المنغرسة بالأنسجة الرخوة تتآكل [6]:183 وخلية البلعمية الكبيرة تقلل الجسيمات الخارجية كما أن الفضة في الملغم يؤدي إلى تصبغ ألياف الكولاجين [6]:183. وقد نرى مظهر مماثل قد يتسبب نتيجة غرس الجرافيت (على سبيل المثال من الخيوط قلم رصاص) ويسمى أحيانا الوشم الجرافيت؛ على الرغم من أن هذا هو أقل شيوعا من الوشم الملغمي .[4]:138
التشخيص
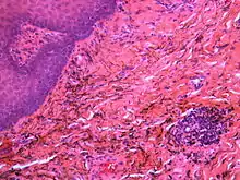
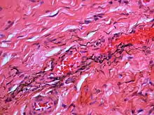
هو تشخيص سريري [4]:138 حيث يمكن تمييز الوشم الملغمي عن غيره من أسباب التصبغ الموضعي الفموي؛ لأنه لا يتغير بشكل كبير في الحجم أو اللون [4]:138، وبالرغم من ذلك قد يبدو لنا أنه يزداد بالحجم ببطء لعدة أشهر بعد الغرس الأولي للجزيئات المعدنية [2][6]:183 وفي بعض حالات الوشم الملغمي تظهر معتمة في الصورالإشعاعية (أي أنها تظهر على الأشعة السينية) [4]:138 ، والبعض الآخر ليس له ميزات التصوير الإشعاعي لأن جسيمات الملغم صغيرة جدا بالرغم أنه سريريا قد يظهر التصبغ أكبر من ذلك بكثير.[2] وإذا لزم الأمر، يمكن تأكيد التشخيص عن طريق أخذ خزعة التي تستثني الشامات والأورام الميلانينية[4]:138 إذا تم استئصال الخزعة وتظهر الأنسجة كما يلي:[2]
• فتات ملون من المعدن داخل النسيج الضام .
• تلون ألياف الريتيكولين بأملاح الفضة.
• حبيبات كبيرة غامقة صلبة متناثرة ذات اللون البني الداكن أو الأسود.
• جزيئات كبيرة قد تكون محاطة بأنسجة ليفية ملتهبة بشكل مزمن.
• جسيمات صغيرة محاطة بأنسجة ذات التهاب حاد بشكل واضح، والتي قد تكون أورام حميدة أو خليط من الخلايا الليمفاوية وخلايا البلازما.
الوقاية
نجد من الناحية النظرية أن الاستخدام الروتيني لسد الأسنان أثناء إجراءات طب الأسنان بما فيها حشوة الملغم تحد من مخاطر الوشم الملغمي.[2]
العلاج
العلاج غير مطلوب بما أن الآفة حميدة تماما، ويقترح البعض أنه من الأفضل إزالته جراحيا لضمان عدم تحوله إلى سرطان الجلد[4]:138 والعض يرى أنه يجب أن تتم إزالته فقط إذا كان هناك أي شك في التشخيص. ويتم التصرف مع الوشم الملغمي من خلال التأكد من طبيعة الآفة[5]:330 ؛ فإذا ظهرت الجسيمات معتمة على الأشعة السينية، الخزعة غير ضرورية.[2]
علم الأوبئة
يظهر الوشم الملغمي في 1٪ من الناس في عموم السكان.[7] وهو السبب الأكثر شيوعا للتصبغ الانفرادي أو البؤري للغشاء المخاطي للفم.[7]
ملاحظات
التصبغ بالفضة هو مرادف غير المألوف من التصبغ بالفضة، وهوحالة ناجمة عن التعرض المفرط للفضة، حيث يصبغ الجلد والأغشية المخاطية بالون الأزرق أو الأسود. وانتقد بعض هذه المرادفات باعتبارها غير ملائمة للوشم الملغمي وذلك لأن الفضة واحدة من العديد من المكونات الملغم السني (انظر Neville 2001)
- Argyrosis is an uncommon synonym of تفضض, a condition caused by excessive exposure to silver, where the skin and mucous membranes are discolored blue or black. Some have criticized these as inappropriate synonyms for amalgam tattoo since silver is just one of several components of dental amalgam (See Neville 2001)
المراجع
- TreatmentofamalgamtattoowithanErCrYSGGlaser pdf
- Neville BW, Damm DD, Allen CA, Bouquot JE. (2002). Oral & maxillofacial pathology (الطبعة 2nd). Philadelphia: W.B. Saunders. صفحات 269–272. ISBN 0721690033. الوسيط
|CitationClass=تم تجاهله (مساعدة)صيانة CS1: أسماء متعددة: قائمة المؤلفون (link) - Richard C.K. Jordan, Michael A.O. Lewis (2004). A color handbook of oral medicine. New York: Thieme. صفحة 131. ISBN 9781588902740. مؤرشف من الأصل في 26 أبريل 2020. الوسيط
|CitationClass=تم تجاهله (مساعدة) - Scully, Crispian (2013). Oral and maxillofacial medicine : the basis of diagnosis and treatment (الطبعة 3rd). Edinburgh: Churchill Livingstone/Elsevier. ISBN 9780702049484. الوسيط
|CitationClass=تم تجاهله (مساعدة) - Athanasios Kalantzis, Crispian Scully (2005). Oxford handbook of dental patient care (الطبعة 2nd). New York: Oxford University Press. ISBN 9780198566236. الوسيط
|CitationClass=تم تجاهله (مساعدة) - Paul Coulthard ; et al. (2008). Master dentistry (الطبعة 2nd). Edinburgh: Churchill Livingstone/Elsevier. ISBN 9780443068966. الوسيط
|CitationClass=تم تجاهله (مساعدة); Explicit use of et al. in:|الأخير=(مساعدة)صيانة CS1: التاريخ والسنة (link) - Martin S. Greenberg, Michael Glick, Jonathan A. Ship (2008). Burket's oral medicine (الطبعة 11th). Hamilton, Ont.: BC Decker. صفحة 124. ISBN 9781550093452. مؤرشف من الأصل في 26 أبريل 2020. الوسيط
|CitationClass=تم تجاهله (مساعدة)صيانة CS1: أسماء متعددة: قائمة المؤلفون (link)
- بوابة طب
- بوابة طب الأسنان
