وهدات معدية
الوهدات المعدية هي فجوات ضيقة توجد في بطانة المعدة تكونها الطبقة المخاطية من المعدة، وتعد مداخل تؤدي إلى الغدد المعدية.[1] في المعدة البشرية يوجد الملايين من الوهدات المعدية التي ترقّط سطح بطانة المعدة، والتي تقع الغدد المعدية في عمقها. وتكون أعمق في منطقة البواب من باقي المناطق في المعدة.

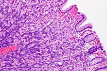
الوهدات المعدية تظهر واضحة كتعرجات في هذا المقطع من الغشاء المخاطي للمعدة. النسيج بصبغة الهيماتوكسيلين والإيوسين.
مراجع
- Lauralee Sherwood (12-05-2020). Fundamentals of Human Physiology, 4th Edition (باللغة الإنجليزية). Brooks Cole Pub Co. الوسيط
|CitationClass=تم تجاهله (مساعدة); تحقق من التاريخ في:|تاريخ=(مساعدة)
- بوابة تشريح
This article is issued from Wikipedia. The text is licensed under Creative Commons - Attribution - Sharealike. Additional terms may apply for the media files.